Cytodiagnosis of a Cutaneous Clear Cell Malignancy: Metastatic Renal Cell Carcinoma on Chin
Anshu Singh1, Gyanendra Mohan2, Sunanda Chaturvedi3, Shakir Ali Khan4
1 Senior Resident, Department of Pathology, Indian Railway Cancer Institute and Research Centre, Varanasi, Uttar Pradesh, India.
2 Chief Consultant Pathologist, Department of Pathology, Indian Railway Cancer Institute and Research Centre, Varanasi, Uttar Pradesh, India.
3 Senior Consultant Pathologist, Department of Pathology, Indian Cancer Institute and Research Centre, Varanasi, Uttar Pradesh, India.
4 Chief Surgeon, Deptartment of Surgical Oncology, Indian Cancer Institute and Research CentreVaranasi, Uttar Pradesh, India.
NAME, ADDRESS, E-MAIL ID OF THE CORRESPONDING AUTHOR: Dr. Anshu Singh, Flat no. 406, Ganpati Apartment, Nagwa, Lanka, Varanasi, Uttar Pradesh-221005, India. E-mail : anshu8484@gmail.com
Clear cell type of renal cell carcinoma (RCC) is most common urological malignancy. Several diagnostic challenges arise when it presents as a cutaneous nodule, being an uncommon presentation. Fine needle aspiration cytology (FNAC) of a cutaneous nodule is crucial for distinguishing primary tumours from metastatic tumours because cutaneous metastases represent a terminal stage of illness. Due to considerable overlap of cytomorphological features determination of primary warrants need of detailed clinical history and close inspection of every cytological detail.
We report here a case of cutaneous metastasis of RCC on chin in a patient 11 years after nephrectomy. Though there are reports of RCC metastases diagnosed on histology, there are fewer cytology case reports. Cytological differential diagnosis has been discussed for arriving at the final diagnosis in case of clear cell tumours. Early and accurate diagnosis is mandatory for optimal treatment.
Cytodiagnosis of cutaneous metastasis of RCC is uncommon due to its low suspicion index in cutaneous nodules. More so, it presents late and an unusual sites due to its resemblance to common dermatological diseases.
