Dedifferentiated Chondrosarcoma of Temporomandibular Joint: Atypical Features of a Rare Case
Rachna Rath1, B. K. Das2, Manas Baisakh3, S. N. Das4
1 Assistant Professor, Department of Oral & Maxillofacial Pathology, SCB Dental College & Hospital, Cuttack, India.
2 Professor and HOD, Department of Oral & Maxillofacial Pathology, SCB Dental College & Hospital, Cuttack, India.
3 Consultant Pathologist, Department of General Pathology, Apollo Hospitals, Bhubaneswar, India.
4 Associate Professor, Department of Oral & Maxillofacial Pathology, SCB Dental College & Hospital, Cuttack, India.
NAME, ADDRESS, E-MAIL ID OF THE CORRESPONDING AUTHOR: Dr. Rachna Rath, Assistant Professor, Department of Oral & Maxillofacial Pathology, SCB Dental College & Hospital, Cuttack, Odisha, India.
Phone: 09437215000,
E-mail: drrachna.rath@gmail.com
Chondrosarcoma (CS) is an uncommon malignant mesenchymal tumour showing cartilaginous differentiation which rarely presents in the jaws. CS represents 10-20% of all malignant bone tumours and less than 5% of tumours in head and neck region. Among the infrequent subtypes of CS, dedifferentiated CS is a sinister variant that presents with singular features and has extremely poor prognosis. We report a unique case of dedifferentiated CS that presented in the temporomandibular joint (TMJ) with extra articular involvement of the infratemporal space. This high grade CS is reviewed due to its rarity and the dentist is implored to take this variant into account when considering the differential diagnosis of destructive TMJ lesions.
Chondrosarcoma, Dedifferentiation, Infratemporal tumour, Temporomandibular joint
Case Report
A 55-year-male patient visited our dental outpatient department with a complaint of pain and progressive swelling on right side of the face since six months. Extra oral examination revealed a diffuse preauricular swelling measuring about 5x3 cm. On palpation it was firm, tender, diffuse and fixed to underlying structures. Right submandibular nodes were palpable, non tender and mobile. There was restricted mouth opening with 18mm of inter incisal distance with spontaneous deviation of the jaw to affected side on opening the mouth [Table/Fig-1a,b]. There was no history of recent or past trauma to the area. Clinically, the provisional diagnosis included chronic inflammation or tumour of the TMJ, fracture of the condyle, sialadenitis or tumour of the parotid gland. However, the salivary duct opening and salivary flow were normal.
Diffuse preauricular swelling on right side of face

