Management of Giant Cell Tumour Radius in a Three Year old Child with an Improvised Technique
Ajay Puri1, Vipin Sharma2, Ashish Gulia2, Seema Sharma2, Amit K Verma2
1 Professor, Bone and Soft Tissue Unit, Tata Memorial Hospital, Mumbai, India.
2 Associate Professor, Department of Orthopaedics , Dr Rajendra Prasad Govt. Medical College, HP, India.
3 Assistant Professor, Bone and Soft Tissue Unit, Tata Memorial Hospital, Mumbai, India.
4 Associate Professor, Department of Paediatrics, Dr Rajendra Prasad Govt. Medical College, HP, India.
5 Junior Resident, Department of Orthopaedics, Dr Rajendra Prasad Govt. Medical College, HP, India.
NAME, ADDRESS, E-MAIL ID OF THE CORRESPONDING AUTHOR: Dr. Vipin Sharma, H No 23, Type 5, Block B, Dr Rajendra Prasad Govt Medical College, Tanda, HP, India. Phone : +919418125635, E-mai : vipinsh_hp@rediffmail.com
Giant cell tumours of immature skeleton have a very low incidence and epi-metaphyseal location. We are presenting giant cell tumour distal radius in a skeletally immature patient; an uncontained defect with a large soft tissue component which was managed by wide excision and reconstruction with an improvised technique.
Reconstruction, Recurrence, Ulno-carpal stabilisation
Case Report
A 3-year-old female child reported in bone and soft tissue unit of Tata Memorial Hospital, Mumbai with a painful swelling of left distal forearm for a duration of two months, which was progressively increasing in size over the period of one month without any detrimental impact on health of the patient. There was no history suggestive of trauma or underlying systemic disease. Consent for examination, investigation and subsequent management was taken from the parents of the patient. Clinical examination revealed a swelling 4 x 3.5cm in dimensions, dorsally extending from distal one third of forearm up to the wrist joint with well defined margins, a firm consistency and tenderness on palpation. Swelling was fixed to underlying structures. Overlying skin was stretched and ulcerated [Table/Fig-1]. Finger and wrist extension was painful and restricted. X-rays revealed a lytic-destructive lesion, thinned out cortices, blown out appearance and a wide zone of transition. Adjacent soft tissue component was noted on dorsum of distal radius [Table/Fig-2].
Preoperative clinical picture of swelling left distal forearm(arrow) with ulceration (solid arrow)

Radiograph showing bony lesion distal radius (arrow) with soft tissue component (solid arrow)

MRI revealed an aggressive predominantly solid lesion 4 x 3.6 x 2.8 cm, heterogenosly hypointense on T1 and T2 weighted images and hyperintense on STIR images [Table/Fig-3]. It was seen replacing the marrow cavity with a breach in anterior and posterior cortex and soft tissue extension. Proximal extent of lesion was 5.4 cm from distal articular surface of radius. The possible radiological differential diagnosis entertained were Chondroblastoma, Aneurysmal Bone Cyst, Osteosarcoma, Brown tumour of hyperparathyroidism and Giant cell tumour of bone. Normal serum alkaline phosphatase levels ruled out hyperparathyroidism. Core needle biopsy confirmed it to be a highly aggressive giant cell tumour (Enneking Stage III ) [Table/Fig-4]. Since it was a highly destructive lesion with destruction of cortex and a large soft tissue component, wide excision and reconstruction was performed. Postoperative specimen had tumour free margins on histopathology.
MRI demonstrating marrow spread (arrow) and soft tissue extent (solid arrow)

Giant cells admixed with round and spindled mononuclear cells (magnification 230X)

