Modified Occlusal Settling Appliance in Twin Block Therapy
Harpreet Singh1, Rajkumar Maurya2, Pranav Kapoor3, Poonam Sharma4
1 Assistant Professor, Department of Orthodontics, ESI Dental College and Hospital, New Delhi, India.
2 Dental Officer and Orthodontist, Department of Orthodontics, Corps Dental Unit, Bhopal, Madhya Pradesh, India.
3 Associate Professor, Department of Orthodontics, ESI Dental College and Hospital, New Delhi, India.
4 Professor, Department of Orthodontics, ESI Dental College and Hospital, New Delhi, India.
NAME, ADDRESS, E-MAIL ID OF THE CORRESPONDING AUTHOR: Dr. Raj Kumar Maurya, P8 Khulna Marg, Corps Dental Unit, S I Lines Military Station, Bhopal, Madhya Pradesh, India.
E-mail: bracedbyraj@gmail.com
Early treatment with the Twin-block appliance is effective in reducing overjet and severity of malocclusion in Class II division 1 malocclusions with functional mandibular retrusion. Appearance of bilateral severe posterior open bite in some cases subsequent to completion of active phase of Twin block therapy poses a challenge to an orthodontist. Closure of posterior open bites of large magnitude is difficult to achieve with conventional upper anterior inclined plane used during support phase of Twin-block therapy. A simple yet effective modification of upper anterior inclined plane is proposed, which is an effective and invaluable adjunctive aid in correction of posterior open bite.
Anterior inclined plane, Class II, Open bite
This article describes a simple modified occlusal settling appliance for use as an aid in correction of posterior open bite of large magnitude during support phase of Twin-block therapy.
Technique of Fabrication
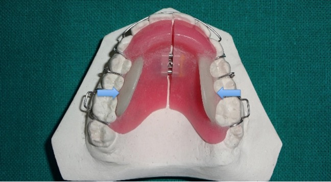
After correction of molar relationship achieved at the completion of active phase of Twin-block therapy, maxillary and mandibular stage impressions were made with alginate. The overcorrected molar relationship was replicated onto the models using inter-occlusal wax bite registration done in patient’s mouth. Thereafter, maxillary and mandibular casts with the inter-occlusal wax bite were mounted on the hinge articulator. The upper anterior inclined plane was placed on maxillary cast. By using bulk method, the freshly prepared mix of cold-cure monomer resin and polymer was contoured and adapted with fingers and thumb to build thin acrylic flanges of desired height on the latero-palatal aspects of the appliance. The width of lateral acrylic flanges was kept to a minimum to ensure reduced bulk of appliance and avoid encroaching onto the physiologic tongue space. The final appliance was later finished and polished to prevent any irritation and to ease adaptation difficulties, before being delivered to the patient. Favorable occlusal changes brought about by the use of the modified appliance [Table/Fig-1] are illustrated in [Table/Fig-2a2b,3a,3b,4a,4b,5a,5b,6a,6b,7a and 7b].
Upper anterior inclined plane with modification (depicted by arrows) placed on maxillary cast.

