Pulmonary embolism (PE) is a deceptive condition which is often incorrectly diagnosed leading to high morbidity and mortality. We present a case where symptoms were localised to different areas of the body starting with post-traumatic pain over lower extremity varicosities that migrated sequentially over a month to the knee, hip, back, abdomen and chest finally presenting as syncope. Despite a low pre-test clinical probability, a very high index of suspicion led to a timely diagnosis of a massive bilateral PE that eventually caused a troponin leak. The aetiology is highly suspicious of a thrombus which originated in the veins of the leg due to trauma over varicose veins.The case described here exemplifies the importance of considering trauma to varicosities as a risk factor for embolism when the clinical picture is concerning but other signs and symptoms of PE are not apparent.
Deep vein thrombosis, Troponin elevation
Case Report
A 56-year-old roofer was brought to the Emergency Room (ER) with an injured forehead, having fainted twice and turned ashen gray for five minutes. Major complaints were left sided pleuritic chest pain and mild dyspnea. He denied palpitations, dizziness, orthopnea, paroxysmal nocturnal dyspnea, leg pain, subjective fevers, dysuria, nausea or vomiting in the last one month.
Patient had a past medical history of bilateral varicose veins of lower extremities, chronic back pain, alcohol abuse, nicotine dependence and former intravenous drug use. Four weeks earlier, he had been struck over his right lower leg by a plank leading to mild local redness and tenderness that resolved in three days. A week after this incident, there was pain and swelling of the right knee followed by a dull aching pain, bilaterally over his hips and lower back. This also resolved spontaneously in a week. Two weeks later, he felt a dull constant abdominal pain of mild intensity with radiation to the back. There was no associated diarrhea, vomiting, dizziness or palpitations. Simultaneously, he started having intermittent episodes of bilateral pleuritic, exertional chest pain lasting for a few minutes at a time associated with new onset dyspnea on exertion. There was a gradual worsening of these symptoms for about a week until he presented to the ER with the above described syncopal episode.
On initial examination in the ER, he was afebrile, blood pressure was 97/67 mm Hg, heart rate 87/min, oxygen saturation of 92% on room air that improved to 97% with 2L/min oxygen supplementation by nasal cannula. Administration of one liter normal saline raised the blood pressure to 118/68 mm Hg. On physical examination, lungs were clear to auscultation, varicosities (clinical class C4a) without tenderness were noted over his legs bilaterally [Table/Fig-1] and small dried lacerations over the tip of his nose and central forehead were observed. The rest of his physical examination was normal. His electrocardiogram (EKG) showed sinus rhythm at a rate of 91 beats/min with incomplete RBBB [Table/Fig-2a,b]. No prior EKG was available for comparison. The incomplete RBBB pointed to right heart strain possibly due to cor pulmonale, myocardial ischemia or pulmonary embolism.
Varicose veins are prominently noted on the patient’s leg

EKG at presentation showing an incomplete right bundle branch block.

EKG showing T wave inversions in the inferior leads coinciding with episodes of recurrent chest pain

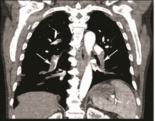
The chest X-ray (CXR) showed a normal cardiomediastinal silhouette with clear lungs with no pneumothorax or pleural effusion. A non-contrast CT of the head showed no active disease. Laboratory testing was significant for an elevated D-dimer but normal troponin level. Subsequent CT angiogram of the thorax showed large filling defects within the right main pulmonary artery, upper, middle and basilar segments. Additional filling defects were present within the left descending pulmonary artery and all of the basilar segments consistent with bilateral multifocal pulmonary emboli [Table/Fig-3a, b]. A wedge-shaped peripheral consolidation in the lateral basal segment of the right lower lobes suggested pulmonary infarcts. Incidentally, a moderate-sized hemangioma within the T12 vertebral body was noted. He was started on a therapeutic intravenous heparin drip for treatment of PE and admitted to the telemetry unit for serial cardiac enzymes.
Coronal section of CT chest showing filling defects bilaterally (solid white arrow).