Clear cell tumors, Cutaneous metastasis, Urological malignancy
Case Report
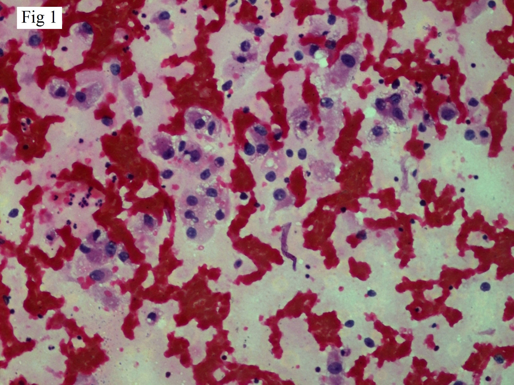
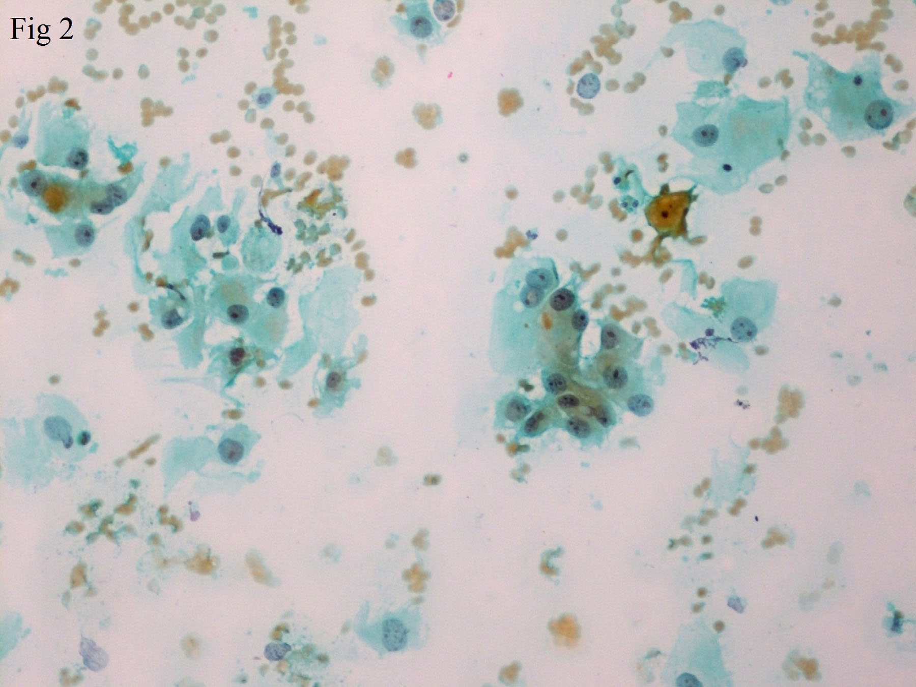
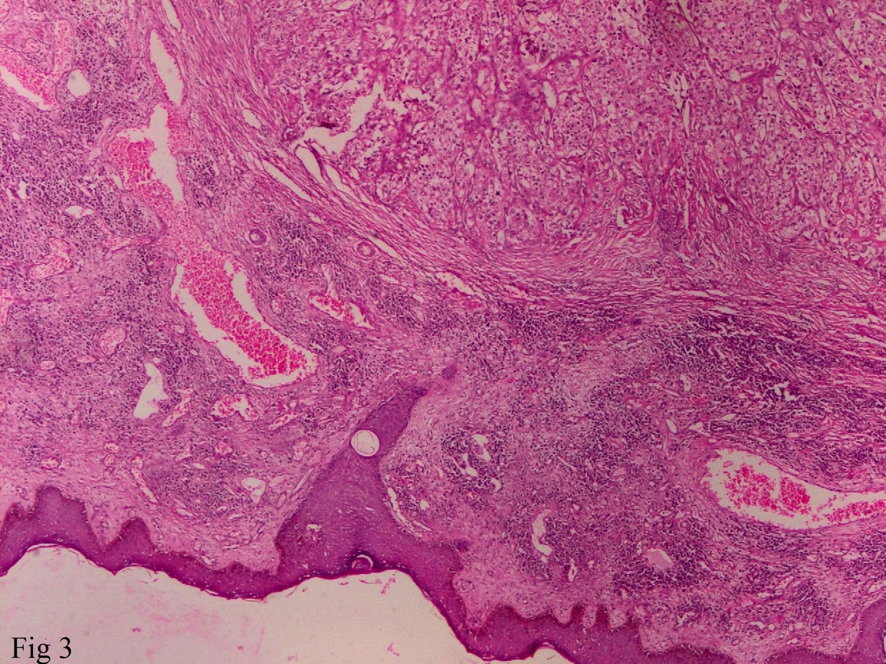
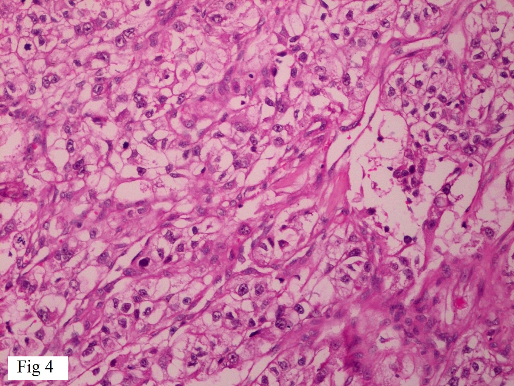
A 51-year-old male presented with a solitary, painless irregular swelling over chin for 3 months. On examination the swelling was firm, measuring about 3x2x1cm. No other significant past history was given at this point. Computed Tomography (CT) scan of face and neck showed a solitary well defined heterogenously enhancing mass arising from skin and subcutaneous tissue measuring 27x17x15mm in size. Radiological impression was of a primary skin tumour or metastatic tumour. FNAC was done and slides stained with May Grunwald Giemsa (MGG), Haematoxylin and Eosin (H&E) Papanicolaou (Pap) stain. Smears prepared from the swelling were moderately cellular and showed predominantly large singly scattered cells with few clusters of poorly cohesive cell. Cells showed an abundant pale, foamy/vacuolated cytoplasm with central to eccentric nucleus, 0-2 nucleoli and bland chromatin [Table/Fig-1]. In some cells, nuclei were totally or partially stripped of cytoplasm leaving bare nuclei [Table/Fig-2]. No intranuclear cytoplasmic inclusions were noted. Based on smear examination, a diagnosis of “clear cell malignant tumour, possibly metastatic RCC” was made. On second visit of patient detailed questioning was done with review of past records. History of nephrectomy 11 years back was elicited. Wide excision of tumour was done and sent for histopathology. On histopathological examination it was confirmed as metastatic RCC-clear cell type showing the typical clear cells arranged in solid sheets with a delicate branching vasculature [Table/Fig-3,4]. Immunohistochemistry for CK AE1/AE3 and CD10 was strongly and diffusely positive but was negative for S-100 and HMB 45.
FNA smear showing clear cells in poorly cohesive clusters and scattered singly. Cells have finely vacuolated cytoplasm with nuclear atypia [H&E 200X].

