Effect of Power Bleaching on the Fluorosis Stained Anterior Teeth Case Series
Parinitha M S1, Annapoorna B M2, Sunil Tejaswi3, Suneeth Shetty4, Sowmya H K5
1Reader, Department of Conservative Dentistry and Endodontics, JSS Dental College and Hospital, JSS University, Mysore, India.
2Professor, Department of Conservative Dentistry and Endodontics, JSS Dental College and Hospital, JSS University, Mysore, India.
3Reader, Department of Conservative Dentistry and Endodontics, JSS Dental College and Hospital, JSS University, Mysore, India.
4Lecturer, Department of Conservative Dentistry and Endodontics, JSS Dental College and Hospital, JSS University, Mysore, India.
5Lecturer, Department of Conservative Dentistry and Endodontics, JSS Dental College and Hospital, JSS University, Mysore, India.
NAME, ADDRESS, E-MAIL ID OF THE CORRESPONDING AUTHOR: Dr. Parinitha M S, #54,7th main, First Stage, Brindavan Extention, Mysore-570020,Karnataka , India. Phone : 9449609385,
E-mail: parinithams@yahoo.co.in
Bleaching is a conservative method for restoring the colour of intrinsic discoloration of teeth. The combination of McInnes solution and power bleaching is effective procedure for bleaching of fluorosis stained teeth. Definitely bleaching with McInnes bleaching agent gives instant results, not dependent on patient’s compliance as other office based procedures, no dehydration of the tooth occurs with no damage to the pulp. Bleaching with this solution is esthetically pleasing and minimally invasive option for young patients rather than a complete coronal covering. The dentist is in complete control of the process throughout the treatment. It is a fast process the results are evident even after a single visit.
McInnes solution, Power bleaching
Case Report
Patients reported to the Department of Conservative Dentistry and Endodontics with:
1. Discolored anterior teeth demanding appreciable aesthetic outcome.
2. Prime importance was given to the conservation of tooth structure.
Ten patients were selected with the chief complaint of discolored upper anterior teeth. They gave history of discoloration since child hood and were drinking borewell water in their native place which is a fluoride belt area. Family members of some of the patients had similar complaint. No other relevant medical and dental history was elicited from them.
On examination they had generalised hypoplasia of type II and type IV fluorosis according to TSIF index in their upper central and lateral incisors with bands of yellowish brown stain (A3.5 & C4-vita shade guide respectively)and no presence of pitting or chipping of enamel seen. Anterior teeth were intact without cracks, fracture or restorations [Table/Fig-1,2,3,4,5,6,7,8,9,10,11,12,13,14,15,1617,18,19,20,21and22].
Procedure
• Case history, radiographs and informed consent for each patient was taken.
• Tooth colour was evaluated with Vita shade guide and clinical photographs were taken before and after the procedure.
• Maxillary anterior teeth were polished with pumice and rubber cup. Soft tissue and adjacent teeth were protected with lubricant and rubber dam respectively.
• Patients made to wear protective sunglasses (eyewear)
• Vital bleaching was done with McInnes solution (5parts 30% H2O2, 5parts 36% Hcl and 1 part anaesthetic ether/alcohol) and activated with power bleaching system -LED module (Bluedent 12bl bleaching system, 430-490 nm, 1.5 amp, 50-60 hz, 24v) placed perpendicular to the tooth surface, at a period of 3min for 3 to 4 times.
• Timer and light was used with pause for reducing patient’s hypersensitivity.
• Teeth were washed with water and abraded with fine grit sand paper disc each time after bleaching. Polishing was done with pumice and rubber cup.
• Patients were instructed to use dentifrice containing potassium nitrate for two weeks [Table/Fig-23].
Discussion
Bleaching is a conservative method for restoring the colour of intrinsic discoloration of teeth [1]. In-office bleaching and dentist prescribed, home applied bleaching are the two most commonly utilized whitening procedures.
In-office bleaching uses different concentrations of a hydrogen peroxide (15-38%) formulation directly on the tooth surface [2]. Torres et al., indicate the use of LED devices due to their greater security in promoting selective heating over longer periods without the risk of pulpal damage [3].
Light activated power bleaching is used to enhance the bleaching action [4]. Smith and McInnes reported a formula that combined 36% hydrochloric acid, 30% hydrogen peroxide and anaesthetic ether in a 5:5:1 ratio to bleach fluorosis stain [5].
Definitely bleaching with McInnes bleaching agent gives instant results, not dependent on patient’s compliance as other office based procedures, no dehydration of the tooth occurs without any damage to the pulp. The dentist is in complete control of the process throughout the treatment. It is a fast process that the results are evident even after a single visit. Bleaching with this solution is aesthetically pleasing and minimally invasive option for young patients rather than a complete coronal covering or avoidance of material ingestion and discomfort from wearing trays by home bleaching [6].
RH Sundfeld et al., indicate the use of enamel macro reduction, enamel micro abrasion(Opalustre, ultradent product) followed by home bleaching with carbamide peroxide (Opalesence,ultradent product) to remove the texture of the intrinsic white enamel stain of hypoplastic areas and mild erosion due to dental fluorosis [7].
Preoperative photograph of case 1

