Primary Laryngeal Neuroendocrine Carcinoma – A Rare Entity with Deviant Clinical Presentation
Hemalatha A. L.1, Anoosha K2, Amita K3, Vijay Shankar S4, Avadhani Geeta K5
1 Professor, Department of Pathology, Adichunchanagiri Institute of Medical Sciences, B. G. Nagar, Mandya, Karnataka, India.
2 Post Graduate, Department of Pathology, Adichunchanagiri Institute of Medical Sciences, B. G. Nagar, Mandya, Karnataka, India.
3 Associate Professor, Department of Pathology, Adichunchanagiri Institute of Medical Sciences, B. G. Nagar, Mandya, Karnataka, India.
4 Associate Professor, Department of Pathology, Adichunchanagiri Institute of Medical Sciences, B. G. Nagar, Mandya, Karnataka, India.
5 Professor, Department of Surgery, Affiliated to Rajiv Gandhi University of Health Sciences, Adichunchanagiri Institute of Medical Sciences, B. G. Nagar, Mandya, Karnataka, India.
NAME, ADDRESS, E-MAIL ID OF THE CORRESPONDING AUTHOR: Dr. Hemalatha A. L, No: 156, 12th cross,2nd main, Jayanagar, Mysore- 570014, India. Phone : 8453399335, E-mail : halingappa@gmail.com
Primary laryngeal neuroendocrine carcinomas are rare neoplasms. WHO classifies them under five categories of which, the moderately differentiated neuroendocrine carcinoma is synonymous with atypical or malignant carcinoid tumour. We report a rare case of primary laryngeal neuroendocrine carcinoma with an unusual and misleading clinical presentation. The initial cytological diagnosis of secondary neuroendocrine carcinoma in the cervical lymph node led to the suspicion of primary neuroendocrine carcinoma in the larynx.
Atypical carcinoid, Laryngeal, Neuroendocrine
Case Report
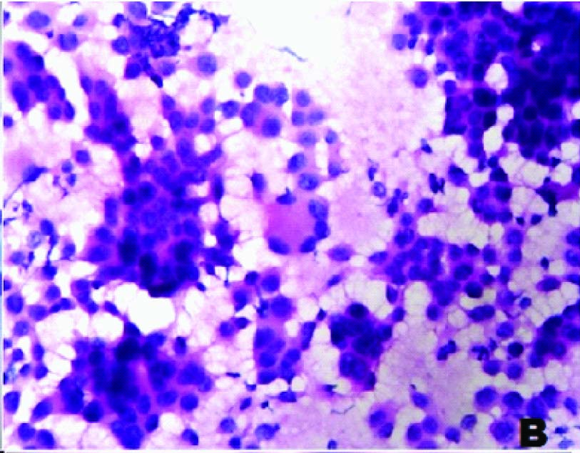
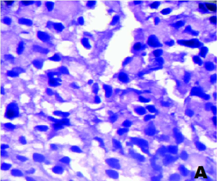
A 55-year-old male patient presented with pain abdomen and multiple skin nodules over the anterior abdominal wall and left cervical lymphadenopathy. On local examination, the abdominal skin nodules were firm to hard in consistency and the largest measured 3 x 2 cms. The left cervical lymph node was single, discrete and firm to hard in consistency. FNAC was performed on the abdominal skin nodules and the left cervical lymph node. FNAC smears studied from both the left cervical lymph node and the abdominal skin nodules showed similar cytological features. The smears were highly cellular and showed predominantly dispersed cell population of uniform tumour cells [Table/Fig-1a] in sheets, clusters, rosettes and tumour balls [Table/Fig-1b]. The cytoplasm was moderate, eosinophilic and granular. The nuclei were round to oval, with stippled chromatin and inconspicuous single prominent nucleolus [Table/Fig-1c]. Plenty of atypical mitoses were present [Table/Fig-1d]. In addition, many multinucleated giant cells and bizarre tumour cells were seen. Extracellular eosinophilic basement membrane- like material was also seen [Table/Fig-2a].
FNAC of cervical lymph node showing monomorphic tumour cells (MGG, ×1000)

FNAC of skin nodule with tumour cells in rosettes (H&E, ×400)

FNAC showing tumour cells with eosinophilic cytoplasm and fine nuclear chromatin (H&E,×1000)

FNAC showing atypical mitotic figures (H&E,×1000)

