Intraabdominal Pseudocyst Developed after Ventriculoperitoneal Shunt: A Case Report
Erdogan Ayan1, Halil Ibrahim Tanriverdi2, Tezcan Caliskan3, Ufuk Senel4, Numan Karaarslan4
1Assistant Professor, Department of Neurosurgery, Namık Kemal Universtiy Medical School, Tekirdag-Turkey.
2Assistant Professor, Department of Pediatric Surgery, Gaziosmanpasa University Medical School, Tokat-Turkey.
3Assistant Professor, Department of Neurosurgery, Namık Kemal Universtiy Medical School, Tekirdag-Turkey.
4Assistant Professor, Department of Pediatric Surgery, Gaziosmanpasa University Medical School, Tokat-Turkey.
5Assistant Professor, Department of Neurosurgery, Namık Kemal Universtiy Medical School, Tekirdag-Turkey.
NAME, ADDRESS, E-MAIL ID OF THE CORRESPONDING AUTHOR: Dr. Halil Ibrahim Tanriverdi, Assistant Professor, Department of Pediatric Surgery, Gaziosmanpasa University Medical School, Tokat-Turkey.
E-mail: hitanriverdi@gmail.com
Abdominal pseudocyst is a rare complication developing after ventriculoperitoneal shunt treatment. It is more commonly seen particularly in children. The underlying pathogenesis may be associated with repeat revisions or infections. Morphologically, it has no complete cyst wall, presenting only with a pseudocapsule among the intestinal loops, around the lower shunt tip. The principal problem appears to be the reduced peritoneal absorption capacity. The treatment is complicated and difficult. In this report, we present an 8-year-old abdominal pseudocyst case with a history of many shunt revisions.
Children, Hydrocephalus, Shunt revision
Case Report
An 8-year-old male VP shunt case presented to us at Gaziosmanpasa University Hospital in 2013 with abdominal distension and vomiting. Because of congenital hydrocephalus, he had five shunt operations, first one in the newborn period, and two times third ventriculostomy procedures. The patient had a history of increasing abdominal distention during the last two months. We examined the patient and determined a giant cystic mass filled with fluid which was enclosing the distal shunt tip and pushing the intestines close to the lateral walls of the abdomen at plain abdominal graph [Table/Fig-1]. Laparoscopic fenestration was performed on the cyst with parental informed consent. The abdominal distension recurred during the first month after the operation and we applied laparotomy followed by cyst excision and intestinal adhesiolysis, while the distal shunt tip was placed in the pelvis. About three litres of fluid was removed from the pseudocyst enclosing the distal shunt tip.
However, since the patient developed abdominal fluid recollection during the follow up, the distal VP shunt tip was subjected to external drainage [Table/Fig-2]. The culture showed no growth and the abdominal distension was reduced. The distal shunt tip was placed into the right atrium. The distal tip of the ventriculoatrial catheter (Codman, HOLTER Distal Atrial Catheter, Type E) was inserted into the right atrium via right internal jugular vein [Table/Fig-3]. The patient displayed no complications in the postoperative period and was discharged at 7th day. The follow-up echocardiographs showed no sign of problem.
Discussion
The incidence of abdominal complications associated with ventriculoperitoneal shunt has been reported as 5-47% in the literature [1,2]. Among them, the most common ones are peritonitis, ascites, inguinal hernia, bladder and abdominal wall perforation, while intraabdominal pseudocyst (IP) appears to be observed less frequently [3]. IP has been reported in 1-4.5% of shunt cases [4]. It is seen more frequently in children. IP was first described by Harsh in 1954 [4]. It is a cystic structure with no real wall with an epithelial lining which encloses the distal shunt tip and inhibits the absorption of cerebrospinal fluid [2,5]. The cysts are often located in the intraperitoneal región and may be large however, they may also be seen albeit rarely, in small sizes inside the solid organs such as liver and spleen.
The cases often present with abdominal distension, pain, tenderness and mass. Moreover, headache and disorders of consciousness associated with shunt dysfunction are also observed [6]. Nausea and vomiting may occur due to shunt dysfunction or abdominal pathology. There are also cases that have presented with epileptic seizures associated with hyponatremia [7]. In the present case, our patient was admitted due to abdominal distension, pain, and vomiting.
Although the underlying pathogenesis is not clear [8,9]. Inflammation is believed to be the main culprit. This inflammation may be of non-infectious character or may develop due to infections induced by Staphylococcus epidermidis, Staphylococcus aureus, and Propionibacterium acnes [1]. Shunt revisions are the most commonly observed predisposing factor for IP [10], however, allergic reaction against the shunt material and the powder on the surgical gloves are also thought to have a role [7]. In the present case, no microorganism growth was observed in the cultures prepared from the cyst fluid and the distal shunt tip. The pseudocyst in our case was believed to have developed primarily due to peritoneal adhesions associated with the repeat revisions.
Plain abdominal graphy is the primary imaging method for the early diagnosis of IP cases [11]. One can see the contours of the fluidfilled cyst and the intestinal loops pushed to the lateral walls of the abdomen by the cyst. Ultrasonography (US) is also an easy and quick method for diagnosis of IP [12]. US can reveal the fluid-filled cyst harboring the distal catheter tip. The rail road track sign on the cyst wall is typical [3]. Since the diagnosis can be achieved easily via US, computerised tomography (CT) should be employed only in cases where US fails to reveal the cyst clear enough to establish a diagnosis. Moreover, it should be borne in mind that these children frequently receive cranial tomography and are exposed to high doses of radiation throughout their lives. In the present case, the plain abdominal graphy clearly showed the contours of the cyst and the lateralized intestinal loops. Moreover, US displayed the fluidfilled giant cyst, as well.
Basic management principles first aim to outline the clinical condition of the patient. In the presence of findings associated with acute hydrocephalus, the shunt should be activated immediately. At this point, the presence of a clinical profile of infection bears importance. In such cases, shunt externalization and antibiotherapy are done traditionally [13]. Also, exploratory laparotomy or laparoscopy with partial excision and marsupialisation of pseudocyst, also replace the distal tip of catheter can be done especially at the patients without acute hydrocephalus [11,14-17]. In our patient there weren’t the signs of acute hydrocephalus so, we applied laparoscopy with cyst fenestration and replacement of the distal tip of catheter. But the cyst recurred and we performed laparotomy.
Plain abdominal radiography. Cystic mass filled with fluid which was enclosing the distal shunt tip and pushing the intestines close to the lateral walls of the abdomen

