Case Report
Case 1
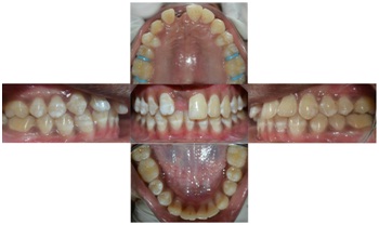
A 12-year-old boy accompanied by his parents reported to the Department of Pedodontics and Preventive Dentistry, with the chief complaint of tooth loss in the upper front region one and half years ago in a road accident. History revealed that the patient had a bicycle accident one and half years earlier and one of the anterior tooth was avulsed and patient brought an avulsed tooth along with him, to replace the saddle. Clinical examination revealed space loss in relation to the maxillary right central incisor, class I molar relation on both sides and maxillary arch oval in shape [Table/Fig-1]. Clinically a 4 mm space loss in relation to 11 was confirmed with intraoral periapical radiograph (IOPA) [Table/Fig-2]. The case was undertaken for space regaining with modified 2 by 3 fixed appliances, then followed by fixed functional space maintainer.

Intra oral periapical radiograph

Appliance Design/Components
The 2 by 3 appliance is basically a modification of 2 by 4 appliances. The 2 by 4 appliance consists of two molar bands on the first permanent molars welded by a molar tube on its buccal side, four edgewise MBT orthodontic brackets bonded on incisors and a continuous arch wire to provide/maintain good arch form, as well as control the alignment of anterior teeth. The modified 2 by 3 appliance consists two molar bands, three Mc Laughlin Bennet Trevesi edgewise (MBT) orthodontic brackets, arch wire, sleeve and nickel titanium open coil spring [Table/Fig-3].
Modified 2 by 3 appliance design/Components

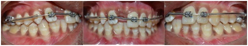
Orthodontic separators were placed in between contact points of 16, 15 and 26, 25. Bands were selected according to mesiodistal measurement of maxillary first molars, each band was welded by a molar tube on buccal side (Buccal Tubes Round Weldable, Nibha Dental Corporation) bands were cemented onto both maxillary first molars and brackets were bonded on maxillary incisors (Tehoo Mini MBT Brackets, .022inch Slot, Lot No 4112, manufactured by Libral Traders Pvt. Ltd) with adhesive (Solo, Universal Bond Enhancer, Lot no 5017637, Glendora, CA. Ormco, ENLIGHT, Light Cure Adhesive, Lot No 5067256, Glendora, CA). An aligning rectangle nickel titanium arch wire of. 016 X.022inch (N-Force, Nickel- Titanium preformed archwire, Made in USA) was placed.
An arch wire supporting with the sleeve between 16 and 13 on the right side and on the left side between 26 and 22 was placed (Classic orthodontics, USA). NiTi Open coil spring (. 010 inches, 3M, USA) was incorporated between 12 and 21 for space regaining [Table/Fig-4], then the arch wire was stabilized with ligature ties (3M Unitek, USA).
Modified 2 by 3 Appliance in place

The patient was recalled after two-months for follow-up and it was observed that the desirable space was regained, as depicted in the intraoral photographs and IOPA [Table/Fig-5].

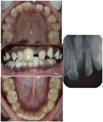
The brackets were debonded, for replacing the avulsed tooth and patient’s avulsed tooth was used, the access cavity preparation was done and complete necrosed pulp was removed and the central incisor crown and root part were separated with a straight fissure bur (Dia bur, FO11, LOT D141154800, MANI) and the natural tooth pontic was prepared [Table/Fig-6].
Natural tooth pontic preparation

The prepared pontic was chemically sterilized in Hydrogen peroxide 3% (Arihant Chemicals, Hyderabad) and Sodium hypochlorite 3% (Batch no: 14072101, Prime Dental Products Pvt LTD, Thane,). The horizontal grooves were placed on the palatal surface of the pontic for better retention and access cavity sealed with composite. The prepared natural crown of 11 was placed and finally stabilized with a resin pre-impregnated Glass fiber (INTERLIG, Angelus, Model No 483, Brasil), using flowable composite resin (META BIOMED, Nexcomp Flow, NF 11101202, Made in KOREA) as shown in intraoral photographs [Table/Fig-7].
Natural tooth pontic splinted with Interlig

Case 2
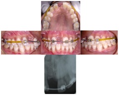
An 11-year-old boy accompanied by his parents reported to the Department of Pedodontics and Preventive Dentistry, with the chief complaint of tooth lost in the upper front region in a road accident. The parents reported the history of avulsion of left central incisor two years back. Intraoral examination revealed a mixed dentition, maxillary arch was oval in shape and maxillary right and left second premolars were buccally erupting. Mesio-buccal rotations were seen in maxillary second premolars and left maxillary canine. Class I molar relation on both sides and a 3 mm space loss in relation to 21. It was confirmed with IOPA [Table/Fig-8]. The case was undertaken for space regaining with modified 2 by 3 fixed appliances, followed by fixed functional space maintainer.
Intra oral photographs and IOPA

Orthodontic separators were placed and bands were selected according to mesiodistal measurement of maxillary first molars, each band was welded by a molar tube (Buccal Tubes Round Weldable, Nibha Dental Corporation) on buccal side, bands were cemented on maxillary first molars and brackets were bonded on maxillary incisors (Centrino Mini Brackets MBT .022inch Slot, Lot No 18412, manufactured by Libral Traders Pvt. Ltd). An initial aligning arch wire of .016 X.022inch (N-Force, Nickel- Titanium preformed archwire, product Code, Made in USA) rectangle nickel titanium wire was placed. Arch wire supporting with the sleeve between 16 and 12 on the right side and on the left side between 26 and 23 was incorporated. (Classic orthodontics, USA). NiTi Open coil spring (. 010 inches, 3M, USA) was incorporated between 11 and 22 for space regaining [Table/Fig-9], then the arch wire was stabilized with ligature wire (Classic orthodontics, USA).
Modified 2 by 3 Appliance in place

After two months follow-up, it was observed that the desirable space was gained, as showed in the IOPA [Table/Fig-10].

