Intraosseous Myoepithelial Carcinoma of Mandible- A Case Report with Clinical, Radiological, Histopathologic and Immuno-Histochemical Features
Kamal Kannadasan1, Vandana Shenoy K2, Srivatsa Kengagsubbiah3, Senthil Kumar4, Sathyabhama V5
1Professor and Head, Department of Oral and Maxillofacial Surgery, Thai Moogambigai Dental College and Hospital, Chennai, India.
2Reader, Department of Oral and Maxillofacial Surgery, Thai Moogambigai Dental College and Hospital, Chennai, India.
3Professor, Department of Oral and Maxillofacial Surgery, Thai Moogambigai Dental College and Hospital, Chennai, India.
4Reader, Department of Oral and Maxillofacial Surgery, Thai Moogambigai Dental College and Hospital, Chennai, India.
5Reader, Department of Oral and Maxillofacial Surgery, Thai Moogambigai Dental College and Hospital, Chennai, India.
NAME, ADDRESS, E-MAIL ID OF THE CORRESPONDING AUTHOR: Dr. Kamal Kannadasan, Professor and Head, Department of Oral and Maxillofacial Surgery, Thai Moogambigai Dental College and Hospital, Chennai-600107, India.
Phone: 9884134700
E-mail: dr_k_kamal@yahoo.com
The primary central salivary gland neoplasms of the mandible are rare. They look clinically and radiographically similar to the odontogenic tumours or cysts which are common in the mandible. Myoepithelial carcinoma is a malignant counter part of myoepithelioma. Their diagnosis mainly depends only on thorough histopathological examination. This paper is to report a case of extra salivary tumour, intraosseous myoepithelial carcinoma of right ramus of the mandible. This case report serves to increase awareness and improve the index of diagnosis.
F- Primary central myoepithelial carcinoma, Intraosseous malignant myoepithelioma, Malignant salivary gland carcinoma of mandible
Case Report
A 65-year-old female, who reported with the chief complaint of swelling on the right side of the lower jaw since six months. She gave the history of painless small mass on right angle of the mandible; slow growing in nature attained the present size of 8cm x 6cms [Table/Fig-1]. Medical and family histories were non-contributory. Mouth opening was normal without any trismus. On palpation, extra-orally swelling was well-defined, hard in consistency, and overlying skin was not involved. Intra-orally a smooth elevated mass with obliteration of the buccal vestibule distal to the second molar. Bimanual palpation confirmed the lesion which was hard in consistency, nonfluctuant and mucosa was not involved.
On radiographic examination the panoramic view [Table/Fig-2] showed a well-defined large radiolucent area involving the entire right ramus, extending superiorly 5-8mm below the sigmoid notch posteriorly 1cm from the condylar neck and 5mm from the posterior border, perforating lower border and angle involving the roots of the third molar. The border was irregular scalloped without any osteodense.
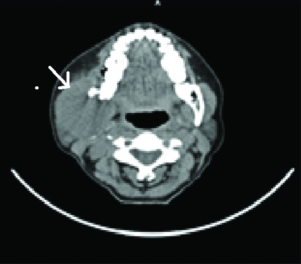
CT scan [Table/Fig-3] revealed an osteolytic lesion with predominantly soft tissue mass measuring 6.2 cm X 4.0 cm on the right ramus of the mandible. 3–D CT [Table/Fig-4] confirmed the OPG findings and depicted a pronounced destruction of bone at the angle and posterior border, with destruction of medial and lateral cortices. This Sectionmade us clinically diagnose a fast growing solid tumour in the ramus. The clinical differential diagnosis included odontogenic tumours, neural sheath tumour and secondary metastasis from elsewhere.
After clinical and radiological examination patient was subjected to the intra oral incisional biopsy under local anaesthesia. A vertical incision was placed 3.5cms posterior to the angle of the mouth, after dividing buccinator, anterior bundles of the masseter identified and retracted. Posteriorly the tendinous insertion of masseter found bulging outwards, after incising and retracting the tendon a pale grey colour [Table/Fig-5] mass was exposed, which was encapsulated with smooth surface. During incision the lesion felt like cutting through the melon without bleeding. The surgical site closed in layers. The specimen subjected to histopathological examination and confirmed to be myoepithelial carcinoma.
Microscopy showed tumour cells which are predominantly having spindle cell morphology [Table/Fig-6] and occasional epitheloid cell, arranged in interlacing bundles of varying length. There was evidence of cellular pleomorphism with large vesicular nuclei and few mitotic figures. Some area of focal necrosis and haemorrhage was seen. There was also evidence of dense fibrous connective tissue stroma with minimal vascularity. Immunohistochemically the tumour cells were positive for Cytokeratin [Table/Fig-7] and S-100 [Table/Fig-8]. Vimentin [Table/Fig-9] was positive in the connective tissue stroma. Smooth muscle actin (SMA) [Table/Fig-10]showed focal positivity in the connective tissue around the blood vessels and Desmin [Table/Fig-11] was negative.
