Introduction
The infiltration of tumour stroma by eosinophils, Tumour-Associated Tissue Eosinophilia (TATE) is known to modulate the evolution of Oral Squamous Cell Carcinoma (OSCC). Identification of eosinophils in the inflammatory stroma has been proven to be an important factor in prognostication of malignant tumours including cancers of mouth, oesophagus, larynx, pharynx, breast, lung, intestine and genitourinary tract.
Aim
Our study aimed to assess the role of TATE as a prognosticator in OSCC as visualized by Haematoxylin and Eosin (H&E) and congo red staining.
Materials and Methods
Thirty histologically-proven cases of OSCC were retrieved from the archives of Department of Oral Pathology, Manipal College of Dental Sciences, Mangalore, Manipal University, Karnataka, India. Two serial sections of 4μm thickness were made and subjected to routine staining with H&E and modified congo red staining, where eosinophil granules stained red and nuclei stained blue. In 40x magnification, 10 HPF at invasive tumour front were assessed for counting eosinophils by placing a 49 square grid (measuring 0.0289 sq mm).
Statistical Analysis
The TATE was compared with the prognosticators using Mann-Whitney U-test. The grades of carcinoma were correlated with TATE using Kruskal-Wallis test followed by Post-hoc Bonferronis correction. Agreement of the number of eosinophils counted in the two staining techniques (H&E and Congo red) in OSCC was achieved using interclass correlation coefficient, and Friedman’s test. A value of p< 0.05 was considered statistically significant.
Results
Our results showed that tissue eosinophil counts were higher in well-differentiated cases of OSCC, cases with lymph node involvement, decreased survival, without margin involvement and in cases that did not recur. H&E stain showed significantly better visualization of eosinophils resulting in higher eosinophil counts than when seen with Congo red (p=0.008).
Conclusion
Thus, TATE can be used as a surrogate marker in prediction of survival and recurrence in OSCC. H&E proved to be a better stain for evaluation of eosinophils.
Introduction
Among the prevailing oral diseases of recent times, oral carcinoma bears the grimmest prognosis. Diagnosis of this disease at an early stage is critical as survival is directly related to the clinical stage of diagnosis [1]. One of the major drawbacks of clinical staging is its inability to quantify biologic aggressiveness of tumours at a cellular level [2]. Tumour-host interaction is a complex feature of tumour progression and is an increasingly important target for anticancer strategies. Thus, the tumour microenvironment is considered a crucial component in the understanding of the biologic behavior of a neoplasm [3].
‘Tumour microenvironment’encompasses cellular interactions between cancer cells, immune effectors and inflammatory cells, as well as cells of the tumour vasculature and the stroma. Inflammatory cells play a decisive role in different stages of tumour development, including initiation, promotion, progression, invasion and metastasis [4]. Amongst the inflammatory cells, eosinophils are most enigmatic in the role they play in the immune system [5]. Eosinophils are known to have an important role in health and disease. They are mainly involved in initiation and propagation of diverse inflammatory responses including infections, tissue injury and allergic diseases and are known modulators of innate and adaptive immunity [6].
Tumour-Associated Tissue Eosinophilia (TATE) can be defined as “eosinophilic stromal infiltration of a tumour not associated with tumour necrosis or ulceration.” This was said to be first described in1896 by Przewoski in carcinoma of cervix. It is characterized by the presence of eosinophils as a component of peritumoural and intratumoural inflammatory infiltrate [6,7].
Under the impact of appropriate stimuli (e.g., infections, tumours, etc.), the eosinophils release several mediators such as IL-1, IL-2, IL-4, IL-5, IL-6, IL-8, IL- 10, IL-12, IL-13, IL-18, interferon (INF)-γ, transforming growth factor (TGF)- α, TGF- β, Eosinophil Cationic Protein (ECP), Major Basic Protein (MBP), Eosinophil Peroxidase (EPO), Eosinophil-Derived Neurotoxin (EDN), Tumour Necrosis Factor (TNF)- α, Chemokines (RANTES, endotaxin-1), Platelet-Activating Factor (PAF), Leukotriene C4 (LTC4), Neuromediators and Indoleamine 2,3-dioxygenase (IDO). These molecules may cause cell death and initiation of inflammatory symptoms as well as contribute to tumour regulation [8].
