An Atypical Case of POEMS Syndrome with an Osteolytic Bone Lesion
Kumar Rahul1, Nayha Handa2, SH Chandrashekhara3, Thingujam Usha4, Anuradha Singh5
1 Senior Resident, Department of Radiology, AIIMS, New Delhi, India.
2 Senior Resident, Department of Radiology, AIIMS, New Delhi, India.
3 Assistant Professor, Department of Radiology, BRAIRCH, AIIMS, New Delhi, India.
4 Senior Resident, Department of Radiology, AIIMS, New Delhi, India.
5 Senior Resident, Department of Radiology, AIIMS, New Delhi, India.
NAME, ADDRESS, E-MAIL ID OF THE CORRESPONDING AUTHOR: Dr. Nayha Handa, Senior Resident, Department of Radiology, AIIMS, Ansari Nagar- 110029, New Delhi, India. E-mail : nayhahanda@gmail.com
POEMS syndrome is a rare multisystem disorder with an underlying plasma cell dyscrasia associated with Polyneuropathy, Organomegaly, Endocrinopathy, Monoclonal gammopathy and Skin changes. Usually it is associated with sclerotic bone lesions. It usually manifests in 5th–6th decade of life with a mean survival period of eight years. We report an unusual case of a 28-year-old male diagnosed with POEMS syndrome and had a lytic bone lesion the in sternum.
Myeloma, Osteosclerotic, Plasma cell
Case Report
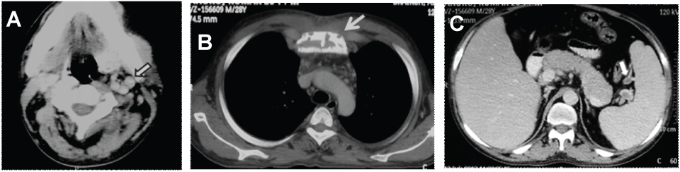
A 28-year-old male patient presented with history of progressive weakness of bilateral lower limbs for the last eight months. He had previous history of febrile illness and diarrhea followed by motor weakness of left lower limb with no sensory deficit. One month later right lower limb was also involved following which he developed weakness in bilateral upper limbs after six months. There was no history of bladder or bowel disturbance. There was no past history of any prolonged illness. There was no significant family history. On detailed physical examination patient was found to have oedema over bilateral leg, generalized clubbing, patchy redness over anterior chest wall [Table/Fig-1a-c] in midline, flushing over face, papilloedema and decreased tone in both upper and lower limbs with reduced deep tendon reflexes. He was also found to have bilateral axillary lymphadenopathy. Neurological examination supported evidence of motor demyelinating neuropathy. Non selective bone marrow aspirate showed 6% monoclonal plasma cells with plasma cells clumps. Biopsy from the right axillary lymph node was suggestive of hyaline vascular type of Castleman’s disease. Serum electrophoresis was positive for Myeloma protein and CSF analysis revealed high protein levels. Endocrine evaluation including TSH, cortisol, LH and FSH were within normal limit. These constellation of findings including polyradiculoneuropathy, lower limb oedema, skin changes, papilloedema, polycythemia, monoclonal plasma cell disorder and lymph node biopsy revealing Castleman’s disease, guided the oncologist to make the diagnosis of POEMS syndrome. Contrast enhanced CT was done in the Department of Radiology, BRAIRCH at All India Institute of Medical Sciences, New Delhi, India. The CECT showed hepatosplenomegaly along with discrete homogenous cervical, axillary and retroperitoneal lymphadenopathy [Table/Fig-2a]. There was focal solitary mildly expansile lytic- sclerotic lesion of sternum with cortical breech [Table/Fig-2b]. The other predominant finding was evidence of partial thrombosis in tributaries of splenic vein at the hilum [Table/Fig-2c]. The patient was started treatment with high dose chemotherapy which included corticosteroids and melphalan. However, the patient died with renal failure being the preterminal event.
A 28-year-old male patient of POEMS syndrome showing (a) hyperpigmented cuatneous patch over chest (in midline and right paramidline location) (b) oedema over lower limb and (c) clubbing

Axial CECT showing (a) enlarged enhancing lymph nodes (closed arrow) in neck, (b) mixed lytic sclerotic lesion in sternum (arrow) and (c) hepatosplenomegaly with splenic vein thrombosis (closed arrow)

Discussion
POEMS syndrome is a rare paraneoplastic multisystem disorder associated with an underlying plasma cell dyscrasia. The name POEMS was coined by Bardwick and co-workers in 1980 based on its five characteristic components, polyneuropathy, organomegaly, endocrinopathy, monoclonal gammopathy and skin changes [1,2]. The acronym presents less than half of the defining features of the disease. The other important features include papilloedema, extravascular volume overload, sclerotic bone lesions, thrombocytosis, elevated VEGF and abnormal respiratory function test. The earlier diagnostic criteria of POEMS syndrome were revised by Dispenzieri [3]. He proposed sclerotic bone lesions, Castleman disease, and elevated levels of VEGF as major diagnostic criteria. In addition to monoclonal plasma cell disorder and polyneuropathy, in order to make a diagnosis at least one other major criterion and one minor criterion are required [3–5].
