Mucopolysaccharidosis (MPS) type II, or Hunter’s syndrome, is an X-linked recessive disorder with a defect in Glycosaminoglycan (GAG) metabolism resulting in a deficiency of the enzyme Iduronate sulfatase. Hydrocephalus (HC) is a condition in which the volume of Cerebrospinal Fluid (CSF) in the cerebral ventricles is abnormally elevated. HC patients may show macrocephaly and delayed development. A Ventriculoperitoneal (VP) shunt is the most commonly used treatment option. Hereby, the authors present a case report of a nine-year-old male child diagnosed with Hunter’s syndrome and HC. The manuscript provides a comprehensive overview of the dental management strategies involving a team of specialists, including a paediatric dentist and a paediatrician. Key interventions included emphasising assessment of oral health issues related to the syndrome and condition, modification of treatment plans like implementation of a tailored oral hygiene regimen and fluoride treatments, use of sedative techniques to manage anxiety and facilitate thorough dental work, regular follow-up appointments to monitor oral health and accommodate the child’s physical and developmental needs, preventive care, modified treatment techniques, and close monitoring of systemic health. Effective dental management of patients with HC and Hunter’s Syndrome requires a comprehensive, multidisciplinary approach. Tailoring dental care to accommodate the unique needs of these patients can lead to successful outcomes and improved quality of life. This case underscores the importance of collaboration between dental and medical professionals in managing complex cases.
Case Report
A nine-year-old male child was referred to the department with a chief complaint of pain in the lower right and left back tooth region for the past four months and required treatment for the same. A history of presenting illness was obtained by the parent, who gave a history of pain that gets aggravated during mastication, due to which the child refrains from eating. The general and craniofacial features suggested a rare condition, with intellectual disability and abnormal speech. The child was a known case of MPS II or Hunter’s syndrome type B with obstructive HC and global developmental delay.
The patient’s medical history includes developmental delays and cognitive impairments. The dental examination revealed dental caries, a complicated crown fracture in a permanent tooth, and gingivitis, which were exacerbated by the patient’s limited oral hygiene abilities and frequent hospitalisations. The diagnosis was confirmed with genetic testing, and the child has not received any type of therapy for Hunter’s syndrome, which was diagnosed in the first year of life. In the second year, the child had a fever followed by an increasing circumference of the head, which was diagnosed as Obstructive HC and was operated on for placement of a VP shunt and is under review till date with no reduction in the size of the head. At the age of five years, the child was diagnosed with an umbilical hernia and operated on after one year. The family history did not reveal any other relevant information. According to the diet history, carbohydrate consumption is low. Oral hygiene maintenance was poor due to a lack of dexterity.
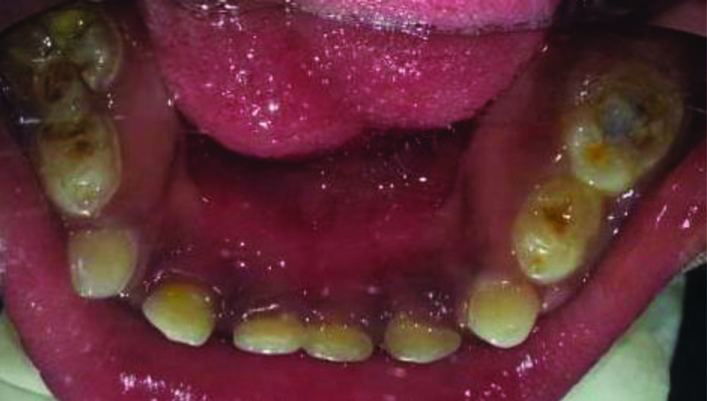
The clinical examination revealed short stature and a short neck length, an increased circumference of the head, and rotated legs. The craniofacial features included cephalomegaly, a convex profile, a flat nasal bridge, an acute nasolabial angle, an apparent large mouth, and broad lips. Intraoral findings revealed mixed dentition with dental caries in teeth 65, 74, 85, an open bite, macroglossia, and tongue thrusting with food pouching, an Ellis class III fracture in the right central incisor, along with generalised attrition. Soft tissue was normal with generalised plaque and calculus deposits [Table/Fig-1,2,3,4 and 5]. The temporomandibular joint was diagnosed as normal. Radiographic investigation was planned to assess the status of the dental pulp, but the patient was unco-operative for the investigation. The treatment was planned to proceed with caries excavation and a review of the status clinically. Informed consent was obtained from the parent prior to commencing the procedure, and medical consent was obtained from the paediatrician. Diet counselling and oral hygiene measures were taught, along with medications prescribed to relieve pain. The patient was managed by employing non invasive techniques like conditioning, desensitisation, and positive reinforcement, and good co-operation was achieved.
Photograph showing preoperative right side occlusion.

Photograph showing preoperative left side occlusion.

Photograph showing preoperative anterior view.

Photograph showing preoperative maxillary arch.