FNAC showing extracellular eosinophilic basement membrane material (H&E,×400)

A cytological diagnosis of metastatic deposits in left cervical lymph node and multiple skin nodules over the abdominal wall from neuroendocrine carcinoma was offered with a suggestion to investigate for the primary in gastrointestinal tract or larynx.
A thorough clinical workup including laryngoscopy revealed a laryngeal supraglottic growth which was biopsied and submitted for histopathological examination (HPE). The abdominal skin nodules were also excised and submitted for HPE.
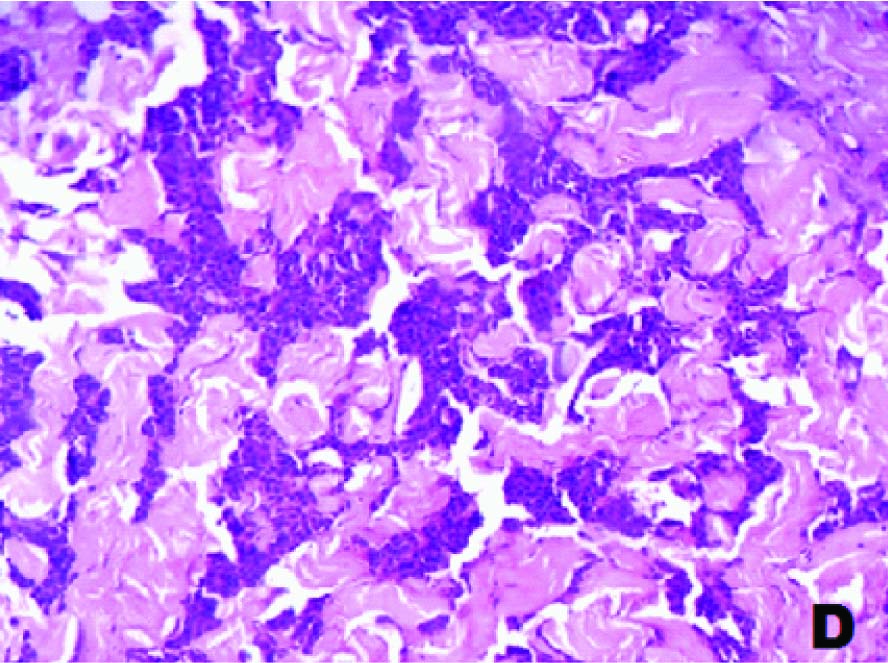
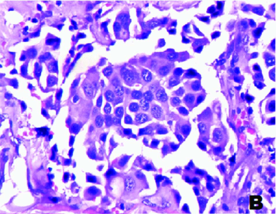
Sections from the supraglottic growth revealed hyperplastic stratified squamous epithelium and a tumour in the subepithelium which was composed of monomorphic tumour cells arranged predominantly in diffuse sheets separated by fibrovascularseptae [Table/Fig-2b]. Occasional rosettes and trabecular patterns were observed. The tumour cells had moderate eosinophilic cytoplasm, round nuclei with fine chromatin and inconspicuous nucleoli. A few bi and multinucleated tumour giant cells were also seen. Foci of vascular invasion were seen.
Histopathology showing tumour cells separated by fibrovascular septa (H&E,×400)

Sections from the abdominal skin nodules showed a subepithelial, infiltrating, malignant tumour with monomorphic cells arranged in sheets, nests, organoid, trabecular and mosaic patterns [Table/Fig-2c,2d]. They exhibited moderate degree of pleomorphism at places [Table/Fig-3a]. The cells had moderate to abundant granular cytoplasm and nuclei with salt and pepper type of chromatin [Table/Fig-3b]. The tumour cells were arranged in rosette- like fashion. Focal, large areas of necrosis were seen [Table/Fig-3c].
Section with monomorphic tumour cells in sheets (H&E,×400)

Section showing mosaic pattern and dense collagenous stroma in the tumour (H&E, ×100)

Tumour cells with moderate eosinophilic cytoplasm and nuclear pleomorphism (H&E, ×1000)

Section showing tumour cells with salt and pepper type of nuclear chromatin (H&E, ×1000)

Areas of necrosis with nuclear debris in the tumour (H&E, ×400)

