Unusual Presentation of Porencephalic Cyst in an Adult
Abel Thomas Oommen1, Ganeswar Sethy2, Noas Tobias Minz3, Jogendra Patra4, Swayang Sudha Panda5
1 Junior Resident, Department of General Medicine, MKCG Medical College and Hospital, Brahmapur, Odisha, India.
2 Associate Professor, Department of General Medicine, MKCG Medical College and Hospital, Brahmapur, Odisha, India.
3 Assistant Professor, Department of General Medicine, MKCG Medical College and Hospital, Brahmapur, Odisha, India.
4 Senior Resident, Department of General Medicine, MKCG Medical College and Hospital, Brahmapur, Odisha, India.
5 Junior Resident, Department of General Medicine, MKCG Medical College and Hospital, Brahmapur, Odisha, India.
NAME, ADDRESS, E-MAIL ID OF THE CORRESPONDING AUTHOR: Dr. Abel Thomas Oommen, Room No: 3, PG Hostel 2, MKCG Medical College, Brahmapur-760004, Odisha, India.
E-mail: abelthomas101@gmail.com
Porencephalic cyst is quite a rare entity in adults with only a few cases reported so far. It is usually congenital and seen in neonates. Here, we report a 28-year-old female who presented with post-ictal confusion following a new onset of focal seizures with secondary generalisation. She was diagnosed to have porencephalic cyst in left posterior parietal lobe on brain imaging. She was started on anti-epileptic drugs and is on follow up.
Anti-epileptic drugs, Magnetic Resonance Imaging, Parietal lobe, Seizure
Case Report
A 28-year-old female presented with confusional state following three episodes of seizures. It began as focal motor seizures involving right arm and right leg and became generalized tonic – clonic seizures associated with loss of consciousness. Each episode lasted for about 1 minute with regaining of consciousness during inter-ictal period. It was not associated with fever, headache, vomiting, head trauma or focal neurological deficits. Alcohol and drug history was insignificant. There was no history of similar complaints, perinatal asphyxia, and developmental delay in the past. Family history was unremarkable.
On general examination, patient was confused. Pulse was regular with a rate of 90 beats/minute. All peripheral pulses were palpable. Blood pressure was130/80 mmHg. Respiratory rate was 16 breaths/minute and regular in rhythm. Temperature was 98.8°F. There were signs of tongue bite, frothing at the mouth and urinary incontinence. There were no signs of trauma, meningeal irritation, twitching of limbs and face, rash or neurocutaneous markers. There was no pallor, icterus, clubbing, cyanosis, lymphadenopathy or oedema.
On neurological examination, Glasgow coma scale was 8/15(E2V2M4). Cranial nerve examination demonstrated that pupils were normal and reactive to light; corneal reflex, oculo-cephalic reflex and gag reflex were present bilaterally. Ophthalmoscopy was normal. Motor system examination showed generalized hypotonia and areflexia. Bilateral plantar response was extensor. Other systemic examination was unremarkable. The following day the patient became conscious and oriented. Neurological examination revealed recovery of motor functions, though Babinski reflex persisted.
Haematological investigations revealed haemoglobin of 12.4 g/dl with Red Blood Cell Count 3.5 million cells/μL, Mean Corpuscular Volume (MCV) 78.8 fL, Mean Corpuscular Haemoglobin (MCH) 28.4 pg, Mean Corpuscular Haemoglobin Concentration (MCHC) 31.6 g/dl, Total Leukocyte Count (TLC) 8600/μL, Total Platelet Count (TPC) 2.8 lakhs/μL, Erythrocyte Sedimentation Rate (ESR) 50 mm in 1st hour, Differential Leukocyte Count showed neutrophils 78%, lymphocytes 21%, eosinophils 1%, monocytes 0%, basophils 0%. Serological investigations revealed random blood glucose 170 mg/dl, urea 29 mg/dl, creatinine 1.1 mg/dl, Aspartate Aminotransferase (AST) 257 IU/L, Alanine Aminotransferase (ALT) 143 IU/L, Alkaline Phosphatase (ALP) 45 IU/L, total bilirubin 0.6mg/dl, direct bilirubin 0.2 mg/dl, protein 6.8 g/dl, Na+(137meq/l), K+(3.8meq/l), Ca2+(9.8 mg/dl), Mg2+(2.1 meq/l). Urine routine and microscopy was normal. Homocysteine level, Factor V Leiden mutation, Anti-phospholipid antibodies and Anti-thrombin lll were within normal limits. Auto-antibodies against potassium channels and glutamate receptors were absent.
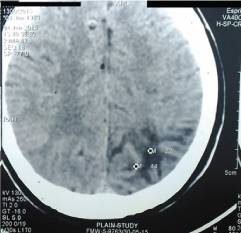
Electroencephalogram (EEG) was normal. CT scan of the brain was suggestive of hypodense lesion in left posterior parietal lobe [Table/Fig-1] with dilatation of ipsilateral occipital horn of left lateral ventricle [Table/Fig-2], but inconclusive. MRI showed T1 hypo intense [Table/Fig-3], T2 [Table/Fig-4] and Fluid Attenuation Inversion Recovery (FLAIR) hyperintense signal in left posterior parietal region with focal irregularity of gyral pattern and dilatation of occipital horn. There was no restriction of diffusion noted in lesion in Diffusion Weighted Imaging (DWI). Apparent Diffusion Coefficient (ADC) exhibited hyper intense signal in the lesion. There were no abnormal flow voids. The lesion was non-enhancing and perifocal irregular nodular foci of enhancement were noted in post-contrast study with no perifocal oedema or mass effect [Table/Fig-5]. These features were suggestive of a porencephalic cyst along the superior convexity of left posterior parietal lobe with gliosis. The differential diagnoses include cystic lesions such as arachnoid cyst, epidermoid cyst.
Non-contrast computed tomography brain showing hypodense lesion in left posterior parietal lobe.

