Primary Leiomyosarcoma of the Penis: A Case Report
Lawrence D’Cruze1, A. Boobala2, Subalakshmi Balasubramanian3, Swaminathan Rajendiran4, Leena Dennis Joseph5
1 Assistant Professor, Department of Pathology, Sri Ramachandra Medical College and Research Institute, Porur, Chennai - 600116, India.
2 Post Graduate Student, Department of Surgery, Sri Ramachandra Medical College and Research Institute, Porur, Chennai - 600116, India.
3 Post Graduate Student, Department of Pathology, Sri Ramachandra Medical College and Research Institute, Porur, Chennai - 600116, India.
4 Professor of Pathology, Department of Pathology, Sri Ramachandra Medical College and Research Institute, Porur, Chennai - 600116, India.
5 Professor of Pathology, Department of Pathology, Sri Ramachandra Medical College and Research Institute, Porur, Chennai - 600116, India.
NAME, ADDRESS, E-MAIL ID OF THE CORRESPONDING AUTHOR: Dr. Lawrence D’Cruze, Assistant Professor, Department of Pathology, Sri Ramachandra Medical College and Research Institute, Porur, Chennai-600116, India.
Phone: 9940265024,
E-mail: lawrencedcruze@yahoo.com
Primary leiomyosarcoma of the penis is a very rare tumour. Only 46 cases have been reported in the English medical literature. We are presenting this case of a 59-year-old patient with a ulceroproliferative growth in his penis. Histopathology was a high grade spindle cell sarcoma, which was proved by immunohistochemistry to be a leiomyosarcoma.
Spindle cell sarcoma, Immunohistochemistry, Leiomyosarcoma
Case History
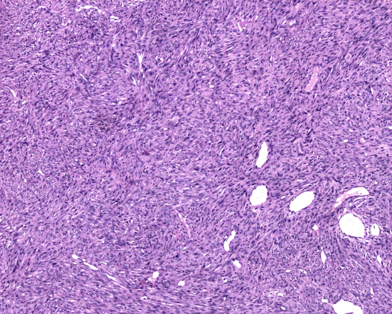
A 59-year-old male patient presented to the Surgical Out Patients Department with complaint of an ulceroproliferative growth at the tip of his penis, which was there since the past one month. The lesion was progressive in nature and it was associated with pain. There was no history of bleeding, loss of weight or appetite. On physical examination, all his vitals were found to be within normal limits. Local examination showed a 4 × 4cms ulceroproliferative growth at the tip of the penis [Table/Fig-1]. There was no inguinal lymphadenopathy. Routine laboratory work up showed a normal picture. Chest X-ray revealed no evidence of metastatic disease. Ultrasound examination showed liver and kidneys to have a normal echotexture. An edge wedge biopsy was performed, which on histopathology showed picture of a high grade fascicular spindle cell sarcoma [Table/Fig-2] with a mitotic rate of 32/10 HPF. Immunohistochemistry was strongly positive for vimentin and smooth muscle actin (SMA) [Table/Fig-3] and it was focally positive for S100. The tumour cells were negative for CK and CD34. A diagnosis of a high grade leiomyosarcoma of the penis was rendered. The patient underwent a partial penectomy.The external surface of the specimen showed an ulceroproliferative, white, firm lesion measuring 5 × 4.5cms, involving the glans penis. The distance of the lesion from closest surgical margin was 1cm. The cut surface of the lesion was solid and firm, with focal haemorrhagic areas (10%). Microscopic findings were similar to those of a previous biopsy which was done, with additional haemorrhage and necrosis (possibly related to biopsy site). The corpora spongiosa was involved. Urethra, skin resected margin were free of tumour. The patient was discharged, with an advice of having regular follow up. The patient had turned up recently, eleven months after the operation, with complaint of a focal non-healing wound at the site. A biopsy was taken, which showed only inflammatory granulation tissue formation and there was no evidence of any recurrence.
Macroscopic view of the excised tumor (encircled). Note that the urethra is uninvolved by the tumor

High grade spindle cell tumour arranged in interlacing fascicles (H&Ex40)

Spindle cells showing diffuse strong positivity for SMA (IHCx200)