Thus, the eosinophils are postulated to have direct tumouricidal activity with the release of cytotoxic proteins and they also act indirectly by enhancing the permeability into tumour cells facilitating penetration of tumour-killing cytokines. Furthermore, the eosinophils are said to promote tumour angiogenesis by the production of several angiogenic factors [2,3].
Studies have shown variable results by correlating TATE with prognosis in OSCC. It can be associated with better prognosis or poor prognosis or even having no impact on the prognosis of the patient outcome [2,9,10].
Aim
The present study therefore aimed to clarify the ambiguous role of TATE as a prognosticator in OSCC by the assessment of eosinophils using Haematoxylin and Eosin (H&E) and congo-red staining. The eosinophil counts were correlated with lymph node invasion and prognosis of disease.
Materials and Methods
After obtaining Institutional ethical clearance vide reference no: 14049, MCODS, Mangalore, 30 histopathologically-proven cases of OSCC (10 cases of each grade) were included in the study.
Tissue sampling: A thorough pathologic review of each selected case of OSCC was made. From each tissue block, two serial sections of 4μm thickness (using Histocut Rotary microtome, Reichert Jung, Germany) were taken, with one section each being subjected to routine staining with H&E and Congo red stain respectively. Additionally, Bryne et al., histological grading was done on the H&E stained tissue sections [11].
Congo Red Staining Procedure
Sections were deparaffinized and hydrated through graded alcohols and dipped in water. Thereafter, they were placed in 1% congo red solution for 10 minutes followed by washing in water. Differentiation was done by dipping the slide once in 2.5% KOH solution. Sections were then progressively counterstained with Mayer’s haematoxylin for 15 minutes and washed under running tap water followed by differentiation in 1% acid alcohol by dipping once. Lastly, the sections were dehydrated through alcohol, cleared in xylene and mounted with Distrene Dibutylphthalate Xylene (DPX) mounting media. (Modified procedure for staining from Debta P et al., [2].
Counting of Eosinophils
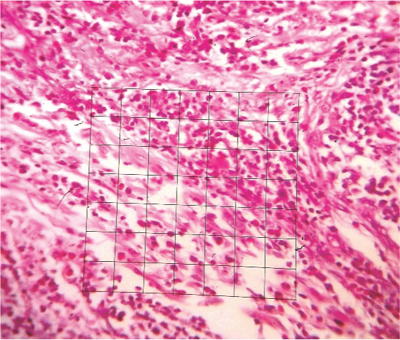
The invasive front of the tumour (ITF) was chosen for estimation of eosinophils. The eosinophils were counted in 10 consecutive High Power Fields (HPF) at 40x magnification (using Olympus CH20i) placing a 49-square grid reticule and compared in both H&E and Congo red-stained tissue sections [Table/Fig-1,2].
Eosinophils in H&E stained sections of OSCC.

Eosinophils in Congo red stained sections of OSCC.

Statistical Analysis
The TATE was compared with the lymph node status, survival and recurrence using Mann-Whitney U test based on the skewed pattern in distribution of the values. The grades of carcinoma were correlated with TATE using Kruskal-Wallis test followed by Post-hoc Bonferronis correction. Agreement of the number of eosinophils counted in the two staining techniques (H&E and Congo red) in OSCC was achieved using interclass correlation coefficient, and Friedman’s test was performed to identify the best stain to count eosinophils. A value of p< 0.05 was considered statistically significant. SPSS statistical software package version (version 20.00) was used.
Results
a) Assessment of Eosinophils in Grades of Carcinoma
Comparison of eosinophil counts between different grades of OSCC as assessed using Kruskal-Wallis test showed raised eosinophil counts in well differentiated carcinoma, followed by poorly and moderately differentiated carcinoma. However, the results were statistically not significant (p=0.642) [Table/Fig-3].
Comparison of eosinophil counts between different grades of OSCC by using Kruskal-Wallis.