With dilatation of ipsilateral occipital horn of left lateral ventricle.

MRI brain showing cystic lesion in left posterior parietal lobe with gliosis, T1 weighted MRI coronal-hypo intense signal;

MRI brain showing cystic lesion in left posterior parietal lobe with gliosis, T2 weighted MRI coronal iso- to hyper- intense signal;

MRI brain showing cystic lesion in left posterior parietal lobe with gliosis, axial T1 contrast MRI with non-enhancing lesion.

She was treated with anti-epileptic drugs (inj. Lorazepam and inj. Valproate), i.v. Dexamethasone, i.v. Mannitol and intravenous fluid. Her sensorium improved gradually and she was discharged on Sodium Valproate tablets after a few days. On follow up patient was found to be asymptomatic till last 6 months.
Discussion
Porencephalic cyst is an uncommon intra-cranial cyst in adults. It is a congenital or acquired cavity within the cerebral hemisphere. It contains cerebrospinal fluid with smooth wall lined by gliotic or spongiotic white matter. It usually communicates directly with the ventricular system [1]. It varies greatly in size. It can be cortical or sub-cortical, unilateral or bilateral and often seen in territories supplied by the cerebral arteries. It has been suggested that, porencephalic cysts are caused by a disturbance of vascular supply leading to cerebral degeneration [2]. Congenital porencephalic cysts result from intra-uterine vascular injury leading to cerebral ischemia or intra-parenchymal haemorrhage. Intra-uterine infectious injury by a virus like cytomegalovirus can also give rise to congenital porencephalic cysts [3–5]. Amygdalar-hippocampal atrophy often co-exists with congenital porencephaly (95%), and the atrophy may be bilateral despite unilateral cysts [6]. Acquired cysts are secondary to injury later in life due to trauma, surgery, ischemia, or infection [7]. De novo or inherited heterozygous mutations in COL4A1, which encodes the type IV a1 collagen chain that is essential for structural integrity for vascular basement membranes, have been reported in individuals with porencephaly [2]. Our case depicts a porencephalic cyst in adulthood but the cause could not be ascertained.
Clinical features are variable as the cysts vary in size and location. Patients may be asymptomatic or may present with epilepsy, focal neurological deficits or mental retardation. Seizures may be partial or generalized. Motor deficits range from hemiparesis to severe atonic diplegia. Cognitive deficits vary from normal or slight learning disability to severe mental retardation. Microcephaly is usually associated [4,5]. EEG may help in the diagnosis, but the findings are not specific. CT scan brain reveals a hypodense intracranial cyst with a well defined border and central attenuation the same as cerebrospinal fluid. Usually there is no mass effect on the adjacent parenchyma, but occasionally very large cysts do result in local mass effect. It does not show enhancement with contrast. On MRI brain cyst appears well defined and lined by white matter with or without gliosis. It contains cerebrospinal fluid signal with low signal intensity in T1: high signal intensity in T2. FLAIR shows suppression of fluid signal intensity and DWI with no restricted diffusion [8]. The differential diagnosis for the porencephalic cyst includes arachnoid cyst, schizencephaly, and ependymal cyst. Arachnoid cysts are extra-axial and displace