Images in Medicine - Bisphosphonate Induced Atypical Fracture
Riddhi Das Gupta1, Sahana Shetty2, Hesargatta Shyamsunder Asha3, Sandeep Albert4, Thomas Vizhalil Paul5
1 Registrar, Department of Endocrinology, Diabetes & Metabolism, Christian Medical College, Vellore - 632 004, Tamil Nadu, India.
2 Registrar, Department of Endocrinology, Diabetes & Metabolism, Christian Medical College, Vellore - 632 004, Tamil Nadu, India.
3 Associate Professor, Department of Endocrinology, Diabetes & Metabolism, Christian Medical College, Vellore - 632 004, Tamil Nadu, India.
4 Assistant Professor, Department of Orthopedics - Unit I, Christian Medical College, Vellore - 632 004, Tamil Nadu, India.
5 Professor, Department of Endocrinology, Diabetes & Metabolism, Christian Medical College, Vellore - 632 004, Tamil Nadu, India.
NAME, ADDRESS, E-MAIL ID OF THE CORRESPONDING AUTHOR: Dr. Thomas V. Paul, Professor, Department of Endocrinology, Diabetes & Metabolism, Christian Medical College, Vellore - 632 004, Tamil Nadu, India.
Phone: 09566920379, +91-0416-228-3118,
E-mail: thomasvpaul@yahoo.com
Post menopausal osteoporosis, Oral ibandronate, Atypical features
Introduction
Bisphosphonates are the first line therapy for treating post menopausal osteoporosis. Usually,they are well tolerated and have good efficacy in decreasing fracture risk with few adverse effects. The common side effect is upper gastrointestinal tract irritation like oesophagitis especially seen with oral bisphosphonates. One of the less commonly encountered adverse effect is atypical fracture of femoral shafts. Physicians who are prescribing bisphosphonates should be aware of this rare adverse effect. We report a case who presented to us with an atypical fracture.
Case Presentation
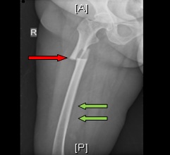
A 58 year old lady, post menopausal for 10 years, presented with the complaints of pain and restricted mobility of right lower limb following slip and fall from standing in her home.There was no pain preceding the fall. Her medical history was largely unremarkable except for use of bisphosphonates (oral ibandronate at the dose of 150 mg monthly) for the last 18 months for post menopausal osteoporosis. In addition, patient was also on 1000 mg of elemental calcium and 800 IU of cholecalciferol. Clinical examination was normal except for tenderness over the right thigh. Her corrected serum calcium was 8.8 mg/dl (8.5-10.2 mg/dl), phosphate was 3.2 mg/dl (2.5-4.5 mg/dl), alkaline phosphatase was 45 U/L(40-125 U/L) and 25-OH vitamin D was 38 ng/dl, parathyroid hormone was 42 pg/ml (8-50 pg/ml). X-Ray femur (right and left) shown as [Table/Fig-1 and 2] were characteristic of bisphosphonate associated bilateral atypical femoral shaft fractures.
An anteroposterior left femur radiograph showing a transverse shaft fracture, with a localized periosteal beaking (red arrowhead) and generalized cortical thickening (green arrows)

An anteroposterior right femur radiograph showing an incomplete atypical shaft fracture with a periosteal reaction of the lateral cortex

Bone Mineral Density showed osteoporosis of the lumbar spine (T score: -2.8) and femoral neck (T score: -2.6).
Discussion
Bisphosphonates, though widely approved as the mainstay of treatment of osteoporosis, are associated with a rare subset of atypical subtrochanteric and femoral shaft fracture. The inherent property of bisphosphonates to accumulate in sites of microfracture repair and suppress bone turnover inadvertently leads to accumulation of microdamage and, increased mineralization homogeneity resulting in reduced toughness and increased brittleness of bone with susceptibility to fracture [1,2]. Possible alterations in non enzymatic collagen cross linking and femoral biomechanical differences [3] further augment the fracture risk in these patients. Non-comminuted, low-energy trauma, bilateral, transverse or oblique femoral fractures distal to lesser trochanter with poor callus formation with a localized periosteal reaction in lateral cortex and generalized cortical thickening are the diagnostic hallmarks [4]. These atypical fractures have been described with most bisphosphonates and it is not known when these fractures occur after the initiation of therapy [5,6]. The occurrence of these fractures warrant immediate cessation of bisphosphonate therapy. Intramedullary nailing remains the surgical modality of choice, along with calcium and vitamin D supplementation. The use of teriparatide [7] may offer a promising mode of treatment for these atypical shaft fractures.
[1]. Komatsubara S, Mori S, Mashiba T, Suppressed bone turnover by long-term bisphosphonate treatment accumulates microdamage but maintains intrinsic material properties in cortical bone of dog ribJ Bone Miner Res 2004 19:999-1005. [Google Scholar]
[2]. Saleh A, Hegde VV, Potty AG, Lane JM, Bisphosphonate therapy and atypical fracturesOrthop Clin N Am 2013 44:137-51. [Google Scholar]
[3]. Shane E, Burr D, Ebeling PR, Atypical subtrochanteric and diaphyseal femoral fractures: report of a task force of the American Society for Bone and Mineral ResearchJ Bone Miner Res 2010 25:2267-94. [Google Scholar]
[4]. Boskey AL, Spevak L, Weinstein RS, Spectroscopic markers of bone quality in alendronate treated post menopausal womenOsteoporos Int 2009 20:793-800. [Google Scholar]
[5]. De Lima JG, Fernandes FC, De Souza ABC, Atypical fracture with use of Ibandronate and the role of bone scintigraphy on its early diagnosisJ Endocrinol Metab 2013 3:67-69. [Google Scholar]
[6]. Reddy SVB, Gupta SK, Atypical femoral shaft fracture in a patient with nonmetastatic prostate cancer on zolendronic acid therapy: effect of therapy or coincidence?Singapore Med J 2012 53(3):e52-54. [Google Scholar]
[7]. Ettinger B, San Martin J, Crans G, Differential effects of teriparatide on BMD after treatment with raloxifene or alendronateJ Bone Miner Res 2004 19:745-51. [Google Scholar]