Case Report
A systemically healthy 23-year-old male patient reported to the Department of Periodontics, College of Dental Sciences, Davangere, Karnataka, India with the chief complaint of pain in his upper front tooth since one week which aggravated on biting. Past dental history revealed a self-fall and trauma to the upper front tooth region, two months back. Clinical examination revealed inflamed gingiva, pus exudation, extrusion, Miller’s Grade III mobility, pocket depth of 14mm mesio-, mid- and distolabially; 10mm mesio- and distopalatally in relation to left maxillary central incisor. The tooth was nonresponsive to pulp sensitivity test. Intra-Oral Periapical Radiograph (IOPA) revealed severe bone loss [Table/Fig-1]. The diagnosis of true combined lesion was established and periodontally hopeless prognosis assigned. Hereafter, the patient was advised to undergo extraction, followed by replacement options such as Removable Partial Denture (RPD), Fixed Partial Denture (FPD) or implants. However, due to financial constraints patient was reluctant for extraction and keen on retaining his natural tooth. Therefore, a treatment plan consisting of intentional replantation with Guided Tissue Regeneration (GTR) was formulated. The success rate of treatment and complications were explained to patient and a written consent was obtained.
Pre-operative radiograph.

Case Management: Phase I therapy including scaling, root planning and splinting with wire and composite [Table/Fig-2] was carried out, no occlusal interferences were noted. This was followed by endodontic treatment involving placement of calcium hydroxide dressing for two weeks followed by obturation with guttapercha. Surgery was scheduled four weeks after completion of endodontic treatment.
Pre-operative clinical view after phase I therapy and provisional splinting.

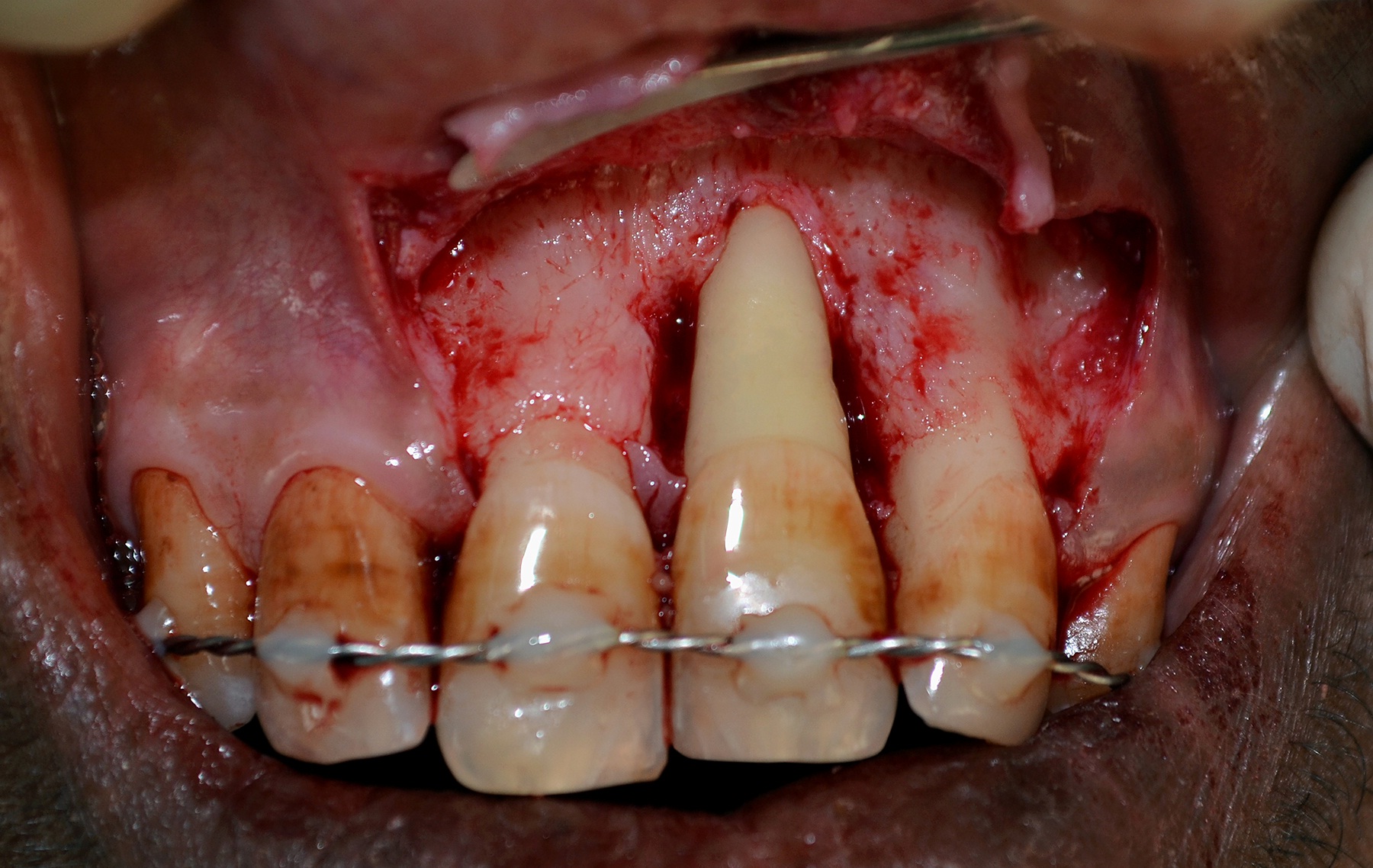
Replantation Procedure: After obtaining adequate anesthesia using Lignocaine hydrochloride 2%, a full thickness mucoperiosteal flap was reflected which revealed periodontal destruction extending beyond the root apex [Table/Fig-3]. Splint removal was followed by atraumatic tooth extraction. Extracted tooth was root planed with Gracey’s curettes for removal of calculus, remaining periodontal ligament and necrotic cementum and was immediately placed in a solution of tetracycline (500 mg of tetracycline dissolved in 20 ml saline) for 5 min.
Reflection of full thickness mucoperiosteal flap revealing bone loss beyond the apex of the root of left maxillary central incisor.