the brain cortex away from the adjacent skull. Schizencephaly is a CSF-filled cavity that is lined with heterotopic gray matter and extends all the way from the ventricle to the brain surface. Ependymal cysts are typically intra-ventricular with normal surrounding brain tissue [7]. Treatment may include physical therapy, anti-epileptic drugs for seizure disorders, and a shunt in case of hydrocephalus. Surgery is advised in the patients with anti-epileptic drug resistant epilepsy. This includes hemispherectomy and hemispherotomy, although usually performed in children and in cases of large porencephalic cysts related to ischemia or trauma [3–5]. Hemispherectomy is currently the surgical treatment of choice for intractable seizures associated with large, unilateral hemisphere porencephalic cysts and a neurologic deficit. An alternative minimally-invasive approach is permanent endovascular balloon occlusion in which the desired cerebral arteries are embolized. But this approach has yet to prove its safety and efficacy [9]. In our case; the patient was clinically asymptomatic following anti-epileptic drug therapy.
Conclusion
Seizure is one of the most common neurological symptoms that can arise from any insult to brain. Porencephalic cyst has diverse clinical features. It may be asymptomatic or present with epilepsy or spastic quadriparesis or mental retardation. Cases of porencephalic cyst in adults are rare and are seldom reported. An atypical case of this entity is discussed. Hence, porencephalic cyst should be considered among other differential diagnoses for seizures, mostly in children but also in adults.
[1]. Osborn AG, Choroid plexus cyst. Diagnostic imagingBrain 2004 1Salt Lake City, UtahAmirsys:7-30. [Google Scholar]
[2]. Yoneda Y, Haginoya K, Arai H, Yamaoka S, Tsurusaki Y, Doi H, De novo and inherited mutations in COL4A2, encoding the type IV collagen α2 chain cause porencephalyThe American Journal of Human Genetics 2012 90(1):86-90. [Google Scholar]
[3]. Ranjan M, Arivazhagan A, Chandrajit P, Chandramouli BA, Unusual manifestation of an orbital roof fracture in a child: Acute orbital leptomeningeal porencephalic cystNeurology India 2010 58(6):974-75. [Google Scholar]
[4]. Kokkinos V, Garganis K, Kontogiannis K, Zountsas B, Hemispherotomy or lobectomy? The role of presurgical neuroimaging in a young case of a large porencephalic cyst with intractable epilepsyPediatric Neurosurgery 2011 47(3):204-09. [Google Scholar]
[5]. Ozeki M, Funato M, Teramoto T, Ohe N, Asano T, Kaneko H, Reversible cerebrospinal fluid oedema and porencephalic cyst, a rare complication of ventricular catheterJournal of Clinical Neuroscience 2010 17(5):658-61. [Google Scholar]
[6]. Ho SS, Kuzniecky RI, Gilliam F, Faught E, Bebin M, Morawetz R, Congenital porencephaly: MR features and relationship to hippocampal sclerosisAmerican Journal ofeuroradiology 1998 19(1):135-41. [Google Scholar]
[7]. Osborn AG, Porencephalic cyst. Diagnostic imagingBrain 2004 1Salt Lake City, UtahAmirsys:7-36. [Google Scholar]
[8]. Ramsey RG, Huckman MS, Computed tomography of porencephaly and other cerebrospinal fluid-containing lesionsRadiology 1977 123(1):73-77. [Google Scholar]
[9]. Phillips J, Roberts G, Brennan P, Staunton H, Minimally-invasive endovascular occlusion therapy in two adults for seizures associated with congenital porencephalic cystsJournal of Epilepsy 1998 11(6):374-82. [Google Scholar]