The brackets were debonded, an alginate impression was made bands were stabilized in impression and working cast was prepared. A modified Nance appliance was fabricated and replaced the lost tooth with an acrylic tooth [Table/Fig-11].
Modified Nance with acrylic tooth

Discussion
Traumatic dental injuries (TDI) are commonly observed in the children and young adults. They comprise 5% of all injuries [1]. Among all the TDI, avulsion of permanent anterior teeth is seen in 0.5–3% [2]. Timely management is important for a good prognosis. However, due to lack of parental awareness and not storing the tooth in proper medium or losing the tooth often results in choosing treatment options other than re-implantation. If the treatment is delayed, the adjacent teeth drift into the edentulous space leading to space loss and crowding which is unaesthetic leading to psychological trauma to the child and even sometimes disturbs the socialization of the child during the important development stage. All these sequelae might subject the child for a full mouth comprehensive orthodontic treatment later on in life.
The management of anterior space loss in the young growing children is always challenging. The selection of the appliance for anterior space regaining is utmost important in the young children, appliance selection majorly depends on the patient compliance. The drawback of any removable appliance is patient compliance because of which their effects are usually unsatisfactory. Their fitting keeps changing with frequent removal and insertion, causing excessive pressure on the teeth and mucosal irritation. Incorrect activation also causes tipping movements that do not help in managing space loss [3,4]. The advantages of fixed appliances over the removable appliances are minimal discomfort, reduced need for patient co-operation and increase control of tooth movements in all three directions of space. Thus, a simple and easy modified 2 by 3 appliance was tried in these cases. The treatment was cost effective, of lesser time duration with fewer recall visits of the patients.
In the present cases, after trauma, no space maintainer was given; which leads to space loss due to the drifting of the adjacent teeth into the avulsed space. In these cases, initially space was regained with modified 2 by 3 appliance, followed by functional space maintainer was given. Evidence seems to suggest that a short course of orthodontic treatment in the mixed dentition may improve function and aesthetics and remain relatively stable often the appliance is removed [3]. The major advantage with modified 2 by 3 appliances is the effortlessness of space regaining and the force applied and vector can be controlled precisely compared to removable appliances.
Various alternative techniques were advocated for replacing the missing permanent tooth [5–7]. In both the above cases, the age of the patient was not appropriate for fixed prosthesis. In the first case resin pre-impregnated Glass fiber with natural tooth pontic as a functional space maintainer was given. This technique is more conservative, aesthetic and less time consuming as this is a chair side procedure in which natural tooth could be placed in a single session without involving extensive laboratory procedures. Furthermore, using patient’s own tooth is an added psychological benefit, as a natural tooth offers more accurate size, shape and colour [8]. In the second case a modified Nance appliance with acrylic tooth was used as a space maintainer as well as for replacing the anterior missing tooth. The Nance appliance was placed for around 4 -6 month period, and once premolar and canine occlusion was established, we advised a more conservative treatment approach to replace the missing anterior tooth such as resin impregnated Glass fiber. Thus, by changing the treatment modality after the establishment of canine and premolar occlusion, we did not have to continue the usage of Nance appliance for longer duration. Growth must be considered when using fixed prosthesis or implant placement in the developing dentition. Usually, after pubertal growth, it is around 17-18 years for girls and somewhat later for boys.
Conclusion
Early loss of anterior permanent tooth might lead to the psychological impact on child development, such as aesthetic, speech, and socialization. Management of this could be more valuable in the early age. However, advantages with the short course of fixed therapy using modified 2 by 3 appliance is clearly evident in these cases. Appropriate case selection, assessment, will help the practitioners to use this appliance in regaining space in the anterior region.
[1]. Diagelis AJ, Andreasen JO, Ebeleseder KA, Kenny DJ, Trope M, Sigurdsson A, International Association of Dental Traumatology guidelines for the management of traumatic dental injuries: 1. Fractures and luxations of permanent teethDental Traumatology 2012 28:2-12. [Google Scholar]
[2]. Andersson L, Andreasen JO, Day P, Heithersay G, Trope M, Diagelis AJ, International Association of Dental Traumatology guidelines for the management of traumatic dental injuries: 2. Avulsion of permanent teethDental Traumatology 2012 28:88-96. [Google Scholar]
[3]. Dowsing P, Sandler PJ, How to effectively use a 2 by 4 applianceJ Orthod 2004 31:248-58. [Google Scholar]
[4]. Skeggs RM, Sandler PJ, Rapid Correction of Anterior Crossbite using a Fixed Appliance: A Case ReportDent Update 2002 29:299-302. [Google Scholar]
[5]. Bridge M, An interim prosthesis for tooth replacement in AdolescentsInt J Clin Pediatr 2011 4(2):135-38. [Google Scholar]
[6]. Hemmings K, Harrington Z, Replacement of Missing Teeth with Fixed ProsthesesDent Update 2004 31:137-41. [Google Scholar]
[7]. Chafaie A, Portier R, Anterior Fiber-reinforced Composite Resin Bridge: A Case ReportPediatr Dent 2004 26:530-34. [Google Scholar]
[8]. Kermanshah H, Motevasselian F, Immediate tooth replacement using fiber-reinforced composite and natural tooth ponticOper Dent 2010 35:238-45. [Google Scholar]