FNA smears showing clear cells with web-like cytoplasmic appearance, eccentric nuclei, prominent nucleoli, bare nuclei and a benign keratinized squamous epithelial cell. [Pap 200X].

Histology showing stratified squamous epithelium of skin with underlying tumour composed of clear cell separated by fibrous septa and intervening blood vessels. [H&E 100X].

Higher power view showing clear cells of RCC. [H&E 400X].

Discussion
Renal cell carcinoma accounts for approximately 2-3% of adult malignancies. Most common histological type of RCC is clear cell type. Compared to western countries RCC presents at a younger age in India and the incidence of clear cell RCC is lower, from around 85% in the Western countries to 71.3% in Indian patients [1]. RCC shows widespread metastasis to lung, regional lymph nodes, bone, liver and head and neck. Incidence of skin metastases in RCC is of 2.4–6.4% [2]. Clinically, cutaneous metastasis of RCC present as red to purple skin lesions, painless nodules, plaques or pulsatile masses [3]. The richly vascular tumour can cause confusion with haemangioma, pyogenic granuloma or kaposi sarcoma. Morphologically it can be confused with cutaneous cysts, horns, lymphomas or abcesses [4]. The cutaneous manifestations usually appear within six months to five years of the initial diagnosis and indicate progression or recurrence of malignancy following treatment. Sometimes it may even be primary presentation of disease [5] appeared only one month after nephrectomy. A systematic approach to this solitary cutaneous nodule is required for accurate diagnosis. The common primary tumours that cause cutaneous metastasis are lung (28.6%), malignant melanomas(18.2%) and gastrointestinal tract (14.2%)[6]. Cutaneous metastases from an internal primary occur primarily in head, neck and trunk region. In metastatic tumours of head and neck region RCC is the third most frequent neoplasm after breast and lung cancer. Nose and paranasal sinuses are commonly affected, followed by oral cavity and orbit. Metastases on face are very rare [7].
