A Girl with No Pain: Congenital Insensitivity To Pain and Anhidrosis (HSAN) Type IV - A Case Report
Neena Indavara Eregowda1, Sneha Yadav2, Poornima Parameshwarappa3, Roopa Korishettar Basavraj4
1 Reader, Department of Pedodontics and Preventive Dentistry, College of Dental Sciences, Pavilion Road, Davangere, Karnataka, India.
2 Post Graduate Student, Department of Pedodontics and Preventive Dentistry, College of Dental Sciences, Pavilion Road, Davangere, Karnataka, India.
3 Professor and Head of Department, Department of Pedodontics and Preventive Dentistry, College of Dental Sciences, Pavilion Road, Davangere, Karnataka, India.
4 Reader, Department of Pedodontics and Preventive Dentistry, College of Dental Sciences, Pavilion Road, Davangere, Karnataka, India.
NAME, ADDRESS, E-MAIL ID OF THE CORRESPONDING AUTHOR: Dr. Neena Indavara Eregowda, Reader, Department of Pedodontics and Preventive Dentistry, College of Dental Sciences, Pavilion Road, Davangere-577004, Karnataka, India. E-mail : neena.ganesh@gmail.com
Anhidrosis, Congenital insensitivity to pain, Hereditary sensory autonomic neuropathy
Sir,
Absence of pain may sound pleasing, but can lead to great problems as pain is a warning signal about the onset of disease or tissue damage. Congenital insensitivity to pain was first described in 1932 by Dearborn and later named as “The hereditary sensory and autonomic neuropathies (HSAN)” [1].
The cases of Congenital Insensitivity to Pain with Anhidrosis (CIPA) are an extremely rare and only a handful of this condition is being reported in India [2–8]. We here by presenting one similar case.
An 11-year-old girl accompanied with her parent visited us with a concern of damage to oral structure due to her masochistic habit of biting her tongue and lips. They wished for appliance which could prevent this. The parents gave a history of consanguineous marriage with negative family, prenatal and antenatal history.
When the child was few month old she stared suffering from spikes of fever which depended on the environmental temperature and did not responded to antipyretic drug and also she did not sweat. With the eruption of milk teeth she started biting her tongue vigorously. Worried about her condition the parent visited National Institute of Mental Health and Neurosciences (NIMHANS), Bangalore were she was diagnosed with Hereditary Sensory Neuropathy Type IV/ CIPA.
Parents reported to our college when the child was 7-and 8-year-old; her teeth were rounded off and mouth guard was given which later got damaged. At the age of 9 parents visited a local dental surgeon who extracted her deciduous teeth.
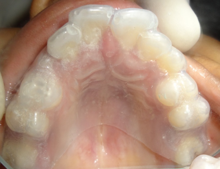
Presently, the child is 11-year-old and parents demanded fabrication of another mouth guard. Examination showed low IQ where patient had a delayed response to commands, scars on skin [Table/Fig-1], deformed interphalangeal joints of fingers [Table/Fig-1] and missing big toe of left foot [Table/Fig-2]. Attrited lower incisors [Table/Fig-3] causing loss of support for lower lip resulting in lip trap and deep labio-lingual sulcus [Table/Fig-4]. Tongue was severely affected with the loss of the tip with irregular margins [Table/Fig-5]. Permanent first molars required extraction to which the parents didn’t agree [Table/Fig-3]. Thus, an impression was made of upper and lower arch to fabricate a mouth guard [Table/Fig-6,7]. Try-in was done and the parents were given instructions regarding the care of the mouth guard. The patient is on follow-up.
Multiple wound scars on hands.

Partial Loss of big toe and secondary infection of soft tissues.

Unerupted permanent teeth after extraction of primary teeth.

Frontal view of patient showing Labial deformity of the patient due to biting.

Bitten and scarred tongue with irregular tip.

Maxillary casts used for the fabrication of mouth guard.