Restricted TMJ movement with deviation of jaw to affected side on opening mouth

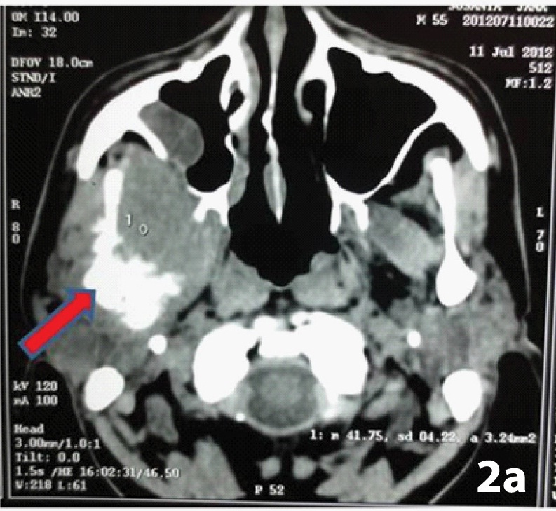
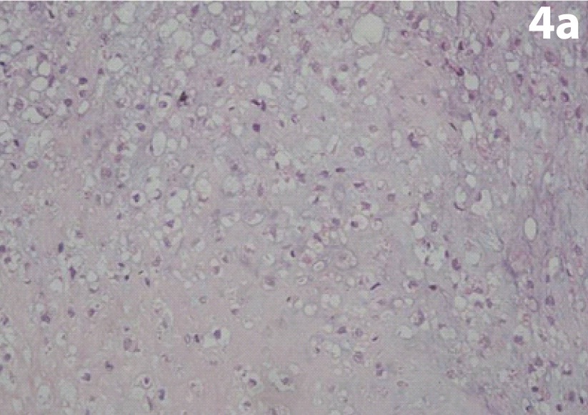
Coronal and axial CT scan revealed an ill defined osseous outgrowth arising from right condyle of mandible showing bony destruction and deformity with soft tissue component and islands of amorphous calcification. The cortex of the lesion was seen destroyed, continuous with that of underlying bone from which it arose and the trabecular pattern was seen merging into the medullary cavity [Table/Fig-2a,b]. The lesion involved the right infratemporal fossa, masticator space and eroded the posterior wall of the maxillary sinus. Such findings of a destructive lytic lesion that too of a short duration favored an underlying malignant process like osteosarcoma, chondrosarcoma or any metastatic tumour of TMJ. Fine needle aspiration cytology of the mass was performed which was non contributory. An incisional biopsy revealed neoplastic chondrocytes in lacunar spaces present in a chondroid matrix, exhibiting pleomorphic and hyper chromatic nucleus. A diagnosis of chondrosarcoma (CS) was made but possibility of chondroblastic osteosarcoma was kept in mind as it was a small biopsy specimen. Investigations like chest radiographs, ultrasound of neck and abdomen and CT of neck were done to rule out metastasis. Segmental resection of ramus was done along with excision of tumour mass that measured about 10 x7 cm. The condyle was resorbed and cut surface of tumour was whitish opaque, peripherally slightly mucoid and with central foci of calcifications [Table/Fig-3a,b]. Microscopically the sections showed typical low grade cartilaginous matrix and pleomorphic chondrocytes in large lacuna with hyperchromatic nuclei and open chromatin pattern, arranged in a lobular configuration. This sharply contrasted the adjacent foci made of pleomorphic spindle cells in storiform pattern [Table/Fig-4a,b]. There were foci of enchondral ossification. No presence of tumour osteoid could be discerned in multiple, serial sections. A final diagnosis of dedifferentiated chondrosarcoma of right TMJ was made. The surgical margins of resected specimen were free of tumour infiltration. On advice of the medical oncologist, the patient received radiotherapy one month post- operatively and remained in a one year disease free follow-up.
Coronal CT scan showing extent of osseous destruction and presence of calcifications (arrow)

Axial view showing condylar erosion with trabecular pattern continuous with the medullary cavity (arrow)

Intra operative tumour mass with resected mandible

Cut surface of infratemporal tumour and resorbed condyle with whitish opaque tumour mass

Neoplastic chondrocytes in lacunae arranged in low grade chondroid matrix (40X, H & E)

Adjacent malignant fibrous histiocytoma like area with pleomorphic spindle cells in storiform pattern (40X, H & E)