After debridement of the defect site, autologous Platelet Rich Fibrin (PRF) was obtained as follows: Around 5 ml of whole venous blood was collected in sterile test tubes of 10 ml capacity without anticoagulant, which was then placed in a centrifuge at 3000 revolutions per minute (rpm) for 10 minutes. PRF mixed with Xenograft (Osseomold, Encoll, USA) was placed in the bony defect [Table/Fig-4] followed by placement of Type I Collagen (Healiguide, Encoll, USA) membrane. The tooth was replanted, aligned and splinted [Table/Fig-5]. The total extra-alveolar time was less than 20 minutes. Postoperative instructions were given emphasizing on avoiding biting with anterior teeth. Amoxicillin 500 mg tid for five days, diclofenac sodium (50 mg) twice daily for three days and a chlorhexidine mouthrinse 0.2% twice daily for two weeks were prescribed to the patient.
Placement of PRF and Xenograft (Osseomold) after atraumatic extraction of left maxillary central incisor and debridement of the defect.

Replantation of the left maxillary central incisor.

Clinical Outcomes: At 10th post-operative day, sutures were removed and oral hygiene instructions reinforced. At three months recall visit, IOPA revealed radiopacity in periapical area suggestive of new bone formation [Table/Fig-6], thus the splint was removed at this time. At 9th post-operative month mobility was remarkably reduced to Grade I with a significant reduction in probing pocket depth (5 mm), but a Miller’s Class I recession (5 mm) was observed [Table/Fig-7]. IOPA revealed significant radiopacity in apical 1/3rd of the root [Table/Fig-8]. As mobility reduced and patient was comfortable, surgical re-entry along with root coverage was planned.
Three month post-operative radiograph.

Clinical view at 9th post-operative month after splint removal, exhibiting Miller’s Class I recession.

Nine month post-operative radiograph.

