Introduction
Aesthetic concerns have led to an increasing importance in seeking dental treatment, with the purpose of achieving perfect smile. The continuing presence of a diastema between the maxillary central incisors in adults, has often been considered as an aesthetic problem. The presence of an aberrant frenum being one of the aetiological factors for the persistence of a midline diastema, the focus on the frenum has become essential [1].
The frena may also jeopardize the gingival health by causing a gingival recession when they are attached too closely to the gingival margin, either because of an interference with the proper placement of a toothbrush or through the opening of the gingival crevice because of a muscle pull [2].
The Muscular Anatomy of the Frenum
A frenum is a mucous membrane fold which contains muscle and connective tissue fibres that attach the lip and the cheek to the alveolar mucosa, the gingiva and the underlying periosteum [2].
Knox and Young histologically studied the frenulum, and they have reported both elastic and muscle fibres (Orbicularis oris – horizontal bands and oblique fibres). However, Henry, Levin and Tsaknis have found considerably dense collagenous tissue and elastic fibres but no muscle fibres in the frenulum [2].
Aetiology
The maxillary labial frenum develops as a post-eruptive remnant of the ectolabial bands which connect the tubercle of the upper lip to the palatine papilla. When the 2 central incisors erupt widely separated, no bone is deposited inferior to the frenum. A V-shaped bony cleft between the two central incisors and an abnormal frenum attachment results. The mandibular frenum is considered as aberrant when it is associated with a decreased vestibular depth and an inadequate width of the attached gingiva [1,2].
Diagnosis
The abnormal frena are detected visually by applying tension over the frenum to see the movement of the papillary tip or the blanch which is produced due to ischaemia in the region. The frenum is characterized as pathogenic when it is unusually wide or when there is no apparent zone of the attached gingiva along the midline or the interdental papilla shifts when the frenum is extended.
Classification
The labial frenal attachments have been classified as mucosal, gingival, papillary and papilla penetrating, by Placek et al (1974) [3].
Mucosal – when the frenal fibres are attached up to the mucogingival junction.
Gingival – when the fibres are inserted within the attached gingiva.
Papillary – when the fibres are extending into the interdental papilla.
Papilla penetrating – when the frenal fibres cross the alveolar process and extend up to the palatine papilla.
Indications
The frenum is characterized as pathogenic and is indicated for removal when
An aberrant frenal attachment is present, which causes a midline diastema.
A flattened papilla with the frenum closely attached to the gingival margin is present, which causes a gingival recession and a hindrance in maintaining the oral hygiene.
An aberrant frenum with an inadequately attached gingiva and a shallow vestibule is seen.
Treatment
The aberrant frena can be treated by frenectomy or by frenotomy procedures. Frenectomy is the complete removal of the frenum, including its attachment to the underlying bone, while frenotomy is the incision and the relocation of the frenal attachment [3].
Frenectomy can be accomplished either by the routine scalpel technique, electrosurgery or by using lasers. The conventional technique involves excision of the frenum by using a scalpel. However, it carries the routine risks of surgery like bleeding and patient compliance.
The use of electro surgery and lasers has also been proposed for frenectomy [4–9]. Researchers have advocated the use of an electrocautery probe due to its efficacy and due to the safety of the procedure, the mild bleeding and the absence of postoperative complications. However, it is associated with certain complications which include burns, the risk of an explosion if combustible gases are used, interference with pacemakers and the production of surgical smoke. These complications have not been reported with the new improvement in the electro surgical techniques, like the Argon Beam Coagulation (ABC) [4,5].
Recently, the use of a CO2 laser in lingual frenectomies has been reported as a safe and effective procedure with the advantages of a shorter duration of the surgery, simplicity of the procedure, the absence of postoperative infections, lesser pain, swelling and the presence of a small or no scar [4]. A delayed healing as compared to that in the conventional scalpel techniques, a reduced surgical precision which results in an inadvertent laser-induced thermal necrosis and/or a photo acoustic injury, are some of the complications which are associated with lasers. The application of diode and Er:YAG lasers [6] in labial frenectomies in infants and Er,Cr:YSGG lasers [7] in labial frenectomies in the adolescent and the pre-pubescent populations have also been reported.
Since the conventional procedure of frenectomy was first prop-osed, a number of modifications [10–12] of the various surgical techniques like the Miller's technique, V-Y plasty and Z-plasty have been developed to solve the problems which are caused by an abnormal labial frenum.
The present article is a compilation of a series of clinical cases of an aberrant frenum which were approached by various surgical techniques which were employed for frenectomy, with an added note on the merits and the demerits of each procedure.
The techniques which were employed were:
Conventional (Classical) frenectomy
Miller's technique
V-Y Plasty
Z Plasty
Frenectomy which was done by using electrocautery
Clinical Cases
Classical Frenectomy [2,13]
The classical technique was introduced by Archer (1961) and Kruger (1964). This approach was advocated in the midline diastema cases with an aberrant frenum to ensure the removal of the muscle fibres which were supposedly connecting the orbicularis oris with the palatine papilla [2]. This technique is an excision type frenectomy which includes the interdental tissues and the palatine papilla along with the frenulum.
Armamentarium – Haemostat, scalpel blade no.15, gauze sponges, 4-0 black silk sutures, suture pliers, scissors, and a periodontal dressing (Coe-pak).
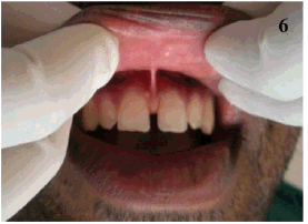
The present case was a papilla type of frenal attachment [Table/Fig-1]. The area was anaesthetized with a local infiltration by using 2% lignocaine with 1:80000 adrenaline. The frenum was engaged with a haemostat which was inserted into the depth of the vestibule [Table/Fig-2] and incisions were placed on the upper and the undersurface of the haemostat until the haemostat was free [Table/Fig-3]. The triangular resected portion of the frenum with the haemostat was removed. A blunt dissection was done on the bone to relieve the fibrous attachment. The edges of the diamond shaped wound were sutured by using 4-0 black silk with interrupted sutures [Table/Fig-4]. The area was covered with a periodontal pack. The pack and the sutures were removed 1 week post-operatively.
Pre-operative papilla type of frenal attachment