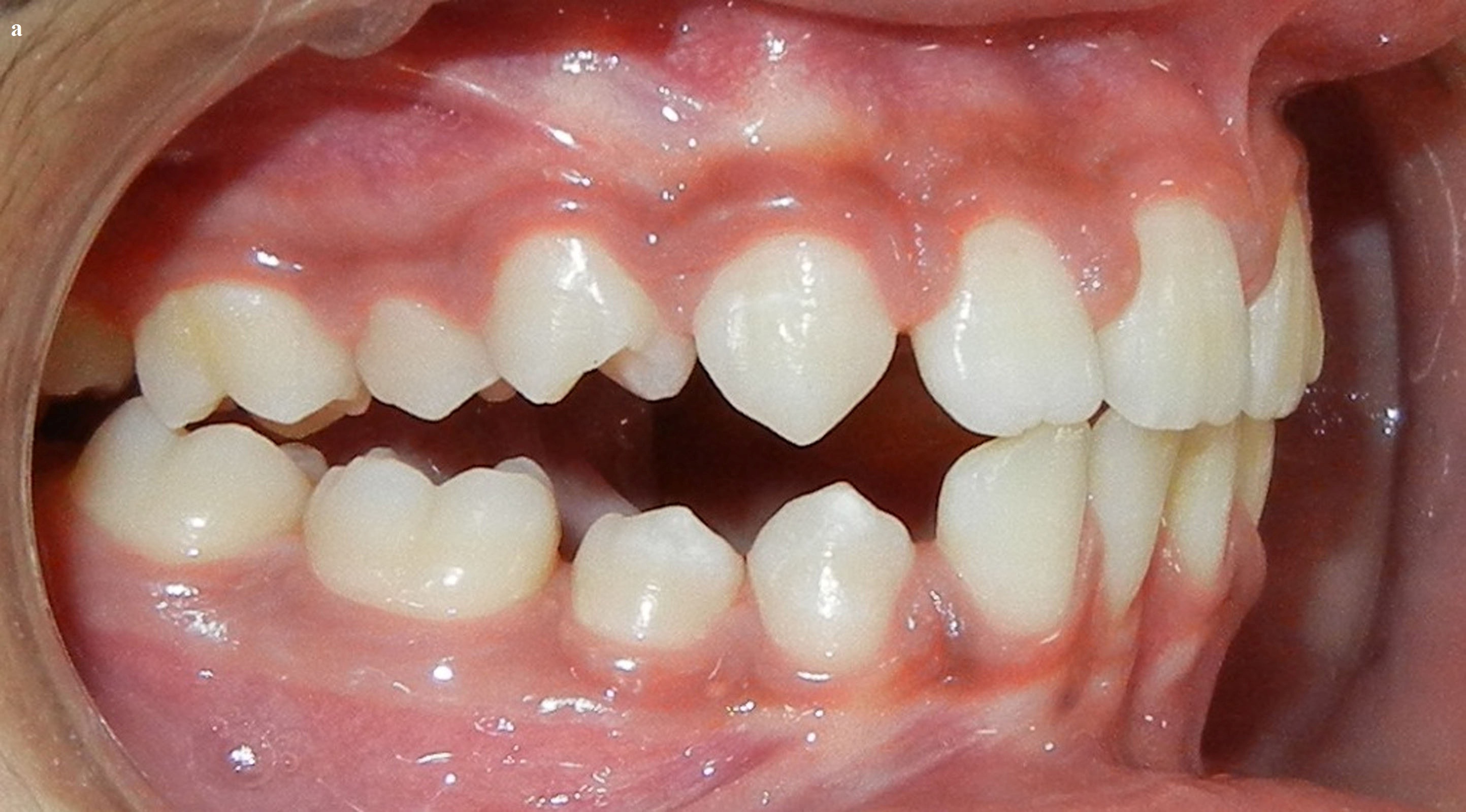
Pre-treatment right lateral view.

Pre-treatment left lateral view.

Twin-block appliance used for the patient.

