Myxoid Leiomyosarcoma of Ovary-A Rare Case Report
Divya NS1, Srinivasamurthy V2
1Asstistant Professor, Department of Pathology, DMWIMS, Wayanad, Kerala, India.
2HOD and Professor, Department of Pathology, ESIC & PGIMSR, Bangalore, India.
NAME, ADDRESS, E-MAIL ID OF THE CORRESPONDING AUTHOR: Dr. Divya NS, Assistant Professor, Department of Pathology, DM WIMS, Wayanad, Kerala-673577, India.
Phone: 8111881137,
E-mail: drdivyans@gmail.com
Primary pure myxoid leiomyosarcoma of the ovary is extremely rare, comprising of only 1% of the ovarian tumours. Patient presented with a mass in the right iliac fossa since three months. Radiological diagnosis of broad ligament fibroid was given. Right salphingo-oophorectomy with enucleation of ischial fossa and wedge biopsy of left ovary was carried out. Based on gross, microscopy and immunohistochemistry a diagnosis of primary myxoid leiomyosarcoma of ovary was made. We report a rare case of primary pure myxoid leiomyosarcoma of the ovary with metastasis to ischial fossa emphasising on reliable prognostic markers. Ovarian leiomyosarcomas are highly aggressive tumours with poor prognosis.
Leiomyosarcoma, Myxoid, Ovary, Smooth muscle cells
Case Report
A 26-year-old female, presented with a history of mass per abdomen associated with pain since three months. MRI revealed a well defined right adnexal mass with areas of necrosis and cystic change. One more similar lesion was noted in right ischial fossa displacing the rectum and anal canal towards left. Radiological diagnosis of broad ligament fibroid was made. Patient underwent right salphingo-oophorectomy with enucleation of ischial fossa and wedge biopsy of left ovary. Specimen was sent for histopathological evaluation. Grossly, right ovary measuring 9×6×3 cms. Cut surface showed an ill defined gelatinous mass with areas of necrosis. Right side fallopian tube measured 6 cms in length. Multiple irregular grey white soft tissue bits from ischial fossa were also received. Histopathologically, tumour showed interlacing fascicles of smooth muscle cells admixed with extensive myxoid matrix [Table/Fig-1]. Individual cells were spindle shaped having ovoid nuclei with moderate amount of eosinophilic cytoplasm [Table/Fig-2]. Many bizarre tumour nuclei and multinucleated giant cells with mitotic count of 3-4/hpf were seen [Table/Fig-3]. Extensive area of necrosis along with capsular invasion was evident. Left ovary was unremarkable. Mass from ischial fossa showed similar features. On immunohistochemistry, the tumour cells were positive for vimentin, smooth muscle actin and negative for cytokeratin. Histopathological diagnosis of primary myxoid leiomyosarcoma of the ovary with metastasis ischial fossa was made. Total abdominal hysterectomy was carried out with postoperative follow up.
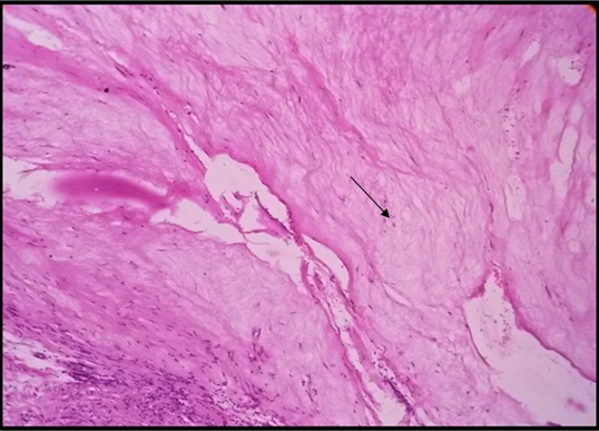
H&E(400X)- Acellular area showing abundant myxoid matrix with scattered spindle cells

H&E-(100X)-Cellular area showing interlacing fascicles of spindle cells & necrosis

H&E(400X)-Many bizarre tumour nuclei, multinucleated giant cells (single arrow) & abnormal mitosis (double arrow)