b) Assessment of TATE with Prognosticators
On comparison of tissue eosinophils with various prognosticators (survival, recurrence, margin involvement and lymph node status) as assessed by Mann-Whitney U test, higher eosinophil counts were seen in cases with lymph node involvement and decreased survival, as well as in cases whose surgical margins were uninvolved and in those cases that did not recur. However, the findings were not statistically significant [Table/Fig-4].
Assessment of TATE with prognosticators.
| Prognosticators | Status | MedianTATE | N | MeanRank | Sum ofranks | Z | p-value |
|---|
| Recurrence | No Recurrence | 13 | 9 | 8.83 | 79.5 | -0.319 | 0.75(NS) |
| Recurrence | 13 | 7 | 8.07 | 56.5 |
| MarginInvolvement | Free | 24 | 4 | 19.25 | 77 | -1.641 | 0.101(NS) |
| Involved | 11 | 22 | 12.45 | 274 |
| SurvivalStatus | Alive | 13 | 9 | 6.94 | 62.5 | -0.077 | 0.938(NS) |
| Dead | 16 | 4 | 7.13 | 28.5 |
| LymphnodeStatus | Free | 13 | 12 | 11.45 | 138.5 | -0.956 | 0.339(NS) |
| Involved | 13 | 13 | 14.35 | 186.5 |
Comparison of tissue eosinophils with various prognosticators (survival, recurrence, margin involvement and lymph node status) as assessed by Mann-Whitney U test.
c) Assessment of TATE in H&E and Congo red
On comparing the eosinophil count with H&E and congo red staining technique, significantly (p=0.008) higher numbers of eosinophils were visualized in sections stained by H&E as compared to congo red [Table/Fig-5].
Comparison of eosinophil counts between H & E and Congo red stain.
| Mean | N | Std.Deviation | Meandifference | Std.Deviation | t | df | Sig.(2-tailed) |
|---|
| Hematoxylin | 18.27 | 30 | 14.164 | 6.333 | 12.198 | 2.844 | 29 | 0.008(S) |
| Congo red | 11.93 | 30 | 6.523 |
On comparing the eosinophil count with H & E and Congo red staining technique by Friedman’s test
Discussion
The hallmark of OSCC is the invasion of neoplastic epithelial cells into surrounding host tissue by complex interactions. Bidirectional interplay exists between these transformed epithelial cells and stromal cells causing notable changes in host stroma. As a result of host response to tumourigenic cells, the stroma is infiltrated by an array of inflammatory cells. Among them, TATE has been documented and described in carcinomas located in different sites as nasopharynx, larynx/pharynx, gastrointestinal tract, lung, external genitalia, esophagus and oral cavity [12]. Sato M et al., highlighted the importance of tumour tissue eosinophils from other tumour-associated inflammatory cells that infiltrated the invasive front of SCC of the maxillary sinus [13]. Lowe D et al., proposed the terms "Tumour-Associated Tissue Eosinophilia (TATE)" and "Tumour-Associated Blood Eosinophilia (TABE)" to emphasize the possible clinical and/or biological significance of eosinophils in patients with various malignancies [14].
Numerous studies have expanded the role of TATE as a prognosticator of OSCC. Studies by Debta P et al., Lowe and Fletcher CD., Gold Smith MM et al., and Dorta RG et al., have suggested that increased numbers of tissue eosinophils are associated with an anti-tumoural role and thus reflect good prognosis [2,15,15–17]. On the contrary, studies by Horiuchi K et al., Van Driel WJ et al., and Wong DTW et al., suggest that tissue eosinophils play a tumour-promoting role in OSCC [18–20]. Moreover, Oliveira DT et al., [21] found that tumour-associated tissue eosinophilia showed no prognostic value in OSCC and suggested that intense tumour-associated tissue eosinophilia is a mere reflection of the stromal invasion of the OSCC that occurs in advanced clinical stages. Thus, the role of TATE still remains controversial [2,15–21].
The present study attempted to attain a better understanding of the role of the eosinophils in the malignant transformation of oral mucosal tissue. We found the median values of eosinophil count were higher in well-differentiated cases of OSCC. Also, upon correlation with prognostic factors (recurrence and margin involvement) eosinophil counts were seen to be higher in those cases that exhibited no recurrence and no margin involvement.
