JCDR - Register at Journal of Clinical and Diagnostic Research
Journal of Clinical and Diagnostic Research, ISSN - 0973 - 709X
Internal Medicine Section DOI : 10.7860/JCDR/2017/22749.9398
Year : 2017 | Month : Feb | Volume : 11 | Issue : 02 PDF Full Version Page : OR01 - OR03

SLE and Tuberculosis: A Case Series and Review of Literature

Prasanta Kumar Bhattacharya1, Md Jamil2, Aakash Roy3, Kishore Kumar Talukdar4

1 Professor and Head, Department of General Medicine, North Eastern Indira Gandhi Regional Institute of Health and Medical Sciences, Shillong, Meghalaya, India.
2 Assistant Professor, Department of General Medicine, North Eastern Indira Gandhi Regional Institute of Health and Medical Sciences, Shillong, Meghalaya, India.
3 Postgraduate Student, Department of General Medicine, North Eastern Indira Gandhi Regional Institute of Health and Medical Sciences, Shillong, Meghalaya, India.
4 Postgraduate Student, Department of General Medicine, North Eastern Indira Gandhi Regional Institute of Health and Medical Sciences, Shillong, Meghalaya, India.


NAME, ADDRESS, E-MAIL ID OF THE CORRESPONDING AUTHOR: Dr. Prasanta Kumar Bhattacharya, Professor and Head, Department of General Medicine, North Eastern Indira Gandhi Regional Institute of Health and Medical Sciences, Shillong-793018, Meghalaya, India.
E-mail: pkbdr78@gmail.com
Abstract

Systemic Lupus Erythematosus (SLE) and Tuberculosis (TB) are intricately related with an increase in the risk of TB in SLE. Primary mechanisms pertaining to the increased susceptibility for TB are the inherent immunodeficient state of SLE and use of immunosuppressant agents in the treatment of SLE. We report a case series of five female patients of SLE with TB who presented between January 2015 and December 2015 in a tertiary care teaching hospital in North Eastern India. All the patients were young to middle aged females having SLE with or without lupus nephritis who were on immunosuppressive therapy with corticosteroids, mycophenolate mofetil or cyclophosphamide. Two of the cases had sputum positive pulmonary tuberculosis while rest had Extra-Pulmonary TB (EPTB). The response to anti-tubercular therapy led to clinical improvement in all the cases except one who had an adverse outcome. Our series further substantiates the increased risk of TB in SLE thus, prompting further research towards better management of these two disease entities in conjunction.

Keywords

Auto-immunity, Immunosuppression, Lupus, Tubercular infection

Introduction

Infections contribute to a significant burden of morbidity and mortality in Systemic Lupus Erythematosus (SLE) [1]. The higher incidence of opportunistic infections in patients with SLE results from inter-play of various factors including impaired cellular immunity and defective phagocytic function in SLE as well as the effects of various immunosuppressive agents used to treat SLE [2,3].

Tuberculosis (TB) remains one of the commonest infectious diseases globally with an estimated 8.6 million people developing TB in 2012 and a mortality of 1.3 million globally [4]. Risk of TB in patients with auto-immune diseases has been heightened by multiple reports of active TB in patients with auto-immune diseases on aggressive immunosuppressive therapy [5].

The interaction between these two entities of infection and auto-immunity increases the likelihood of TB in patients with SLE which in turn is dependent on the local incidence and prevalence of the disease entities [6]. Although the literature of the incidence of TB in patients with SLE from India is limited several global studies have addressed this issue documenting a definite increase in the incidence of TB in patients with SLE [6]. A Spanish study reported, a six-fold higher incidence of TB in the SLE group as compared to the general population [7]. Similarly, a study from Hong Kong reported, a 5 to 15 fold higher risk [8].

In this background, we report a case series of TB in 5 patients with SLE between January 2015 and December 2015 in a tertiary care teaching hospital in North Eastern India. Written informed consent was taken from all the patients.

