Large Plunging Ranula Presenting as Isolated Neck Swelling: Steps in Diagnosis and Surgical Steps in Management
Kumar Nilesh1, Neelima A. Malik2, Pankaj Patil3, Mouneshkumar Devendrappa Chapi4
1Reader, Department of Oral & Maxillofacial Surgery, School of dental Sciences, KIMSDU, Karad, Maharashtra, India.
2Professor and HOD, Department of Oral & Maxillofacial Surgery, School of dental Sciences, KIMSDU, Karad, Maharashtra, India.
3Senior Lecturer, Department of Oral & Maxillofacial Surgery, School of dental Sciences, KIMSDU, Karad, Maharashtra, India.
4Senior Lecturer, Department of Oral & Maxillofacial Surgery, School of dental Sciences, KIMSDU, Karad, Maharashtra, India.
NAME, ADDRESS, E-MAIL ID OF THE CORRESPONDING AUTHOR: Dr. Kumar Nilesh, Reader, Department of Oral & Maxillofacial Surgery, School of Dental Sciences, Krishna Hospital, Karad, Satara, Maharashtra-415 110, India.
E-mail: drkumarnilesh@yahoo.com
Ranula is a salivary gland cyst which typically present as localized superficial swelling over the floor of mouth. Complex or plunging ranulas develop when the mucus extravasation extends through or around the mylohyoid muscle, deeper into the neck, and present with neck lump along with or without swelling over floor of mouth. We report a case of large plunging ranula presenting as an isolated large neck mass in a 38-year-old female patient. The steps in diagnosis and surgical steps in management of the pathology are systematically described.
Mucocele, Mylohyoid muscle, Neck mass, Salivary gland
Case Report
A 38-year-old, female patient presented to Department of Oral and Maxillofacial Surgery, Krishna Hospital, Karad, India with a chief complaint of painless extra-oral swelling over left side of the neck. The patient first noticed the swelling about six months back, which had grown gradually to its present size. No significant medical history or history of previous trauma was reported by the patient. On examination oval swelling of about 8 cm diameter was evident in left submandibular region. The swelling extended from behind the angle of mandible on left side, across the midline to submental region on the contralateral side [Table/Fig-1a,b]. The swelling was non-tender and soft on palpation with normal overlying skin. Intraoral examination revealed no swelling over floor of the mouth. Patient’s oral hygiene was poor, with multiple carious mandibular teeth. However, there was no active focus of infection or pus discharge. There was no movement of lesion on protrusion of tongue. The cervical lymph nodes were not palpable. The overall clinical presentation was suggestive of a benign lesion and differential diagnosis included submandibular gland tumor, lipoma, dermoid cyst and plunging ranula.
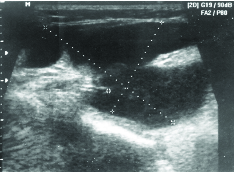
Ultrasonography was advised to study nature, size and extent of the lesion. The ultrasonogram (using 5-9 MHz linear probe) showed a hypoecogenic oval mass of 75x32 mm size, with thin wall and incomplete septae in the left submandibular region, suggestive of a benign cystic lesion [[Table/Fig-2]. Magnetic Resonance Imaging (MRI) showed well defined lobulated, round to oval lesion with smooth margins, measuring approximately 6x2.9x2.8 cm [Table/Fig-3a,b]. The lesion was present predominantly in the submandibular region on left side. Superiorly the lesion was extending upto the sublingual space on the left side superior to the mylohyoid muscle. Inferiorily it extended below the mylohyoid muscle, upto the level of superior margion of thyroid gland. Laterally, the lesion migrated till the platysma. However, no obvious extension through the platysma was seen. Medially the lesion was seen compressing the submandibular gland in its superior aspect and reaching upto the midline in its inferior aspect. MRI findings were suggestive of a well defined cystic lesion predominantly in submandibular space, having extensions into sublingual space [Table/Fig-3a,b].
Aspiration of the cystic fluid was planned and carried out under local anaesthesia, using 18 gauge needle. Four ml of white viscous fluid was aspirated and sent for cytochemical evaluation. The fluid consisted of mucus and numerous inflammatory cells. Chemical analysis of the aspirated fluid showed increased amylase and protein content, suggestive of salivary secretion. Based on clinical, radiological and cytochemical evaluation, final diagnosis of ranula arising from left sublingual gland was established.
Surgical removal of the lesion along with the sublingual gland was planned and executed under general anaesthesia. It was approached through a submandibular incision placed in the neck crease [Table/Fig-4a]. The lesion was exposed by subplatysmal dissection [Table/Fig-4b,c]. By careful dissection, the thin wall of the ranula was separated from surrounding tissues [Table/Fig-4d]. Ranula was excised in-toto [Table/Fig-4e,f]. Sublingual gland was approached and removed through intraoral incision placed over floor of the mouth [Table/Fig-5a-c]. The excised lesion was sent for histopathological evaluation. The microscopic examination revealed a fibrous capsule with central pooling of mucin along with mucinophages [Table/Fig-6a-c]. The histopathological analysis confirmed the diagnosis of ranula. The patient was put on follow up and showed complete healing of the surgical site with no recurrence at one year follow up [Table/Fig-7a,b].
An informed consent was taken from the patient. Written permission was also attained for publication of case pictures for academic and educational purposes.
Discussion
Ranula is salivary extravasation cyst [1]. Harrison and Garrett, in 1972 demonstrated that the extravasation of saliva from the sublingual gland induce a fibroblastic reaction that seal the saliva in a connective tissue sac, forming a pseudocyst [2]. It typically presents as a submucosal swelling in the floor of the mouth. Often the lesion lies immediately below the mucosa giving a bluish appearance that is compared to a frog’s belly, hence the term ranula. Simple ranulas are walled off above the mylohyoid muscle. Complex or plunging ranulas develop when the mucus extravasation extends through or around the mylohyoid muscle and deeper into the neck. Plunging ranula of large dimensions with involvement of the submandibular and parapharyngeal spaces makes its differentiation difficult from other cystic neck masses, particularly cystic hygroma [3].
Presentation of large plunging ranula as isolated neck mass, as in the present report may cause diagnostic dilemma and can be misdiagnosed as thyroglossal duct cyst, dermoid or epidermoid cysts, vascular malformations, and submandibular sialoadenitis [4]. These entities cannot be distinguished from one another by clinical evaluation alone, so diagnosis relies on imaging and fluid aspiration from the cervical swelling.
Diagnostic aids like ultrasonography and MRI are useful tools to evaluate the cystic nature of lesion, its exact anatomical location and extent. It also helps to assess the status of the mylohyoid muscle and the sublingual gland for rupture or herniation [5]. Macdonald A et al., in a retrospective review analysed the importance of contrast enhanced CT and MRI in diagnosis of plunging ranula [3]. They stated that although giant ranulas may resemble other neck swellings like cystic hygroma, CT and MRI imaging allow confident differentiation. Ultrasonography and MRI was used in the present case. The lesion appeared to arise in the sublingual space and tail around the posterior border of mylohyoid, presenting a large cystic cavity in the submanbibular space. Fine-needle aspiration is a useful diagnostic technique for evaluating patients with salivary gland nodules and enlargement. Differentiating between ranula and vascular lesions pre-operatively is very important because large angiomas mistaken for ranula can result in major bleeding if removed [6].
Reported surgical procedures for management of plunging ranulas vary from simple excision, combined ranula and sublingual gland excision, excision of the ranula along with the sublingual gland and submandibular gland. Other conservative means of management including marsupialization and use of drain to decompress ranula has been reported with varying degree of success [7]. The present case was treated by transcervical excision of ranula along with intraoral sublingual gland excision. Recurrence is one of the most common complications after removal of the lesion. Other complications included tongue hypesthesia, bleeding/haematoma, postoperative infection, and wharton’s duct injury [8]. In the present case postoperative healing was satisfactory with no signs of recurrence at one year follow up.
Clinical presentation of lesion (a) frontal and (b) inferior view

