Familial Schwannomatosis: A Diagnostic Challenge
Sameer Ajit Mansukhani1, Rajendra Prasad R. Butala2, Sunil H Shetty3, Ravindra G Khedekar4
1 Consultant Orthopaedic Surgeon, Laud Clinic, Mumbai, Maharashtra, India.
2 Associate Professor, Department of Orthopaedics, Pad. Dr. D.Y. Patil Hospital, Navi Mumbai, Maharashtra, India.
3 Professor and Head of Unit, Department of Orthopaedics, Pad. Dr. D.Y. Patil Hospital, Navi Mumbai, Maharashtra, India.
4 Professor and Head of Unit, Department of Orthopaedics, Pad. Dr. D.Y. Patil Hospital, Navi Mumbai, Maharashtra, India.
NAME, ADDRESS, E-MAIL ID OF THE CORRESPONDING AUTHOR: Dr. Sameer Ajit Mansukhani, 201 Sunny Hospital, Sunny Estate I, Sion trombay Road, Chembur, Mumbai-400071, Maharashtra, India.
E-mail: sameer8482@gmail.com
Schwannomatosis is a disease characterized by the development of multiple benign tumours originating from Schwann cells. Schwannomatosis is a member of the family of diseases known as Neurofibromatosis (NF). Patients with Schwannomatosis develop multiple Schwannomas on cranial, spinal and peripheral nerves. We report a rare case of a 60-year-old female who presented with a painful swelling on the ulnar aspect of her distal forearm. She underwent an excisional biopsy for it; which was suggestive of a Schwannoma. Following ulnar swelling surgery, she developed acute low back pain, which was burning in nature with radiation along both lower limbs without any neurovascular deficit. She was treated conservatively, failing which an MRI was performed which suggested abnormal lesions in the intradural extra medullary compartment of the spinal canal. She had multiple swellings over the entire body with a positive family history of similar swellings in her sister and nephew. The painful lumbar swellings were excised which on histopathological examination revealed to be Schwannomas. No neurological deficit was observed postoperatively. There were no neurocutaneous markers, axillary freckling, visual or auditory disturbances seen in the patient or her relatives. Any patient with multiple painful progressive swellings in the body without the characteristic features of NF-1 and NF-2 should raise the suspicion of Schwannomatosis.
Neurofibroma, Peripheral nerve, Tumour
Case Report
A 60-year-old female presented to the Departement of Orthopaedics with complaints of a painful swelling over the right distal forearm (approximately 8x4x5cm) on the medial aspect [Table/Fig-1,2] which was noticed six years ago which had gradually progressed to present day state. The pain was burning type, non-radiating and was not associated with any motor or sensory deficit. An ultrasonograpghy of the swelling was performed, which suggested the swelling to be arising from the ulnar nerve. She underwent excisional biopsy of the swelling under general anaesthesia. Incision was taken along the length of the swelling; the epineurium was excised and by gentle dissection using an artery forceps; a plane was made between the swelling and the nerve. The swelling was single, solitary, firm, eccentric to the nerve and yellow in colour suggestive of neurogenic origin. The plane was extended all around between the swelling and the nerve, ensuring that at no point the nerve would be damaged. At a point of attachment of the epineurium with the nerve, the epineurium was diretcly cut from the nerve without causing damage to the nerve. The swelling was removed as a single solid mass [Table/Fig-3a&b]. The epineurium was sutured using a non-absorbable sutures and the wound was closed. The swelling was sent for histopathological analysis, which was suggestive of a benign Schwannoma with typical Antoni A and Antoni B areas [Table/Fig-4]. Antoni A areas were composed of spindle shaped schwann cells arranged in interlacing fascicles with nuclear palisading. The Antoni B areas showed loose meshwork of gelatinous tissue. She was relieved of her forearm complaints at follow up.
Shows a huge swelling in medial side of the right distal forearm.

X-Ray showing that the swelling is a soft tissue and not arising from bone.

(a) Schwanoma being removed from the ulnar nerve; (b) Completely excised schwanoma.

