Foundation of all good microscopic preparations depends on the treatment of tissue as soon as it is removed from the body. The tissue should be immediately transferred and fixed in appropriate fixative solution. If the tissue is unfixed or dried out, the valuable details will be missed out in the specimens. Pathologist might feel difficulty in diagnosing the tissue when they are not properly fixed. Doctors working in Government dental hospitals or clinics in remote areas see a large number of patients in Out-Patient clinics or camps. Patients with suspicious lesions of size 2-4 cm are advised to undergo immediate incisional biopsy for diagnosis to rule out malignancy. As we know, formalin is the universal fixative and the tissues have to be transferred immediately into it to prevent autolysis and putrefaction. In certain situations, there might be unavailability of formalin and valuable tissue specimens are discarded due to unavailability of formalin or due to lack of knowledge regarding importance of biopsy. For such situations, we intend to find out an alternate solution that can be used for preserving tissues, before it is transferred to formalin to the nearby histopathology lab. So, we conducted a study to find out the possible transfer media which can preserve the morphological details of the tissue.
Materials and Methods
The study was carried out using commercially available fresh goat tongue, which was cut into multiple bits. Each bit was placed in different containers containing easily available solutions such as Spirit, Saline, Betadine solution, H2O2, Local anesthetic (LA)., Rose water, Coconut oil, Coconut water, Ice cold water, Honey and Milk. A tissue bit placed immediately in formalin container serves as control. Fixation was carried out at room temperature for a period of 8 h in different solutions and then the tissues were transferred to normal 10% formalin solution. It is followed by conventional processing method with different grades of alcohol proceeded by staining with hematoxylin and eosin.
Observation and Results
The tissue sections were assessed by three examiners under light microscope and the whole procedure was blinded. The histomorphological criteria examined are elaborated below:
Cellular outline
Nuclear detail
Staining quality
Overall morphology.
Each histomorphologic criteria was rated on a scale of 1-4:
Poor
Satisfactory
Good
Excellent
The average values of 3 examiners are tabulated in [Table/Fig-1]:
The average values of three examiners
| Transit Fixatives Used | Criteria Used | Total Score (24) |
|---|
| Staining Quality | Cellular Outline | Nuclear Details | Ease of Sectioning | Tissue Foldings | Over All Morphology |
|---|
| Local Anesthesia | 4 | 4 | 3 | 3 | 4 | 4 | 22 |
| Hydrogen Peroxide | 4 | 3 | 3 | 3 | 4 | 4 | 21 |
| Honey | 3 | 3 | 3 | 3 | 3 | 3 | 18 |
| Coconut Oil | 3 | 3 | 3 | 3 | 3 | 2 | 17 |
| Rose Water | 3 | 2 | 3 | 3 | 3 | 2 | 16 |
| Coconut Water | 3 | 2 | 2 | 3 | 2 | 2 | 14 |
| Milk | 2 | 2 | 2 | 3 | 2 | 2 | 13 |
| Betadine | 2 | 3 | 2 | 2 | 1 | 2 | 12 |
| Ice Cold Water | 2 | 1 | 1 | 2 | 3 | 2 | 11 |
| Spirit | 2 | 2 | 1 | 2 | 3 | 2 | 10 |
| Saline | 2 | 1 | 1 | 2 | 1 | 1 | 8 |
Depending upon the scores obtained, total scores were taken and the values were used to group the tissues into following:
Scoring Criteria
Excellent -------------- 24-20
Satisfactory ---------- 19-12
Poor ------------------- 11-100
Fixation of tissues in 10% formalin solution gave the ideal results [Table/Fig-2] which acted as the positive control for the study. All the transit fixatives were able to preserve the tissue over a period of 8 h. Tissue fixed with L.A. [Table/Fig-3] and H2O2 [Table/Fig-4] showed good cytoplasmic and nuclear details. Similarly, in honey [Table/Fig-5] fixed tissue sections, the cytoplasmic and nuclear details were satisfactory. Difficulty was encountered while sectioning the Betadine fixed tissues which resulted in folded artifacts. On the other hand, tissue in saline showed significant cellular swelling & poor staining with H & E, which indicates tissue autolysis. Other tissue sections had good overall morphology and also good nuclear, cytoplasmic details and staining quality except saline and spirit. To sum up the overall results, the tissue fixation ability was in the following order: Formalin > L.A > H2O2> Honey> Coconut oil [Table/Fig-6] > Rose water> Coconut water > Milk> Betadine> Ice cold water> Saline> Spirit.
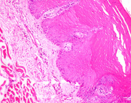
Hematoxylin & Eosin section of tissue fixed in Formalin

Hematoxylin & Eosin section of tissue fixed in HONEY prior to formalin fixation

Hematoxylin & Eosin section of tissue fixed in LOCAL ANESTHESIA prior to formalin

Hematoxylin & Eosin section of tissue fixed in H2O2 prior to formalin

Hematoxylin & Eosin section of tissue fixed in COCONUT OIL prior to formalin

Discussion
Fixation is an initial and important step in tissue processing for microscopical examination of tissues. The primary aim of fixation is to preserve the tissues in a life-like manner, prevent bacterial putrefaction and autolysis and increase the refractive index of the tissue [1].
Formalin is the universal fixative in routine histopathology for over 100 years and enough data is available on it [2]. Formalin is readily available, economical, fairly convenient to store for longer duration, preserves lipids well, and has been widely accepted as the closest thing there is to the perfect fixative, with no clear “all-purpose” alternative found to date [2,3].
Since then, the formalin-fixed paraffin-embedded tissue stained with hematoxylin and eosin (H&E) is the “gold standard” and no other histopathology technique provides so much information so quickly and for such little cost [4].
Rural areas where screening programmes, medical camps and public health service centers were conducted, doctors generally see large number of patients. Patients with suspicious lesions are advised for immediate biopsy. In certain situations formalin might not be readily available. In such cases, the biopsied tissues will be discarded or get damaged if left out for drying which poses difficulty in diagnosis.
Properties of honey such as high osmolarity, low pH and the presence of components such as hydrogen peroxide and phenol inhibine, all contribute to its anti-oxidative and antibacterial effects [5]. Previously studies were carried out using sugar syrup, jaggery, molasses and honey as an alternative to formalin for fixation [2,6]. Formalin, a chemical used to preserve tissues for biological and histopathological examinations, is added to milk to retain its freshness and prevent it from spoiling [7]. Improvements in fixation occurred by using the combination of glutaraldehyde and H2O2 [8].
We went further in the quest for exploring substances that can overcome the properties of formalin. The decision of choosing the above said solutions is as they are readily available in the rural areas. This attempt of ours is the first of its kind with no existing literature on the usage of the above said as transit fixatives.
It is heartening to know that some of the commonly available, day to day substances give pleasant surprises! Fixation of tissue by Honey, L.A., H2O2, and Rosewater is an innovative attempt. Among the transit fixatives investigated, the Honey, L.A., H2O2, coconut oil has all the novel qualities to act as good transit media.
Conclusion
Biopsy is the gold standard for histopathological diagnosis and it is very important to preserve the tissue in proper fixative for analysis. Biopsy of all the suspicious lesions is mandatory. If formalin is not available, the tissues can be fixed in the above said solutions for a period of 8 h. Our study emphasizes the need and preservation of tissue in a life like manner as possible, so that the valuable human tissue can be used for diagnosis. Thus, we emphasize transit fixatives have all the novel qualities to fix and preserve the morphological details of the tissues for a period of time. It’s a breakthrough in the field of tissue preservation. Here, we are introducing the new TRANSIT FIXATIVES!!