Clear Cell Carcinoma of Cervix in a 60- year-old Woman: A Case Report
Kumar Ramesh1, Shruthi S A2, Saraswati P3, Rathnamala M Desai4, Anil K5
1 Associate Professor, Department of Obstetrics & Gynecology, SDM Medical College & Hospital, Sattur, Dharwad, Karnataka, India.
2 Resident, Department of Obstetrics & Gynecology, SDM Medical College & Hospital, Sattur, Dharwad, Karnataka, India.
3 Assistant Professor, Department of Obstetrics & Gynecology, SDM Medical College & Hospital, Sattur, Dharwad, Karnataka, India.
4 Professor & Head of the Department, Department of Obstetrics & Gynecology, SDM Medical College & Hospital, Sattur, Dharwad, Karnataka, India.
5 Assistant Professor, Department of Obstetrics & Gynecology, SDM Medical College & Hospital, Sattur, Dharwad, Karnataka, India.
NAME, ADDRESS, E-MAIL ID OF THE CORRESPONDING AUTHOR: Dr Ramesh Kumar, Associate Professor, Department of Obstetrics & Gynecology, SDM Medical College & Hospital, Sattur, Dharwad, Karnataka, India. Phone : 9448881818, E-mail : shrutiandola@gmail.com
Clear cell carcinoma of cervix is a rare entity amongst cervical neoplasms especially post diethylstilbestrol era. It is hypothesised to have a bimodal distribution with spontaneous cases unrelated to DES exposure observed in elderly age group. We report a rare case of clear cell carcinoma of cervix (CCCC) in a 60-year-old Asian female with no history of diethylstilbestrol (DES) ingestion. She underwent radical hysterectomy and adjuvant radiotherapy and showed no signs of recurrence even after 6 moths of follow up. Review of relevant literature was done including possible aetiology, appropriate treatment and prognostic factors.
Clear cell adenocarcinoma, Cervical cancer, Diethylstilbestrol, Human papilloma virus
Case Report
A 60-year-old postmenopausal woman with no familial cancer history presented with one episode of postmenopausal bleeding. She is multiparous woman with two male and two female offsprings. History of her sexual activity cannot be obtained. Gynecological examination revealed an exophytic mass 2cm x 3cm on posterior lip of cervix with ill-defined margins and bled on touch. Per rectal examination was normal. Punch biopsy was taken and histopathology report was adenocarcinoma. All hematological, biochemical and radiological tests were within normal limits. A clinical diagnosis of adenocarcinoma of cervix, FIGO stage IB1 was made and posted for surgery. Intra-operatively, cervix was barrel shaped and bilateral enlargement of obturator group of lymph nodes. Patient underwent radical hysterectomy III and specimen was cut opened, it showed endocervical growth of 3cmx4cm [Table/Fig-1] and sent for histopathology. Microscopic diagnosis was Clear Cell Carcinoma of cervix (CCCC) with bilateral parametrial invasion [Table/Fig-2,3]. After four weeks of surgery she received whole pelvis external beam radiation. The patient is still under observation after 6months of treatment with no signs of recurrence.
Exophytic endocervical growth seen arising from the posterior lip of cervix

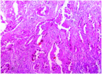
Microscopy shows cords of glandular epithelium infiltrating into myometrium (H&E 100x)

Higher magnification showing clear cells and glandular epithelium (H&E 400x)