Present case showed predominance of clear cells with abundant pale cytoplasm so differentials include primary tumours of skin/appendages, and metastatic tumours with clear cell morphology. Clear cell tumours remain problematic for the pathologist, who is frequently asked to determine the primary anatomic site of malignancy based on the cytomorphology of the aspirated material. Diagnostic workup of clear cell tumours of head and neck starts with first classifying tumours broadly as benign/malignant, odontogenic/non odontogenic and primary/metastatic. Non odontogenic tumours include salivary gland tumours and tumours of skin/appendages [7,8]. Clear cell morphology may be seen in all major classes of tumours – epithelial (carcinomas), mesenchymal (perivascular-epithelioid cell tumour, clear cell sarcomas, xanthomas), melanocytic(balloon cell nevus/melanoma, clear cell melanoma), haematopoetic (lymphoma) and germ cell neoplasm. Signet ring cell carcinoma and collection of foamy macrophages may also be misdiagnosed as clear cell tumours. In carcinoma, kidney is most common primary site followed by lung, prostate, salivary gland, breast, ovary, endometrium, cervix, vagina, pancreas, liver, adrenal gland and thyroid [9].
In present case first impression on smear examination was of metastatic carcinoma, either metastatic RCC or clear cell sarcoma/melanoma. Clear cells of RCC at low power are relatively cohesive, mainly in epithelial fragments with variable number of scattered single cells. Focal papillary or acinar pattern may be seen. These cells have an abundant fragile finely vacuolated cytoplasm giving a web like appearance. The tumour cells have low nucleo: cytoplasmic ratio, central/eccentric round nuclei with regular outline and variable anisokaryosis. Nuclear chromatin is bland in low grade tumours and macronucleoli are seen in higher grade. Diagnostic clues for RCC are - rich arborising vasculature, tumour cell adhering to strands of hyaline/fibrillary basement membrane material and intranuclear cytoplasmic inclusions. Binucleation and bare nuclei are seen. The clear cells of RCC contain lipid (Oil-Red O positive) and glycogen (Periodic Acid Schiff {PAS} stain positive). Clear cell melanoma (CCM) displays morphologic overlap with balloon cell melanoma (BCM) and clear cell sarcoma (CCS) in having abundant finely vacuolated cytoplasm. CCM is PAS-positive, diastase-sensitive, whereas BCM is PAS-positive, diastase-resistant. Some authors consider CCM as a subtype of BCM but it’s still unclear. CCS is also called as malignant melanoma of soft parts and presents in extremities of young adults. Abundant intracellular and extracellular iron is present and cytoplasmic melanin can also be seen. Smears are composed of largely dispersed cells with occasional aggregates or epithelial-like clusters.
Tumour cells are more plasmacytoid in appearance with eccentric nuclei. Anisokayosis, bi/multinucleation is more prominent. Paranuclear cytoplasmic condensation is seen in amelanotc type CCS [6,10]. Perivascular epithelioid cell tumours (PEComas) are mesenchymal tumours predominating in females, composed of cytologically bland clear cells with epithelioid features, clear or granular cytoplasm, round to oval central nuclei and prominent nucleoli. Scattered multinucleate giant cells and clustering of cells around vessels is seen. High-grade tumours show atypia, necrosis and mitoses, 90% of clear cell variants of squamous cell carcinoma (SCC) and basal cell carcinoma (BCC) are present in head and neck region. However, atleast some cell clusters in SCC will show typical features with evidence of keratinization. Sebaceous clear cell tumours have a foamy bubbly cytoplasm and may be ruled out with a negative fat stain. Clear cell BCC is PAS-positive diastase-sensitive while clear cells in SCC denote hydropic change which does not stain on PAS. Clear cell acanthoma and clear cell syringoma do not show cellular atypia and PAS stain is positive in clear cell acanthoma. Clear cell porocarcinoma have large, more polyhedral clear cells, distinct cell borders and intracytoplasmic lumina. Cytoplasmic vacuoles are absent [11].