Mouth guard placed in the maxillary arch.

Out of the 5 types HSAN IV is the second most common. Mutation of genes like Neurotrophic Tyrosine Kinase Receptor type 1 (NTRK1) inhibit formation of Nerve growth factor (NGF) leading to destruction of small sensory and sympathetic neurons [3]. CIPA is one such unique human genetic disorder affecting the neurotrophin-signal–transduction system along with anhydrosis due to improper input oftemperature sensation from peripheral nervous system.
Apart from delayed development subjects shows scarring or stripping of the skin of finger tips caused by excessive self- biting, multiple fractures, joint dislocations and deformities, skin infections, bruises, corneal ulcerations, and aggressive behaviour [2]. Cutaneous examination may reveal dry gangrene or cellulitis commonly involving tips of fingers and toes [4]. Fractures are slow to heal or show osteomyelitis, while large weight-bearing joints frequently develop Charcot’s joints [3].
As the first teeth erupts subjects starts biting on oral soft tissue resulting in wounds and ulcers or scar. Unawareness of temperature of food or drink may result in oral scalds. Teeth might be affected by severe bruxism or auto extraction. High incidence of caries is prevalent, partially due to lack of pain which can spread to osteomyelitits and fracture of bone [9,10].
Since, there are few cases being reported no protocols are established for HSAN IV. As the disorder is incurable only supportive treatment can be offered. Treatment option includes extraction of the teeth followed by full denture therapy or elimination of the sharp edges of teeth by grinding or addition of composite on teeth or use of mouth guards. Parents must to be given clear instruction about maintenance of guards. Regular follow-up should be doneto check the appliance for damage or need for replacement with the growth of the child [4].
Without pain there is no suffering, without suffering we would never learn from our mistakes as seen in this case. As well as we as dentist should be aware about the condition and treatment option available because these children mainly us their teeth to hurt themselves.
[1]. Butler J, Fleming P, Webb D, Congenital insensitivity to pain—review and report of a case with dental implicationsOral Surg Oral Med Oral Pathol Oral Radiol Endod 2006 101(1):58-62. [Google Scholar]
[2]. Udayashan C, Oudeacoumar P, Nath AK, Congenital insensitivity to pain and anhidrosis: a case report from South IndiaIndian J Dermatol 2012 57(6):503 [Google Scholar]
[3]. Thakur LC, Chandran V, Anand KS, Congenital sensory neuropathy with anhidrosisIndian Pediatr 1992 29:1046-48. [Google Scholar]
[4]. Sharma NL, Sharma VK, Sood A, Congenital sensory neuropathy with anhidrosisIndian J Dermatol Venereol Leprol 1992 58:257-59. [Google Scholar]
[5]. Dua T, Sharma J, Singhal T, Arya VB, Hereditary sensory autonomic neuropathy type IVIndian Pediatr 2005 42:281-84. [Google Scholar]
[6]. Karande S, Satam N, Hereditary sensory and autonomic neuropathy type IVIndian Pediatr 2005 42:608-09. [Google Scholar]
[7]. Rahalkar MD, Rahalkar AM, Joshi SK, Congenital insensitivity to pain and anhidrosisIndian J Radiol Imaging 2008 18:132-34. [Google Scholar]
[8]. John D, Thomas M, Jacob P, Neurotrophic keratitis and congenital insensitivity to pain with anhidrosis: A case report with 10-year follow-upCornea 2011 30:100-02. [Google Scholar]
[9]. Majid I, Yaseen A, The child who felt no pain: A case of hereditary sensory autonomic neuropathy (HSAN) type IVIndian Journal of Paediatric Dermatology 2014 15(3):140-43. [Google Scholar]
[10]. Erdem TL, Ozcan I, Ilgüy D, Sirin S, Hereditary sensory and autonomic neuropathy: review and a case report with dental implicationsJ Oral Rehabil 2000 27(2):180-83. [Google Scholar]