Frenum held with hemostat



The post-operative sequelae at 1 month of follow-up included un-aesthetic or labial tissue scarring [Table/Fig-5].

Pre-operative attached type of frenal attachment


Lateral pedicle graft obtained

Graft sutured across the midline


Miller's Technique [2,14]
The Miller's technique was advocated by Miller PD in 1985. This technique was proposed for the post-orthodontic diastema cases. The ideal time for performing this surgery is after the orthodontic movement is complete and about 6 weeks before the appliances are removed. This not only allows healing and tissue maturation, but it also permits the surgeon to use orthodontic appliances as a means of retaining a periodontal dressing.
Armamentarium – Haemostat, scalpel blade no.15, gauze sponges, 5-0 black silk sutures, suture pliers, scissors, and a periodontal dressing (Coe-pak).
An attached type of frenal attachment was treated with the following surgical procedure after the area was anaesthetized with a local infiltration by using 2% lignocaine with 1:80000 adrenaline: [Table/Fig-1-10]:
Excision of the frenulum and exposure of the labial alveolar bone in the midline.
A horizontal incision was made to separate the frenulum from the interdental papilla.
A laterally positioned pedicle graft (split thickness) was obtained and it was sutured across the midline.
A periodontal dressing was placed.
Care must be taken to extend the incisions into the lip as far as necessary, to assure that a remnant of the frenulum is not left on the lip. After 1 week, the periodontal dressing was removed, while the remnants of the sutures were left, as resorbable sutures were used. At 1 month of follow-up, there was a gingiva across the midline and the interdental papilla was maintained.
Z Plasty [15–17]
This technique is indicated when there is hypertrophy of the frenum with a low insertion, which is associated with an inter-incisor diastema, and when the lateral incisors have appeared without causing the diastema to disappear and also in cases of a short vestibule.
Armamentarium – Scalpel blade no.15, gauze sponges, tissue forceps, 5-0 vicryl sutures, suture pliers, scissors, and a periodontal dressing (Coe-pak).
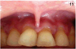
A case of a hypertrophic attached type of frenal attachment [Table/Fig-11] was operated by using the Z-plasty technique. The area was anaesthetized with a local infiltration by using 2 % lignocaine with 1:80000 adrenaline. The length of the frenum was incised with the scalpel [Table/Fig-12] and at each end, limbs at between 60° and 90° angulation, incisions were made in equal length to that of the band. By using fine tissue forceps, with care not to damage the apices of the flaps, the submucosal tissues were dissected beyond the base of each flap, into the loose non-attached tissue planes. Thus, double rotation flaps which were at least 1 cm long were obtained. The resultant flaps which were created were mobilized and transposed through 90° to close the vertical incisions horizontally [Table/Fig-13]. Absorbable 5-0 vicryl sutures were placed, first through the apices of the flaps, to ascertain the adequacy of the flap repositioning and then they were evenly spaced along the edges of the flaps, to close the wound along the cut edges of the attached mucoperiosteum and the labial mucosa [Table/Fig-14]. A periodontal dressing was placed. After 1 week, the dressing was removed, while the remnants of the sutures were left, as resorbable sutures were used.
Pre-operative attached type of frenal attachment

Incision given through the frenum

Incision given at both ends of the frenum to obtain 2 triangular flaps

Flaps transposed across the midline sutured in the form of Z

At 1 month of follow-up [Table/Fig-15], the healing was found to be uneventful, with no hypertrophic scar formation and tension at the frenum area.