Discussion
Carcinoma cervix is the most common malignancy in women especially in developing countries. Majority of them are squamous cell carcinoma histologically. Adenocarcinoma accounts for approximately 10-15% of cervical neoplasms but is increasing in incidence relative to squamous carcinoma [1]. Primary clear cell carcinoma is a rare entity occurring in woman with intra-uterine exposure of diethylstilbestrol (DES) and the most common age group is 15-25 years. However, spontaneous onset tumour, unrelated to DES exposure, occurs at an older age (50-85years) [1–3].
CCCC accounts for 3-10% of adenocarcinomas [4]. The most established risk factor for clear cell adenocarcinoma is the intra-uterine exposure to DES [5]. Since the ban of DES in 1970’s, most cases of CCC of cervix reported in the literature in recent years are unrelated to DES exposure [6]. Primary CCC of cervix occurs in young women with history of intra-uterine DES exposure, the median age for diagnosis is 18.9 year. The estimated risk of developing a CCCC or vagina was 0.14 to 0.4 in 1000 women exposed to in utero to DES [7,8]. Most of the adenocarcinoma is related to HPV infection unlike the clear cell type which is not associated with HPV infection [9]. Clear cell adenocarcinoma not related to DES exposure accounts for 2-6% of the adenocarcinoma of the uterine cervix and the 10-yr survival rate is about 57% [4]. The data taken from the Central Netherlands Registry indicates a bimodal distribution with two peaks [one at a mean age of 26 year and the other at mean age of 71year]. This study supports the hypothesis that risk factors other than DES exposure play an important role in carcinogenesis [10]. Sporadic cases in the absence of DES exposure presents in elderly age group as in the present case seen in a 60-year-old woman [3].
The data from literature indicates that radical hysterectomy and bilateral pelvic node dissection or radiation therapy used as primary mode of treatment in CCCC results in a cure rates of 80%-85% in small volume disease [11]. The mode of treatment depends on the patient factors and availability of local experience. Size of the primary tumour is an important prognostic factor and is carefully evaluated in choosing optimal therapy. In the present case, due to lack of risk factors it should be classified as de novo in origin and rarely occurring in postmenopausal women. Radical surgery with adjuvant radiotherapy is the recommended treatment followed in this case.
Studies differ in their opinion regarding prognosis of CCCC. Many studies have shown that clear cell carcinoma have poor prognosis in term of overall survival rate and disease free interval. However, in recent case series, patients with clear cell histologic type are slightly at a higher risk of nodal spread [12]. But it does not appear that CCCC portends worse prognosis than squamous cell carcinoma in the absence of traditional risk factors [6], favored by the present case which did not show any recurrence even after 6 moths of follow up.
[1]. Crum CP, Nuovo G, The cervix. In: Sternberg SS (ed.)Diagnostic Surgical Pathology 1989 2New YorkRaven Press:1579-80. [Google Scholar]
[2]. Herbst AL, Robboy SJ, Scully RE, Clear cell adenocarcinoma of the vagina and cervix in girls: analysis of 170 registry caseAm J Obstet Gynecol 1974 19:713-24. [Google Scholar]
[3]. Sobiczewski Piotr, Bidzifski Mariusz, Nasierowska-Guttmejer Anna, Ceran Alicja, Clear cell carcinoma of the uterine cervix in a 16-year old patient– a case reportNowotowory Journal of Oncology 2003 53:640-42. [Google Scholar]
[4]. Kaminski PF, Maier RC, Clear cell adenocarcinoma of cervix unrelated to diethylstilbestrol exposureObstet Gynecol 1983 62(6):720-27. [Google Scholar]
[5]. Herbet AL, Behavior of estrogen associated female genital tract cancer its relation to neoplasia following intrauterine exposure to diethylstilbestrol(DES)Gynecol Oncol 2000 76(2):147-56. [Google Scholar]
[6]. Thomas MB, Wright JD, Leiser AL, Clear cell carcinoma of the cervix: a multi-institutional review in the post-DES eraGynecol Oncol 2008 109(3):335-39. [Google Scholar]
[7]. Herbest AL, The current status of the DES – exposed populationObstet Gynecol Annu 1981 10:267-78. [Google Scholar]
[8]. Sharma T D, Primary clear cell adenocarcinoma of uterine cervix in a young woman not associated with diethylstilbestrol: A case report and review of literatureClin Cancer Investig J 2012 1:239-41. [Google Scholar]
[9]. Liebrich C, Beummer O, Wasielewskik Von, Primary cervical cancer truly negative for high risk human papillomavirus is a rare but distinct entity that can affect virgins and young adolescentsEur J Gynaecol Oncol 2009 30:45-8. [Google Scholar]
[10]. Hanselaar A, Loosbroek van M, Schuurbiers Clear cell adenocarcinoma of the vagina and cervix. An update of Central Netherland Registry showing twin age incidence peaksCancer 1997 79:2229-36. [Google Scholar]
[11]. Quinn MA, Adenocarcinoma of the cervixAn Acad Med Singapore 1998 27:662-65. [Google Scholar]
[12]. Agarwal S, Schmeler KM, Ramirez PT, Outcomes of patient undergoing radical hysterectomy for cervical cancer of high risk histological subtypesInt J Gynecol Cancer 2011 21(1):123-27. [Google Scholar]