Based on these histopathological features, Primary laryngeal neuroendocrine carcinoma (Moderately differentiated) with multiple metastatic deposits in the skin over the anterior abdominal wall was diagnosed.
Immunohistochemistry of the laryngeal and skin nodule biopsies showed positivity for Chromogranin and Synaptophysin. The patient was referred to an oncology center for further management and hence lost to follow up.
Discussion
Neuroendocrine tumours are relatively rare in the head and neck region [1–3]. Laryngeal neuroendocrine carcinoma is an uncommon neoplasm accounting for less than 1% of laryngeal tumours. It is the most common non-squamous carcinoma of larynx [1–3]. WHO has classified laryngeal neuroendocrine neoplasms under five categories as typical carcinoid, atypical carcinoid, Small-cell carcinoma, combined small cell and non- small cell carcinoma (Squamous cell and Adenocarcinoma) and Paraganglioma [4,5].
Moderately differentiated or grade II primary laryngeal neuroendocrine carcinoma as per the WHO criteria was diagnosed in the present case based on the cytological and histomorphological features. It usually presents with hoarseness of voice, dysphagia and pain. It is rarely associated with carcinoid syndrome. 20% of these tumours are known to have cutaneous metastases, 40% lymph node metastases and 40% distant metastases to lung, liver or bone [6].
Initial presentation with lymph node and cutaneous metastases as in the present case is unusual.
The tumour originates from Kulchitsky- like argyrophilic cells in the laryngeal mucosa which are similar to those in the bronchial mucosa. Another school of thought proposes that it arises from the pluripotent stem cells of the surface epithelium [7].
The maximum incidence is seen in men ranging between 50- 83 years of age and heavy smokers. The patient in the present case was an elderly male and a heavy smoker.
The most common location in the larynx is the supraglottic region as in the present case [7].
Neuroendocrine tumours share a phenotype for both neural and neuroendocrine differentiation. Amongst these, the carcinoids show neuroendocrine differentiation, the small cell carcinomas may or may not show neuroendocrine differentiation and the paragangliomas show neural differentiation [7].
The immunohistochemistry pattern for neuroendocrine carcinomas includes positivity for Chromogranin, Synaptophysin and Cytokeratin. They may express Calcitonin, CEA and CD 56. The differential diagnoses for atypical laryngeal carcinoid tumour as in the present case include Paraganglioma, Adenocarcinoma and Metastatic medullary carcinoma from thyroid [Table/Fig-4] [5].
Immunohistochemistry patterns helpful in differential diagnosis[5].
| Tumour type | CK | Synaptophysin | Chromogranin | CEA | Calcitonin |
|---|
| Moderately Differentiated NEC | + | + | + | +/- | +/- |
| Paraganglioma | - | + | + | - | +/- |
| Adenocarcinoma | + | - | - | - | - |
| Metastases from medullary carcinoma thyroid | - | + | + | + | + |
Precise diagnosis and definitive tumour subtyping based on histomorphological features supported by immunohistochemistry play a vital role in the management of neuroendocrine neoplasms since the treatment modalities and prognostic factors for the various entities under this group differ significantly.
[1]. Barnes L, Eveson JW, Reichart P, Sidransky D, Neuroendocrine tumours in Pathology and GeneticWorld Health Organization Classification of Tumours 2005 :135-39. [Google Scholar]
[2]. Soga J, Osaka M, Yakuwa Y, Laryngeal endocrinomas (carcinoids and relevant neoplasms): Analysis of 278 reported casesJournal of Experimental and Clinical Cancer Research 2002 21:5-13. [Google Scholar]
[3]. Bapat U, MacKinnon NA, Spencer MG, Carcinoid tumours of the larynxEuropean Archives of Oto- Rhino- Laryngology 2005 262:194-97. [Google Scholar]
[4]. Sato S, Kuratomi Y, Yamasaki F, Inokuchi A, A Case of Typical Carcinoid of the LarynxCase Reports in Otolaryngology 2012 10:1-5. [Google Scholar]
[5]. Ferlito A, Devaney KO, Rinaldo A, Neuroendocrine neoplasms of the larynx: Advances in identification, understanding and managementOral Oncol 2006 42:770-88. [Google Scholar]
[6]. Rosai Juan, Respiratory tractRosai and ackerman’s surgical pathology 2005 19th EdElsevier:411-12. [Google Scholar]
[7]. Wick MR, The MediastinumSternberg’s Diagnostic Surgical Pathology 2004 24th EdLippincott Williams & Wilkins:1290-92. [Google Scholar]