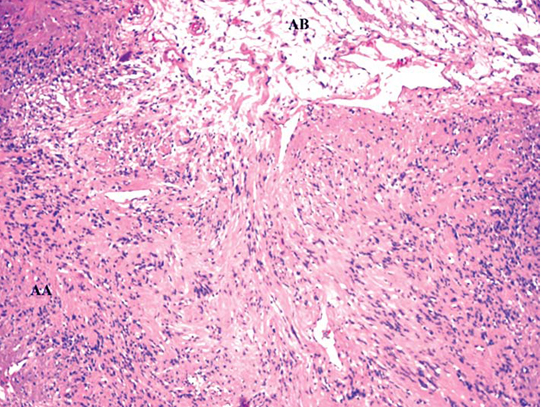
Histopathological slide of the schwanoma. Showing Antoni A(AA) and Antoni B (AB) cells. (Staining done using Haematoxylin & Eosin stain with a magnification of 200 X).

Following her forearm surgery, she complained of back pain, at follow up. She had this pain since three years which was of low grade intensity, dull aching and intermittent duration and was neglected. However, post forearm surgery her backpain had flared up in intensity, was continous and radiating along both lower limbs. She didn’t have any history of sensory or motor weakness. She gave history of multiple swellings over the entire body with a positive family history of similar swellings in her sister and nephew. There was no history of symptoms suggestive of neurogenic claudication or any major medical illness. There was no history of fever, weight loss, decrease in appetite or Kochs contact with any family member or relatives. Both her sister and nephew had swellings which were intermittently painful and were treated with pain medications. They (the patient and her relatives) didn’t have any neurocutaneous markers for NF-1 and didn’t have any visual or auditory complaints or axillary freckles. On examination, the patient had deep tenderness of the spine in the lumbar and sacral region. The nerve root tension signs such as straight leg raising test, Lasegue sign and femoral nerve stretch test were negative and she didn’t show any motor or sensory deficit.
There were 13 swellings noted scattered all over the patient’s body. The various sites being – right distal forearm medially, right cheek, left arm distally on the medial aspect, proximal to the right lateral malleolus, distal to the left knee joint, proximal to the insertion of tendoachilles on the left side [Table/Fig-5], right lumbar region of abdominal wall, left thigh medially and posteriorly each, right gluteal region, 2 over the paravertebral region and left leg anteromedially proximal to the medial malleolus. The patient underwent an Magnetic Resonance Imaging (MRI) of the lumbar spine and screening of whole spine which showed abnormal lesions in the intradural extra-medullary compartment of the spinal canal at cervical, dorso-lumbar and lumbar levels, the largest at L1 and L2 levels [Table/Fig-6a,b]. MRI brain was normal. The Electromyography-Nerve Conduction Velocity (EMG-NCV) was also normal. She was given a conservative trial with analgesic and anti-inflammatory medications, but when symptoms persisted she was operated upon for the lumbar spine swellings.
Swelling present at the tendo-achillis.

MRI showing T1W and T2W images of the lumbosacral spine showing the tumour.

In prone position, under general anaesthesia, the dura was longitudinally opened through the posterior approach and two swellings approximately 1.5x1.2 cm [Table/Fig-7a,b] in size were excised and the dura was repaired with non-absorbable sutures. The plane between the swelling and nerve fibres was created using a dissecting artery forceps. Gradually, the swellings were separated by blunt dissection and excised. The excised swellings from both sites were sent for histopathological analysis, which was suggestive of a benign Schwannoma with typical Antoni A and Antoni B cells. Postoperatively patient was relieved of the radiating pain and was ambulated on the third postoperative day with a lumbo – sacral brace. Post-spinal surgery she complained of increase in pain and size of the ankle swelling. However, due to financial and social constraint she refused surgery. She was followed up for 30 months and didn’t show any signs of recurrence of pain or any swelling in the operated areas. As long as she followed up, she had pain around the ankle swelling which was temporarily relieved with pregabalin and analgesics. At last follow up she had informed she was returning to her village and was subsequently lost to follow up.
(a) Intraoperative picture of spinal Schwanoma; (b) Schwanomas after being excised.