The patient underwent complete general physical examination and also investigated for distant metastasis. Ultra sound of the abdomen showed multiple secondaries in the liver. Case discussed in tumour board because of the suspected distant metastasis to the liver. Following are the opinion from tumour board for which the surgery was deferred. 1. Local wide resection of the tumour cannot modify the patient’s life expectancy. 2. Because of liver secondaries surgery cannot be performed under general anaesthesia for prolonged hours. 3. Chemotherapy preferably controls the metastasis and surgery will be contemplated at later date. This case considered to be T4 N0 M1 stage, submitted for palliation chemotherapy. Patient is on follow up since nine months.
Discussion
Myoepithelial cells are commonly seen in breast, salivary glands, sweat and lacrimal glands. Myoepithelial carcinoma is a malignant epithelial tumour of salivary glands. Myoepithelial carcinomas are more uncommon than their benign counterparts, representing less than 2% of all salivary gland tumours [1] . Salivary gland carcinomas located centrally within mandible are rare, comprising less than 0.4% carcinomas [2]. Intra-osseous myopithelial carcinoma is an extremely rare primary tumour of the mandible. Consequently, their proper diagnosis is often in doubt [2]. Myoepithelial cells normally located between luminal epithelial cells and the basal lamina of the acinar compartment. Inspite of the malignant myoepithelial tumour being well circumscribed and encapsulated they show high mitotic count or remarkable cellular pleomorphism. Malignant myopethelial tumours usually distinguished from benign myoepithelial neoplasm by their infiltration and their destructive growth [3].
According to the literature review most of the reported cases of myoepithelial carcinoma arise in the parotid followed by minor salivary glands, submandibular and sublingual glands [4,5]. Primary malignant myoepithelioma occurring in mandible is very rare. Their distribution is variable in male and female; commonly seen in 5th and 6th decade[4,5]. Our case the female patient was 65-year-old. Primary myoepithelial carcinoma of the jaw most of the cases are asymptomatic exhibiting a swelling. The lesion which initially present as a small mass may gradually grow or can show a rapid growth. In our case the lesion was slow growing producing pain due to expansion. These tumours vary in size and usually is unencapsulated [6], but in our case it was found to be encapsulated. Even though the literature had explained about the infiltrating and aggressive nature of this lesion [1,3,6] our patient showed non infiltrative, encapsulated slow growing lesion confined to the right ramus of the mandible.
Ideal imaging for such lesions is MRI and CT, but in our patient OPG and CT has given more information about the central lesion. Central salivary gland tumours of the mandible often present as osteolytic odontogenic lesion [2]. Histopathologically malignant myoepitheliomas exhibit like any other tumour with myoepithelial component with wide diversity in morphocytology. Based on this there are four major types of cells similar to benign myoepithelioma, those are spindle, plasmoid(hyaline), epitheloid and clear cells. Most of the myoepithelial carcinomas exihibit more than single cell type,but even in these one type of cells will predominate [6]. Our case had predominantly spindle type with occasional epitheloid cells with cellular pleomorphism. In these malignant tumours, however the cell variant does not appear to be influence on patient survival [6].
Cytokeratin and Vementin are found to be useful immunohistochemical markers in myoepithelial carcinoma [7]. Vementin reported to be positive in neoplastic and negative in normal myoepithelial cells. Loss or modification of smooth muscle phenotype showed variable positivity to S-100, Calponin, Smooth muscle actin(SMA), Muscle Specific Actin(MSA), Smooth Muscle Myosin,p63 protein, Glial Fibrillary Acidic Protein(GFAP), CD10 as a result of neoplastic transformation of myoepithelial cells [8]. S-100 always positive in neoplastic and negative in normal myoepithelial cells. In this case cytokeratin, vementin and S-100 were positive and SMA focally positive in the connective tissue around the blood vessels.
Treatment of choice for myoepithelial carcinoma has been local wide resection with tumour free margin, in spite of possibilities of local recurrence and distant metastasis [4,8]. Therapeutic neck dissection in case of apparent cervical metastasis is evident clinically or radiologically. Local radiation and chemotherapy are also needed [8]. Effect of radiotherapy is not known and controversial; Stromyer et al., [9] found tumour is radiosensitive while, Takeda [10] reported good clinical response. But there is very little information available regarding the management of this tumour and some treatment results are conflicting.
Myoepithelial carcinomas are often intermediate or high grade carcinomas [11] . Surprisingly, histological grade of these neoplasms does not appear to correlate with the clinical behaviour. Some tumour with low grade histologic pattern may behave in an aggressive manner [5,11,12] . Myoepithelial carcinoma exhibits distant metastasis to lungs, bone, liver, peritoneum, pleura, kidneys, brain and skin more than the regional lymph node metastasis [3,6] . In our case patient presented with the liver secondaries without any regional node involvement. Because of distant metastasis to the liver patient underwent palliative chemotherapy and is on follow up since nine months.
Extra oral view showing swelling on the right side of the face