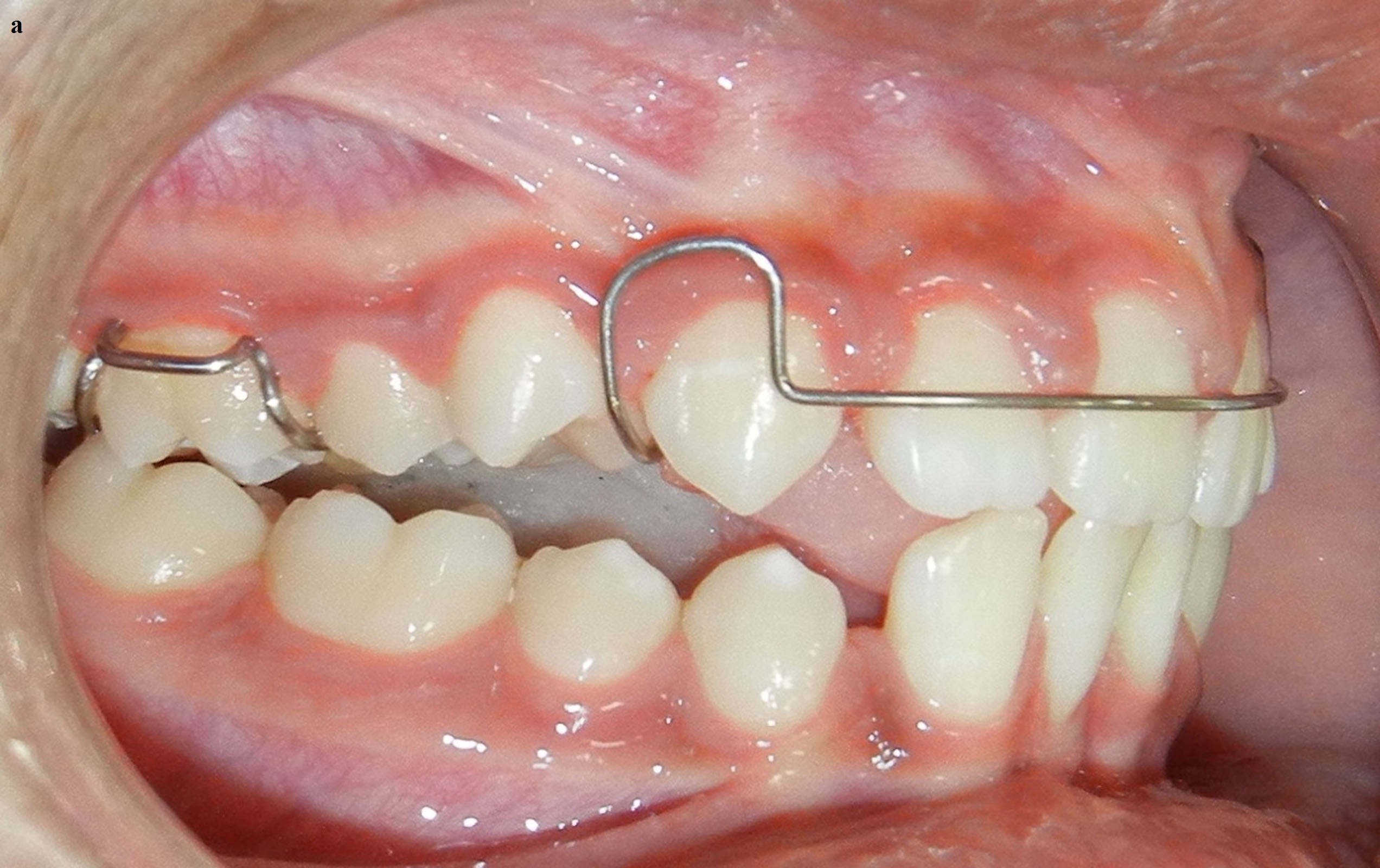
Right lateral view showing correction of overjet following active phase of Twin-block therapy and presence of posterior open bite.

Left lateral view showing correction of overjet following active phase of Twin-block therapy and presence of posterior open bite.