Transverse section of CT chest showing filling defects in the right pulmonary artery (solid white arrow)

Over the next eight hours, he developed increasing episodes of substernal non-radiating chest pain at rest, lasting 10-15min, associated with dyspnea that was relieved by sublingual nitroglycerin and intravenous morphine. EKG at that point of time showed dynamic changes with T-wave inversions in the inferior leads [Table/Fig-2b] raising high suspicion for right ventricular strain and possible ischemia. An echocardiogram showed left ventricular ejection fraction (EF) of 40-50% with mild hypokinesis of anteroseptal wall, normal right ventricular EF with estimated systolic pressure of 22mm Hg and no valvular dysfunction. The second set of troponin was higher than normal and a diagnosis of non ST-elevation myocardial infarction likely secondary to demand ischemia was made. However,third set of troponin was within normal limits. Given stable vital signs despite a significant thrombotic burden and resolving troponinemia, invasive ischemic work up was postponed in favour of medical management with intravenous heparin. Doppler studies of the legs ruled out deep venous thrombosis (DVT) bilaterally and his hypercoagulation panel was negative.
Given the need for long-term anticoagulation the incidental finding of a hemangioma within T12 vertebral body was concerning. Moreover, patient affirmed subjective weakness of both legs for last six months although neurological examination did not reveal any objective evidence of loss of power. Neurosurgical opinion was sought to determine the safety of long-term anticoagulation in presence of the vertebral hemangioma. An MRI performed to assess its invasive nature revealed a well circumscribed T1 hyperintense, T2 hyperintense lesion in the T12 vertebral body with no enhancement. There was no associated soft tissue mass with any involvement of the spinal canal or prevertebral tissues [Table/Fig-4a,b]. No other focal bone lesions were visualised. This benign appearance of the hemangioma deemed the patient to be a safe candidate for long term anticoagulation. He was eventually discharged to home with an enoxaparin bridge to warfarin. Subsequently, he underwent a myocardial perfusion stress test two months after discharge, which did not reveal any ischemic defects.
Transverse section of the MRI spine incidentally showing a hemangioma measuring approximately 18.1 mm (solid white arrow)

Sagittal section of the MRI spine showing the hemangioma displacing the spinal cord (solid white arrow)

