Ameloblastic Fibro-odontome (AFO) of the Mandible: A Case Report
Sreenath G.1, Indira Reddy Y.2, Sreenivasreddy P.3, Ravi Prakash A.4
1 Senior Lecturer, Department of Oral Pathology, G. Pullareddy Dental College, Kurnool, Andhra Pradesh, India.
2 Senior Lecturer, Department of Oral Pathology, G. Pullareddy Dental College, Kurnool, Andhra Pradesh, India.
3 Reader, Department of Oral Surgery, G. Pullareddy Dental College, Kurnool, Andhra Pradesh, India.
4 Head of the Department, Department of Oral Pathology, G. Pullareddy Dental College, Kurnool, Andhra Pradesh, India.
NAME, ADDRESS, E-MAIL ID OF THE CORRESPONDING AUTHOR: Dr. Sreenath G., G. Pulla Reddy Dental College, Kurnool, Andhra Pradesh, India.
Phone: 09000476899,
E-mail: dr.srinathg@yahoo.com
Odontoameloblastoma are tumours which represent a histological combination of ameloblastoma and complex odontoma. It behaves in an invasive manner like ameloblastoma and is more aggressive in nature. We report a new case of Ameloblastic Fibro-Odontoma (AFO). Clinical, radiographic and histopathological features are discussed.
Ameloblastic fibro-odontoma, Ameloblastic fibroma, Neoplasm
Case Report
A 5-year-old girl presented to our department with a chief complaint of swelling in the right mandibular region. Extraoral examination revealed facial asymmetry, with swelling present on the right side of the mandible measuring 3 × 4 cm [Table/Fig-1]. The swelling was asymptomatic and covered with healthy skin with normal colour. Intraoral examination revealed a swelling of the vestibule of mouth, extending from the deciduous canine to the deciduous second molar region, covered with normal mucosa and was hard to palpation [Table/Fig-2]. Oral inspection also revealed a full complement of deciduous teeth present along with good oral hygiene. There was no history of local trauma or infection. The OPG revealed a well-defined radiolucent lesion extending from the lower left canine to the right deciduous second molar region [Table/Fig-3]. The border of the lesion was well-circumscribed.
Facial asymmetry is seen on the right side of the mandible

Intraoral examination revealed a swelling of the vestibule of mouth, extending from the deciduous canine to the deciduous second molar region

OPG revealed a well-defined radiolucent lesion extending from the lower left canine to the right deciduous second molar region

As the clinical features alone could not show a definitive diagnosis, incisional biopsy was performed. The histopathology revealed cellular, dental papilla-like mesenchymal tissues admixed with irregularly shaped nests of odontogenic epithelium and areas of dentin and enamel matrix. The picture was suggestive of an AFO. The lesion was surgically excised and AFO was confirmed after excision.
Discussion
AFO is defined as “a neoplasm composed of proliferating odontogenic epithelium in a cellular ectomesenchymal tissue with varying degrees of inductive changes and dental hard tissue formation” [1]. According to the World Health Organization, AFO is a tumour with histological features similar to those of ameloblastic fibroma (AF), but with inductive changes that lead to the formation of enamel or dentin [2]. Among the odontogenic tumours, the incidence of AFO varies from 0.3% to 1.7%, reaching 4.6% when only the cases in children are considered [3]. The lesions are usually diagnosed during the first and second decade of life. It occurs with equal frequency in the maxilla and the mandible, with no significant gender predilection. Radiographically it shows a well-defined, radiolucent area containing various amounts of radiopaque material of irregular size. Conservative surgical excision is the treatment of choice and the lesions do not tend to recur [4].
The AFO is a rare, slow growing odontogenic tumour. AFO is relatively rare, with the prevalence among oral biopsies being about 1% and its frequency among odontogenic tumours being reported at 1% to 3% [5]. AFO exhibits the same benign biologic behaviour as that of odontoameloblastoma, showing inductive changes that lead to the formation of both dentin and enamel but that is less aggressive compared to the odontoameloblastoma.
According to the revised World Health Organization (WHO) classification, AF and AFO are believed to be a stage of complex odontoma formation. However, the concept that these lesions represent a continuum of differentiation is not widely accepted, with other researchers suggesting that they are separate pathologic entities [6,7]. In some studies, the term AFO represents a histological combination of AF and complex odontoma [8].
Philpsen HP et al., raised the hypothesis that AF, Ameloblastic Fibrodentinoma (AFD) and AFO develop in two different ways. The neoplastic lineage would comprise AF and AFD, whereas AFO would be a hamartoma. But not all lesions of AFO behave as a hamartoma, some lesions show neoplastic behaviour or malignant features [9].
It is not possible to distinguish hamartoma from neoplasm based on histological features alone. A small lesion on the occlusal surface of an unerupted molar may be an immature stage of odontome, whereas, the lesion that causes swelling and cortical expansion is likely to be a true AFO [10].
Chen, et al., analysed seven cases of AFO and reported two recurrent lesions that behaved like odontomas, which were subsequently diagnosed as complex odontomas. This finding also supports the concept that AFO is an immature stage of complex odontoma in a hamartomatous structure, as previously discussed. In the same study, the possible cause of recurrence was related to lesions with tooth germs, a relatively large tumour and insufficient enucleation [11]. The recommended treatment of AFO is conservative enucleation with curettage. It has been suggested that unerupted teeth related to the lesion should be removed in order to avoid possible recurrence.
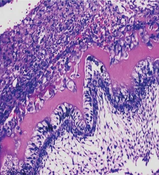
Our case presented clinical and radiographic patterns in accordance to the literature, since a radiographic examination could confirm the slow-growing character of the disease, as well as, the progressive production of calcifying material by the tumour. Histologically, AFO is composed of strands, cords and islands of odontogenic epithelium embedded in a cell-rich, primitive ectomesenchyme that resembles the dental papilla [Table/Fig-4 & 5]. Dentin and enamel matrix are also seen [Table/Fig-6]. Recently, it was determined that amelogenins participate in multi-faceted aspects of dental hard tissue formation that takes place in AFO [Table/Fig-7] [12].
Under scanner view (4X) the H&E section shows odontogenic islands with in the ectomesenchymal tissue