V-Y Plasty [18]
V-Y plasty can be used for lengthening the localized area, like the broad frena in the premolar-molar area.
Armamentarium: Haemostat, scalpel blade no.15, gauze sponges, 4-0 black silk sutures, suture pliers, scissors, and a periodontal dressing (Coe-pak).
This technique was employed in a case of a papilla type of frenal attachment [Table/Fig-16]. After the area was anaesthetized with a local infiltration by using 2 % lignocaine with 1:80000 adrenaline, the frenum was held with the haemostat [Table/Fig-17] and an incision was made in the form of V on the undersurface of the frenal attachment [Table/Fig-18]. The frenum was relocated at an apical position and the V shaped incision was converted into a Y, while it was sutured with 4-0 silk sutures [Table/Fig-19]. A periodontal pack was placed. The periodontal pack and the sutures were removed at 1 week of follow-up. At 1 month of follow-up [Table/Fig-20] the frenal attachment was found to be relocated at an apical position, with an uneventful healing.
Pre-operative papilla type of frenal attachment

Frenum held with hemostat

Frenum incised by V-shaped incision

V-shaped incision sutured in the form of Y


Electro Surgery [4,5]
Electrosurgery is recommended in cases of patients with bleeding disorders, where the conventional scalpel technique carries a higher risk which is associated with problems in achieving a haemostasis and also in non-compliant patients.
Armamentarium: An electrocautery unit with the loop electrode and a haemostat.
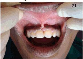
The conventional approaches with the scalpel do offer some dis-advantages. To overcome these, a case of an attached type of frenal attachment [Table/Fig-21] was approached with electrocautery. After the area was anaesthetized with local infiltration by using 2% lignocaine with 1:80000 adrenaline, the frenum was held with the haemostat and by using a loop electrode tip, it was excised [Table/Fig-22]. Electrocautery offered the advantage of minimal procedural bleeding and there was no need of sutures [Table/Fig-23]. The healing was by secondary intention, as the wound edges were not approximated with sutures [Table/Fig-24].
Pre-operative attached type of frenal attachment