While our findings tempted us to suggest considering TATE as a favourable prognosticator that prevents local extension of the tumour in Head and Neck Squamous Cell Carcinoma (HNSCC), we also had contradiction within the study as increased TATE was seen in those cases that showed lymph nodes involved by tumour and decreased survival rate, thereby indicative of an unfavourable prognosis. Said M et al., also reported increased eosinophil counts in invasive laryngeal neoplasms compared to non-invasive neoplastic lesions suggesting TATE to be a morphologic feature associated with tumour invasion [9]. A study by Oliviera DT et al., reported intense TATE to be strongly associated with advanced stages (i.e., T3/T4) of the carcinoma [21].
The contradictory results of the influence of TATE on prognosis may be explained with a thorough understanding of the role of tumour-associated eosinophils and their influence on the clinical outcome as elaborated [Table/Fig-6].
Explaining the possible mechanism of TATE. Modified from Martinelli Klay CP [8] and Singh VK [24].

During the growth of tumour, few areas undergo hypoxic/ tissue necrosis. The necrotic tumour cells produce IL-5, IL-3, eotaxin-1, as well as thymus and activation-regulated chemokine (TARC or CCL17). These factors collectively and also along with other diverse stimuli acts on the differentiation and/or migration of eosinophils from circulation causing tissue eosinophilia [22]. Moreover, according to Lorena SC et al., in OSCC, eosinophils themselves are the main source of eotaxin showing autocrine mechanism for tissue eosinophilia [12]. Once these eosinophils get recruited to the affected site, they undergo degranulation that is mediated by factors released directly from necrotic tumour cells. One such contributing factor is the eosinophil-derived cytokine High-Mobility Group Box 1 (HMGB1) which binds to the receptor on eosinophils for advanced glycation end products (RAGE) and triggers eosinophil degranulation. Upon degranulation, they release an arsenal of cytotoxic proteins (Eosinophil cationic protein, Major basic protein, Eosinophil peroxidase, Eosinophil-derived neurotoxin) causing tumour cell apoptosis and thus exhibit anti-tumoural properties. Eosinophils which are involved in initiation and propagation of diverse inflammatory responses can also modulate innate and adaptive immunity. They also secrete an array of pro-inflammatory cytokines, such as interleukin IL-2, IL-4, IL-5, IL-10, IL-12, IL-13, IL-16, IL-18, and Transforming Growth Factor (TGF)- α and β, chemokines such as CCL5/RANTES and CCL11/eotaxin-1, and lipid mediators such as platelet-activating factor (PAF) and leukotriene (LT) C4 [23]. These cytokines are capable of promoting T-cell proliferation and influence Th1 or Th2 differentiation mainly based on the predominance of a given cytokine in the microenvironment of the responding Th cells. The presence of IL-4 is a potent stimulus for Th2 differentiation, whereas IL-12 favours Th1 development [24].
The initial stages of carcinoma are said to be characterized predominantly by Th1 response (IL-12 and INF-γ, cellular immunity response). In turn, these Th 1 cells release various chemokines amongst which IL -2 and INF-γ are potent inducers of eotaxin, an eosinophil chemoattractant. Eotaxin binds to CCR3 receptor of eosinophils and recruits more eosinophils to the tumour site. Thus the tumours associated with Th1 response are said to have better prognosis [25]. However, in advanced stages of oral squamous cell carcinoma, with increasing tumour load, lymph node invasion and metastasis, T-cell function is impaired with higher antibody response. This immune dysregulation is associated with alteration of T-helper (Th) phenotype leading to distinct profiles of cytokines. Tumour cells in cases exhibiting lymphnode metastasis and poorer differentiation have higher IDO (Indoleamine 2, 3-Dioxygenase) expression [26]. IDO-dependent tryptophan catabolites including 3-hydroxyanthranilic and quinolinic acids are known to induce selective apoptosis of Th1 but not Th2 cells thereby evading immune surveillance. Additionally, advanced stages of carcinoma are associated with more frequent expression of IL-4 and IL-10 thereby tipping the immune response towards Th 2 cell type mediation. Th2 cells in turn produce distinct cytokines like IL-4, IL-5, IL-6, IL-9, IL-10, and IL-13 of which, IL-4 has an antiapoptotic property and IL-13 inhibits the IFN-γ secretion and CD8+ cytotoxic T lymphocyte (CTL) activity, thus compromising the cell-mediated anti-tumour immunity response. However, IL- 4 and IL-13 are also potent inducers of eotaxin chemokines that can explain the eosinophilia. The eosinophils further are capable of producing IDO, adding to the further inhibition of cytotoxic T cell response. Also, the eosinophils which are recruited to growing tumour site as a connective tissue response to tissue damage secrete tissue remodelling factors like basic fibroblast growth factor, GM-CSF, MMPS, TGF-β and angiogenic factors. These in turn fuel the growth of the tumour [8,10,25,27].