Photograph showing preoperative mandibular arch.

In a subsequent visit, caries excavation was done, and it was found that the caries were extending into the dentin. The cavity was restored with restorative type glass ionomer cement in teeth 65, 74, and 85. The patient was recalled after two weeks to assess the status of the restoration [Table/Fig-6,7]. After two weeks, the parents reported no history of pain, and the child was able to eat and masticate. On the same visit, oral prophylaxis was done, and a radiographic investigation of tooth 11 revealed an immature tooth with the loss of coronal tooth structure and a fracture involving the pulp [Table/Fig-8]. Root canal treatment was planned for the fractured permanent right central incisor. The patient was recalled but was lost to follow-up.
Photograph showing post-operative maxillary arch.

Photograph showing post-operative mandibular arch.

Photograph showing intraoral periapical radiograph of 11.

Discussion
The MPS is a group of rare inherited lysosomal storage diseases produced by deficiencies in the metabolism and degradation of special enzymes called GAGs. The individual presents with skeletal deformities and a growth deficit and is characterised by mental retardation, short stature, and skin thickening [1]. MPS type II or Hunter’s syndrome is an X-linked recessive disorder with a defect in GAG metabolism resulting in a deficiency of the enzyme Iduronate sulfatase [2]. The syndrome is named after Charles A. Hunter’s, who described the condition in 1917 [3]. Hunter’s syndrome has two forms based on the length of survival and the absence/presence of Central Nervous System (CNS) involvement. Life expectancy is 14-15 years in Type A Hunter’s syndrome, which is the most severe form, and 30-50 years for Type B Hunter’s syndrome, which is a milder form [2]. The incidence is 1 in 170,000 live births, with more prevalence in males [3]. The level of urinary GAGs is increased in MPS; so the detection of excessive urinary GAG excretion is generally the first diagnostic approach. In case of a family history of MPS II, enzyme activity assays and/or molecular genetic analyses are directly assessed [4]. The neurobehavioural symptoms have a significant impact on the quality of life for the child and their family and may limit the ability to engage consistently in supportive therapies such as occupational therapy or speech/language therapy [5].
The systemic manifestations include skeletal abnormalities (destructive arthropathy, interphalangeal stiffness), cardiac valvular disease (mitral and aortic regurgitation and stenosis), respiratory infections (chronic recurrent rhinitis), abdominal hernia, conductive hearing loss (otitis media), and hyperkinesia [3,6]. The oral manifestations include macroglossia, anterior open bite, hyperplastic gingiva, generalised teeth spacing, a short and broad mandible with a flat condyle, peg lateral teeth, delayed eruption of teeth that resemble dentigerous cyst radiographically, and a high-arched palate [6,7]. The behavioural problems like hyperactivity, aggression due to lack of sleep caused by obstructive sleep apnoea, and hearing loss contribute to the behaviour [6]. In response to the child’s inability to spit, a number of suggestions were proposed. Use of fluoride-free toothpaste was recommended, which was safe if, consumed, soft-bristled or electric toothbrushes, routine tongue scraping, and post-meal mouth rinse facilitated by an irrigation syringe. Dietary modification advocates limiting the consumption of sweet and sticky foods and incorporating probiotics. It is important to identify early caries lesions, especially in unerupted first permanent molars, as they worsen with age [8].
Hydrocephalus refers to a diverse group of conditions that result from impaired circulation or absorption of CSF. The CSF in the brain’s lateral ventricles causes progressive ventricular dilatation, affecting brain growth and development. The clinical presentation of HC varies. Infants may show increased head circumference, bulging of the anterior fontanel, distended scalp veins, a broad forehead, deviated eyes downward because of impingement of the dilated suprapineal recess on the brainstem tectum (setting sun sign), and spasticity [9]. HC is a common finding in Hunter’s syndrome. Signs include headache, behavioural changes, and visual disturbances [10]. The management is placement of VP shunt, which results in craniofacial symmetry during device insertion, leading to a higher mandibular plane angle and is associated with malocclusion. The oral manifestations exhibit maturation of teeth before puberty [10]. There is a concern regarding the need for antibiotic prophylaxis for patients with VP shunt [9]. Some studies and the National Health Service in the United Kingdom have reported that prophylactic antibiotics are not needed [11]. Acs G and Cozzi E recommended using antibiotic prophylaxis, although shunt infection is infrequent after dental procedures [12]. Kim M et al., reported a similar case of paediatric HC, where the medical opinion was that prophylactic antibiotics were not required during dental treatment. Thus, we recommend a referral to a paediatric neurosurgeon before invasive dental treatment for patients with VAS or a history of recurring shunt infection [11].