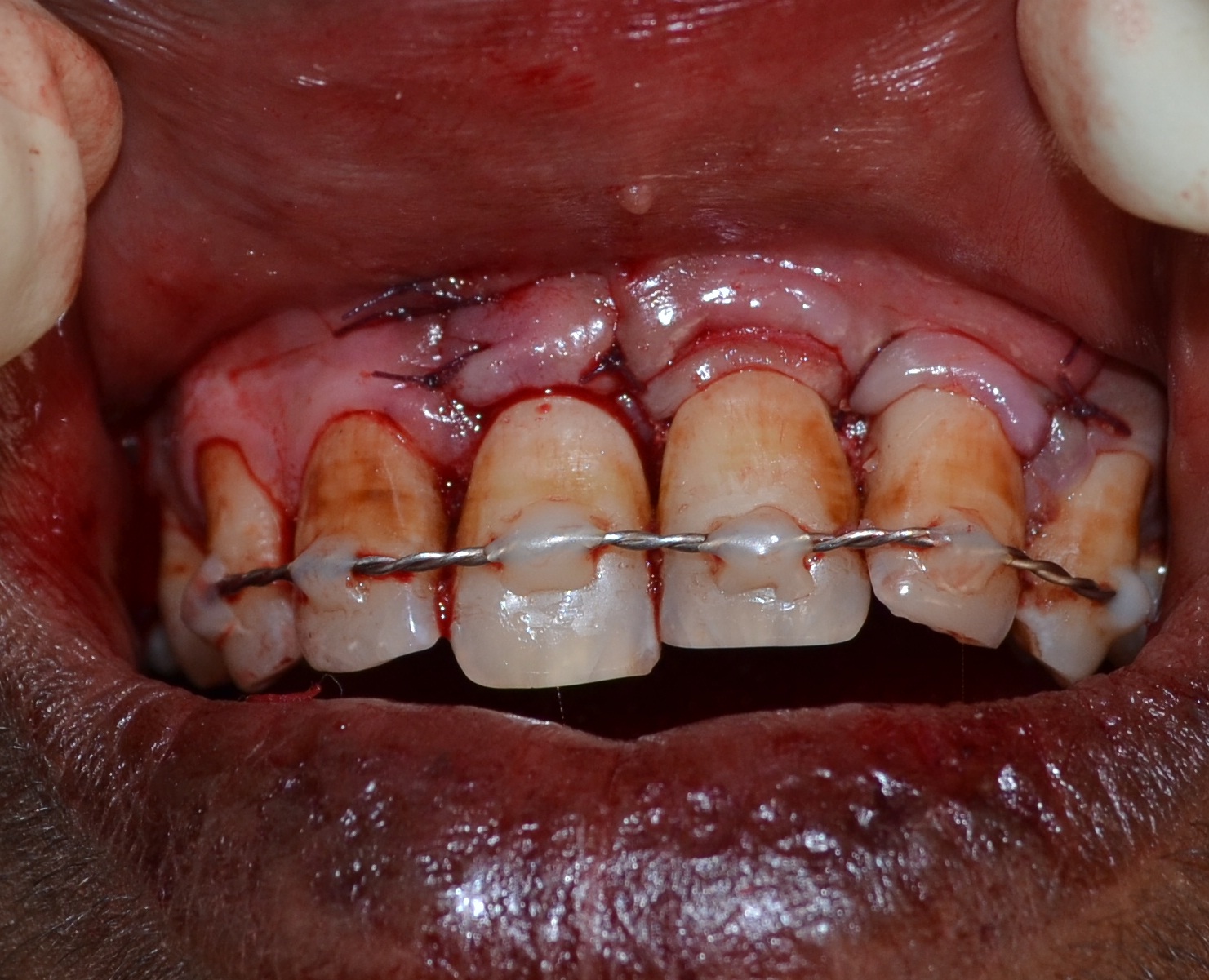
Surgical Re-entry: Tooth was re-splinted and full thickness mucoperiosteal flap was raised revealing bone formation in the apical 1/3rd of the root [Table/Fig-9]. The middle and coronal third of the root were still deficient in bone support. Hence, the defect wall was decorticated [1] using round bur, followed by placement of Xenograft (Osseomold, Encoll, USA). Coronally advanced flap with Sub-epithelial Connective Tissue Graft (SCGT), along with PRF was used for recession coverage [Table/Fig-10]. Vicryl (5-0) sutures (Ethicon, USA) were used to stabilize the graft and the flap [Table/Fig-11]. Periodontal dressing (Coe-Pack) was placed. On 10th post-operative day sutures were removed.
Surgical re-entry at 9th post-operative month revealing bone formation in the apical third.

Recession coverage using SCTG and PRF.

Suturing post-recession coverage using SCTG and PRF.