Discussion
The most common primary malignant neoplasm of the penis is squamous cell carcinoma, followed by those extending directly from the adjacent areas and rarely, metastatic neoplasms extending from prostate, bladder, rectum, kidney and testis. Mesenchymal tumours are rare and they constitute less than 5% of all types of penile malignancies [1]. Soft tissue tumours of the penis comprise mainly of vascular sarcomas like Kaposi sarcoma, epithelioid hemangoiendothelioma and angiosarcoma, followed by rhabdomyosarcoma and leiomyosarcoma [2]. Only 46 cases of leiomyosarcoma have been reported in the English medical literature between 1930 and 2006 [3]. The first case was reported by Levi. The age range at diagnosis is from 6 years to the late 80s. There are two distinct clinico-pathological entities, superficial and deep-seated tumours. Superficial lesions the one which we are presenting here, present as tumourlets or nodular lesions and are more distal, slow growing, have a low metastatic potential and are thought to arise from the muscle fibres of the dartos. Deep-seated lesions originate from the corpus spongiosum and these tend to metastasize early or they invade the urethra. On gross examination, these tumours are usually rubbery in consistency, well circumscribed, with a white, yellow or grey appearance and they differ from the usual squamous cell carcinoma (friable and bleeding ulceroproliferative growth). Microscopic examination shows spindle shaped smooth muscle fibres arranged in interlacing fascicles [4]. Mitosis may be very high and foci of necrosis may be seen. We recorded a high mitotic rate of thirty two per ten high-power fields, with many atypical mitoses. The differential diagnosis includes sarcomatoid squamous cell carcinoma, neurogenic sarcoma, malignant fibrous histiocytoma and most importantly, Kaposi’s sarcoma. Immunohistochemistry is very essential for arriving at a definitive diagnosis. Leiomyosarcoma is distinguished from sarcomatoid carcinoma through its negative immunoreactivity for keratin. Kaposi’s sarcoma has a prominent lymphoplasmacytic infiltrate and it is immunoreactive for CD34. Histiocytomas are rare in the penis and they show negative activity for smooth muscle actin. On immunohistochemistry, the tumour cells in our case were positive for vimentin, smooth muscle actin (SMA), focally positive for S100 and negative for cytokeratin (epithelial marker) and CD 34 (endothelial marker). This was in concordance with the findings of study done by Shirley et al., [5] and they confirmed the diagnosis of high grade leiomyosarcoma. Surgery is the mainstay of treatment. Small deep seated tumours located in the distal shaft of the glans penis may be effectively treated by partial penectomy, while large deep seated tumours, particularly those situated at the root of the penis require total penectomy. Lymph node disease is very rare, and so, lymphadenectomy is not recommended, but if it is present, it indicates a high rate of distant spread, particularly in the lungs, liver and brain [6].
We are presenting this case of penile high grade leiomyosarcoma as it is a common soft tissue tumour which occurs in an uncommon place and a immunohistochemical work up is very essential for rendering this rare diagnosis.
[1]. Lucia MS, Miller GJ, Histopathology of the malignant lesions of the penisUrol Clin North Am 1992 19:227 [Google Scholar]
[2]. Alberto Dominici, Angusto Delle Rose, Niceta Stomaci, Lavinia Pugliese, Alessandro Posti, Gabricella Nesi, A Rare case of Leiomyosarcoma of the penis with a reappraisal of the literatureInternational Journal of Urology 2004 11:440-44. [Google Scholar]
[3]. Centeno-Flores Marianela, Garcia-Rodriguez Francisco, Gil Rebecca, Padron-Rivera Luis Hector, Primary Leiomyosarcoma of the penisRev Mex Urol 2013 73(1):46-49. [Google Scholar]
[4]. Katsikas Vasilios S, Kalyvas Konastantinos, Leiomyosarcoma of the penisSarcoma 2002 June 6(2):75-77. [Google Scholar]
[5]. Shirley Sundersingh, Majhi Urmila, Narayanaswamy Kathiresan, Balasubramanian Satheesan, Primary Leiomyosarcoma of the PenisIJPM 2009 52(3):4147-44. [Google Scholar]
[6]. Srinivas V, Morse MJ, Herr HW, Penile cancer: relation of extent of nodal metastasis to survivalJ Urol 1987 137:880 [Google Scholar]