Severely worn out dentition needs to be given definite attention as it not only affects aesthetics but can also cause psychological distress to the affected individual. It can cause chewing difficulty, temporomandibular joint problems, headaches, pain and facial collapse. Before any attempt to restore severely worn dentition, aetiology of excessive tooth wear should be established. Severe wear can result from chemical cause, mechanical cause or a combination of various causes. Dental fluorosis can also result in severe wear of teeth. Teeth sometimes become extremely porous and friable with a mottled appearance ranging from yellow to brown-black. There occurs loss of tooth substance and anatomic dental deformities resulting in un-aesthetic dentition requiring full mouth rehabilitation. Here a similar case of full mouth rehabilitation of severely worn dentition due to dental fluorosis in a 27-year-old patient is presented. This case report conjointly presents the uncommon association of diabetes insipidus with dental fluorosis. Diabetes insipidus through its characteristic symptom of polydipsia can result in intake of more than permitted dose of fluoride thus causing dental fluorosis. In literature only few cases have been reported of dental fluorosis in association of diabetes insipidus. Full mouth rehabilitation of the patient was successfully accomplished through well-planned systematic approach to simultaneously fulfill aesthetic, occlusal and functional parameters.
Case Report
A 27-year-old male patient reported with chief complaint of discolored and severely worn maxillary and mandibular teeth and wanted to have full mouth rehabilitation. His history revealed that his deciduous dentition was normal but his permanent teeth had been discolored since eruption. Gradually over period of time, his dentition worsened. The teeth got carious, chipped and got worn off. Intraoral examination revealed severely worn dentition and reduction in axial height of clinical crowns [Table/Fig-1a,b,c]. Moderate gingivitis was present. Extra-oral examination revealed his temporomandibular joints and muscles of mastication were normal. He did not report of any parafunctional habits.
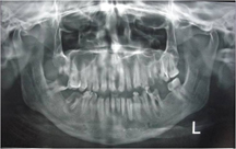
OPG (Orthopantomogram) [Table/Fig-2] of the patient revealed carious #16, 28 and 38, grossly carious 36 and 48, grossly decayed infected #17, 26 and 46 and previously root canal treated # 25 and 27. Root stumps were present #17, #37, 47 were missing.
Medical history revealed that he is suffering from familial diabetes insipidus, which had been diagnosed 13 years previously. He had inherited the disease from his father. From the clinical examination, radiographic presentation and medical history a provisional diagnosis of dental fluorosis associated with diabetes insipidus was made. Amelogenesis Imperfect was considered in differential diagnosis. It was ruled out due to absence of any family history, history of normal deciduous dentition, absence of any impacted permanent teeth, presence of chronological distribution as premolars and molars were less affected as compared to anterior teeth and presence of history of excessive fluoride intake related to diabetes insipidus.
The decision was made to do the full-mouth rehabilitation so as to achieve optimum oral health for the patient. At the consultation appointment, maxillary and mandibular study models were made to evaluate occlusion and make diagnostic wax up. Photographs of the patient were taken. In the second appointment, based on patient’s loss of vertical dimension of occlusion (VDO), a hypothetical increase of 3mm in the VDO was carried out on a hand crafted wax-up and through study models proposed outcome of treatment was presented to the patient and his consent for undergoing treatment was obtained.
Treatment Outline
The whole treatment procedure was carried out in four phases and took around four and a half months:
Phase I:
There were a total of 29 teeth which required extensive therapy. Extraction of #17, 26, 46 was done because they could not be restored. Retreatment of #25, 27 was done. Intentional root canal treatment of all the remaining teeth was done. Hemi-section with #36 was done retaining the mesial root. The posterior teeth were restored with prefabricated metal posts given in # 14, 24, 27, 35,38, 48 and composite core build ups. This initial phase I treatment took around two months.
Phase II:
Wax bite was recorded with required 3mm free space. Recorded wax bite was placed in between upper and lower casts and articulation was accomplished resulting in 3mm increased VDO.
Then provisional Fixed Partial Denture (FPD) #14,15,16,17 ; # 24, 25, 26, 27,28 ; #34,35, 36,37, 38; #44, 45, 46, 47,48 were made on the unprepared teeth as part of reversible interventional modalities to condition and adapt the patient to altered VDO. The patient was kept in observational period of six weeks before the definitive restorative phase of rehabilitation was started.
Patient was recalled every week for evaluation and at the same time crown lengthening of maxillary and mandibular anterior teeth was done to create sufficient coronal structure to allow fabrication of custom made post and core. This treatment phase was completed in about two months.
Phase III:
Once the tolerance to changes in VDO was confirmed, quadrant wise actual tooth preparations for Porcelain fused to metal (PFM) crowns, for the posterior teeth were done and posterior occlusion was restored with definitive prosthesis. Phase III lasted for 10 days.
Phase IV:
This phase was completed in one week and consisted of restoring maxillary and mandibular anteriors with custom made post and core [Table/Fig-3] and definite restorations. Full veneer PFM crowns were done in 2-2 units of teeth # 12 &13, 22 &23, 32 &33, 31 &41 and 42 &43. #11 and #21 were individually given separate PFM crowns. Final cementation was done with Type I Glass ionomer cement after reviewing for position, shape, and shade of crowns.
Final Adjustments
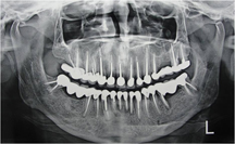
In the next appointment any residual bonding material was removed and final adjustments were made. End-treatment photographs [Table/Fig-4a,b,c] and O.P.G [Table/Fig-5] was taken.
Follow-up
The patient was instructed oral hygiene maintenance and was advised six monthly check-up. The patient was extremely pleased with the final results. So far, the 2-year postoperative appointment demonstrated excellent stability of the restorations and no evidence of jaw discomfort.
Preoperative photographs of patient

