Cytological Diagnosis of Follicular Carcinoma Thyroid Metastasis in Pelvic Muscles-A Rare and Unusual Site
Sanjay Piplani1, Rahul Mannan2, Tejinder Singh Bhasin3, Mridu Manjari4, Karamjit Singh Gill5
1 Associate Professor, Department of Pathology, SGRDIMS & R, Amritsar, Punjab, India.
2 Associate Professor, Department of Pathology, SGRDIMS & R, Amritsar, Punjab, India.
3 Professor, Department of Pathology, SGRDIMS & R, Amritsar, Punjab, India.
4 Professor, Department of Pathology, SGRDIMS & R, Amritsar, Punjab, India.
5 Professor, Department of Pathology, SGRDIMS & R, Amritsar, Punjab, India.
NAME, ADDRESS, E-MAIL ID OF THE CORRESPONDING AUTHOR: Dr. Sanjay Piplani, Associate Professor, Department of Pathology, SGRDIMS & R, Amritsar, Punjab, India.
Phone: 09814325454,
E-mail: monika.lalit@yahoo.com
Distant metastasis of thyroid neoplasm as an initial presentation is rarely encountered. The present case report describes a chance diagnosis of follicular carcinoma thyroid (FCT) metastasis in a 75-year-old female who was presented with symptoms related to pelvic mass. This is a rare site of reporting as only three cases have been reported previously at the first diagnosis. It is important to identify the presence of distant metastasis as it is the most important prognostic indicator (associated with 50% mortality). This is significant as this has a direct bearing upon its treatment and managing the patient. Hence more awareness is required by both diagnosticians and clinicians regarding this.
Distant metastasis, Follicular carcinoma, Pelvic Muscle, Thyroid
Case Report
A 75-year-old female presented to the surgical outpatient department of a tertiary care center at Amritsar, Punjab (India) in October 2013 with complains of abdominal pain and heaviness for the past six months. She had visited local general physician for which she was prescribed medication which failed to resolve her complains. Apart from right lower abdominal tenderness on deep palpation; rests of her findings of physical examination were within normal limits. To ascertain the etiology of pain, an ultrasonography (USG) was suggested. On USG, a well-defined heterogeneous mass lesion measuring 9 x 8 cm was noted in right iliac fossa with a possible involvement of right iliac bone [Table/Fig-1]. Color Doppler revealed mild to moderate flow vascularity in the lesion. No other abdominal finding was noted. Fine needle aspiration (FNA) was performed under USG guidance with the help of a 20 G LP needle. 2-3 passes were given and smears was prepared from the material obtained. The stained smears revealed a cellular lesion composed of benign looking follicular epithelial cells arranged in monolayer sheets, groups and also tending to form acini at places [Table/Fig-2]. Minimal colloid like material was noted in the background. The individual cells were round to oval having bland nuclei with norm chromatic nuclear chromatin and minimal basophilic cytoplasm. Focal nuclear overcrowding was also noted. Based on these findings, a provisional diagnosis of metastases of follicular neoplasm thyroid was suggested with advice for radiological examination of thyroid region.
Ultrasonographic image detailing the presence of mass in the pelvis

Cytological smears showing follicular epithelial cells forming acini. The background is free of colloid. [MGG X 400].

In view of the pelvic mass being reported as probable metastatic thyroid neoplasm on FNA; the thyroid gland was revisited by the physician and a USG neck was recommended along with a whole body CT scan and scintiography. Physical examination of the neck revealed a linear scar in the cervical region. On enquiring, the patient recalled a previous thyroid surgery six years ago from an outside center. Patients and her attendants were unable to produce any record pertaining to the surgery. The thyroid profile revealed a slightly high T3 (2.47ng/mL;normal 0.60-1.81) & T4 (16.84 ug/dL; normal 5.01-12.45) and low TSH levels (0.12uIU/mL; normal 0.35-5.50). Findings of USG neck corroborated with the history of hemi-thyroidectomy of the patient with the remaining thyroid tissue showing hypo and hyper echoic cystic nodules. FNAC done from the remnant thyroid tissue also revealed follicular neoplasm. Hence in view of these findings a working diagnosis of metastatic follicular carcinoma thyroid (FCT) was rendered.
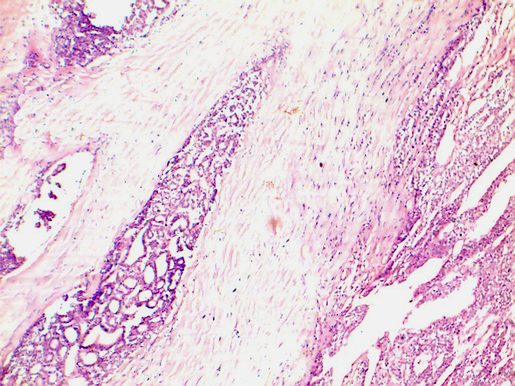
Thyroidectomy was performed and multiple sections were taken from the sent specimen from the representative areas. The sections revealed an encapsulated tumour with the cells arranged mainly in follicles showing mild to moderate pleomorphism. Capsular and vascular invasion was seen at a few places [Table/Fig-3]. A final diagnosis of FCT with metastases of same to the pelvic region was given. The patient was admitted in the oncology unit. Treatment modality was planned as radiotherapy+ chemotherapy with probable surgery on a later date. Patient refused CT scan and scintiography owing to economic reasons. So it was not possible to predict whether the metastasis was an isolated event or more bony metastasis were also present. The patient was initially started with methimazole to first stabilize the hormone levels and then to initiate the combined therapy. The patient however; was lost to follow-up after a month and no further treatment was possible.
Histopathological section showing capsular invasion by the tumour cells. (H & E 400 X)