Operative Technique
After supine position and appropriate anesthesia a dorsal longitudinal incision was made in forearm islanding the needle biopsy scar. Tendons of extensor indices, extensor pollicis longus and extensor digitorum were found going into the tumour. Extensor pollicis longus was cut proximally at musculotendinous junction and rest of the tendons distally at wrist. The cut tendons were then sutured back after excision of the tumour. Superficial radial nerve, tendons of extensor carpi radialis longus and brevis were entrapped by tumour and thus excised distally. Radial vessels were identified and protected.
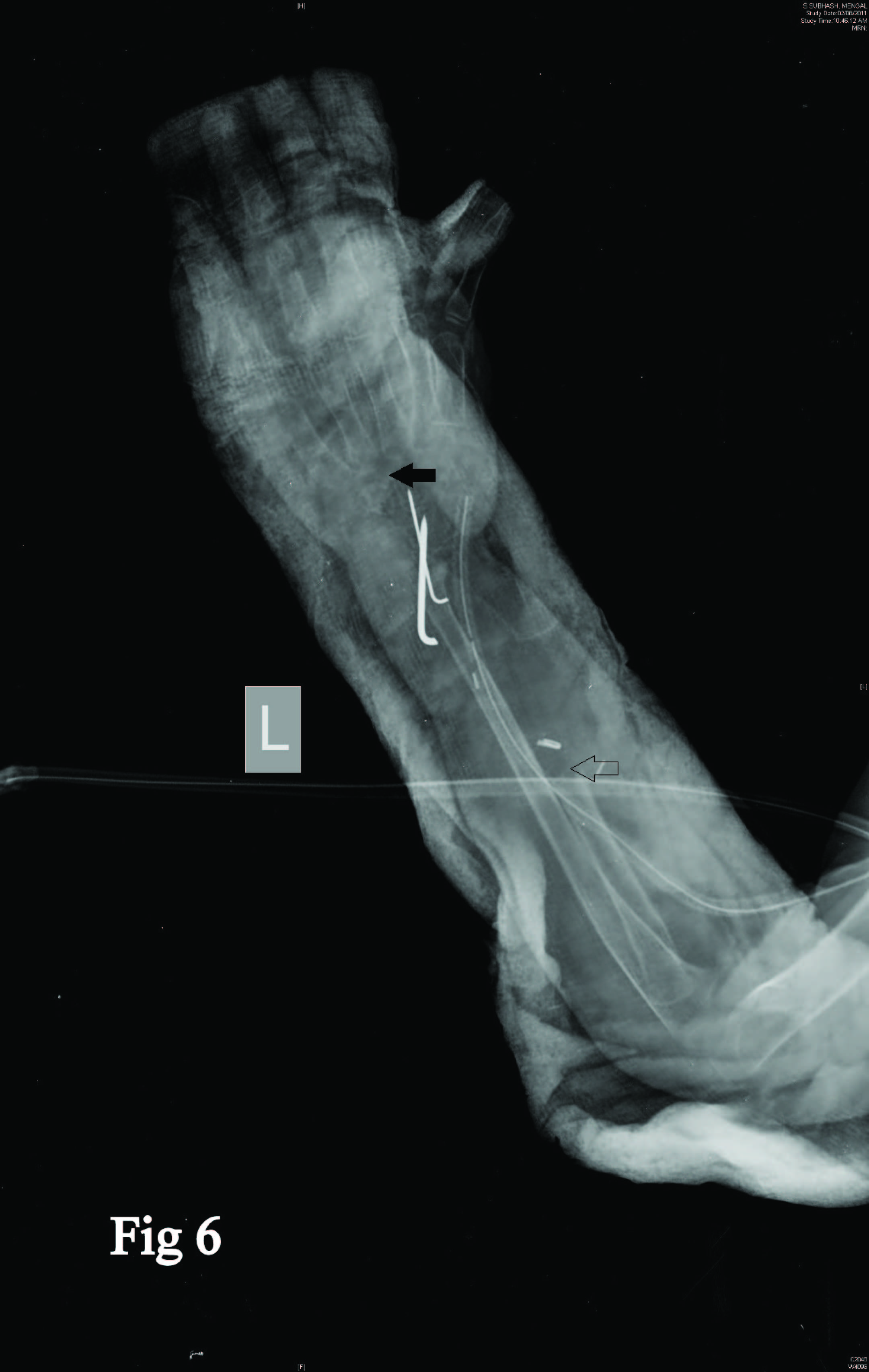
Seven centimeter from articular surface a radial osteotomy was done and specimen delivered [Table/Fig-5]. The carpus was centralized over ulna. Considering the age of the patient it was decided to stabilize the ulnocarpal interface using unthreaded K wires passed through the distal ulna including the distal ulnar physis with a plan to go for ulnocarpal arthrodesis as a definitive procedure at skeletal maturity. Postoperatively the wrist was immobilized in a POP cast for six weeks [Table/Fig-6]. This was followed by a forearm brace immobilization to be continued till skeletal maturity [Table/Fig-7&8]. Supervised regular physiotherapy was recommended to reduce the chance of reflex sympathetic dystrophy.