Frenum held with hemostat and excised with a loop electrode

Excision of frenum completed with no requirement for suture placement


Discussion
Nevertheless, inspite of the various modifications which have been proposed for frenectomy, the widely followed procedure which remains is the classical technique. The classical technique leaves a longitudinal surgical incision and scarring, which may lead to periodontal problems and an unaesthetic appearance, thereby necessitating other modifications.
Among all the approaches for frenectomy which were employed in the present case series, the electrocautery procedure offered the advantage of minimal time consumption and a bloodless field during the surgical procedure, with no requirement of sutures. The techniques like simple excision and a modification of V-rhomboplasty fail to provide satisfactory aesthetic results in the case of a broad, thick hypertrophied frenum. This may be due to the inability to achieve a primary closure at the centre, consequently leading to a secondary intention healing at the wide exposed wound. It may become a matter of concern in the case of a high smile line exposing anterior gingiva. The Miller's technique offers the following advantages:[2,14,19–21]
Post-operatively, on healing, there is a continuous collagenous band of gingiva across the midline, that gives a bracing effect than the “scar” tissue, thus preventing an orthodontic relapse.
The transseptal fibres are not disrupted surgically and so, there is no loss of the interdental papilla.
Obtaining an orthodontic stability without an aesthetic sacrifice.
Thus, the Miller's technique results in no loss of the interdental papilla and no scar tissue. Thereby, it is best suited to prevent an orthodontic relapse.
The Z-plasty technique was found to be ideal for a broad, thick hypertrophic frenum with a low insertion, which was associated with an inter-incisor diastema and a short vestibule. It achieved both the removal of the fibrous band and the vertical lengthening of the vestibule.
Various Treatment Modalities
| Treatment Modality | Clinical Research | References |
|---|
| Electrosurgery | Case report and clinical technique: argon beam electrosurgery for tongue ties and maxillary frenectomies in infants and children | 5 |
| Lasers | Application of diode and Er:YAG lasers in labial frenectomy in infants | 6 |
| Er,Cr:YSGG laser (1.5 W and 20 to 30 pulses per second) labial frenectomy: a clinical retrospective evaluation of 156 frenectomies on 143 children | 7 |
| A case report of maxillary frenectomy using a carbon dioxide laser in a pediatric patient | 8 |
| A case report of upper-lip laser frenectomy without infiltrated anaesthesia in a pediatric patient | 9 |
| Miller's Technique | frenectomy combined with a laterally positioned pedicle graft-functional and esthetic considerations | 14 |
| Z-plasty Technique | Z-plasty technique, applied in case of hypertrophy of the upper labial frenum | 16 |
Conclusion
While an aberrant frenum can be removed by any of the modification techniques that have been proposed, a functional and an aesthetic outcome can be achieved by a proper technique selection, based on the type of the frenal attachment. Though the approaches to the problem of not using the traditional scalpel, like electro surgery and lasers have merits, further improvements can still be attempted.
[1]. Huang WJ, Creath CJ, The midline diastema: a review on its etiology and treatmentPediatric Dentistry 1995 17:171-9. [Google Scholar]
[2]. Jhaveri H, Jhaveri Hiral, Dr.The Aberrant FrenumDr. PD Miller the father of periodontal plastic surgery 2006 :29-34. [Google Scholar]
[3]. Dibart S, Karima M, Dibart Serge, Karima Mamdouth, Labial frenectomy alone or in combination with a free gingival autograftPractical Periodontal Plastic SurgeryGermanyBlackwell Munksgaard:53 [Google Scholar]
[4]. Cunha RF, Silva JZ, Faria MD, A clinical approach of ankyloglossia in babies: a report of two casesJ Clin Pediatr Dent 2008 32:277-82. [Google Scholar]
[5]. Verco PJW, A case report and a clinical technique: argon beam electrosurgery for the tongue ties and maxillary frenectomies in infants and childrenEuropean Archives of Paediatric Dentistry 2010 Januarywww.findarticles.com, accessed on [Google Scholar]
[6]. Gontijo I, Navarro RS, Naypek P, Ciamponi AL, Haddad AE, The application of diode and Er:YAG lasers in labial frenectomies in infantsJ Dent Child 2005 72(1):10-5. [Google Scholar]
[7]. Olivi G, Chaumanet G, Genovese MD, Beneduce C, Andreana S, The Er,Cr:YSGG laser labial frenectomy: a clinical retrospective evaluation of 156 consecutive casesGen Dent 2010 58:126-33. [Google Scholar]
[8]. Shetty K, Trajtenberg C, Patel C, Streckfus C, Maxillary frenectomy which was done by using a carbon dioxide laser in a pediatric patient: a case reportGen Dent 2008 56:60-3. [Google Scholar]
[9]. Kafas P, Stavrianos C, Jerjes W, Upile T, Vourvachis M, Theodoridis M, Upper-lip laser frenectomy without infiltrated anaesthesia in a paediatric patient: a case reportCases Journal 2009 2:7138 [Google Scholar]
[10]. Coleton SH, The mucogingival surgical procedures which were employed in re-establishing the integrity of the gingival unit (III). The frenectomy and the free mucosal graftQuintessence Int 1977 8(7):53-61. [Google Scholar]
[11]. Kahnberg KE, Frenum surgery. I.A comparison of three surgical methodsInt J Oral Surg 1977 6:328-33. [Google Scholar]
[12]. Ito T, Johnson JD, Ito T, Johnson JD, Frenectomy and frenotomy. Color Atlas of Periodontal Surgery 1994 LondonMosby Wolfe:225-39. [Google Scholar]
[13]. Archer WH, Archer WH, Oral surgery for a dental prosthesis. Oral and Maxillofacial surgery 1975 PhiladelphiaSaunders:135-210. [Google Scholar]
[14]. Miller PD, Frenectomy, combined with a laterally positioned pedicle graft-functional and esthetic considerationsJ Periodont 1985 56:102-6. [Google Scholar]
[15]. Howe GL, Geoffrey L Howe, The surgical aids to a denture constructionMinor oral surgeryLondonWright:277 [Google Scholar]
[16]. Puig JR, Lefebvre E, Landat F, The Z-plasty technic which was applied to hypertrophy of the upper labial frenumRev Stomatol Chir Maxillofac 1977 78:351-6. [Google Scholar]
[17]. Langdon JD, Patel MF, Reconstructive surgery – orofacial flaps and skin graftingOperative Maxillofacial Surgery 1998 LondonChapman and Hall:73 [Google Scholar]
[18]. Kruger GO, Gustav O Kruger, Acquired defects of the hard and soft tissues of the faceOral and maxillofacial surgerySt. LouisMosby:487-88. [Google Scholar]
[19]. Miller PD, Regenerative and reconstructive periodontal plastic surgery. In: Mucogingival surgeryDental Clinics of North America 1988 32:287-306. [Google Scholar]
[20]. Miller PD, Reconstructive periodontal plastic surgery (mucogingival surgery).J Tennessee Dental Association 1991 71:14 [Google Scholar]
[21]. Miller PD, Allen EP, The development of periodontal plastic surgeryPeriodontology 2000 1996 11:7-17. [Google Scholar]