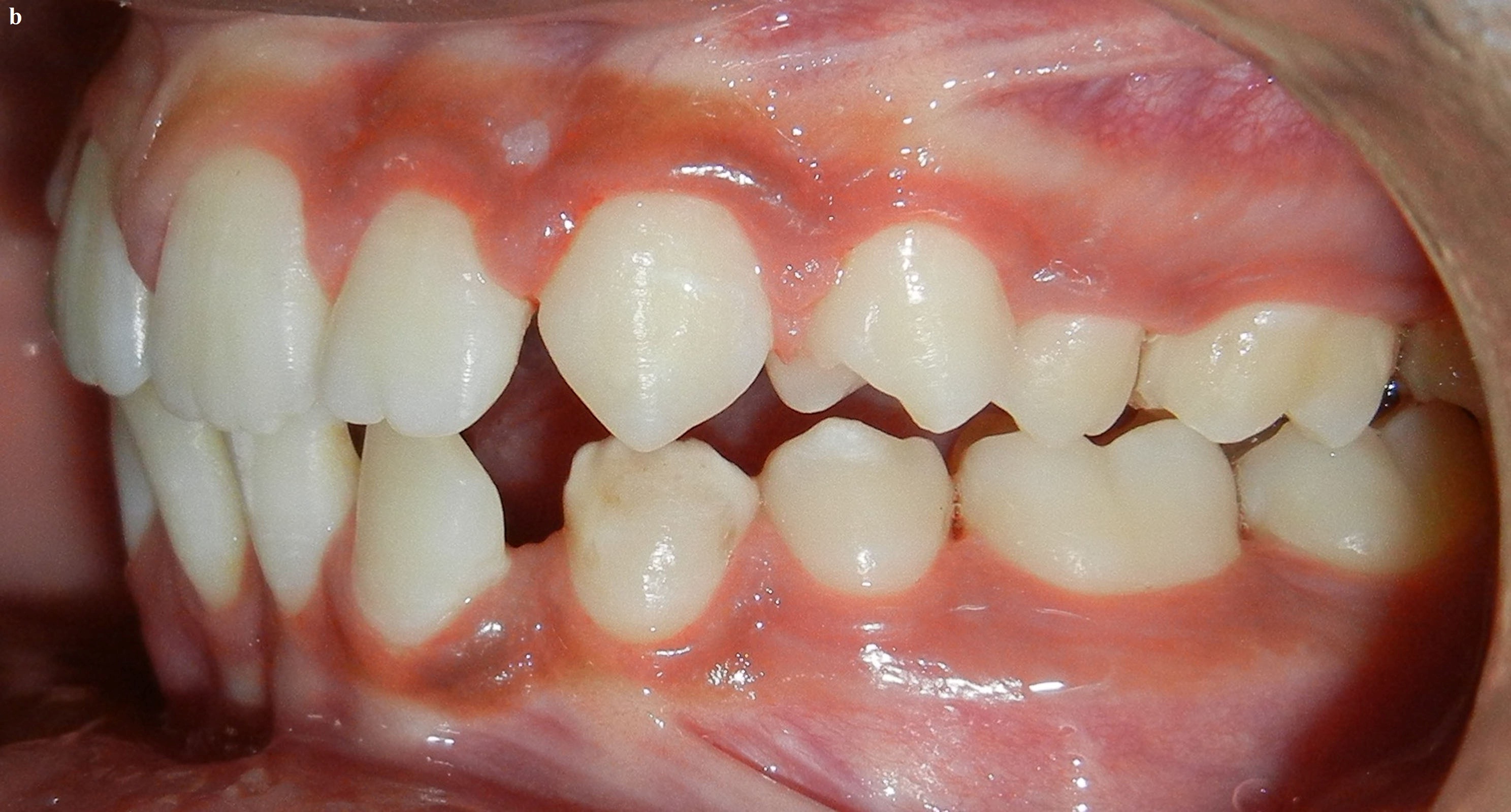
Treatment progress - right lateral view with the appliance in place after 1 month.

Treatment progress - left lateral view with the appliance in place after 1 month.

Treatment progress - right lateral view after 4 months.

Treatment progress - left lateral view after 4 months.