Discussion
Schwannomas are benign, encapsulated, slow growing nerve sheath tumours [1] consisting of schwann cells. They represent about 1/3rd of all benign primary spinal tumours [2]. They develop on the outside of the nerve, but may push it aside or against adjacent structures causing damage [3]. The presence of multiple schwannomas in a single patient is suggestive of genetic predisposition to tumour genesis and a possible association with syndromes such as Neurofibromatosis (NF). The incidence of NF-1 at birth is 1/2500, while that of NF-2 is 1/33,000 [4]. The most important finding for NF-2 is presence of bilateral schwannomas involving the 8th cranial nerve with an incidence of 95% patients [4]. Schwannomatosis was first reported in 1973 as Neurofibromatosis (NF) type 3 [5]. It has been reported by various authors that Schwannomatosis is distinct from other forms of NF [6–9] and it may be inherited in an autosomal dominant pattern [10]. With a predisposition to develop multiple schwannomas, the clinical spectrum continues to expand as more and more cases are reported. Schwannomas in Schwannomatosis are seen along cranial, spinal and peripheral nerves but not along the vestibular nerves as characteristically seen in NF-2 [11]. Because the phenotype of schwannomatosis overlaps with NF-2, the first published reports did not appear in the literature until the 1990s. By 2003, genetic studies showed that the NF-2 locus was excluded as the cause for familial schwannomatosis [12]. The candidate region for the causative gene was narrowed during the 2000s, and in 2007, Hulsebos TJ et al., reported a constitutional SMARCB1 mutation in a family affected by schwannomatosis [13]. Since 2007, research on the genetic and molecular basis of schwannomatosis has expanded [12].
Until lately, there were no defined criteria for the diagnosis of Schwannomatosis. In 2005, the first working draft of diagnostic criteria for Schwannomatosis was published as a result of The Children Tumour Foundation’s “International Consensus Conference on Schwannomatosis” [14]. The diagnostic criteria set forth in 2005 [14] predated the ability to perform molecular testing for schwannomatosis, and also did not take account of the possibility of multiple meningiomas as a presenting feature. Based on the current knowledge of the disorder, the National Institute of Health (NIH) proposed the following new criteria for diagnosis [12]:
Molecular Diagnosis:
Two or more pathologically proved schwannomas or meningiomas and genetic studies of at least two tumours with Loss of Heterozygosity (LOH) for chromosome 22 and two different NF2 mutations; if there is a common SMARCB1 mutation, this defines SMARCB1-associated schwannomatosis.
One pathologically proved schwannoma or meningioma and germline SMARCB1 pathogenic mutation.
Clinical Diagnosis:
Two or more non-intradermal schwannomas, one with pathological confirmation, including no bilateral vestibular schwannoma by high-quality MRI (detailed study of internal auditory canal with slices no more than 3 mm thick). Recognize that some mosaic NF2 patients will be included in this diagnosis at a young age and that some schwannomatosis patients have been reported to have unilateral vestibular schwannomas or multiple meningiomas.
One pathologically confirmed schwannoma or intracranial meningioma and affected first-degree relative.
Consider as possible diagnosis if there are two or more non-intradermal tumours but none has been pathologically proven to be a schwannoma; the occurrence of chronic pain in association with the tumour(s) increase the likelihood of schwannomatosis.
Patients with the following characteristics do not fulfill diagnosis for schwannomatosis:
Germline pathogenic NF2 mutation
Fulfill diagnostic criteria for NF2
First-degree relative with NF2
Schwannomas in previous field of radiation therapy only [12].