Post operative photograph of case 1

Postoperative photograph of case 2

Preoperative photograph of case 2

Pre-operative photograph of case 3 – 1st Sitting

Post-operative photograph of case 3 – 1st Sitting

Preoperative photograph of case 3 – 2nd Sitting

Post operative photograph of case 3 – 2nd Sitting

Preoperative photograph of case 4

Post operative photograph of case 4

Preoperative photograph of case 5.

Post operative photograph of case 5

Preoperative photograph of case 6

Post operative photograph of case 6

Preoperative photograph of case 7

Post operative photograph of case 7

Preoperative photograph of case 8

Post operative photograph of case 8

Preoperative photograph of case 9

Post operative photograph of case 9

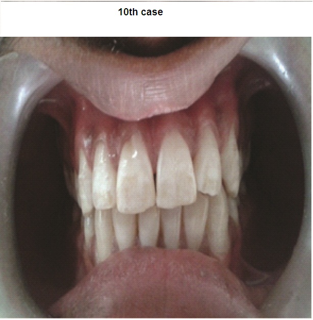
Preoperative photograph of case 10

Post operative photograph of case 10

Photograph of procedure during Power bleaching with McInnes solution

Conclusion
Effect of power bleaching with high intensity LED devices provide more intense bleaching for longer period without risk of pulpal damage, selective heating during bleaching, low sensitivity and effective bleaching action for type IV fluorosed teeth in short time.
[1]. The effect of polishing & bleaching on the color of discolored teeth in vivo.Journal of Oral Rehabilitation. 2001 28(11):1080-84. [Google Scholar]
[2]. LiBang The effects of light on bleaching and tooth sensitivity during in office tooth bleaching. A systematic review and meta-analysis.Journal of Dentistry. 2012 40:644-53. [Google Scholar]
[3]. rocha Carlos, Assessment of the effectiveness of light emitting diode and diode laser hybrid light source to intensity dental bleaching treatment. Acta Odontolgic Scandinavica. 2011 69:176-81. [Google Scholar]
[4]. Chandra B Suresh, GopiKrishna V, Grossman’s Endodontic practice, Bleaching of discolored teeth, Twelfth edition 2010,Wolter kluwer health(India):345 [Google Scholar]
[5]. Jihua Decomposition rate of hydrogen peroxide bleaching agents under various chemical & physical conditions.Journal of Prosthet Dent. 1993 69:46-48. [Google Scholar]
[6]. Agarwal Nidhi, McInnes solution-APhoenix solution in dentistry-The case series.Indian Journal of Dental Sciences. 2012 4(2):78-80. [Google Scholar]
[7]. Sundfeld RH, Accomplishing esthetics using enamel micoabrasion and Bleaching-A case report.Operative Dentistry. 2014 39:223-27. [Google Scholar]