Due to cytomorphological overlap of various clear tumours clinicopathological correlation and IHC aid in diagnosis making. Immunohistochemistry (IHC) panel includes pancytokeratin, vimentin, calponin, S 100, HMB 45 and specific markers for metastatic tumours like CD 10 or PAX 8 for RCC, PSA for prostate ca, villin for lung and colon carcinoma and TTF for thyroid ca. CCM, BCM and CCS are positive for HMB-45 (90%), S-100 (64%) and Melan A (43%) and negative for cytokeratin [6]. Clear cell BCC is positive for EMA and CAM 5.2. IHC for clear cell syringoma shows positivity for CK10 (intermediate cells) CK 6, 19 (luminal cells) and CEA (peripheral cells). Porocarcinoma are positive for CEA and EMA. The clear cells in eccrine hidroadenocarcinoma are positive with CEA and S-100 immunostaining while trichilemmal carcinoma exhibits CEA and EMA negativity. Salivary gland tumours show calponin positivity and odontogenic tumours stain for CK 19 and calretinin. Molecular studies may be required for CCS diagnosis showing characteristic t (12;22) translocation. Skin metastases usually bear a poor prognosis and is associated with synchronous visceral metastases in up to 90% of cases, resulting in tumour specific survival of less than six months [11,12]
Conclusion
Cutaneous nodules can be a sign of undiagnosed or recurrence of metastatic tumours. In patients presenting with cutaneous lesions at unusual sites, renal cell carcinoma should always be an important differential diagnosis. A prolonged and thorough follow-up is mandatory in all patients with RCC, even those with a low stage.
[1]. Agnihotri S, Kumar J, Jain M, Kapoor R, Mandhani A, Renal cell carcinoma in India demonstrates early age of onset & a late stage of presentationIndian J Med Res 2014 140:624-29. [Google Scholar]
[2]. Park IH, Hong SM, Choi SW, Jung JW, Shin JM, Lee HM, A Case of Metastatic Renal Cell Carcinoma in the Sphenoid SinusJ Rhinol 2013 20(2):116-18. [Google Scholar]
[3]. Lim C, Chan R, Regan W, Renal cell carcinoma with cutaneous metastasesAustralas J Dermatol 2005 46:158-60. [Google Scholar]
[4]. Kumar S, Chawla N, Gupta P, Sen R, Ghalaut R, Renal cell carcinoma metastasing to unusual sites with rare presentations: two case reportsInternational Journal of Basic and Applied Medical Sciences 2014 4:137-40. [Google Scholar]
[5]. Abbasi F, Alizadeh M, Noroozinia F, Moradi A, Cutaneous Metastasis of Bilateral Renal Cell CarcinomaJPMA 2013 63:111-13. [Google Scholar]
[6]. Ahmad S, Zafar U, Siddiqui FA, Akhtar K, Cutaneous metastasis in renal cell carcinomaJournal of Cytology 2008 25:157-58. [Google Scholar]
[7]. Koga S, Tsuda S, Nishikido M, Matsuya F, Saito Y, Kanetake H, Renal cell carcinoma metastatic to the skinAnticancer Res 2000 20:1939-40. [Google Scholar]
[8]. Said Al Naef N, Klein MJ, Clear cell entities of the head and neck: A selective review of clear cell tumours of the salivary glandHead and Neck Pathol 2008 2:111-15. [Google Scholar]
[9]. Seijas BP, Franco FL, Sastre RM, Garcia AA, Lopez JL, Cembranos C, Metastatic renal cell carcinoma presenting as a parotid tumourOral Surg Med Oral Radiol Endod 2005 99:554-57. [Google Scholar]
[10]. Pletneva MA, Andea A, Palanisamy N, Betz BL, Carskadon S, Wang M, Clear cell melanoma: A cutaneous clear cell MalignancyArch Pathol Lab Med 2014 138:1328-36. [Google Scholar]
[11]. Lawal AO, Adisa AO, Olajide MA, Olusanya AA, Clear cell variant of squamous cell carcinoma of skin: A report of a caseJ Oral Maxillofac Pathol 2013 17:110-12. [Google Scholar]
[12]. Onak Kandemir N, Barut F, Yılmaz K, Tokgoz H, Hosnuter M, Ozdamar SO, Renal cell carcinoma presenting with cutaneous metastasis: a case reportCase Report Med 2010 [Google Scholar]