Thus, the eosinophils are like a “Double-edged sword in tumour battle field” that support cell-mediated tumour immunity in early stages while inhibiting the same in advanced stages via IDO and cytokines and promoting tumour angiogenesis.
Even though eosinophils can be identified with relative ease in routine H & E-stained sections of tissue, many authors have used special techniques such as autofluorescence, immunohistochemistry, special stains like congo red and carbol chromotope. However, Lorena SC et al., in their study have stated the H&E technique to be as reliable as the immunostaining technique for identification of eosinophils [12]. The results of our study support this evidence as eosinophils were significantly easy to identify on routine H&E-stained sections in comparison to Congo red staining.
Conclusion
Thus, from all the available clinical data from the present study, it can be concluded that TATE can be a “Boon or a Bane” depending on the stage of the tumour. It can be used as independent surrogate marker for determination of prognosis in OSCC. However, the role of eosinophils in mediating immune responses (antigen presentation, cytokine mediation and cytotoxic effects, etc.) needs to be fully understood to enable us to detail its exact role in tumour immunity.
[1]. Neville BW, Day TA, Oral cancer and precancerous lesions. CA: A CancerJournal for Clinicians 2002 52:195-215. [Google Scholar]
[2]. Debta P, Debta FM, Chaudhary M, Wadhawan V, Evaluation of prognostic significance of immunological cells infiltration in oral squamous cell carcinomaJ Cancer Sci Ther 2011 3(8):201-04. [Google Scholar]
[3]. Pereira MC, Oliveira DT, Kowalski LP, The role of eosinophils and eosinophil cationic protein in oral cancer: a reviewArchives of Oral Biology 2011 56:353-58. [Google Scholar]
[4]. Grivennikov SI, Greten FR, Karin M, Immunity, inflammation, and cancerCell 2010 140(6):883-99. [Google Scholar]
[5]. Walsh ER, August A, Eosinophils and allergic airway disease: there is more to the storyTrends Immunol 2010 31(1):39-44. [Google Scholar]
[6]. Jain M, Kasetty S, Sudheendra US, Tijare M, Khan S, Desai A, Assessment of tissue eosinophilia as a prognosticator in oral epithelial dysplasia and oral squamous cell carcinoma—an image analysis studyPathology Research International 2014 2014:507512doi: 10.1155/2014/507512. Epub 2014 Feb 19 [Google Scholar]
[7]. Leighton SE, Teo JG, Leung SF, Cheung AY, Lee JC, Van Hasselt CA, Cancer prevalence and prognostic significance of tumour-associated tissue eosinophilia in nasopharyngeal carcinomaCancer 1996 77(3):436-40. [Google Scholar]
[8]. Martinelli Klay CP, Mendis BRRN, Lombardi T, Eosinophils and oral squamous cell carcinoma: a short reviewJournal of Oncologyvol 2009 2009:310132 [Google Scholar]
[9]. Said M, Wiseman S, Yang J, Alrawi S, Douglas W, Cheney R, Tissue eosinophilia: a morphologic marker for assessing stromal invasion in laryngeal squamous neoplasmsBMC Clinical Pathology 2005 5(1):1doi: 10. 1186/1472-6890-5-1 [Google Scholar]
[10]. Ishibashi S, Ohashi Y, Suzuki T, Miyazaki S, Moriya T, Tumour-associated tissue eosinophilia in human esophageal squamous cell carcinomaAnticancer Research 2006 26:1419-24. [Google Scholar]