Postop X-rays showing centralisation of carpus on ulna and ulnocarpal stabilization(solid arrow) with resected radius (arrow)


Follow up clinical picture left forearm and wrist

At one and half year follow up child had full flexion at metacarpophalangeal and interphalangeal joints of fingers and thumb with a good grip strength and no limb length discrepancy.
Discussion
Giant cell tumour is extremely rare in skeletally immature individuals with incidence of 1.8% to 7.5% with slight female preponderance and epi-metaphyseal location [1]. Giant cell tumours of distal radius are known to exhibit highly aggressive behavior and a high recurrence rate.
Grade I and II lesions are usually treated by extended curettage while Cheng’s criteria guide the management of Grade III lesions (resection if tumour invades the wrist, destroys more than 50% cortex or breaks through the cortex with an extra osseous mass in more than one plane) [2].
Evaluating a technique of reconstruction in a child is based on length of bone to be resected, relative ease of procedure, post-operative morbidity, complications, functional outcome, durability of the reconstructed segment and need to preserve longitudinal growth of the limb.
Some authors have reported reconstruction of distal radius defect along with wrist reconstruction with endoprosthetic replacement, ipsilateral proximal fibula (vascularised or non vascularised), osteoarticular allografts or articular fibular head.
Proximal carpal bones migration, ulnocarpal abutment, skin flap necrosis, wound infection and late aseptic loosening have been reported with endoprosthesis [3,4]. Complications noted with autologous fibula are superficial infection, wrist subluxation, pain and functional impairment with moderate activity, soft tissue recurrence and nonunion [5]. Comparison of partial wrist arthrodesis to hemiarthroplasty in a study using vascularised fibula grafts has shown better outcomes with fibulo-carpal arthrodesis [6]. Size matched osteoarticular allograft arthroplasty has been used by some with radiocarpal degeneration and mild distal radioulnar joint instability being the complications [7].
Advocates of resection and arthrodesis at wrist have used ulnar translocation, autologous fibular shaft arthrodesis and centralisation of carpus on ulna. Excellent scores have been reported with ulnar translocation with few complications like restricted prono-supination, proximal radio-ulnar synostosis and soft tissue recurrence [8]. Centralisation of carpus on ulna with ulnocarpal arthrodesis has been preferred by some in patients where large segments of radius need resection with not many complications [9].
Wrist preserving or arthroplasty options appear attractive but have their own set of limitations. Ipsilateral vascularised proximal fibula or articular fibular head transfer preserve the wrist function and growth potential but need complex microvascular surgery necessitating facilities that may not be easily available. Also there is donor site morbidity in the form of persistent leg pain, lateral ligament laxity at knee, peroneal nerve palsy and dysaesthesia in the back of the leg [8]. Reconstructed wrist may turn unstable, painful and dysfunctional eventually. Endoprosthetic replacement in children has possible limitations like prohibitive costs, inability to contribute to longituduinal growth and late aseptic loosening. Size matched osteoarticular allografts distal radius appear promising but are difficult to procure, do not contribute to skeletal growth and are associated with danger of disease transmission, fracture nonunion and late articular degeneration.
Treatments that aim to achieve arthrodesis at wrist use shaft fibula, tibia or iliac crest as nonvascularised autografts for reconstruction but their choice is limited in paediatric age group as these don’t contribute to longitudinal growth of the limb [9]. Ulnocarpal translocations are not feasible in large resections of radius. In such situations centralisation of carpus on ulna can be a good reconstruction option.
In our study we have reported centralisation of carpus on ulna in a 3-year-old child after resection of giant cell tumour distal radius with temporary stabilisation at ulnocarpal junctions with Kirschner wires. The latter helps preserve longitudinal growth till maturity when a planned ulnocarpal arthrodesis can be attempted for definitive stabilisation.