The pathogenesis of this disease with such diverse manifestation has not been fully explained till now. However, high circulating levels of pro-angiogenic and pro-inflammatory cytokines (IL-1β, IL-6, TNF-α and VEGF) are the considered hallmark in the pathogenesis of this disorder. Among these cytokines, VEGF, probably over secreted by plasma cells, appears to be the dominant driving cytokine and may be causative for most of the presentation like effusions, pulmonary hypertension, and DIC in POEMS syndrome [6–8].
The present case exhibited typical involvement of the four systems at the time of presentation. All five characteristic components of POEMS syndrome need not to be present for making the clinical diagnosis of this entity. Bone lesions are a defining feature of this syndrome. They occur in 54% to 97% of the patients. Most lesions are densely sclerotic. Lytic lesions with a sclerotic rim or those having a mixed soap-bubble appearance have been reported rarely. Sclerotic bone lesions on histopathology show no obvious increase in plasma cell counts, which are significantly increased in lytic bone sites [8].
Progressive sensorimotor polyneuropathy is the most common symptom. Whereas clinically overt polyneuropathy occurs in 5% of patients with the commonly encountered type of multiple myeloma, it occurs in approximately 50% of osteosclerotic form of multiple myeloma which is the commonest form of bone lesions in POEMS syndrome. These neuropathy symptoms occurring with solitary plasmacytoma lesion which was observed in our case are well documented in literature [6]. Cranial and autonomic nerves are not involved. The deep tendon reflexes may. This indexed case had decreased deep tendon reflex in both lower limbs with normal cranial nerves examination.
Hepatomegaly and lymphadenopathy occur in about two-thirds of patients and splenomegaly is seen in one-third of POEMS patients [6]. The lymphadenopathy on histopathological examination frequently resembles Castleman's disease, a condition that has been linked to IL-6 overproduction [3–5].
The immunoglobulin subtypes seen in POEMS cases are usually IgG or IgA. Plasma cell dyscrasias associated with POEMS syndrome range from monoclonal gammopathy of unknown significance (MGUS), plasmacytoma with osteolytic, osteosclerotic, or mixed bone lesions to Waldenström macroglobulinemia [8]. Monoclonal serum protein spike along with mildly expansile focal lytic bone lesion of sternum consistent with imaging diagnosis of plasmacytoma was evidenced in our case.
Erythematous hyperpigmentation over sternum and clubbing in both hands as encountered are known feature in POEMS syndrome. The skin changes usually observed in POEMS syndrome are hyperpigmentation, lichenification, hypertrichosis, sclerodermoid changes and glomeruloid haemangiomas.
However, endocrinal problems as reported in the POEMS syndrome e.g., gynaecomastia and impotence in men, and amenorhea in women due to estrogen excess, hyperprolactinemia, hypothyroidism and adrenal insuffiency [1,6] were not observed. The mainstays of therapy for patients with POEMS include irradiation of bone lesion, systemic corticosteroids, high-dose chemotherapy with peripheral blood stem cell transplantation [3,5,6].
Conclusion
POEMS syndrome is a multisystem disorder frequently seen with osteosclerotic lesions. Although definitive criteria set to establish diagnosis of this complex entity includes osteosclerotic lesion apart from other defining manifestations, the presence of osteolytic lesion along with other supportive features of POEMS syndrome should prompt the clinician to consider its possibility
[1]. Singh AR, Kaur A, Singh JR, POEMS Syndrome: A Case Report from PunjabInt J Hum Genet 2008 8(3):257-61. [Google Scholar]
[2]. Kim JW, POEMS Syndrome: A case reportJournal of Korean Medical Science 1992 7:79-84. [Google Scholar]
[3]. Dispenzieri A, POEMS syndrome: definitions and long-term outcomeBlood 2003 101:2496-506. [Google Scholar]
[4]. Dispenzieri A, How I treat POEMS syndromeBlood 2012 119:5650-58. [Google Scholar]
[5]. Dispenzieri A, POEMS syndromeBlood Reviews 2007 21:285-99. [Google Scholar]
[6]. Longo DL, Kasper DL, Jameson JL, Fauci AS, Hauser SL, Loscalzo J, Harrison's Principles of Internal Medicine 2012 18th edition edMcGraw-Hill:936-44. [Google Scholar]
[7]. Rose C, Zandecki M, Copin MC, POEMS syndrome: report on six patients with unusual clinical signs, elevated levels of cytokines, macrophage involvement and chromosomal aberrations of bone marrow plasma cellsLeukemia 1997 11:1318-23. [Google Scholar]
[8]. Shi X, Hu S, Yu X, Zhuang Q, Luo M, Jiang Q, Clinicopathologic Analysis of POEMS Syndrome and Related DiseasesClinical Lymphoma Myeloma and Leukemia 2015 15(1):e15-e21. [Google Scholar]