Case Series

Case 1

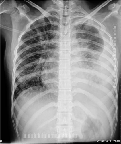
A 24-year-old female previously diagnosed to have SLE with Class IV Lupus Nephritis one year back based upon American College of Rheumatology (ACR) criteria [9] on immunosuppressive therapy with corticosteroids and mycophenolate mofetil presented with history of cough with expectoration for two weeks associated with fever for the same duration. She had history of contact with a case of TB in her household. On evaluation she was febrile (Temperature: 101°F) with a blood pressure of 100/70 mmHg and pulse rate of 80/min and respiratory rate of 22/min. She maintained her oxygen saturation at room air. She had pallor and bilateral ankle oedema. Her systemic examination was within normal limits. Her investigations showed haemoglobin of 8.2 gm%, Total Leucocyte Count (TLC) of 9600/mm3 (65% neutrophils, 30% lymphocytes and 5% monocytes), platelet count of 1.5 lakhs/mm3 and an Erythrocyte Sedimentation Rate (ESR) of 73 mm/hr. Her renal function tests were deranged with a serum urea and creatinine of 74 mg/dl and 1.8 mg/dl respectively. Serum Albumin Levels and Total Protein Levels were low (1.6 gm/L and 3.8 gm/L) respectively. Rest of her liver functions, coagulogram, serum electrolytes were normal. Her chest X-ray showed bilateral patchy infiltrates with a left sided pleural effusion [Table/Fig-1]. Her sputum was positive for Acid Fast Bacilli (AFB) (2+). Her pleural fluid analysis showed an exudative fluid with predominantly lymphocytic cells with an increased Adenosine Deaminase Level (42 IU/l). She was diagnosed as SLE with sputum positive pulmonary TB with tubercular pleural effusion and started on anti-tubercular therapy with Category 1 Directly Observed Treatment Short course (DOTS) including isoniazid, rifampicin, ethambutol and pyrazinamide. She was followed-up and was found to have responded well to therapy. Her sputum was negative for AFB at the end of two months of therapy with complete resolution of infiltrates and effusion on chest X-ray.

Chest X-ray showing bilateral patchy infiltrates with a left sided pleural effusion.

Case 2

A 19-year-old female previously diagnosed to have SLE three months back based upon American College of Rheumatology (ACR) criteria [9], on corticosteroids and hydroxychloroquine sulphate presented with history of fever for three weeks, polyarthralgia and difficulty in breathing. She had no history of contact with a case of TB. On evaluation she was febrile (Temperature: 102°F) with a blood pressure of 90/60 mmHg and pulse rate of 100/min and respiratory rate of 24/min. She maintained her oxygen saturation with oxygen by face mask at 4 litres/min. She had mild pallor and a raised jugular venous pressure. On systemic examination she had basal crepitations in both lung fields and soft heart sounds. Her investigations showed haemoglobin of 10.1 gm%, TLC of 7800/mm3 (86% neutrophils, 8% lymphocytes, 5% monocytes and 2% eosinophils), Platelet Count of 1.8 lakhs/mm3 and an ESR of 75 mm/hr. Her liver, renal function tests and coagulogram were normal. Her chest X-ray showed cardiomegaly [Table/Fig-2]. Echocardiography showed moderate pericardial effusion with a normal ejection fraction [Table/Fig-3]. She was taken up for immediate pericardiocentesis. Pericardial fluid analysis showed a predominantly lymphocytic (80%) exuadative fluid pattern (protein 6.5 gm/L, albumin 2.2 gm/L and Lactate Dehydrogenase of 1457 U/L) with a high Adenosisne Deaminase Level of 38 IU/L. In view of deteriorating clinical condition she was started on anti-tubercular therapy with isoniazid, rifampicin, ethambutol and pyrazinamide along with continuation of Corticosteroids to which she responded. She was followed-up after a period of one month with complete resolution of pericardial effusion and alleviation of clinical symptoms.

Chest X-ray showing cardiomegaly.

2–D echocardiography showing moderate pericardal effusion.