At three months follow-up after the surgical re-entry partial root coverage (3mm) was appreciated [Table/Fig-12]. IOPA revealed radio-opaque areas in the middle and apical third of the involved tooth root [Table/Fig-13]. Patient was satisfied with the functional and esthetic outcome.
One year post-operative clinical view.

One year post-operative radiograph.

Radiographic Outcomes: To facilitate quantification of alveolar bone loss from the radiographs which were obtained using paralleling technique, two types of measurements were used: The intra-alveolar root length hi and the total root length ht. The total root length ht was defined as the distance from the apex to the proximal cementoenamel junction parallel to the long axis of the tooth. The intra- alveolar root length (hi) was defined as the distance from the apex to the highest point on the alveolar margin. The percentage of Bone Loss (BL) was calculated according to the following equation [2]:
BL (%) = (1 – hi/ht) x 100%.
The pre-operative bone loss was estimated to be 100% since the bone loss extended beyond the root apex, whereas at nine months BL was 13%. The percentage of Bone Gain (BG) achieved was calculated using the following equation [2]:
BG (%) = Pre-op BL (%) – Post-op BL (%)
At one year follow up, 87% of bone gain was achieved. No evidence of ankylosis was observed radiographically.
Discussion
A clinician confronts a challenging situation to achieve complete restoration of tissues while managing teeth with hopeless periodontal prognosis and extraction is the only possible treatment [3]. Intentional replantation may be an effective alternative in these situations increasing visibility and accessibility. Intentional replantation is the extraction of a tooth and its replacement in its socket to perform extra-oral root canal therapy, or curettage of apical lesion and was defined by Grossman as: ’a purposeful removal of a tooth and its reinsertion into the socket almost immediately after sealing the apical foramina’ [4].
Although intentional replantation is commonly contraindicated in a periodontally involved tooth [5], several studies have reported successful clinical results, suggesting this as an alternative treatment technique of last resort for periodontally involved teeth [6–8]. However, there is no evidence of surgical re-entry in the literature to validate the prognosis of this procedure.
A tooth with periodontal destruction extending beyond the root apex is considered hopeless, and extraction is the only possible treatment. Neither nonsurgical nor surgical treatment is effective in such cases because of limited accessibility to instrumentation and unfavorable tooth stability after treatment. [9] Therefore, replantation can be a viable mode of treatment to preserve the natural dentition [3,8]. In the present case report considering the patient’s economic status and fervor to save the natural tooth, replantation was planned.
Trivial evidence has testified replantation as a successful substitute to extraction for periodontally involved hopeless teeth [3,6,8,10]. Recently, regenerative techniques have been used successfully with this procedure allowing additional bone formation and attachment gain [8,10]. Application of combined regenerative methods can further increase the success rate of intentional replantation particularly in teeth with advanced periodontal destruction. The use of Choukroun’s PRF (a second generation platelet growth factor) and nano HA crystals with replantation has been reported previously for the treatment of extrusive luxation exhibiting successful clinical and radiographic results [11]. PRF, a second generation platelet concentrate, consists of an assembly of glycanic chains, cytokines and structural glycoproteins enmeshed within a slowly polymerized fibrin network with the potential of promoting regeneration [12]. Thus, present case was treated using a combination of PRF, Xenograft and Type-I Collagen membrane. This is amongst the rare reports to demonstrate use of PRF in replantation of a periodontally compromised tooth. Sharma et al., and Thorat et al., investigated the regenerative potential of PRF in intrabony defects in chronic periodontitis patients and reported a significant improvement in bone fill [13,14]. PRF promotes the expression of phosphorylated Extracellular signal-regulated Protein Kinase (p-ERK) stimulating the production of Osteoprotegerin (OPG) which in turn causes proliferation and differentiaon of osteoblasts [15].
Baltacioglu et al., performed intentional replantation with regenerative techniques using enamel matrix derivative and demineralized freeze-dried bone allograft and reported successful results [10].