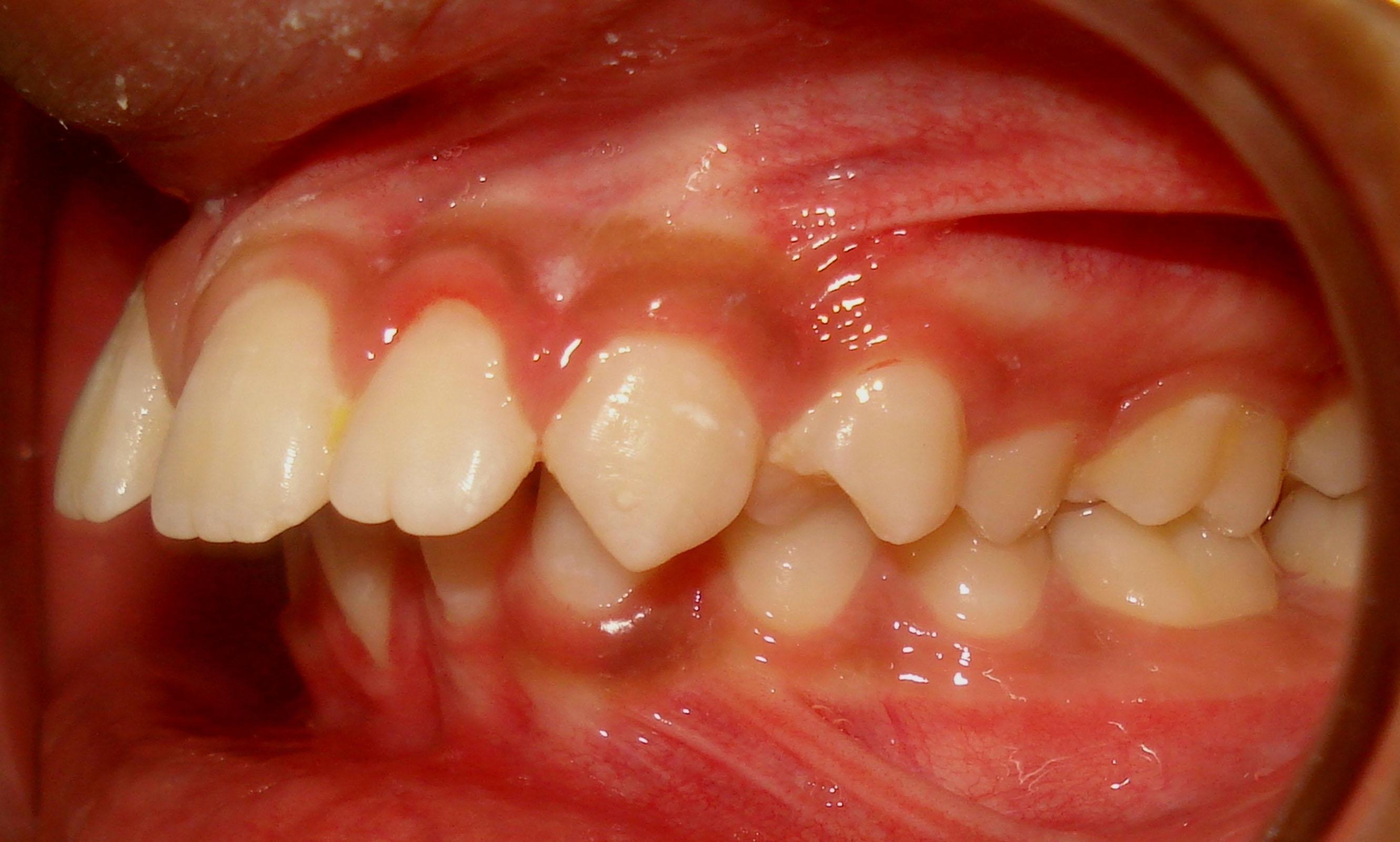
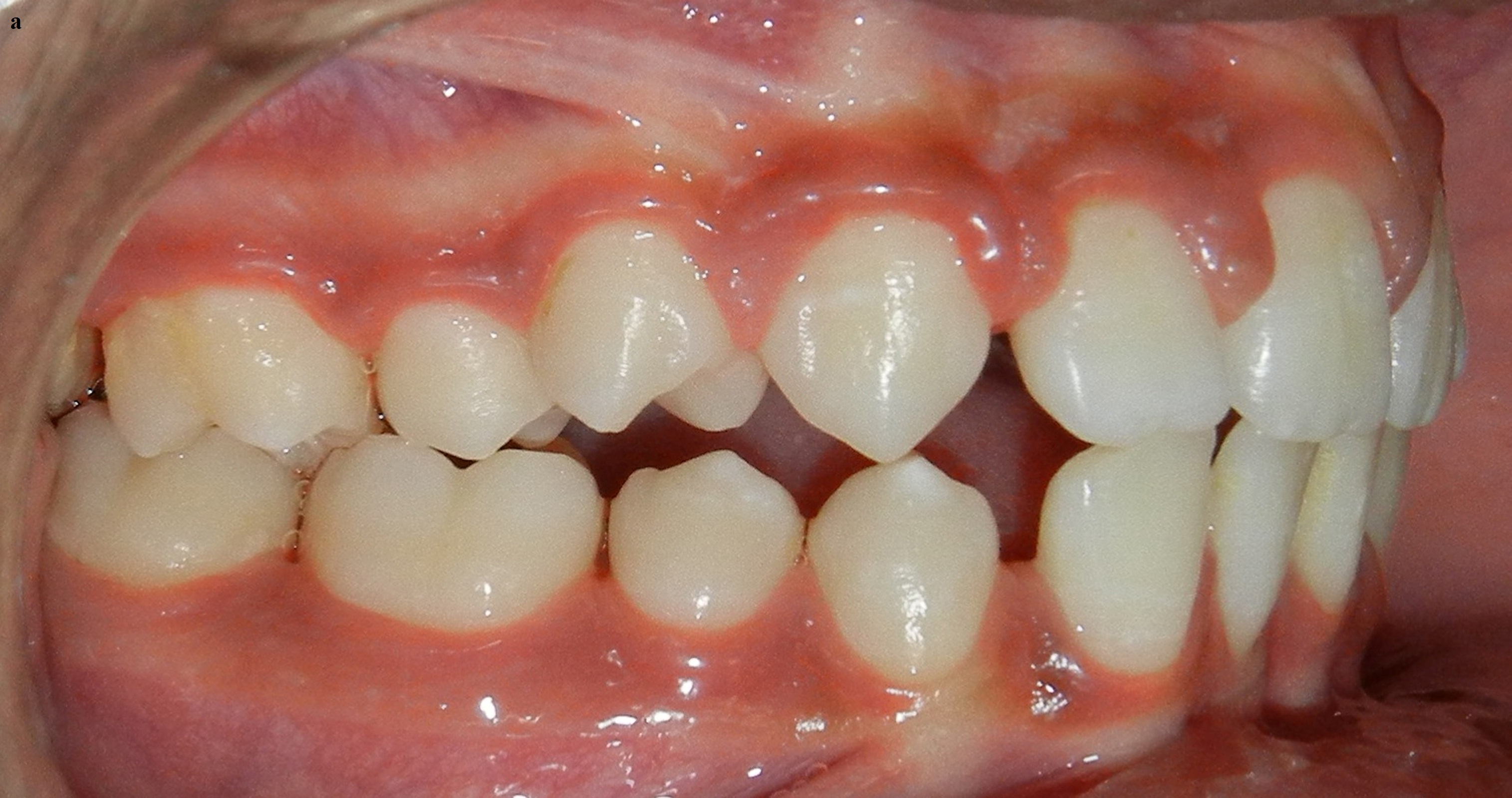