Case 3

A 24-year-old female recently diagnosed to have SLE with Class IV lupus nephritis 2 months back based upon ACR criteria and renal biopsy [9], on corticosteroids and cyclophosphamide therapy presented with history of high grade fever for two weeks and difficulty in breathing. On evaluation she was febrile (Temperature: 103°F) with a blood pressure of 80/60 mmHg and pulse rate of 130/min and respiratory rate of 28/min. She maintained her oxygen saturation with oxygen by face mask at 6 litres/min. She had mild pallor, raised jugular venous pressure, bilateral pedal oedema. On systemic examination she had a decreased air entry in her left lower lung fields with muffled heart sounds. Abdominal examination showed massive ascitis. Her investigations showed haemoglobin of 7gm%, TLC of 6400/mm3 (60% neutrophils, 32% lymphocytes,7% monocytes and 1% eosinophils), platelet count of 1.2 lakhs/mm3 and an ESR of 64 mm/hr. Serum albumin levels and total protein levels were 1.8 gm/L and 4.9 gm/L respectively. Her chest X-ray showed cardiomegaly with left sided pleural effusion [Table/Fig-4]. Echocardiography showed moderate pericardial effusion with a normal ejection fraction. She was taken up for pericardiocentesis and pleural fluid aspiration. Pericardial fluid analysis showed a predominantly lymphocytic (60%) exuadative fluid pattern (protein 4.5 gm/L, albumin 2.1 gm/L and Lactate Dehydrogenase of 774 U/L) with a high Adenosisne Deaminase Level of 42 IU/L. AFB were seen in her pericardial fluid. In view of the positive AFB and exudative pericardial fluid analysis she was immediately started on anti-tubercular therapy with isoniazid, rifampicin, ethambutol and pyrazinamide. However, the patient’s clinical condition deteriorated and the patient succumbed to illness.

Chest X-ray showing cardiomegaly with left sided pleural effusion.

Case 4

A 20-year-old female was referred to our centre as a case of pulmonary Koch’s with anasarca. Her previous records showed a positive sputum for AFB (2+) for which she had been put on anti-tubercular therapy for a duration of one month. On examination she was afebrile, with a blood pressure of 130/90 mmHg and pulse rate of 70/min and respiratory rate of 14/min. She maintained her oxygen saturation at room air. She had bilateral pedal oedema. On systemic examination she had ascitis. Rest of her examination was normal. On detailed evaluation she gave history of persistent hair loss and polyarthralgia. Her investigations showed haemoglobin of 11 gm%, TLC of 6400/mm3 (70% neutrophils, 22% lymphocytes, 8% monocytes), platelet count of 3 lakhs/mm3 and an ESR of 42 mm/hr. Serum Albumin Levels and Total Protein Levels were 2.6 gm/L and 5.4 gm/L respectively. Her chest X-ray was normal. On further work up her urine examination showed 2+ proteinuria. Her 24 hours urine protein was 3.6 gm. Her ANA showed a speckled appearance with positive titres of 1: 2560 and her ds DNA was also positive. Anti-histone antibodies were negative. She was taken up for renal biopsy which showed evidence of Class IV lupus nephritis. She was diagnosed as SLE with class IV lupus nephritis with sputum positive pulmonary TB and was discharged on anti-tubercular therapy, corticosteroids and pulse cyclophosphamide therapy and continues to do well in follow up.

Case 5

A 36-year-old female previously diagnosed case of SLE with Class III lupus nephritis based upon ACR criteria [9] and renal biopsy around 2 years back on corticosteroids and mycophenolate mofetil presented with complaints of difficulty in vision for a period of one week. On evaluation she was afebrile with a blood pressure of 120/80 mmHg and pulse rate of 80/min and respiratory rate of 16/min. She maintained her oxygen saturation at room air. Her neurological examination showed complete ptosis of her left eye with occulomotor nerve palsy. Rest of her systemic examination was within normal limits. Her investigations showed haemoglobin of 11.2 gm%, TLC of 8600/mm3 (65% neutrophils, 33% lymphocytes and 7% monocytes), platelet count of 2.5 lakhs/ mm3 and an ESR of 40mm/hr. Her renal functions, liver functions and coagulogram were normal. Magnetic Resonance Imaging (MRI) brain was done which revealed features of abscess in the right side of the midbrain along with well defined rim enhancing lesions suggestive of tubercular brain abscess with tuberculomas [Table/Fig-5]. She was started on anti-tubercular therapy and gradually responded to therapy and continues to do well in follow up.