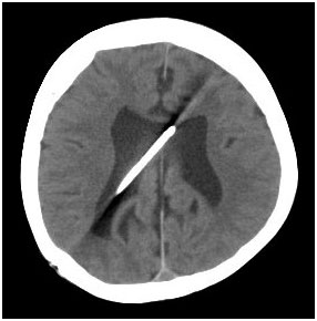
Cranial CT before external drainaging of the shunt there is no extensive hydrocephalus

Chest radiography distal shunt tip was seen at right atrium

Conclusion
In cases, where multiple ventriculoperitoneal shunt revisions were done, first preference must be ventriculoatrial shunt instead of a new ventriculoperitoneal shunt revision at presence of abdominal pseudocyst.
[1]. CB Dabdoub, EA Fontoura, EA Santos, PC Romero, CA Diniz, Hepatic cerebrospinal fluid pseudocyst: A rare complication of ventriculoperitoneal shuntSurg Neurol Int 2013 4:162 [Google Scholar]
[2]. CB Dabdoub, CF Dabdoub, M Chavez, J Villarroel, JL Ferrufino, A Coimbra, Abdominal cerebrospinal fluid pseudocyst: a comparative analysis between children and adultsChilds Nerv Syst 2014 30(4):579-89. [Google Scholar]
[3]. SJ Yuh, M Vassilyadi, Management of abdominal pseudocyst in shunt-dependent hydrocephalusSurg Neurol Int 2012 3:146 [Google Scholar]
[4]. S Ohba, Y Kinoshita, M Tsutsui, T Nakagawa, K Shimizu, T Takahashi, Formation of abdominal cerebrospinal fluid pseudocystNeurol Med Chir 2012 52(11):838-42. [Google Scholar]
[5]. A Tamura, D Shida, K Tsutsumi, Abdominal cerebrospinal fluid pseudocyst occurring 21 years after ventriculoperitoneal shunt placement: a case reportBMC Surg 2013 13:27 [Google Scholar]
[6]. M Halverson, AN Pollock, Abdominal cerebrospinal fluid pseudocyst as a complication of a ventriculoperitoneal shuntPediatr Emerg Care 2013 29(1):114-16. [Google Scholar]
[7]. BI Buyukyavuz, L Duman, T Karaaslan, A Turedi, Hyponatremic seizure due to huge abdominal cerebrospinal fluid pseudocsyt in a child with ventriculoperitoneal shunt: A case reportTurk Neurosurg 2012 22(5):656-58. [Google Scholar]
[8]. RS DeOliveira, A Barbosa, YA Vicente, HR Machado, An alternative approach for management of abdominal cerebrospinal fluid pseudocysts in childrenChilds Nerv Syst 2007 23:85-90. [Google Scholar]
[9]. R Kariyattil, P Steinbok, A Singhal, DD Cochrane, Ascites and abdominal pseudocysts following ventriculoperitoneal shunt surgery: variations of the same theme.J Neurosurg 2007 106:350-53. [Google Scholar]
[10]. B Chidambaram, V Balasubramaniam, CSF ascites: a rare complication of ventriculoperitoneal shunts surgeryNeurol India 2000 48:378-80. [Google Scholar]
[11]. G Theerawood, Large lower abdominal cerebrospinal fluid pseudocyst 6 years after a ventriculoperitoneal shunt: Clinical features and surgical managementChiang Mai Med Bull 2004 43:169-73. [Google Scholar]
[12]. SJ Yuh, M Vassilyadi, Management of abdominal pseudocyst in shunt dependent hydrocephalusSurg Neurol Int 2012 3:146 [Google Scholar]
[13]. C Esposito, G Colella, A Settimi, A Centonze, F Signorelli, G Ascione, One-trocar laparoscopy: A valid procedure to treat abdominal complications in children with peritoneal shunt for hydrocephalusSurg Endosc 2003 17:828-30. [Google Scholar]
[14]. HB Kim, K Raghavendran, S Kleinhausn, Management of an abdominal fluid pseudocyst using laparoscopic techniquesSurg Laparosc Endosc 1995 5:151-54. [Google Scholar]
[15]. SN Oak, SV Parelkar, P Agrawal, Laparoscopic management of pseudocyst and adhesions as a complication of ventriculopritoneal shunt placementJ Ped Endosurg Innov Tech 2003 7:51-54. [Google Scholar]
[16]. K Martin, R Baird, J Farmer, S Emil, JM Laberge, K Shaw, The use of laparoscopy in ventriculoperitoneal shunt revisionsJ Pediatr Surg 2011 46(1):2146-50. [Google Scholar]
[17]. A Brunori, A Massari, R Mascarone-Palmieri, B Benini, F Chiappetta, Minimally invasive treatment of giant CSF pseudocyst complicating ventriculoperitoneal shuntMinim Invasive Neurosurg 1998 41:38-39. [Google Scholar]