A Rare Case Report of Clear Cell Variant of Oral Squamous Cell Carcinoma
Purshotam Nainani1, Harkanwal Preet Singh2, Aparna Paliwal3, Neelu Nagpal4
1 Professor and Head, Department of Oral Pathology, RKDF Dental College, Bhopal, M.P, India.
2 Senior Lecturer, Department of Oral Pathology, Dasmesh Institute of Research and Dental Sciences, Faridkot, Punjab, India.
3 Reader, Department of Oral Pathology, RKDF Dental College, Bhopal, M.P, India.
4 Senior Lecturer, Department of Oral Pathology, RKDF Dental College, Bhopal, M.P, India.
NAME, ADDRESS, E-MAIL ID OF THE CORRESPONDING AUTHOR: Dr. Harkanwal Preet Singh, Senior Lecturer, Department of Oral Pathology, Dasmesh Institute of Research and Dental Sciences, Faridkot, Punjab, India.
Phone: 9501544877, E mail: hkps0320@yahoo.com
Clear cell squamous cell carcinoma (SCC) is an extremely rare heterogenous group of malignant tumour with incompletely understood aetiology. We, hereby present a case of clear cell variant of squamous carcinoma on buccal mucosa in 52-year-old male patient. Histopathology showed sheets of squamous cells with clear cell differentiation and malignant features. Histochemical findings showed negative staining for Periodic Acid-Schiff (PAS), mucicarmine and Oil Red O. Immunohistochemical investigations revealed positive staining for CK 8-18 and negative for S-100. We conclude by emphasizing on the need of careful analysis of all the histopathological and IHC investigations. To predict the exact prognosis of this rare variant more number of case reports are expected to be published in future.
Clear cell carcinoma, Dermatopathology, Hydropic degeneration, Skin, Ulcers
Case Report
A 52-year-old male patient, a farmer by occupation presented to the Outdoor Department of RKDF Dental College, Bhopal, Madhya Pradesh, India with ulcero-proliferative lesion on the left side of cheek [Table/Fig-1] with mild continuous pain, localized to the lesional area with no aggravating and relieving factors. Growth was sudden in onset and increased to present size within 40 d duration. The intra-oral examination revealed an irregular diffuse erythematous ulceroproliferative growth covered by fibrinous exudates with irregular and indurated margins over his left buccal mucosa. Lesion is about 5 × 6 cm in size extending with respect to 31-38 tooth region.
An extra-oral examination revealed bilateral, palpable, single, firm, mobile and tender submandibular lymph node with no any obvious facial asymmetry. Medical history of the patient was not significant and he did not report any history of alcohol or tobacco addiction. Computed tomography scan of patient revealed evidence of 2×2×1 cm heterogeneously enhancing relatively well defined mass lesion in left buccal space.
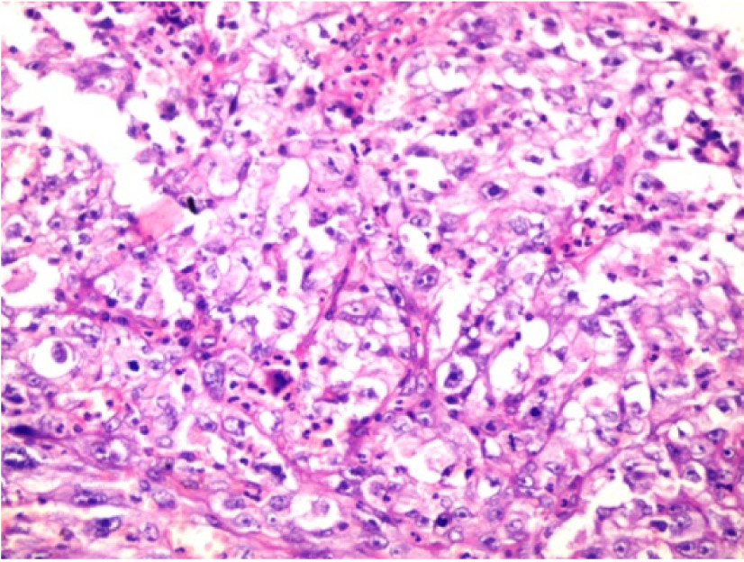
Under the impression of malignancy, an incisional biopsy was performed on the same day. Histopathological examination showed sheets of predominantly clear cells invading into underlying connective stroma [Table/Fig-2]. The clear cells were round to polygonal in shape consisting of clear cytoplasm with dysplastic features such as nuclear and cellular pleomorphism, hyperchromatic nucleus and abnormal mitotic figures suggestive of malignancy [Table/Fig-3]. Few areas were showing keratin pearl formation also [Table/Fig-4]. Tissue sections were subjected to histochemical and immunohistochemical (IHC) analysis to define the origin of tumour cells. The sections were negative for PAS, and mucicarmine stains ruling out the tumour of odontogenic and salivary gland origin. It also came out to negative for Oil red O (Fat stain) ruling out sebaceous neoplasm. IHC investigation revealed negative staining for Vimentin and S-100 hence, ruled out the possibility of malignancy of connective tissue and malignant melanoma also. Sections showed strong positive immunoreactivity for cytokeratins 8 and 18 (CK8 and CK18) [Table/Fig-5] suggestive of well differentiated SCC [Table/Fig-6].
Clinical photograph showing ulcero-proliferative growth on left side of buccal mucosa