Pre-operative orthopantomogram

Anterior tooth restoration with cast metal post and core

Post-operative photographs of patient

Post-operative orthopantomogram

Discussion
Full mouth rehabilitation restores teeth, bite, and muscles to their original health. It tends to create smile that is not only aesthetic but also functionally comfortable [1].
Severe wear can result from chemical cause, mechanical cause or a combination of various causes. Dental fluorosis can also result in severe attrition of teeth. Dental fluorosis is a condition of enamel hypomineralization resulting due to presence of excessive fluoride during the maturation phase of amelogenesis. Teeth become porous and friable with a mottled appearance ranging from yellow to brown-black. There occurs loss of tooth substance and anatomic dental deformities sometimes to an extent evolving towards tooth loss.
Normally dental fluorosis results if fluoride levels in drinking water are higher than optimum level which is 0.9 - 1.0 ppm. However, even if the fluoride levels in drinking water are optimally controlled (1 ppm), prolonged polydipsia can result in intake of more than permitted dose of fluoride [2]. Diabetes insipidus is one such medical condition in which prolonged polydipsia can cause dental fluorosis which sometimes result in extremely friable, attrided and unaesthetic dentition requiring full mouth rehabilitation.
Our patient was symptomatic for diabetes insipidus since childhood. He reported an average intake of approximately 8-9 L of water a day. Although, he lived in area with optimally fluoridated water supply (1 ppm), he inadvertently consumed eight to ten-folds the recommended dose of fluoride due to polydipsia during the early years of tooth development. Thus, his permanent dentition presented typical picture of severe dental fluorosis.
In literature only few similar cases reporting linking of diabetes insipidus and dental fluorosis have ever been reported. Klein H [3] reported a case in which a mother and her four children affected by diabetes insipidus presented different degrees of fluorosis directly related to the stage at which hormonal therapy was introduced. Seow WK, Thomsett MJ [4] presented a case study of six affected patients, demonstrating the possibility that excessive consumption of optimally fluoridated water can lead to severe developmental enamel defects. Through their case report they showed that dental fluorosis may be an important complication of diabetes insipidus. Mehta MN, et al., [5] reported about two brothers with central diabetes insipidus who developed severe skeletal and dental fluorosis from early childhood.
To prevent the risk of dental fluorosis in patients of diabetes insipidus, it is suggested that a portion of the ingested water that these individuals consume should be supplied from a nonfluoridated source [6]. For the evaluation and management of dental lesions of patients with diabetes insipidus, the concerned doctor or endocrinologist should refer the patient to dentist periodically.
Full mouth rehabilitation is complex not only because of its long treatment time but also it requires good skills to create a balance between patient expectations and possible treatment results. One of the most demanding aspects in restoring the worn dentition is reconstruction of VDO at the centric relation and acceptable for the patient at the neuromuscular level [7]. VDO was increased to develop sufficient restorative space. Provisional restorations were given to achieve predictability and determine the tissue tolerance for change in vertical dimension. Also it psychologically comforted the patient.
Depending on the degree of tooth wear, full-mouth rehabilitation can be accomplished by conservative composite restorations, resin bonded ceramic crowns and post-core and cast restorations [8]. In our case conservative composite restorations could not be opted as the remaining tooth structures were insufficient for retention of composite. Postobturation coronal restorations were done with composite for the posterior maxillary and mandibular teeth but that too after inserting prefabricated metal posts for giving sufficient retention. In this case implants could also be used to replace some missing/infected teeth but our patient had financial constraints and also was unwilling to go for extensive surgical procedures.
Conclusion
Full mouth rehabilitation was successfully accomplished through well-planned systematic approach to simultaneously fulfill aesthetic, occlusal and functional parameters.
[1]. PE Dawson, Functional Occlusion: From TMJ to Smile Design. 2077 181st Edition(27)MosbySt.Louis, Elsevier:429-52. [Google Scholar]
[2]. BJ Sauerbrunn, Chronic fluoride intoxication with fluorotic radiculomyelopathyAnn Intern Med. 1965 63:1074-78. [Google Scholar]
[3]. H Klein, Dental fluorosis associated with hereditary diabetes insipidus.Oral Surg Oral Med Oral Pathol. 1975 40(6):736-41. [Google Scholar]
[4]. WK Seow, MJ Thomsett, Dental fluorosis as a complication of hereditary diabetes insipidus: studies of six affected patientsPediatr Dent 1994 16(2):128-32. [Google Scholar]
[5]. MN Mehta, K Raghavan, VP Gharpure, R Shenoy, Fluorosis - A Rare Complication of Diabetes InsipidusIndian Pediatr 1998 35:463-67. [Google Scholar]
[6]. LW Greenberg, CE Nelsen, N Kramer, Nephrogenic diabetes insipidus with fluorosisPaediatrics. 1974 54(3):320-22. [Google Scholar]
[7]. DR Bloom, JN Padayachy, Increasing occlusal vertical dimension- Why, When and HowBr Dent J. 2006 200(4):199-203. [Google Scholar]
[8]. RJ Smales, TL Berekally, Long-term survival of direct and indirect restorations placed for the treatment of advanced tooth wearEur J Prosthodont Restor Dent 2007 15(1):2 [Google Scholar]