Discussion
Lichtenstein and Jaffe defined Chondrosarcoma (CS) as a malignant tumour arising from full fledged cartilage and never containing osteoid and bone stroma [1]. It rarely affects the maxillofacial area, accounting for only 0.1% of all head and neck cancers [2]. CS usually occurs in older age, mostly in those over 50y of age with a slight male predilection. Common sites of occurrence in head and neck are the larynx, nasal cavity, maxilla, ethmoid, sphenoid bone and mandible [2]. Although head and neck CS are usually of the conventional type, other variants include myxoid CS, clear cell CS, mesenchymal CS and dedifferentiated CS [1]. CS poses a dilemma in diagnosis due to overlapping clinical, radiologic and microscopic features with other tumours [3]. Although cases of jaw CS infrequently do occur, involvement of the TMJ by CS is an extraordinary event and in fact only 23 cases have been reported in the literature [4,5]. In CS of the TMJ, symptoms may mimic that of chronic inflammation as was seen in present case.
The dedifferentiated CS is a rare subset of CS associated with an exceedingly poor prognosis, with very few cases in the jaws [6,7]. It is known to have unique clinico- radiologic and pathologic features as compared to conventional CS. We report this case of dedifferentiated CS of the TMJ because of its rarity, atypical presentation and absence of pulmonary metastasis.
In 1971, Dahlin and Beabout first fully described the concept of dedifferentiated chondrosarcoma which is a rare and malignant variant of CS where a low grade CS is juxtaposed on a high grade spindle cell sarcoma [8]. It may develop following local recurrence of a previous low grade CS or arise de novo. About 11% of CSs are expected to dedifferentiate into more anaplastic lesions. Their mean age of occurrence is around 52 yrs with a male to female ratio of 9:5. They usually arise in peripheral long and flat bones and radiologically show a dimorphic pattern with foci of punctuate opacities surrounded by a destructive lytic lesion [9]. The essential histologic criteria is presence of an abrupt interface of lobules of low grade malignant cartilage or normal appearing hyaline cartilage and dedifferentiated sarcomatous spindle cell foci with features of fibrosarcoma, malignant fibrous histiocytoma, osteosarcoma, rhabdomyosarcoma or angiosarcoma [1]. A Medline indexed search revealed that only two cases of dedifferentiated CS in the jaw bone have been reported, in the maxilla and none in the mandible [6,7]. The involved patients were in the second decade of life and the lesion presented as a heterogenous enhancing mass on CT scan. In one of the cases, the patient received adjuvant radiotherapy and chemotherapy following surgery and was disease free in a six month follow up [6]. It is important to recognize dedifferentiation early and sometimes multiple sections of the tumour need to be seen [9]. The present case was unusual in that it showed uncharacteristic clinico- radiologic features and dedifferentiation could be discerned only microscopically.
The Evans’ grading system classifies CS into grades I, II and III (low, intermediate and high grade respectively), on the basis of nuclear morphology, mitotic activity and degree of cellularity, which has a bearing on the tumour prognosis [10]. In recent literature, authors have considered dedifferentiated CS to be the grade IV type of CS [11]. In all cases of CS of the TMJ, intermediate grades between I and III have been reported, unlike present case which was assigned grade IV [4,5]. For proper grading, biopsy should be directed at areas that may harbor foci of high-grade tumour, such as areas of endosteal scalloping, soft-tissue components, or diffusely enhancing areas with minimal mineralization [9].
The mainstay of CS treatment is wide surgical excision of all involved structures with negative margins [12]. The five year survival rate ranges from 44- 87.5% but lifelong follow up is necessary as it can show recurrence or metastasis even after two decades [4]. Prognostic indicators are the size, location, grade and surgical respectability of the tumour [13]. Traditionally considered to be radioresistant, radiotherapy may be indicated for unresectable tumours or as adjuvant therapy for incompletely resected tumours [4]. Few reports have shown that adjuvant radiotherapy following surgery may lead to longer survival period, but long term study needs to be done to validate its role [14]. Chemotherapy has limited role