Histopathologic picture (H& E; 4X) showing sheet of clear cells and keratin pearl formation

Histopathologic picture (H& E; 10X) showing sheet of clear cells

Histopathologic picture (H& E; 40X) showing sheet of clear cells with dysplastic features.

Immunohistochemical photomicrograph (40X) showing clear cells with strong immunoreactivity for CK8-18

Immunohistochemical analysis of various clear cell lesions
| IHC Marker | Salivary gland tumours | CEOT | Melanocytic tumours | Keratinocytic tumours | Bone/cartilagenous tumours | Adipocytic tumours | Metastatic tumours |
|---|
| Pan- CK | +/- | + | +/- | + | - | - | |
| Vimentin | +/- | - | - | - | + | + | + |
| S-100 | +/- | - | +/- | - | - | - | - |
| HMB-45 | +/- | - | +/- | - | - | - | - |
| Calponin | +/- | - | - | - | - | - | - |
| Melan-A | - | - | + | - | - | - | - |
In the present case, the staging of the tumour according to the TNM system proposed by American Joint committee on Cancer (AJCC) [1] was evaluated and it was found to be stage II (T2N0M0).
Patient was referred to the Oncology Department of RKDF Medical College Bhopal for further treatment which consisted of complete excision of primary lesions with bilateral supraomohyoid neck dissection. The excisional biopsy submitted to histopathological examination showed that the margins of excised tissue were free of tumour but there was histological evidence of metastasis into the level Ia lymph nodes. Based on clinical, radiographical, general and histopathological examination, a final diagnosis of Clear cell variant of SCC was made. The patient was suggested to receive a post-operative radiation therapy of 4000 CGY dose for six-week period but patient declined to it. He succumbed to advanced disseminated disease within three months of presentation.
Discussion
Clear-cell SCC first described by Kuo in 1980 is an extremely rare variant of SCC commonly referred to as hydropic SCC due to the extensive hydropic degeneration of neoplastic cells, and the accumulation of intracellular fluid [2]. Till 2006 only six cases have been reported in English literature. All reported cases have occurred in the head and neck region, with the mandible being the most common site [3]. However, Corbalán-Vélez R et al., [4] in their study proposed that this subtype of SCC is underdiagnosed and is more frequent than the literature suggests.
It most commonly manifests as a nodule or mass that may occasionally be ulcerated but in present case it appeared as an ulcero-proliferative growth. However, the aetiology of clear cell SCC is incompletely understood, immune suppression, arsenic exposure, radiation, chronic ulceration, have been suggested as possible aetiologic factors [5]. Present case occurred in a patient having outdoor activities suggesting a role of Ultraviolet radiation.
Kuo further classified the six cases of clear cell carcinoma into three major histologic types: keratinizing (type I), nonkeratinizing (type II), and pleomorphic (type III). In all three types, none has evidence of either glycogen or mucin in tumour cells. Present case also showed negative staining for PAS and mucicarmine staining indicating the absence of glycogen and mucin accumulation [2]. Tumours composed exclusively or in large part of clear cells are rare in salivary gland, jaws, and oral mucosa and represent only 1-2% of all tumours in such locations [6].
Clear cell tumours constitute a heterogenous group of lesions and can be broadly classified into three main categories (odontogenic, salivary glands, and metastatic), according to their presumed origin. The neoplasms of other origins composed of clear cells, such as clear cell acanthoma, primary eccrine gland carcinoma, clear cell chondrosarcoma, malignant melanoma and metastatic tumours are rarely found in oral cavity [6].