OPG showing osteolytic lession on the right ramus of the mandible

Axial view of ct scan showing the lession on the right ramus of the mandible

3 D CT showing the lesion

Intra oral exposure of the grey colour mass during biopsy

H & E stainning showing spindle cell predominant myoepethelial carcinoma

Cyotokeratin positive under 10x magnification

S-100 positive under 10x magnification

Vimentin positive under 10x magnification

Smooth muscle actin positive arround the blood vessels in the connective tissue under 10x magnification

Desmin negative under 40x magnification

Conclusion
So, careful staging and follow up is essential for better characterisation and understanding tumour behaviour. Awareness of their unique cytoarchitectural patterns and profile is mandatory for accurate diagnosis and staging. Central myoepithelial carcinoma should be distinguished from other intraosseous carcinomas of the mandible.
Ackowlegements
We thank Dr. Prathebha Ramani Professor and Head Department of Oral Pathology Saveetha Dental college.
[1]. A Skalova, KT Jakel, Tumours of the salivary glands. In: Barnes L, Eveson JW, Reichart P, Sidransky D.WHO Classification of Tumours; Pathology and genetics of Head and Neck Tumours. Lyon, France: IARC Press; 2005 15:240-241. [Google Scholar]
[2]. FM Madrigal, KP Daboin, O Casiraghi, MA Luna, Ann Diagn Pathology. 2000 4:347-53. [Google Scholar]
[3]. A Dean, R Sierra, FJ Alamillos, A Lopez-Beltran, A Morillo, R Arévalo, Malignant myoepithelioma of the salivary glands: clinicopathological and immunohistochemical features.Br J Oral Maxillofac Surg. 1999 37(1):64-66. [Google Scholar]
[4]. AT Savera, A Sloman, AG Huvos, DS Klimstra, Myoepithelial carcinoma of the salivary glands: a clinicopathologic study of 25 patients.Am J Surg Pathol. 2000 24(6):761-74. [Google Scholar]
[5]. GL Ellis, PL Auclair, Tumours of Salivary Glands, Atlas of tumour pathology. Fascicle.17, Washington, DC: AFIPJ Esthet Dent 1996 [Google Scholar]
[6]. T Nagao, I Sugano, Y Ishida, Y Tajima, O Matsuzaki, A Konno, Salivary gland malignant myoepithelioma: a clinicopathologic and immunohistochemical study of ten cases.Cancer 1998 8(7):1292-99. [Google Scholar]
[7]. S El-Mofty, T O’Leary, P Swanson, Malignant Myoepitheliomaof salivary glands: clinicopathologic and immunophenotypic features,. Review of literature and report of two cases.Int J Surg Pathol. 1994 2:133-40. [Google Scholar]
[8]. J Ren, Z Liu, X Liu, Y Li, Primary myoepithelial carcinoma of palate.World Journal of Surgical Oncology. 2011 9:104 [Google Scholar]
[9]. FW Stromeyer, RC Haggitt, JF Nelson, JM Hardman, Myoepithelioma of minor salivary gland origin. Light and electron microscopical study.Arch Pathol. 1975 99(5):242-45. [Google Scholar]
[10]. J Takeda, Malignant myoepithelioma of minor salivary gland originActa Pathol Jpn. 1992 42:518-22. [Google Scholar]
[11]. R Carlson E, R Ord, Textbook and color atlas of salivary gland pathology Diagnosis and Management. In: Sauk J J, Classification grading and staging of salivary gland tumours. Chapter 7, Wiely Blackwell publication. [Google Scholar]
[12]. F Zhao, H Zhu, Y Huang, MA Luna, Myoepithelial carcinoma inside of maxilla bone: A case report. Mol Clin Oncol. 2013 1(2):315-17. [Google Scholar]