in CS. It may be applied as adjuvant therapy for high grade tumours and in cases showing rapid local recurrence [4]. The management of the patient of dedifferentiated CS also includes surgical resection of the lesion with wide or radical margins wherever possible [7]. Adjuvant radiotherapy and chemotherapy should be administered in appropriate cases but their role is not clear as no difference in survival rates were seen with or without adjuvant therapy in two separate series [15,16]. Others have reported better survival rate with use of adjuvant therapy [6]. Dedifferentiated CS has extremely poor prognosis and patients usually die of metastatic disease to the lungs within two years [9]. The present case was treated with wide resection followed by radiotherapy due to large size of the tumour, high grade of lesion and its location, all of which are independent prognostic factors affecting patient survival [4]. Interestingly there was no pulmonary metastasis at the time of diagnosis or during the follow up period and patient remained disease free but unfortunately was lost to follow up subsequently. It would be inappropriate to put a treatment guideline since we are reporting only the first case of dedifferentiated chondrosarcoma of the TMJ in English language literature.
Conclusion
This case highlights the fact that occasionally rare malignant lesions like dedifferentiated CS occurring in the TMJ may clinically masquerade as chronic inflammation. However, it is important to corroborate the clinico- radiologic and histomorphologic findings particularly in case of bony or cartilaginous tumours for proper diagnosis, grading and in order to institute early and optimal treatment course.
[1]. Gnepp DR, Diagnostic surgical pathology of the head and neck 2009 2nd edPhiladelphiaSaunders Elsevier [Google Scholar]
[2]. Ruark DS, Schlehaider UK, Shah JP, Chondrosarcomas of the head and neckWorld J Surg 1992 16(5):1010-15. [Google Scholar]
[3]. Garrington GE, Collett WK, Chondrosarcoma. II. Chondrosarcoma of the jaws: analysis of 37 casesJ Oral Pathol 1988 17(1):12-20. [Google Scholar]
[4]. Garzino-Demo P, Tanteri G, Boffano P, Ramieri G, Pacchioni D, Maletta F, Chondrosarcoma of the Temporomandibular Joint: A Case Report and Review of the LiteratureJ Oral Maxillofac Surg 2010 68:2005-11. [Google Scholar]
[5]. Giorgione C, Passali F. M, Varakliotis T, Sibilia M, Ottaviani F, Temporo-mandibular joint chondrosarcoma: Case report and review of the literatureActa Otorhinolaryngologica Italica - EPUB 2013 22 [Google Scholar]
[6]. Munshi A, Atri SK, Pandey KC, Sharma MC, Dedifferentiated chondrosarcoma of the maxillaJ of Cancer Research & Therapeutics 2007 3(1):53-55. [Google Scholar]
[7]. Paume P, Grippari JL, Payement G, Dandrau JP, Cariou JL, Bellavoir A, Dedifferentiated chondrosarcoma with maxillary involvement. An anatomo-clinical study, surgical treatment and prosthetic rehabilitation. Apropos of a caseRev Stomatol Chir Maxillofac 1993 94:104-09. [Google Scholar]
[8]. Dahlin DC, Beabout JW, Dedifferentiation of low-grade chondrosarcomaCancer 1971 28(2):461-66. [Google Scholar]
[9]. Huang J, Zhang HZ, Zheng L, Zhou J, Jiang ZM, Clinicopathologic diagnosis of de-differentiated chondrosarcomaZhonghua Bing Li Xue Za Zhi 2009 38(12):820-23. [Google Scholar]
[10]. Evans HL, Ayala AG, Romsdahl MM, Prognostic factors in chondrosarcoma of bone: a clinicopathologic analysis with emphasis on histologic gradingCancer 1977 40(2):818-31. [Google Scholar]
[11]. Weber KL, Raymond AK, Low-Grade/Dedifferentiated/High-Grade Chondrosarcoma: A Case of Histological and Biological ProgressionIowa Orthop J 2002 22:75-80. [Google Scholar]
[12]. Ruark DS, Schlehaider UK, Shah JP, Chondrosarcomas of the head and neckWorld J Surg 1992 16(5):1010-15. [Google Scholar]
[13]. Mahajan AM, Ganvir SM, Hazarey VK, Mahajan MC, Chondrosarcoma of the maxilla: A case report and review of literatureJ Oral Maxillofac Pathol 2013 17:269-73. [Google Scholar]
[14]. Harwood AR, Krajbich JI, Fornasier VL, Radiotherapy of chondrosarcoma of boneCancer 1980 45(11):2769-77. [Google Scholar]
[15]. Frassica FJ, Unni KK, Beabout JW, Sim FH, Dedifferentiated chondrosarcoma. A report of the clinicopathological features and treatment of seventy-eight casesJ Bone Joint Surg Am 1986 68:1197-205. [Google Scholar]
[16]. Dickey ID, Rose PS, Fuchs B, Wold LE, Okuno SH, Sim FH, Dedifferentiated chondrosarcoma: The role of chemotherapy with updated outcomesJ Bone Joint Surg Am 2004 86:2412-18. [Google Scholar]