A Prosthodontic Management of Severely Resorbed Anterior Ridge Defect - A Case Report
Rathika Rai1, Menaga V2, Prabhu R3, Geetha KR4, Suprabha R5
1 Professor and Head, Department of Prosthodontics, Thai Moogambigai Dental College, Chennai, India.
2 Post Graduate, Department of Prosthodontics, Thai Moogambigai Dental College, Chennai, India.
3 Reader, Department of Prosthodontics, Thai Moogambigai Dental College, Chennai, India.
4 Reader, Department of Prosthodontics, Thai Moogambigai Dental College, Chennai, India.
5 Senior Lecturer, Department of Prosthodontics, Thai Moogambigai Dental College, Chennai, India.
NAME, ADDRESS, E-MAIL ID OF THE CORRESPONDING AUTHOR: Dr. Menaga V, Post Graduate, Department of Prosthodontics, Thai Moogambigai Dental College and Hospital, Golden George Nagar, Chennai -600107, India.
The Dental profession has devoted most of its history to restoring the effects of dental disease. The public’s interest in Dental health and beauty has become an engine that continues to drive the demand for cosmetic dental procedures. In the past, achieving a beautiful smile required submission to extensive invasive procedures and expensive fixed dental prosthetic restorations. Advancements in restorative material formulations and adhesive technology have expanded such possibilities.
Despite many recent advances in aesthetic dentistry techniques and materials, certain cases remain difficult to restore. Replacing missing anterior teeth presents a serious challenge to the clinicians especially with a large ridge defect. Such cases require not only replacement of the missing teeth but also the restoration of the bone defect, aesthetics and phonetics. While the conventional treatment approaches like fixed partial denture or an option of implant may not justify the restoration of the defects. A combination of fixed and removable restoration provides good alternative.
The aim and purpose of this case report is to describe a multidisciplinary approach of managing a patient who reported with a similar complaint of missing anterior teeth with anterior ridge defect hoping to get not only her teeth but also her lost smile.
Bridge, Ridge defects, Bar attachment
Case Report
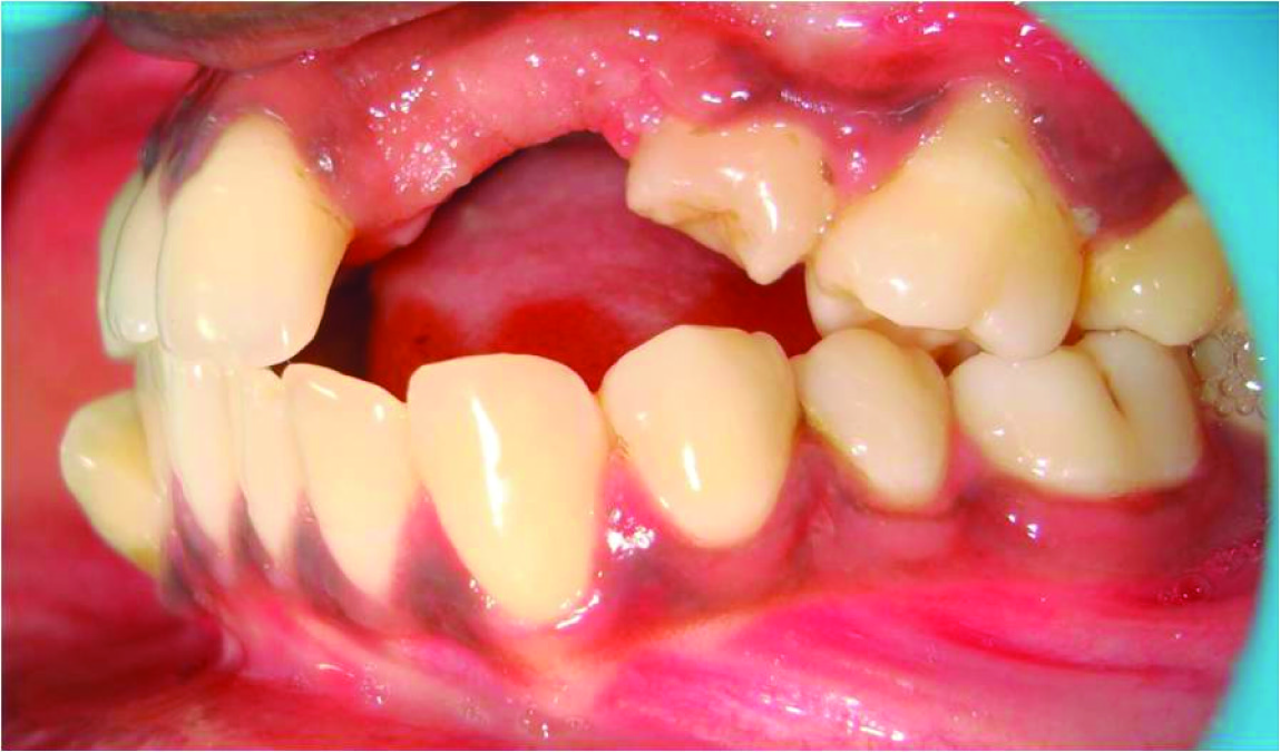
A 21-year-old female patient came to the Department of Prosthodontics and Implantology, Thai Moogambigai Dental College and Hospital, Chennai, India with a complaint of unaesthetic appearance due to missing upper front tooth for which she wanted fixed replacement of her missing front teeth. Patient gave a history of trauma when she was four years of age which was not attended immediately. The patient developed a swelling after three months of injury following which 61,62,63,64 were extracted and were not replaced.
On clinical examination there was congenital absence of 21,22,–23,24 and severe midline shift of right side anterior teeth towards the left side. The edentulous ridge in relation to 21,22,23,24 appeared narrow and resorbed. Due to the missing anterior teeth, 25 were also rotated towards the edentulous space. Crowding of the lower anterior teeth was noted [Table/Fig-1].