Under low power magnification (10X) shows induction effect of odontogenic epithelium and the formation of dental hard tissue

Under high power magnification (40X) shows ameloblast like cells with dental hard tissueformation

Since AFO is a well-encapsulated lesion, usually not locally invasive, the recommended treatment is conservative surgical excision. Some authors have suggested that the impacted tooth associated with the lesion be preserved [13], while others have reported recurrence after preservation of impacted or retained teeth associated with the lesion [14]. In the present case, no recurrence was observed after surgical excision of the lesion that was followed up for 18 months.
Conclusion
AFO is a benign, rare and non recurrent tumour in a paediatric patient, which emphasizes the importance of radiographic examination of these conditions for early detection. The differential diagnosis with Odonto Ameloblastoma and AFO is essential for correct treatment and follow-up, as well as, to reduce patient morbidity.
[1]. Oghli Ayham Arab, Scuto Ignazio, Christoph Ziegler, Christa Flechtenmacher, Christof Hofele, A large ameloblastic fibro-odontoma of the right mandibleMed Oral Patol Oral Cir Bucal 2007 12:E34-7. [Google Scholar]
[2]. Tolentino Elen de Souza, Centurion Bruna Stuchi, Lima Marta Cunha, Freitas-Faria Patrıcia, Consolaro Alberto, Santana Eduardo, Ameloblastic fibro-odontoma: A diagnostic challengeInternational Journal of Dentistry 2010 (Article ID104630,4 pages.http://dx.doi.org/10.1155/20110/104630) [Google Scholar]
[3]. Cavalcante Ana-Sueli-Rodrigues, Anbinder Ana-Lia, Costa Nívea-Cristina-Sena, Lima José-Roberto Sá, Carvalho Yasmin-Rodarte, Ameloblastic fibro-odontoma: A case reportMed Oral Patol Oral Cir Bucal 2009 1(14 (12)) [Google Scholar]
[4]. Randa Al-Fotawei, BDS, FDS RCS, Multilocular ameloblastic fibro-odontoma:A case report in the anterior maxillaSaudi Dental Journal 2009 21(1):51-6. [Google Scholar]
[5]. Chang Hyunho, DDS, MSD, PhD, Shimizu Michael S., BSc, DMD, MD, MSc, Precious David S., DDS, MSc, FRCD, Ameloblastic fibro-odontoma: A case reportJ Can Dent Assoc 2002 68(4):243-6. [Google Scholar]
[6]. Slootweg PJ, An analysis of the interrelationship of the mixed odontogenic tumours-ameloblastic fibroma, ameloblastic fibro-odontoma, and the odontomasOral Surgery Oral Medicine and Oral Pathology 1981 51:266-76. [Google Scholar]
[7]. Gardner DG, The mixed odontogenic tumoursOral Surgery Oral Medicine and Oral Pathology 1984 58:166-68. [Google Scholar]
[8]. Chang H, Precious DS, Shimizu MS, Ameloblastic fibro-odontoma: A case report”Journal of the Canadian Dental Association 2002 68:243-46. [Google Scholar]
[9]. Philipsen HP, Reichart PA, Zhang KH, Adenomatoid odontogenic tumour: Biologic profile based on 499 casesJ Oral Pathol Med 1991 20:149-58. [Google Scholar]
[10]. Dolanmaz D, Pampu AA, Kalayc A, Etoz OA, Atıc S, An unusual size of ameloblastic fibro-odontomaDentomaxillofacial Radiology 2008 37:179-82. [Google Scholar]
[11]. Chen YK, Hwang IY, Chen JY, Wang WC, Lin LM, Adenomatoid odontogenic tumor arising from a dentigerous cyst– A case reportInt J Pediatr Otorhinolaryngol 2007 2:257-63. [Google Scholar]
[12]. Yagishita H, Taya Y, Kanri Y, Matsuo A, Nonaka H, Fujita H, The secretion of amelogenins is associated with the induction of enamel and dentinoid in an ameloblastic fibroodontomaJ Oral Pathol Med 2001 30:499-503. [Google Scholar]
[13]. Reis SR, De Freitas CE, Do Espírito Santo AR, Management of ameloblastic fibro-odontoma in a 6-year-old girl preserving the associated impacted permanent toothJ Oral Sci 2007 49:331-5. [Google Scholar]
[14]. Furst I, Pharoah M, Phillips J, Recurrence of an ameloblastic Fibro-odontoma in a 9-year-old boyJ Oral Maxillofac Surg 1999 57:620-3. [Google Scholar]