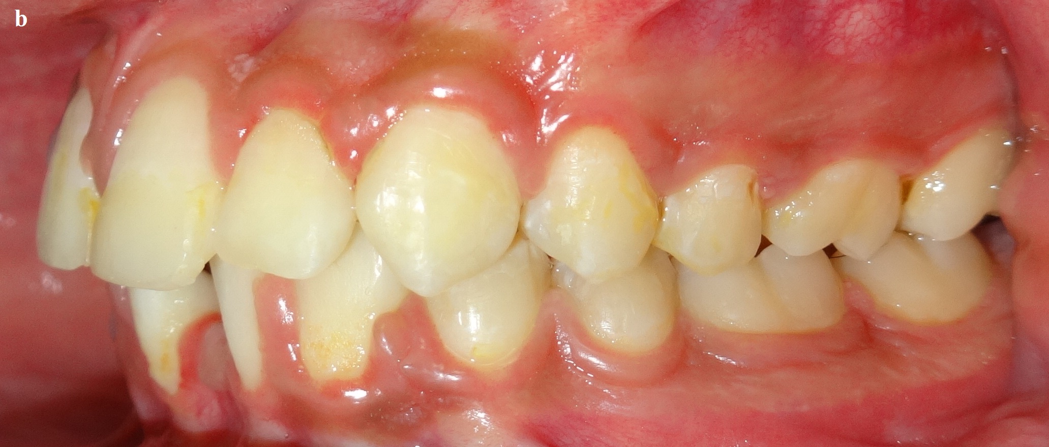
Right lateral view depicting correction of posterior open bite after 6 months.