Discussion
Although thyroid carcinomas are the most common malignant endocrine neoplasm; but overall they account for 1% of all malignancies of all the thyroid malignancies, follicular carcinoma thyroid represents 10 – 20 % cases [1]. Distant metastases as an initial presentation are seen in 1-3% cases and are associated with poor prognosis (10 year survival rate of 50 %) [2]. Many patients (7-23%) also develop distant metastases despite on course of treatment [3]. Follicular variant of thyroid carcinoma is known to metastasize commonly not only to lung and bone but also to rare (brain, breast, liver, kidney, muscle and skin) and unusual sites such as supra renal and pelvic soft tissue regions [4–7].
It is important to identify the presence of distant metastases as it is the most important prognostic indicator of 10-year survival (associated with 50% mortality) [2,3].
In case of soft tissue and muscle metastases (as also noted in present case report) ; no specific complaint is usually elicited apart from the symptoms associated with the pressure generated by the growing neoplastic mass on the surrounding tissues. Overall; the distant metastases in the skeletal muscle is extremely rare in haematogenous spread despite muscles comprising up to 40% of total human weight. Only a handful of cases have been reported especially in erector spinae and biceps muscle. It has been proposed that multiple factors ranging from variable muscle pH, muscle movement and ability to remove tumour lactic acid create a relatively unfavorable environment for tumour metastases in muscles [8].
The present case report details presence of metastases of FCT presenting as soft tissue mass in pelvic region. This is not a frequently reported metastatic region as only three previous cases have been reported at the first diagnosis in literature [6,7,9].
Now-a-days consensus has developed over a fact that metastases of DTC in so called “rare sites” will be reported in increasing manner due to current usage of I 131 SPECT/ CT image fusion techniques. World over, due to usage of this technique, more and more inadvertent findings of metastases of DTC are being reported from unusual sites. Current guidelines in distant metastases combine usage of surgery, radiotherapy and I131 therapy. The survival and quality of life have improved because of this [2,3].
Conclusion
Therefore, it is recommended that importance be accorded to rare metastases in DTC patients. Whenever metastases are found at unexpected sites, a possibility of DTC should be kept as treatment modalities are now available which can lead to a better prognosis. This is important because this has a direct bearing upon diagnosis of the disease, its therapy and management of the patient. Hence, more awareness is required by both diagnosticians and clinicians regarding this. Case reported here is worth publishing as it reports a rare presentation of metastases of thyroid carcinoma and also highlights the importance of recognizing the pattern of thyroid carcinoma spread in all such rare sites.
[1]. Gimm O, Dralle H, Differentiated thyroid carcinoma. In: Holzheimer RG, Mannick JA, editorsSurgical Treatment: Evidence-Based and Problem-Oriented 2001 GermanyW. Zuckschwerdt Verlag Munchen [Google Scholar]
[2]. Elisei R, Molinaro E, Agate L, Bottici V, Masserini L, Ceccarelli C, Are the clinical and pathological features of differentiated thyroid carcinoma really changed over the last 35 years? Study on 4187 patients from a single Italian institution to answer this questionJ Clin Endocrinol Metab 2010 95(4):1516-27. [Google Scholar]
[3]. Wu K, Hou SM, Huang TS, Yang RS, Thyroid Carcinoma with Bone Metastases: A Prognostic Factor StudyClin Med Oncol 2008 2:129-34. [Google Scholar]
[4]. Hoie J, Stenwig AE, Kullmann G, Lindegaard M, Distant metastases in papillary thyroid cancer. A review of 91 patientsCancer 1988 61(1):1-6. [Google Scholar]
[5]. Ferrer Garcia JC, Merino Torres JF, Ponce Marco JL, Pinon Selles F, Unusual metastasis of differentiated thyroid carcinomaAnn Med Interna 2002 19(11):579-82. [Google Scholar]
[6]. Dequanter D, Abdoulaye D, Lothaire P, Gebhart M, Andry G, Isolated pelvic metastasis of thyroid cancerAnn Endocrinol 2001 62(6):521-24. [Google Scholar]
[7]. Chaffanjon PC, Sturm N, Caravel JP, Chabre O, Brichon PY, Pelvic muscular metastasis of well differentiated thyroid cancerAnn Chir 2004 129(2):100-02. [Google Scholar]
[8]. Seely S, Possible reasons for high resistance of muscle to cancerMed Hypotheses 1980 6(2):133-37. [Google Scholar]
[9]. Karaca H, Lale A, Er O, Ozkan M, Deniz K, Kula M, Follicular thyroid cancer presenting as a pelvic mass: A case reportTurk Jem 2011 15:23-5. [Google Scholar]