The patient’s ridge defect was classified based on Seibert’s nomenclature [1] and Struder et al., quantitative assessment of bone defects [2]. Intraoral clinical picture of the patient showed that there was loss of residual ridge horizontally as well as vertically at the edentulous space in the maxillary arch and hence it was categorized as Seibert’s Class III type of ridge defect, thereby clinically making the implant placement a questionable procedure. The patient was not willing for surgical bone grafting along with implant placement. A conventional fixed partial denture was also not possible due to the severity of the bone defect.
Hence, a treatment plan was made to orthodontically correct the edge to edge over jet relationship and to derotate the 25. An intentional RCT was planned for 11 since the tooth preparation in 11 cannot be prepared conventionally due to its position in the arch. The decision for construction of Andrew’s bridge was based on the ridge defect obtained through Seibert’s nomenclature. The whole procedure along with its advantages and disadvantages was explained to the patient and an informed consent was taken.
After the completion of orthodontic [Table/Fig-2&3] and endodontic treatment the patient was referred back to the Prosthodontic department for fabrication of the Andrew’s bridge.
During orthodontic treatment

After orthodontic treatment

The selected abutment teeth (11,25, and 26) were prepared for metal ceramic crowns [Table/Fig-4] and impressions were made using polyvinlysiloxane material (AquasilDensply) and master casts was obtained by pouring the impression with Type IV dental stone. A provisional fixed restoration was fabricated using auto polymerizing resin [Table/Fig-5].
After tooth preparation (11,25,26)

Temporary bridge in place

The metal framework of the Andrews bridge was made by using a preformed plastic bar attachment (CEKA Attachments- PRECILINE), which was adapted according to the curvature of the ridge. This was then connected to the wax pattern on the prepared teeth of the master cast. The whole pattern was then casted in cobalt-chromium alloy and the metal framework was tried in the patient’s mouth and was checked for clearance between the bar attachment and underlying soft tissues [Table/Fig-6].

After satisfactory trial of the metal framework, shade selection was done for ceramic layering of the metal copings. After completion of the ceramic layering the whole restoration with the bar was finished and polished. The temporary fixed partial denture was removed and the fixed component of the Andrew’s System was cemented over the prepared teeth [Table/Fig-7]. Then with the crowns in position, along with the bar, an alginate impression was made and a stone cast was poured. Later, the missing teeth were arranged in the wax rim and trial was done, which was replaced with pink colored heat cured acrylic resin with a clip placed in the lingual aspect to attach this RPD over the bar attachment [Table/Fig-8,9].
Fixed component of andrew’s system cemented