The patient reported, fulfilled all clinical diagnostic criteria as well as a histopathological diagnosis was established. However, due to financial constraints a molecular analysis couldn’t be carried out. Her sister and nephew had similar swellings which were intermittently painful and were treated with pain medications [12]. They had no neurocutaneous markers for NF-1 and didn’t have any visual or auditory complaints. The incidence of Schwannomatosis in reported literature is limited and the spectrum of features and diagnostic criteria is still not very well established. We developed interest in the case when the ulnar nerve histopathological analysis reported a schwannoma, as we had assumed it to be a Neurofibroma; considering the relatively higher incidence. On detail history, examination and investigation; the clinical syndrome became clear. One feature which was very striking was sudden increase in pain at the site of another swelling following surgery at another site. Even though pain [15] has been described as a feature of schwannoma a sudden increase in pain at another site; was a feature we noticed different from other reported cases.
Conclusion
With an overlap of symptoms of both NF-1 and NF-2 and lack of awareness of the syndrome of Schwannomatosis, it is obvious for a surgeon to miss the clinical diagnosis of this condition. Apart from Neurofibromatosis, Schwannomatosis should be considered as a differential, when a surgeon comes across a patient with multiple swellings in the body. A detail history and clinical examination with supportive investigations in the form of MRI and histopathogical analysis and molecular studies aid in clinching the diagnosis. Use of analgesics at times helps in avoiding surgery; but if no relief, surgical excision is the treatment of choice.
[1]. Kralick F, Koenigsberg R, Sciatica in a patient with unusual peripheral nerve sheath tumoursSurg Neurol 2006 66:634-37. [Google Scholar]
[2]. Mautner VF, Tatagiba M, Lindenau M, Funsterer C, Pulst SM, Baser ME, Spinal tumours in patients with neurofibromatosis type 2: MR imaging study of frequency, multiplicity, and varietyAJNR Am J Roentgenol 1995 165(4):951-55. [Google Scholar]
[3]. Enzinger FM, Weiss SW, Soft tissue tumours 1988 2nd ednSt. LouisMosby:724-815. [Google Scholar]
[4]. Rouleau GA, Merel P, Lutchman M, Sanson M, Zucman J, Marineau C, Alteration in a new gene encoding a putative membrane-organizing protein causes neurofibromatosis type 2Nature 1993 363:515-21. [Google Scholar]
[5]. Nimura M, NeurofibromatosisRinsho Derma 1973 15:653-63. [Google Scholar]
[6]. Evans DGR, Huson SM, Donnai D, Neary W, Blair V, Newton V, A clinical study of type 2 NeurofibromatosisQ J Med 1992 84:603-18. [Google Scholar]
[7]. MacCollin M, Woodfin W, Kronn D, Short MP, Schwannomatosis: A clinical and pathologic studyNeurology 1996 46:1072-79. [Google Scholar]
[8]. Mautner VF, Tatagiba M, Guthoff R, Samii M, Pulst SM, Neurofibromatosis in the pediatric age groupNeurosurgery 1993 33:92-96. [Google Scholar]
[9]. Parry DM, MacCollin M, Kaiser-Kupfer MI, Pulaski K, Nicholson HS, Bolesta M, Germ line mutations in the neurofibromatosis 2 gene: Correlation with disease severity and retinal abnormalitiesAm J Hum Genet 1996 59:529-39. [Google Scholar]
[10]. Evans DGR, Mason S, Huson SM, Ponder M, Harding AE, Strachan T, Spinal and cutaneous Schwannomatosis is a variant form of type 2 neurofibromatosis: A clinical and molecular studyJ Neurol Neurosurg Psychiatry 1997 62:361-66. [Google Scholar]
[11]. Landi A, Dugoni DE, Marotta N, Mancarella C, Delfini R, Spinal Schwannomatosis in the absence of Neurofibromatosis: A very rare conditionInternational Journal of Surgery Case Reports 2011 2:36-39. [Google Scholar]
[12]. Plotkin RS, Blakeley JO, Evans GD, Hanemann OC, Hulsebos JMT, Hunter-Schaedle K, Update From the 2011 International Schwannomatosis Workshop: From Genetics to Diagnostic CriteriaAm J Med Genet A 2013 0(3):405-16. [Google Scholar]
[13]. Hulsebos TJ, Plomp AS, Wolterman RA, Robanus-Maandag EC, Baas F, Wesseling P, Germline mutation of INI1/SMARCB1 in familial schwannomatosisAm J Hum Genet 2007 80:805-10. [Google Scholar]
[14]. MacCollin M, Chiocca EA, Evans DG, Friedman JM, Horvitz R, Jaramillo D, Diagnostic criteria for schwannomatosisNeurology 2005 64(11):1838-45. [Google Scholar]
[15]. Javalkar VK, Pigott T, Pal P, Findlay G, Multiple schwannomas: Report of two casesEur Spine J 2007 16(Suppl 3):S287-S292. [Google Scholar]