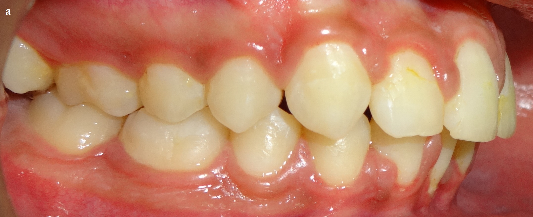
Left lateral view showing settled occlusion achieved with modified anterior inclined plane appliance after 6 months.

Discussion
Class II division 1 malocclusion with retrognathic mandible forms a sizeable number of patients seeking orthodontic treatment due to functional and esthetic concerns [1]. One of the primary objectives of orthodontic treatment in such patients is to correct or improve the esthetic appearance of the face and dentition and thereby enhance psychosocial function and well-being. Treatment with Twin-block appliances results in a reduction in the overjet, correction of molar relationships, and reduction in severity of malocclusion [2]. Rapid functional correction with Twin-block is achieved by transmitting favourable occlusal forces to the occlusal inclined planes of the posterior teeth. Subsequent to correction of the sagittal mal-relationship after the active phase of Twin-block appliance therapy, an open bite usually develops in posterior segments. An anterior inclined plane is thus used in the support phase to retain the corrected antero-posterior and incisal relationship until the buccal segment occlusion is fully established [3]. However, some cases may present with a severe posterior open bite (5-6mm), making bite closure and occlusal setting with the conventional anterior inclined plane difficult due to the lateral spread of tongue between upper and lower buccal segments. The unobtrusive design of the modified upper anterior inclined plane restrains the lateral spread of the tongue, thus, preventing the development of lateral tongue thrust and aiding in rapid settling of buccal segment occlusion.
Advantages
When desirable, it facilitates leveling of curve of Spee by simultaneous eruption of maxillary and mandibular buccal segments.
It reduces the amount of time which would eventually be required for settling of occlusion using fixed appliances.
It can be used as an alternative to the more cumbersome lateral tongue cribs/rakes used for the closure of posterior open bite [3].
By incorporating ball-end clasps instead of Adam’s clasps, it can also be used in conjunction with fixed appliances and during the settling phase of post-surgical orthodontic treatment of Class II division 1 malocclusions [Table/Fig-8].
It is simple and easy to fabricate.
As compared to fixed cribs, it can be removed by the patient for easy cleanliness.
As a pre and post surgical splint in settling.

Disadvantages
Being a removable appliance, patient compliance is deemed necessary to ensure desirable treatment result.
Difficulty in adaptation to normal function of speech in patients with large tongue size and protracted resting tongue posture.
Increased risk of damage or breakage of appliance if not worn or handled properly.
Contraindications
Patients exhibiting allergy/delayed hypersensitivity to methyl-methacrylate resins.
Patients with hyper-divergent growth patterns due to increased predisposition to further hinge-opening of mandibular plane angle, resulting from eruption of upper and lower buccal segments.
Patients with epilepsy and macroglossia.
Conclusion
Adjunctive use of modified upper anterior inclined plane during support phase of Twin-block therapy results in correction of posterior open bite and aids in rapid progression of occlusal settling, thus, reducing the overall duration of treatment.
[1]. Nanda RS, Dandajena TC, Nanda R, Biomechanic Strategies for Nonextraction Class II Malocclusions. In: Nanda R, editorBiomechanics and Esthetic Strategies in Clinical Orthodontics 2005 Saunders Publishing Co:177-93. [Google Scholar]
[2]. O’Brien KD, Wright J, Conboy F, Sanjie Y, Mandall N, Chadwick S, Effectiveness of early orthodontic treatment with the Twin-block appliance (a multicenter, randomized controlled trial. Part 1: dental and skeletal effects)Am J Orthod Dentofacial Orthop 2001 124:234-43. [Google Scholar]
[3]. Clark WJ, The Twin Block Technique. In: Graber TM, Rakosi T, Petrovic AG, editorsDentofacial Orthopedics with Functional Appliances 1997 2nd edMissouriMosby Co:268-98. [Google Scholar]