Inflammatory Fibroid Polyp of the Ileum Presenting with Acute Intestinal Obstruction In An Adult Patient: A Case Report
Chumila Thinley Bhutia1, Deepak Das2, Phuchungla Bhutia3
1 Assistant Professor, Department of Pathology, Sikkim Manipal Institute of Medical Sciences, Gangtok, India.
2 Assistant Professor, Department of Pathology, Sikkim Manipal Institute of Medical Sciences, Gangtok, India.
3 Assistant Professor, Department of Surgery, Sikkim Manipal Institute of Medical Sciences, Gangtok, India.
NAME, ADDRESS, E-MAIL ID OF THE CORRESPONDING AUTHOR: Dr. Chumila Thinley Bhutia, Department Of Pathology, Level-V, CRH Building, SMIMS, 5th Mile, Tadong Gangtok, Sikkim-737102, India. E-mail : drchumila@gmail.com
Acute pain abdomen, Bowel obstruction, Immunohistochemistry
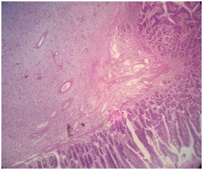
A 49-year-old male patient presented in the emergency department with acute pain abdomen. Upon auscultation of the abdomen, bowel sounds were found to be consistent with mechanical bowel obstruction. Digital rectal examination did not show the presence of feces, mucus or blood. Laboratory investigations showed total leukocyte count 9,400/mm3 with 75% polymorphs, Hb 12.2 g/dl, creatinine 0.9 mg/dl, urea 41.3 mg/dl, sodium 135 mmol/l and potassium 4.5 mmol/l. An upright plain abdominal film revealed small bowel obstruction, with marked small bowel air-fluid levels. Abdominal ultrasound revealed a well-defined hypoechoic lesion measuring 2.8x2.3 cm noted within the bowel loop with evidence of intrusion of proximal bowel loops within the bowel in right hypochondriac –lumbar region. CT scan showed luminal soft tissue density mass in right upper quadrant small bowel loop, possibility of gastrointestinal stromal tumour (GIST) was suggested [Table/Fig-1]. During exploratory laparotomy an ileal intussusception due to a mass lesion 50 cm proximal to the ileocecal junction was found [Table/Fig-2]. Partial ileal resection and anastomosis were performed. On gross examination, cut opened part of ileum measured 13.5 cm in length. Inner surface showed normal mucosal folds along with a solitary sessile polypoidal lesion at the site of intussusception measuring 3.8x 2.5x1.5 cm [Table/Fig-3]. On light microscopic examination, the polypoidal lesion at the site of intussusception showed a mesenchymal sub mucosal lesion extending upto serosa comprising of plump spindle cells in a background of loose fibro-myxoid stroma, proliferative blood vessels some of which appeared to be hyalinized along with mixed inflammatory infiltrate predominantly eosinophils [Table/Fig-4,5 and 6]. Immunohistochemistry for CD-117 was negative [Table/Fig-7].
CT scan showing soft tissue mass in the small bowel.

Photograph showing lead point of intussusceptions

Photograph showing intraluminal polypoidal lesion.

Photomicrograph showing the submucosal origin of the polyp (H&E, 4x).

Photomicrograph showing proliferating blood vessels and inflammation (H&E, 100x).

Photomicrograph showing hyalinized blood vessels and eosinophils (H&E, 400x).

Photomicrograph showing tumour cells negative for CD-117 (IHC, 100x).

IFPs (Vanek’s tumour) are rare, idiopathic tumorous lesions of the gastrointestinal tract, which were first described by Vanek in 1949 as an eosinophilic submucosal granuloma [1]. They are most commonly localized to the gastric antrum (66%-75%), but can develop anywhere in the gastrointestinal tract. The small bowel (18%-20%) is the second most common site of origin, where IFPs usually present as intussusception or obstruction [2]. The tumour usually projects into the bowel lumen as a pedunculated or sessile mass measuring 0.2-20 cm in diameter [3]. Histologically, the tumour arises from the submucosa and is composed of mononuclear, spindle-shaped cells along with vascular proliferation and inflammatory infiltrates predominantly comprising of eosinophils [2]. Increased/abnormal mitosis and cellular atypia are not seen [3]. Many factors have been suggested as a trigger such as intestinal trauma or eosinophilic gastroenteritis [4]. IFPs are typically identified during endoscopic procedures and laparotomy and are often asymptomatic [5]. Abdominal pain is the main symptom in patients with lesions in the stomach. The polyp when located in the small intestine usually causes intussusception and obstruction as initial symptoms [6]. IFP affects both sexes and all age groups, with a peak of incidence in the fifth and sixth decades [7]. IFPs or Vanek’s tumour should be considered in the differential diagnosis of both tumour and non-tumour processes of the gastrointestinal tract which includes spindle cell lesions, such as inflammatory fibrosarcoma, spindle-cell carcinoids, and gastrointestinal stromal tumours (GISTs). However, it is difficult to differentiate, especially between IFPs and GISTs. GISTs are common in the stomach and frequently present as polypoid masses. In the intestine, these tumours can present with intussusception similar to IFP. Immuno-histochemistry is used to distinguish between IFPs and GISTs. Both tumours are positive for CD34 and vimentin, but GISTs are positive for CD117, while IFPs are not [6]. Inflammatory fibroid polyps are rare benign tumours and does not metastasize. The recommended treatment for intussusceptions caused by IFP is exploratory laparoscopy or laparotomy [3]. Histopathological examination along with immunohistochemistry is helpful in differentiating Vanek’s tumour from GIST [8].
Intestinal obstruction due to intussusception is a very rare cause in adults and IFP is one of the least common causes of this rare condition. Although IFPs are benign lesions, surgical resection along with histopathological examination and IHC is important for diagnosis.
[1]. Vanek J, Gastric submucosal granuloma with eosinophilic infiltrationAm J Pathol 1949 25:397-411. [Google Scholar]
[2]. Coulier B, Maldague P, Broze B, Gielen I, Ileal inflammatory fibroid polyp causing ileocolic intussusceptionJBR-BTR 2008 91:149-52. [Google Scholar]
[3]. Abboud B, Vanek’s tumour of the small bowel in adultsWorld J Gastroenterol 2015 21(16):4802-08. [Google Scholar]
[4]. Toydemir T, Inflammatory fibroid polyp of the ileum presenting with small bowel obstruction in an adult patient: a case reportJ Med Case Rep 2010 4:291 [Google Scholar]
[5]. O’Kane AM, O’Donnell ME, McCavert M, Taylor K, Lee J, Wilkinson AJ, Inflammatory fibroid polyp of the ileum causing recurrent intussusception and chronic ischaemia: a case reportCases J 2008 1:244 [Google Scholar]
[6]. Akbulut S, Intussusception due to inflammatory fibroid polyp: A case report and comprehensive literature reviewWorld J Gastroenterol 2012 18(40):5745-52. [Google Scholar]
[7]. Hsieh TM, Sheen-Chen SM, Lin CC, Combination of adult intussusception and intestinal malrotation: an unusual presentationDig Dis Sci 2008 53:3037-39. [Google Scholar]
[8]. Cawich SO, Gibson TN, Mitchell DI, Williams E, Newnham MS, Simpson LK, Adult Intussusception from an Inflammatory Fibroid Polyp: A Case Report And Review Of The LiteratureInternet J Pathol 2008 7:1 [Google Scholar]