MRI brain showing abscess in the right side of the midbrain along with well defined rim enhancing lesions suggestive of tubercular brain abscess with tuberculomas.

Discussion

Our case series comprises of 5 cases of SLE who had TB. All the patients were young to middle aged females having SLE with or without lupus nephritis who were on immunosuppressive therapy with corticosteroids, mycophenolate mofetil or cyclophosphamide. Two of the cases had sputum positive pulmonary TB while rest had Extra-Pulmonary TB (EPTB). The response to anti-tubercular therapy led to clinical improvement in all the cases except one who had an adverse outcome.

Tuberculous infection has a higher propensity under conditions of immunosuppression and may either be secondary to the disease itself or as a consequence of immunosuppressive therapy. Several studies from different countries have documented increased susceptibility for TB among SLE patients, especially where TB is endemic [6,10,11]. In SLE patients, EPTB is more common than pulmonary TB [10]. In a previous study on 452 SLE patients on immunosuppressive therapy, 42 were diagnosed to have tuberculous infection, of which 23.8% had pulmonary TB while 73.8% had extra-pulmonary disease [11]. In another extensive study on 3000 SLE patients 47.6% had pulmonary while 52.4% had EPTB [10]. Patients with SLE are more susceptible to the risk of dissemination. In a previous study disseminated TB was found in half of the patients who developed TB after a diagnosis of SLE [12]. Our case series shows, a similar trend with three of the five cases being EPTB thus, pointing towards an increased risk of EPTB.

TB in patients with SLE imparts a challenge to the clinical acumen especially in the setting of higher number of cases of EPTB. The diagnosis of TB is determined on the basis of analysis of body fluids and tissues which often takes a prolonged time; thus, delaying the diagnosis [6]. Another aspect of EPTB presentation is a constellation of non-specific symptoms like unexplained fever, joint pain, fatigability and serositis which are also seen in patients with SLE, making the diagnosis more challenging [12]. Previous studies have shown that, the time interval between TB onset and diagnosis may vary from one month to upto one year [7,13].

With respect to latent TB general recommendations suggest the consideration for treatment with Isoniazid for 9 months when the skin reaction (Tubercular Skin Testing) is ≥10mm in patients with diseases with increased susceptibility towards TB infection, and ≥5 mm in all those receiving immunosuppressive therapy in the form of 15 mg of Prednisone daily or its equivalent [14]. The recommendations also suggest the use of annual Tubercular Skin Testing (TST) in those who are at increased social risk [15]. This risk is well established for certain groups of patients, but not known exactly in lupus patients especially in a TB endemic country like India. In this regard, one previous study from India showed a reduction in the prevalence of active TB in lupus patients following administration of Isoniazid in suspected cases of latent TB receiving Corticosteroid therapy [16].

The treatment of TB in patients with SLE parallels the guidelines as for those without SLE [6]. Nephritis is one of the common complications of SLE and patients with nephritis are more susceptible to developing TB [17] and appropriate dose adjustments are necessary in patients with impaired renal function. Another entity for consideration is drug induced lupus secondary to anti-tubercular therapy which develops in approximately 20% of the patients receiving isoniazid of which less than 1% develops clinical lupus necessitating drug discontinuation [18]. Our patient (Case 4) was initially put on isoniazid therapy prior to her presentation. However, the presence of a biopsy proven renal involvement along with a negative anti-histone antibody ruled out the possibility of drug induced lupus.

Conclusion

Our case series shows the higher propensity of TB in SLE. Lupus is a disease with exacerbations and infections are one of the most common reasons for flare of disease. Tuberculous infections in SLE are one of the most difficult conditions to manage due to overlapping clinical manifestations. Currently, there is scarcity of evidence based guidelines for the management of TB in the setting of SLE. With better elucidation of the natural history of the disease and advancement of the investigations, more light may be thrown towards better management of these two disease entities in combination.

Financial or Other Competing Interests

None.