The patient was trained to properly insert and remove the RPD fabricated over the fixed component of Andrew’s Bridge and proper oral hygiene (including interdental brush) instructions were given to the patient. The treatment duration including orthodontic correction and the prosthodontic replacement of the missing teeth after the Root Canal Treatment in 11 was one and a half years. The patient was recalled and evaluated over a period of one year with intervals of three months each. The patient was comfortable and happy with the final outcome and had pleasing aesthetics and phonetics.
Discussion
This article presents a case report of a patient for whom Andrew’s bridge was planned in an absolutely indicated clinical situation. Tooth loss and resorption of alveolar bone following loss of teeth is an inevitable outcome. It has been reported that there is high incidence (91%) of residual ridge deformity after tooth loss. Only 9% of the patient’s with the anterior teeth missing between the two canines did not have ridge defects [3]. The most commonly seen defects are the combined Class III defects (56% of cases) followed by horizontal defects Class I (33% of the cases) [4,5]. This resorption is further increased in patients without dentures or implants and in cases with trauma or congenital defects [6].
The conventional options of fixed partial dentures with bridges or implant dentures will not suffice aesthetically when the edentulous anterior portion of maxillary ridge has both inadequate height and width [7]. Surgical correction of the defects using grafts and placement of implants is an expensive treatment plan for some patients. This situation can pose quite a challenge to the clinician.
Andrew’s bridge is the best option in clinically challenging situations where replacement of teeth along with the supporting structures necessary for aesthetics. “Andrew’s Bridge” is a combination of a fixed dental prosthesis incorporating a bar with a removable dental prosthesis that replaces teeth within the bar area, usually used for edentulous anterior spaces. The vertical walls of the bar provide retention for the removable component of the Andrew’s Bridge [8,9]. Andrew’s bridge was developed when all the conventional methods of replacement were not successful in treating severely resorbed residual ridge, in order to achieve comfort, hygiene, phonetics and primarily esthetics [10].
The Andrew’s system based on the type area of bar attachment:
Pontic supported
Bone anchored or implant supported Andrew’s bar system.
Indications
Absolute indications
Excessive residual ridge defect
Ridge defects / jaw defects either due to trauma and/or surgical ablation
Cleft palate patients with congenital or acquired defects [3].
Relative indications
Often fixed partial denture failure with badly damaged, cracked or weakened teeth by fillings and disproportionate teeth [11].
Advantages
It includes all the advantages of fixed and removable partial dentures with better aesthetics, hygiene along with better adaptability and phonetics.
It is comfortable and economical for patients.
There is no palatal extension as in RPD.
Main advantage of Andrew’s Bridge System is the criterion of the removable part which can be easily used by patient for hygienic access to abutments and surrounding structures, in addition to adding support to the lost tissues. By virtue of the precision fit, the acrylic segment can be removed or inserted over and over again without losing retention [12]. Limited reports of the failure of such prosthesis are found in the literature [5]. The failures are mainly due to inadequate soldering. However, this was completely eliminated by attaching retainers to the bar in a single casting.
More recently, spark-erosion technology has been introduced to dental technology in which a primary bar casting joining the implants and a removable metal superstructure upon which the replacement teeth are processed [10]. Both the Andrews bar system and the spark – erosion overdentures have the similarity of having the advantages of the totally implant supported fixed partial denture and the implant supported overdenture [13].
Conclusion
Andrews Bridge System is a fixed removable prosthesis that is indicated in patients with large ridge defects with maximum aesthetics, hygienic and good fit, along with minimal trauma to soft tissues and surrounding structures or underlying bone at an economic price.
[1]. Seibert JS, Reconstruction of deformed, partially edentulous ridges, using full thickness onlay grafts. Part I. Technique and wound healingCompend Contin Educ Dent 1983 4(5):437-53. [Google Scholar]
[2]. Studer S, Naef R, Scharer P, Adjustment of localized alveolar ridge defects by soft tissue transplantation improves mucogingival esthetics: A proposal for clinical classification and evaluation of proceduresQuintessence Int 1997 28(12):785-805. [Google Scholar]
[3]. Gates GN, Boch AJ. Boulder. Prosthodontics-crown and bridges.mht [Google Scholar]
[4]. Abrams H, Kopczyk RA, Kaplan AL, Incidence of anterior ridge deformities in partial edentulous patientsJ Prosthet Dent 1987 57(2):191-94. [Google Scholar]
[5]. Garber DA, Rosenberg ES, The edentulous ridge infixed prosthodonticsCompend Contin Edu 1981 2(4):212-23. [Google Scholar]
[6]. Kaurani Prosthodontic Rehabilitation Of A Case With An Anterior Ridge Defect Using Andrews BridgeIndian Journal of Dental Sciences 2013 2(5):100-03. [Google Scholar]
[7]. Shankar A fixed removable partial denture treatment for severe ridge defect – A case reportInt J Dent Case Reports 2011 1(2):112-18. [Google Scholar]
[8]. Andrews James A, Biggs Walter F, The Andrews Bar-and-Sleeve-Retained Bridge: A clinical reportDentistry today 1999 18(4):94-6.:98-99. [Google Scholar]
[9]. The glossary of prosthodontic terms 8The Academy of ProsthodonticsThe Journal of Prosthetic Dentistry 2005 94(1):10-92. [Google Scholar]
[10]. Sadig WM, Bone anchored Andrews bar system. A prosthodontic alternativeCairo Dent J 1995 11(1):11-5. [Google Scholar]
[11]. Stein RS, Pontic-residual ridge relationship: a research reportJ Pros Dent 1966 16(2):251-85. [Google Scholar]
[12]. Nallaswamy Textbook of Prosthodontics2nd edition:606-609. [Google Scholar]
[13]. Salinas TJ, Finger IM, Thaler JJ 2nd, Clark RS, Spark-erosion implant supported overdentures: clinical and laboratory techniquesImplant Dent 1992 1(4):246-51. [Google Scholar]