[11]. Bryne M, Koppang HS, Lillenc R, Kjerheim A, Malignancy grading of the deep invasive margins of oral squamous Cell carcinomas has high prognostic valueJournal of Pathology 1992 166:375-81. [Google Scholar]
[12]. Lorena SC, Dorta RG, Landman G, Nonogaki S, Oliveira DT, Morphometric analysis of the tumour associated tissue eosinophilia in the oral squamous cell carcinoma using different staining techniquesHistol Histopathol 2003 18(3):709-13. [Google Scholar]
[13]. Sato M, Yoshida H, Yanagawa T, Yura Y, Sugi M, Hamada S, Carcinoma of the maxillary sinus with eosinophilia. Report of a caseInternational Journal of Oral Surgery 1981 10(1):62-66. [Google Scholar]
[14]. Lowe D, Jorizzo J, Hutt MS, Tumour-associated eosinophilia: a reviewJ Clin Pathol 1981 34(12):1343-48. [Google Scholar]
[15]. Lowe D, Fletcher CD, Eosinophilia in squamous cell carcinoma of the oral cavity, external genitals and anus- Clinical correlationsHistopathology 1984 8(4):627-32. [Google Scholar]
[16]. Goldsmith MM, Belchis DA, Cresson DH, Merrit WD, Askin FB, The importance of eosinophils in head and neck cancerOtolaryngology- Head & Neck Surgery 1992 106(1):27-33. [Google Scholar]
[17]. Dorta RG, Landman G, Kowalski LP, Lauris JRP, Latorre MRDO, Oliveira DT, Tumour-associated tissue eosinophilia as a prognostic factor in oral squamous cell carcinomasHistopathology 2002 41:152-57. [Google Scholar]
[18]. Horiuchi K, Mishima K, Ohsawa M, Sugimura M, Aozasa K, Prognostic factors for well differentiated squamous cell carcinoma in the oral cavity with emphasis on immunohistochemical evaluationJournal of Surgical Oncology 1993 53(2):92-96. [Google Scholar]
[19]. Van Driel WJ, Tumour-associated eosinophilic infiltrate of cervical cancer is indicative for a less effective immune responseHum Pathol 1996 27(9):904-11. [Google Scholar]
[20]. Wong DTW, Bowen SM, Elovic A, Gallagher GT, Weller PF, Eosinophilia abalation and tumour developmentOral Oncology 1999 35(5):496-501. [Google Scholar]
[21]. Oliveira DT, Biassi TP, Faustino SES, Carvalho AL, Landman G, Kowalski LP, Eosinophils may predict occult lymph node metastasis in early oral cancerClin Oral Invest 2012 16:1523-28. [Google Scholar]
[22]. Davis BP, Rothenberg ME, Eosinophils and CancerCancer Immunol Res 2014 2:1-8. [Google Scholar]
[23]. Hogan SP, Rosenberg HF, Moqbel R, Phipps S, Foster PS, Lacy P, Eosinophils: biological properties and role in health and diseaseClinical and Experimental Allergy 2008 38:709-50. [Google Scholar]
[24]. Singh VK, Mehrotra S, Agarwal SS, The Paradigm of Thl and Th2 cytokines-its relevance to autoimmunity and AllergyImmunologic Research 1999 20:147-61. [Google Scholar]
[25]. Agarwal A, Rani M, Saha GK, Valarmathi TM, Bahadur S, Mohanti BK, Disregulated expression of the Th2 cytokine gene in patients with intraoral squamous cell carcinomaImmunol Invest 2003 32(1-2):17-30. [Google Scholar]
[26]. Astigiano S, Morandi B, Costa R, Mastracci L, D’Agostino A, Ratto GB, Eosinophil granulocytes account for indoleamine 2, 3-dioxygenase mediated immune escape in human non-small cell lung cancerNeoplasia 2005 7(4):390-96. [Google Scholar]
[27]. Jacobsen EA, Helmers RA, Lee JJ, Lee NA, The expanding role(s) of eosinophils in health and diseaseBlood 2012 120(19):3882-90. [Google Scholar]