The involved tooth in the current report was mobile and devoid of bone support [Table/Fig-2] hence, it can be anticipated, that the exposed root would be lacking vital periodontal ligament cells, which can act as a nidus of infection leading to ankylosis and external root resorption. To circumvent these complications, the tooth was root planed to completely eliminate any remaining non-vital PDL cells and necrotic cementum resulting in better tissue healing for bone as well as gingiva [3]. The extracted tooth was placed in tetracycline-HCl solution at a concentration of 100mg/ml mainly because of its widely accepted anti-resorptive, antibacterial, anti-inflammatory and anti-collagenase properties [3,8,11]. Tetracycline antibiotics are widely used in periodontal therapy, as they have been found to have a direct inhibitory effect on osteoclasts thus, inhibiting both bone resorption and collagenase activity. Tetracyclines also cause surface demineralization enhancing the binding of matrix proteins to dentin thus enhancing the attachment of fibroblast thereby leading to their growth by increasing the binding of fibronectin to dentin [3].
Different storage media for example, milk, Hank’s balanced salt solution, contact lens solutions, saliva, saline, propolis, green tea, Morus rubra (red mulberry), egg white and coconut water and natural products like water have been used in literature for teeth intended for replantation [16]. However, extraoral time and storage conditions are crucial factors in determining the viability of the remaining PDL cells, and the prognosis of avulsed tooth. In the present case the tooth was devoid of viable PDL cells. Hence, tetracycline was used after thorough scaling for removal of the necrotic periodontal membrane. Lindskog et al., suggested that chemical denudation of root surface prior to replantation of the teeth that lack vital periodontal membrane prevents resorption and render the cementum less vulnerable to resorption than if the necrotic membrane is left intact prior to replantation [17]. Lee et al., reported an extra-oral time of 10-14 days in a delayed replantation study of periodontally compromised teeth with successful results [2].
Debridement of the socket is advised since the presence of necrosed and inflamed tissue impairs wound healing and bone formation [7].
Tooth mobility may inhibit bone gain and periodontal regeneration, consequently forming a deep pocket and inducing apical migration of epithelial attachment, hence, the tooth was splinted for a period of three months [18].
Several methods have been proposed to assess the outcomes of regenerative therapy. Re-entry surgery is among the most common methods used to evaluate regeneration and is considered to be a nearly full proof method of evaluating regeneration. This method has the advantage in that it is simple, easy and involves no special equipment or expertise [19]. Therefore, at nine months, since no complication was evident clinically as well as radiographically [Table/Fig-8,9] a re-entry surgery was performed to substantiate the clinical and radiographic outcomes. During the re-entry surgery intra-marrow penetration (decortication) was done in order to enhance the periodontal wound healing [1]. A coronally advanced flap technique with SCTG using full thickness flap was employed to cover the single Miller’s Class I recession. Although a partial-thickness flap elevation has been recommended to enhance the revascularization of the graft, the elevation of a full thickness flap is justified since comparative studies found no difference between full or partial thickness flap in terms of percentage of root coverage [20].
To the best of the authors’ knowledge, this case report is the first to demonstrate surgical re-entry in a replanted tooth providing strong evidence of its success. However, we were not able to achieve complete root coverage owing to the fact that the buccal bone did not regenerate to the cervical third of the tooth. Replantation of a periodontally involved hopeless tooth along with guided tissue regeneration therapy is a technique sensitive procedure and must be performed at the hands of a skilled peridontist who is quick and well versed with the procedure. It requires both expert hands and a compliant patient.
Ankylosis followed by root resorption of the replanted teeth is a common complication which affects the long term prognosis of such teeth. Every attempt should be made to minimize this problem. However, this process is slow and will allow retention and function of tooth in the oral cavity for sufficient time. Root resorption results in slow replacement of root portion by bone which is advantageous for further rehabilitation both in case of implants and fixed prosthesis. This becomes significant especially in younger individuals with anterior tooth involvement. Thus, it’s a win-win situation both for the patient and the clinician.