References

[1]Bouza E, Moya JG, Munoz P, Infections in systemic lupus erythematosus and rheumatoid arthritisInfect Dis Clin North Am 2001 15:335-61.  [Google Scholar]

[2]Chu AD, Polesky AH, Bhatia G, Bush TM, Active and latent tuberculosis in patients with systemic lupus erythematosus living in the United StatesJournal of Clinical Rheumatology 2009 15(5):226-29.  [Google Scholar]

[3]Jick SS, Lieberman ES, Rahman MU, Choi HK, Glucocorticoid use, other associated factors, and the risk of tuberculosisArthritis Care & Research 2006 55(1):19-26.  [Google Scholar]

[4]WHO. Global tuberculosis report (2013) Geneva: World Health Organization, 2013  [Google Scholar]

[5]Winthrop KL, Update on tuberculosis and other opportunistic infections associated with drugs blocking tumour necrosis factor (alpha)Ann Rheum Dis 2005 64:29-30.  [Google Scholar]

[6]Prabu VN, Agrawal S, Systemic lupus erythematosus and tuberculosis: A review of complex interactions of complicated diseasesJournal of Postgraduate Medicine 2010 56(3):244-47.  [Google Scholar]

[7]Erdozain JG, Ruiz-Irastorza G, Egurbide MV, Martinez-Berriotxoa A, Aguirre C, High risk of tuberculosis in systemic lupus erythematosus?Lupus 2006 15:232-35.  [Google Scholar]

[8]Mok MY, Lo Y, Chan TM, Wong WS, Lau CS, Tuberculosis in systemic lupus erythematosus in an endemic area and the role of isoniazid prophylaxis during corticosteroid therapyJ Rheumatol 2005 32:609-15.  [Google Scholar]

[9]Hochberg MC, Updating the American college of rheumatology revised criteria for the classification of systemic lupus erythematosusArthritis & Rheumatism 1997 40(9):1725  [Google Scholar]

[10]Hou CL, Tsai YC, Chen LC, Huang JL, Tuberculosis infection in patients with systemic lupus erythematosus: Pulmonary and extra-pulmonary infection comparedClin Rheumatol 2008 27:557-63.  [Google Scholar]

[11]Zhang L, Wang DX, Ma L, A clinical study of tuberculosis infection in systemic lupus erythematosusZhonghua Nei Ke Za Zhi 2008 7:808-10.  [Google Scholar]

[12]Ribeiro FM, Szyper-Kravitz M, Klumb EM, Lannes G, Ribeiro FR, Albuquerque EM, Can lupus flares be associated with tuberculosis infection?Clinical Reviews in Allergy & Immunology 2010 38(2-3):163-68.  [Google Scholar]

[13]Sayarlioglu M, Inanc M, Kamali S, Cefle A, Karaman O, Gul A, Tuberculosis in Turkish patients with systemic lupus erythematosus: Increased frequency of extrapulmonary localizationLupus 2004 13:274-78.  [Google Scholar]

[14]American Thoracic SocietyTargeted tuberculin testing and treatment of latent tuberculosis infectionAm J Respir Crit Care Med 2000 161:221-47.  [Google Scholar]

[15]Miras MD, Tenorio CH, Alonso JJ, Tuberculosis in patients with systemic lupus erythematosus: Spain’s situationReumatología Clínica (English Edition) 2013 9(6):369-72.  [Google Scholar]

[16]Gaitonde S, Pathan E, Sule A, Mittal G, Joshi VR, Efficacy of isoniazid prophylaxis in patients with systemic lupus erythematosus receiving long term steroid treatmentAnn Rheum Dis 2002 61:251-53.  [Google Scholar]

[17]Tam LS, Li EK, Wong SM, Szeto CC, Risk factors and clinical features for tuberculosis among patients with systemic lupus erythematosus in Hong KongScand J Rheumatol 2002 31:296-300.  [Google Scholar]

[18]Xiao X, Chang C, Diagnosis and classification of drug-induced autoimmunity (DIA)Journal of Autoimmunity 2014 48:66-72.  [Google Scholar]