In congenital absence of radius for which this technique was originally described, surgical correction follows stretching and splinting for 3 to 6 months and involves centralization of the carpus on the ulna with thumb reconstruction and occasionally triceps transfer to restore elbow flexion. While in distal radial tumours in skeletally immature patients where resection gap is quite large, centralisation of carpus on ulna with ulnocarpal stabilization is a useful alternative to more complex reconstruction options as procedure is relatively simple and preserves longitudinal growth of the limb. In this patient ulnocarpal stabilization was achieved by pinning of distal radius to carpus without involving long finger metacarpal to avoid postoperative stiffness. Patient had excellent hand function on follow up. Distal ulna is known to broaden and take on the radiographic appearance of normal distal radius and also continues to contribute to longitudinal growth of the limb. Bracing is continued postoperatively to maintain position at wrist followed by arthrodesis at skeletal maturity. Arthrodesis of wrist is a final definitive procedure after cessation of growth and is done to correct any residual deformity and stabilize the wrist.
The present case of GCT distal radius in a three year old child is youngest case being reported so far. Though rare in pediatric population yet it should be considered as one of the differential diagnosis of lytic lesions in skeletally immature patients [10]. In this age group the choice for reconstruction after resection is limited. Centralisation of the carpus with K wire fixation of distal ulna to carpus for continued longitudinal growth of the limb appears to be one of the better options as the procedure is relatively short in duration and avoids the problems associated with graft procurement, graft fracture and hardware failure. It allows considerable lengths of the radius to be resected to provide adequate tumour-free margins. As it does not rely on the availability of limited autograft or allograft for reconstruction, it can be easily performed at most institutes and does not require microvascular surgery back up. Loss of prono – supination is adequately compensated for by normal elbow and shoulder function [9].
Conclusion
This case report highlights the importance of including GCT in children as an important differential diagnosis. It also suggests feasibility to use simple reconstruction techniques when microvascular facilities are not avilable.
Abbreviations
GCT-Giant Cell Tumour
K Wires - Kirschner wires
[1]. Puri A, Agarwal MG, Shah M, Jambhekar NA, Anchan C, Behle S, Giant cell tumour of bone in children and adolescentsJ Pediatr Orthop 2007 27(6):635-39. [Google Scholar]
[2]. Cheng CY, Shih HN, Hsu KY, Hsu RW, Treatment of giant cell tumour of the distal radiusCORR 2001 383:221-28. [Google Scholar]
[3]. Hatano H, Morita T, Kobayashi H, Otsuka H, A ceramic prosthesis for the treatment of tumours of the distal radiusJBJS[Br] 2006 88(12):1656-58. [Google Scholar]
[4]. Natarajan MV, Bose JC, Viswanath J, Balasubramanium M, Sameer M, Custom Prosthetic replacement for distal radius tumoursInt Orthop 2009 33:1081-84. [Google Scholar]
[5]. Saini R, Bali K, Bachhal V, Mootha AK, Dhillon MS, Gill SS, En bloc excision and autogenous fibular reconstruction for aggressive giant cell tumour of distal radius: a report of 12 cases and review of literatureJournal of Orthopaedic Surgery and Research 2011 6:14 [Google Scholar]
[6]. Minami A, Kato H, Iwasaki N, Vascularized fibular graft after excision of giant-cell tumour of the distal radius: wrist arthroplasty versus partial wrist arthrodesisPlast Reconst Surg 2002 110:112-17. [Google Scholar]
[7]. Scoccianti G, Campanacci DA, Beltrami G, Caldora P, Capanna R, The use of osteo-articular allografts for reconstruction after resection of the distal radius for tumourJBJS[Br] 2010 92-B:1690-94. [Google Scholar]
[8]. Puri A, Gulia A, Agarwal MG, Reddy K, Ulnar translocation after excision of a Campanacci grade 3 giant-cell tumour of the distal radius: an effective method of reconstructionJBJS [Br] 2010 92(6):875-79. [Google Scholar]
[9]. Bhagat S, Bansal M, Jandhyala R, Sharma H, Amin P, Pandit JP, Wide excision and ulno - carpal arthrodesis for primary aggressive and recurrent giant cell tumoursInt Orthop 2008 32(6):741-45. [Google Scholar]
[10]. Dridi M, Ben SS, M'Barek M, Trabelsi M, Metatarsal Giant cell tumour in a 7-year-old child : A case reportActa Orthop Belg 2011 77(6):843-46. [Google Scholar]