Ultrasonogram showing a large hypoecogenic cystic lesion in left submandibular region

Magnetic resonance imaging showing Plunging ranula (a) axial (b) coronal section

Surgical steps in removal of plunging ranula (a) submandibular incision placed along skin crease in neck (b,c) subplatysmal dissection showing the superficial portion of ranula (d) lesion dissected from surrounding attachments (e) submandibular and submental space after removal of lesion (f) excised lesion and aspirated content of the ranula

Approach for removal of sublingual gland (a) incision over floor of mouth placed, submucosal dissection done and submandibular duct identified along its entire course. The sublingual gland identified lateral to the duct and dissected (b) site after excision of SL gland (c) excised sublingual gland

Haematoxin and eosin stained section showing (a) nonkeratinised stratified squamous epithelium & extravasated mucin in underlying connective tissue stroma surrounded by fibrous capsule, (b) mucin pooling along with mucinophages(1), surrounded by fibrous connective tissue capsule(2) [10 X magnifications] (c) Higher magnification [40 X] showing large vacuolated cells with empty cytoplasm(white arrow) & mucinophages (Black arrow)

Postoperative photograph (a) extra-oral view, (b) intra-oral view

Conclusion
Common presentation of ranula makes its diagnosis straightforward. However large plunging ranula presenting as isolated neck swelling, as in the present cases, may lead to diagnostic dilemma. It is important to evaluate and investigate the lesion to differentiate it from other neck swellings like cystic hygroma, dermoid cyst, epidermoid cysts, vascular malformations, and submandibular sialoadenitis, in a stepwise manner to reach a definitive diagnosis.
[1]. SN Bhaskar, TE Bolden, JP Weinmann, Pathogenesis of mucocelesJ Dent Res 1956 35:863-74. [Google Scholar]
[2]. JD Harrison, JR Garrett, Mucocele formation in cats by glandular duct ligationArch Oral Biol 1972 17:1403-14. [Google Scholar]
[3]. A Macdonald, K Salzman, H Harnsberger, Giant Ranula of the Neck: Differentiation from Cystic HygromaAm J Neuroradiol 2003 24:757-61. [Google Scholar]
[4]. Y Zhao, Y Jia, X Chen, W Zhang, Clinical review of 580 ranulasOral Surg Oral Med Oral Pathol Oral Radiol Endod 2004 98:281-87. [Google Scholar]
[5]. P Jain, R Jain, RP Morton, Z Ahmad, Plunging ranulas: high-resolution ultrasound for diagnosis and surgical managementEur Radiol 2010 20(6):1442-49. [Google Scholar]
[6]. LJ Layfield, EV Gopeza, Cystic lesions of the salivary glands: cytologic features in fine-needle aspiration biopsiesDiagnCytopathol 2002 27:197-204. [Google Scholar]
[7]. P Kim, A Simental, Treatment of ranulas. Operative Techniques in OtolaryngologyHead and Neck Surgery 2008 19:240-42. [Google Scholar]
[8]. MR Patel, AM Deal, WW Shockley, Oral and plunging ranulas: What is the most effective treatment?Laryngoscope 2009 119(8):1501-09. [Google Scholar]