Discussion
Pulmonary Embolism (PE) is one of the leading causes of preventable death in the US and if untreated, it is associated with an approximately 30% mortality rate [1,2]. In most of the fatal cases, PE is not diagnosed before death [1]. Known risk factors for thrombus formation are congestive heart failure, prolonged immobility, trauma, surgery, advanced age, pregnancy, estrogen therapy, malignancy, air travel and inherited or acquired defects in the coagulation factors [2–6].
This case is noteworthy for its unusual presentation of a highly fatal condition as bilateral PE. In the current case, clinical probability of PE was not high. The chief complaints in this case: syncope, chest pain and dyspnea are very common presenting symptoms to any ER. Patient was not tachycardic, tachypneic, or immobile, had no recent hemoptysis, malignancy, history of DVT or PE or had surgery in the last 30 days. The modified Wells criteria would yield a score of zero if alternative diagnoses for mild dyspnea, such as bronchitis were entertained in this patient with a long history of smoking and possibly undiagnosed COPD. The array of the many other apparently disconnected symptoms highlights the importance of having a low threshold for suspicion of PE and initiate diagnostic investigations at the earliest. PE when bilateral, portends a higher risk of hemodynamic compromise and mortality. Although this patient had minimal hemodynamic instability, a delay or missed diagnosis could have been fatal.
It has been postulated that venous stasis secondary to impairment of the valves is responsible for the higher incidence of venous thromboembolism in obese patients. Patients with varicose veins may likely have an increased risk of venous thromboembolism due to a similar mechanism [5]. A higher incidence of superficial venous thromboembolism (SVT) has been demonstrated in patients with varicose veins [7]. It has also been shown that SVT can propagate into deep veins in 7%-44% of cases to cause DVT and may also concurrently cause PE [8,9]. The distinct temporal and spatial migration of symptoms within an interval of 30 days presented in this case, starting from the legs and moving upwards sequentially to the knee, hips, back, abdomen, thorax and culminating in a CNS event of loss of consciousness, is thought provoking. From the presentation, it is highly suspicious of a thrombus which may have originated in the superficial and/or deep veins of the leg due to trauma over varicose veins. The migrating symptoms could be a result of the movement and/or progression of this thrombus to upper parts of the body. Although vascular malformations due to syndromes such as Klippel-Trenuanay syndrome may present with PE under similar circumstances, it is unlikely to be the aetiology in this patient as he was relatively older than the population which are affected by congenital vascular malformations.
In acute pulmonary embolism, troponins (TnT) probably rise because of acute right heart overload. Cardiac TnT was elevated (≥0.1 μg/L) in 32% patients with massive and moderate PE but not in patients with small PE [10]. In contrast to findings in acute coronary syndromes, cTnT in patients with acute PE with no coexistent significant CAD peaked after a median of 10 h, persisted for a median of 30 h, and remained detectable (>0.01 μg/L) for a median of only 40 h after admission [9]. The peak cTnT is lower than in acute myocardial infarction and remains increased for a shorter time. cTnT may improve risk stratification in patients with PE and aid in the identification of patients in whom a more aggressive therapy may be necessary [10]. In the current case, troponin elevation was mild and of short duration suggesting that myocardial infarction was likely not the cause for the increased troponin. This was ascertained upon finding no reversible ischemia in a subsequent pharmacological nuclear stress test.
To the best of our knowledge, external trauma over varicose veins, possibly leading to a migrating thrombus ultimately causing bilateral pulmonary embolism subsequently straining the heart leading to a diagnosis of myocardial infarction has never been reported earlier. Trauma to varicose veins would conventionally not be considered a risk factor for venous thromboembolism. The case described here exemplifies that even in the absence of local signs of lower extremity venous thrombosis, it can be lifesaving to consider trauma to varicosities as a risk factor for embolism when the clinical picture is concerning but other signs and symptoms of PE are not apparent.
[1]. Pineda LA, Hathwar VS, Grant BJ, Clinical suspicion of fatal pulmonary embolismChest. 2001 120(3):791-95. [Google Scholar]
[2]. Schulman S, Lindmarker P, Incidence of cancer after prophylaxis with warfarin against recurrent venous thromboembolism. Duration of Anticoagulation TrialN Engl J Med 2000 342(26):1953-58.doi:10.1056/NEJM200006293422604 [Google Scholar]
[3]. Vandenbroucke JP, Rosing J, Bloemenkamp KW, Middeldorp S, Helmerhorst FM, Bouma BN, Oral contraceptives and the risk of venous thrombosisN Engl J Med 2001 344(20):1527-35.doi:10.1056/NEJM200105173442007 [Google Scholar]
[4]. Rossouw JE, Anderson GL, Prentice RL, LaCroix AZ, Kooperberg C, Stefanick ML, Risks and benefits of estrogen plus progestin in healthy postmenopausal women: principal results From the Women’s Health Initiative randomized controlled trialJAMA. 2002 288(3):321-33. [Google Scholar]
[5]. Seligsohn U, Lubetsky A, Genetic susceptibility to venous thrombosisN Engl J Med 2001 344(16):1222-31.doi:10.1056/NEJM200104193441607 [Google Scholar]
[6]. Joffe HV, Goldhaber SZ, Laboratory thrombophilias and venous thromboembolismVasc Med. 2002 7(2):93-102. [Google Scholar]
[7]. Muller-Buhl U, Leutgeb R, Engeser P, Achankeng EN, Szecsenyi J, Laux G, Varicose veins are a risk factor for deep venous thrombosis in general practice patientsVASA Zeitschrift fur Gefasskrankheiten 2012 41(5):360-5.doi:10.1024/0301-1526/a000222 [Google Scholar]
[8]. Leon L, Giannoukas AD, Dodd D, Chan P, Labropoulos N, Clinical significance of superficial vein thrombosisEur J Vasc Endovasc Surg 2005 29(1):10-7.doi:10.1016/j.ejvs.2004.09.021 [Google Scholar]
[9]. Van Langevelde K, Lijfering WM, Rosendaal FR, Cannegieter SC, Increased risk of venous thrombosis in persons with clinically diagnosed superficial vein thrombosis: results from the MEGA studyBlood 2011 118(15):4239-41.doi:10.1182/blood-2011-05-356071 [Google Scholar]
[10]. Giannitsis E, Muller-Bardorff M, Kurowski V, Weidtmann B, Wiegand U, Kampmann M, Independent prognostic value of cardiac troponin T in patients with confirmed pulmonary embolismCirculation. 2000 102(2):211-7. [Google Scholar]