This clear cell variant of SCC may be easily mistaken histologically for a sebaceous neoplasm. Distinguishing features, however, include evidence of squamous differentiation and a negative fat stain using Oil Red O [5]. Salivary gland tumours including epithelial myoepithelial carcinoma, hyalinizing clear cell carcinoma, clear cell acinic cell carcinomas, and clear cell mucoepidermoid carcinoma can be considered in differential diagnosis of clear cell tumours. Lack of presence of glycogen, mucin and negative staining for S-100 ruled out epithelial myoepithelial carcinoma, mucoepidermoid carcinoma and clear cell acinic cell carcinomas. Hyalinizing clear cell carcinoma was ruled out on account of the lack of dense fibrous stroma [5,6]. Amelanotic melanomas consist of large nests of polygonal, rounded or spindle cells with clear to weakly eosinophilic cytoplasm with positive immunoreactivty S-100 protein and other melanoma-associated antigen such as HMB-45. Present case showed negative staining for S-100 and strong positivity for CK8, and CK18 suggestive of OSCC [7].
Absence of rich vasculature with prominent hemorrhage with lack of radiographic evidence of metastatic tumour ruled out the Metastatic renal cell carcinoma [8]. In present case the general examination, chest X-ray and ultrasonography ruled out the possibility of other distant metastatic tumours to the oral cavity. The clear cell variant of calcifying epithelial odontogenic tumour (Pindborg tumour) was ruled out due the absence of prominent amyloid deposition and calcifications in stroma [9]. In present case, the lesion showed rapid growth leading to shorter survival period. It was reported that four of the six cases reported by Kuo [2] had rapid growth and three of the six cases were previously diagnosed as sebaceous carcinoma. More number of case reports are expected to shed light on its clinical behavior and prognosis of this rare variant of SCC.
Conclusion
Clear cell variant of SCC is a rare entity and it should be carefully diagnosed in light of clinical, histopathological and immunohistochemical investigations as clear cell lesions may pose difficulty in diagnosis based upon histopathologic features alone. Assiduous study of the cases reported in the literature may lead to better understanding of this rare tumour.
[1]. American Joint Committee on CancerSkinCarcinoma of Skin 2002 :204-05. [Google Scholar]
[2]. Kuo T, Clear cell carcinoma of the skin: a variant of the squamous cell carcinoma that stimulates sebaceous carcinomaAm J Surg Pathol 1980 4:573-83. [Google Scholar]
[3]. Lawal AO, Adisa AO, Olajide MA, Olusanya AA, Clear cell variant of squamous cell carcinoma of skin: a report of a caseJ Oral Maxillofac Pathol 2013 17:110-12. [Google Scholar]
[4]. Corbalán-Vélez R, Ruiz-Macia JA, Brufau C, López-Lozano JM, Martínez-Barba E, Carapeto FJ, Clear cells in cutaneous squamous cell carcinomaActas Dermosifiliogr 2009 100(4):307-16. [Google Scholar]
[5]. Rinker MH, Fenske NA, Scalf LA, Glass LF, Histologic variants of squamous cell carcinoma of the skinCancer Control 2001 8(4):354-63. [Google Scholar]
[6]. Maiorano E, Altini M, Favia G, Clear cell tumours of the salivary glands, jaws, and oral mucosaSemin Diagn Pathol 1997 14:203-12. [Google Scholar]
[7]. Magro CM, Crowson AN, Mihm MC, Unusual variants of malignant melanomaMod Pathol 2006 19(Suppl 2):S41-70. [Google Scholar]
[8]. Abbaszadeh-Bidokhty H, Motallebnejad M, Rajabi-Moghaddam M, Metastatic renal cell carcinoma presenting as a clear-cell tumour in tongue: A Case ReportIran J Otorhinolaryngol 2014 26(76):185-90. [Google Scholar]
[9]. Badrashetty D, Rangaswamy S, Belgode N, Clear cell variant of calcifying epithelial odontogenic tumour of maxilla: Report of a rare caseJ Oral Maxillofac Pathol 2013 17(3):479 [Google Scholar]