Conclusion
The preservation of natural dentition is the primary goal of any conservative treatment modality. The present report provides a factual insight to the evidence that intentional replantation is effective in preserving the natural dentition, especially when conventional treatment is not applicable. A compliant patient, thorough root planning and debridement, decortication and application of combined regenerative therapy and splinting to immobilize the tooth are the keys to successful management of this case. The report indicates replantation as a promising treatment modality and lays foundation for further research. Thus, intentional replantation need not be contraindicated in periodontally compromised teeth and could be a valuable tool in the inventory of a periodontist to preserve the natural dentition. There is definitely hope for the hopeless!
[1]. Andreasen JO, Analysis of pathogenesis and topography of replacement root resorption (ankylosis) after replantation of mature permanent incisors in monkeysSwed Dent J 1980 4:231-40. [Google Scholar]
[2]. Lee EU, Lim HC, Lee JS, Jung UW, Kim US, Lee SJ, Delayed intentional replantation of periodontally hopeless teeth: a retrospective studyJ Periodontal Implant Sci 2014 44:13-19. [Google Scholar]
[3]. Demiralp B, Nohutçu RM, Tepe DI, Eratalay K, Intentional replantation for periodontally involved hopeless teethDent Traumatol 2003 9:45-51. [Google Scholar]
[4]. Benenati FW, Intentional replantation of a mandibular second molar with long-term follow-up: report of a caseDent Traumatol 2003 19:233-56. [Google Scholar]
[5]. Kratchman S, Intentional replantationDent Clin North Am 1997 41:603-17. [Google Scholar]
[6]. Lu DP, Intentional replantation of periodontally involved and endodontically mistreated toothOral Surg Oral Med Oral Pathol 1986 61:508-13. [Google Scholar]
[7]. Baykara M, Eratalay K, Replantation in cases with advanced periodontal destructionJ Hacettepe Faculty Dentistry 1995 19:124-28. [Google Scholar]
[8]. Demir B, Demiralp B, Guncu GN, Uyanik MO, Caglayan F, Intentional replantation of a hopeless tooth with combination of platelet rich plasma, bioactive glass graft material and non-resorbable membrane: a case reportDent Traumatol 2007 23:190-94. [Google Scholar]
[9]. Wang J, Jiang Y, Chen W, Zhu C, Liang J, Bacterial flora and extraradicular biofilm associated with the apical segment of teeth with post-treatment apical periodontitisJ Endod 2012 38:954-59. [Google Scholar]
[10]. Baltacioglu E, Tasdemir T, Yuva P, Celik D, Sukuroglu E, Intentional replantation of periodontally hopeless teeth using a combination of enamel matrix derivative and demineralized freeze-dried bone allograftInt J Periodontics Restorative Dent 2011 31:75-81. [Google Scholar]
[11]. Patel GK, Gujjari SK, Annapoorna BM, Veerendra Kumar SC, Management of chronic luxated central incisor with hopeless prognosisJ Indian SocPeriodontol 2013 17:670-75. [Google Scholar]
[12]. Chang IC, Tsai CH, Chang YC, Platelet-rich fibrin modulates the expression of extracellular signal-regulated protein kinase and osteoprotegrin in human osteoblastsJ Biomed Mater Res A 2010 95:327-32. [Google Scholar]
[13]. Sharma A, Pradeep AR, Treatment of 3-wall intrabony defects in patients with chronic periodontitis with autologous plateletrich fibrin: a randomized controlled clinical trialJ Periodontol 2011 82(12):1705-12. [Google Scholar]
[14]. Thorat M, Pradeep AR, Pallavi B, Clinical effect of autologous platelet-rich fibrin in the treatment of intra-bony defects: a controlled clinical trialJ Clin Periodontol 2011 38(10):925-32. [Google Scholar]
[15]. Chang IC, Tsai CH, Chang YC, Platelet-rich fibrin modulates the expression of extracellular signal-regulated protein kinase and osteoprotegerin in human osteoblastsJ Biomed Mater Res A 2010 95:327-32. [Google Scholar]
[16]. Poi WR, Sonoda CK, Martins CM, Melo ME, Pellizzer EP, de Mendonça MR, Storage media for avulsed teeth: a literature reviewBraz Dent J 2013 24(5):437-45. [Google Scholar]
[17]. Lindskog S, Pierce AM, Blomlof L, Hammarstrom L, The role of the necrotic periodontal membrane in cementum resorption and ankylosisEndod Dent Traumatol 1985 1:96-101. [Google Scholar]
[18]. Ferencz JL, SplintingDent Clin North Am 1987 31:383-93. [Google Scholar]
[19]. Reddy MS, Jeffcoat MK, Methods of assessing periodontal regenerationPeriodontol 2000 1999 19:87-103. [Google Scholar]
[20]. Mazzocco F, Comuzzi L, Stefani R, Milan Y, Favero G, Stellini E, Coronally advanced flap combined with a subepithelial connective tissue graft using full- or partial-thickness flap reflectionJ Periodontol 2011 82:1524-29. [Google Scholar]