Discussion
Primary nonspecific sarcoma of ovary is extremely rare. Primary pure ovarian leiomyosarcomas constitute a malignant subgroup of ovarian smooth muscle tumours which comprise only 1% of the ovarian tumours [1,2] . The ratio of incidence of ovarian sarcoma to carcinoma is generally reported at 1:40 and the primary ovarian sarcoma represents a heterogeneous group of ovarian tumours [3] . Till date only 20 cases have been reported in the literature.The most common primary ovarian sarcomas are fibrosarcomas, endometrial stromal sarcomas, and rhabdomyosarcoma [4,5] .Ovarian leiomyosarcoma typically present as a large unilateral mass predominantly affecting postmenopausal women. In the present case patient was only 26-year-old with history of mass per abdomen associated with pain. Pathogenesis is uncertain with many theories including malignant degeneration of an ovarian leiomyoma, or of the smooth muscle present in the wall of the blood vessels in the cortical stroma and corpus luteum, muscular attachments of the ovarian ligament, wolfian duct remnants, or totipotential ovarian mesenchyme, or arising in a teratoma [2] .
The histological assesment of myxoid leiomyosarcoma is difficult, due to sparse cellularity and abundant myxoid stroma [6] . Conventional mitotic count, which is the most reliable marker of malignancy in smooth muscle tumours, is less effective in myxoid variant of smooth muscle tumours. For this reason, it has been suggested to take mitotic count separately in the solid and myxoid areas [7] . Our case had a low mitotic count of 3-4/HPF in myxoid areas and 10-12/HPF in solid areas. Therefore other reliable markers of malignancy like cellular atypia, capsular invasion, tumour stage and coagulative necrosis should be taken into account.
In the differential diagnosis, myxoid leiomyoma of ovary and myxoid predominant carcinosarcoma should be considered [8] . In the present case as there was no true epithelial component, and stained negatively for keratin on immunohistochemistry, so the possibility of carcinosarcoma was excluded. As the mitotic index has limited value in case of myxoidleiomyosarcoma, the presence of necrosis, capsular invasion, nuclear irregularities and metastatic deposists to ischial fossa precluded us from diagnosing it as a myxoid leiomyoma.
Traditionally, International Federation of Gynecology and Obstetrics (FIGO) staging and treatment of ovarian sarcomas have been the same as for epithelial ovarian carcinomas. Although surgery was performed for all cases, the extent of surgery is debatable. Benefit and modality of adjuvant therapy is controversial [5] . The prognosis of primary pure ovarian leiomyosarcomas is extremely poor depending on tumour stage, tumour size, grade, with capsular invasion and mostly recurs in abdomen and pelvis.
[1]. S Taskin, EA Taskin, N Uzüm, O Ataoglu, F Ortaç, Primary ovarian leiomyosarcoma: a review of the clinical and immunohistochemical features of the rare tumour.Obstet Gynecol Surv 2007 62(7):480-6. [Google Scholar]
[2]. SM Bouie, B Cracchiolo, D Heller, Epithelioid leiomyosarcoma of the ovary.Gynecologic Oncology 2005 97:697-9. [Google Scholar]
[3]. S Dixit, S Singhal, H Baboo, RK Vyas, JP Neema, R Murthy, Leiomyosarcoma of the ovary.J Postgrad Med. 1993 39:151-3. [Google Scholar]
[4]. HD Friedman, M Mazur, Primary ovarian leiomyosarcoma. An immunohistochemical and ultrastructural study.Arch Pathol Lab Med 1991 115:941-5. [Google Scholar]
[5]. RR Kurian, J Preethi, AV Remadevi, Leiomyosarcoma of ovary- a case report.Indian J PatholMicrobiol 2005 48:19-20. [Google Scholar]
[6]. Nogales Francisco F, Avilla Isabel Ruiz, Sirvent Juan J, Myxoid LMS of the ovary: Analysis of three cases..Human Pathol. 1991 22:1268-73. [Google Scholar]
[7]. R Salm, DJ Evan, Myxoidleiomyosarcoma.Histopathology. 1985 9:159-69. [Google Scholar]
[8]. B Majmudar, PJ Kapernick, RS Philips, Ovarian myxomaHuman Pathol 1978 9:723-25. [Google Scholar]