The present case report describes a male child with oral manifestations of dental caries in primary and permanent molars, anterior open bite, macroglossia, hyperplastic gingiva, high arched palate, generalised spacing, generalised attrition, and a habit of pouching food. The oral hygiene status is poor due to a lack of manual dexterity. Kim M et al., reported the case of HC exhibiting irritability to sound, delayed somatic and mental development, behavioural disturbances, and blurred vision as signs associated with HC [11]. Dental management for children with special healthcare needs experiences fear and anxiety and are good candidates for sedation or general anaesthesia [11,13]. However, in present case, dental management under general anaesthesia presents risks due to bone density, short neck, and inelasticity of soft tissue [6]. HC patients exhibit symptoms like headache, vomiting, seizures, bradycardia, apnoea, and irregular breathing patterns, although they were not observed in present patient. Headache, nausea, vomiting and lethargy typically occur in the morning; thus, early morning appointments should be avoided for patients with the above symptoms [11]. Behaviour modification techniques were adapted, and positive behaviour was established. Medical opinion was taken from a paediatrician. In the first appointment, excavation and review for primary molars were done followed by restoration of the teeth. Oral hygiene instructions and diet counselling were given to parents, and a follow-up was scheduled after two weeks. In the follow-up visits, oral prophylaxis and radiographic investigation for the right permanent central incisor were done followed by management as planned.
Conclusion(s)
The present report highlights the role of paediatric dentists in planning dental treatment for children diagnosed with systemic conditions and providing advanced dental care to patients as the disease starts exhibiting various oral symptoms at a young age. Oral health is of paramount importance in these patients, as debilitated general health due to nutritional problems arising from oral health issues can lead to further deterioration in the patient’s general condition.
[1]. Gómez-González A, Rosales-Berber MÁ, De Ávila-Rojas P, Pozos-Guillén A, Garrocho-Rangel A, Paediatric dental management of an uncommon case of mucopolysaccharidosis Type IV A (Morquio A Syndrome): A case report of a three-year follow-up. Qudeimat MA, editorCase Rep Dent 2020 2020:256548610.1155/2020/256548632411487 [Google Scholar] [CrossRef] [PubMed]
[2]. Savitha NS, Saurabh G, Krishnamoorthy SH, Nandan S, Ambili A, Hunter’s syndrome: A case reportJ Indian Soc Pedod Prev Dent 2015 33:66-68.10.4103/0970-4388.14901125572378 [Google Scholar] [CrossRef] [PubMed]
[3]. Wraith JE, Scarpa M, Beck M, Bodamer OA, De Meirleir L, Guffon N, Mucopolysaccharidosis type II (Hunter syndrome): A clinical review and recommendations for treatment in the era of enzyme replacement therapyEur J Paediatr 2008 167:267-77.10.1007/s00431-007-0635-418038146 [Google Scholar] [CrossRef] [PubMed]
[4]. Rasheeedah I, Patrick O, Abdullateef A, Mohammed A, Sherifat K, Gbadebo I, Challenges in the management of mucopolysaccharidosis Type II (Hunter’s Syndrome) in a developing country: A case reportEthiop J Health Sci 2015 25(3):279-82./10.4314/ejhs.v25i3.1226633932 [Google Scholar] [CrossRef] [PubMed]
[5]. Eisengart JB, King KE, Shapiro EG, Whitley CB, Muenzer J, The nature and impact of neurobehavioural symptoms in neuronopathic Hunter syndromeMol Genet Metab Rep 2019 22:10054910.1016/j.ymgmr.2019.10054931890590 [Google Scholar] [CrossRef] [PubMed]
[6]. AlsayedTolibah Y, Kouchaji C, Lazkani T, Dental care for a child with congenital hydrocephalus: A case report with 12-month follow-upInternational Journal of Environmental Research and Public Health 2021 18(3):120910.3390/ijerph1803120933572890 [Google Scholar] [CrossRef] [PubMed]
[7]. Muenzer J, Beck M, Eng CM, Escolar ML, Giugliani R, Guffon NH, Multidisciplinary management of hunter syndromePaediatrics 2009 124:e1228-39.10.1542/peds.2008-099919901005 [Google Scholar] [CrossRef] [PubMed]
[8]. Saha S, Priya K, Rai K, Manju R, Shetty K, Hegde AM, Case report: Holistic dental care for a child with Hunter syndrome: Addressing dental ramifications, overcoming challenges, and enhancing quality of lifeF1000Res 2024 13:26810.12688/f1000research.146468.138812528 [Google Scholar] [CrossRef] [PubMed]
[9]. Gardner DG, The oral manifestations of Hurler’s syndromeOral Surg Oral Med Oral Pathol 1971 32(1):46-57.10.1016/0030-4220(71)90249-04996613 [Google Scholar] [CrossRef] [PubMed]
[10]. de Morais Gallarreta FW, Bernardotti FP, de Freitas AC, de Queiroz AM, Faria G, Characteristics of individuals with hydrocephalus and their dental care needsSpec Care Dentist 2010 30(2):72-76.10.1111/j.1754-4505.2009.00122.x20415804 [Google Scholar] [CrossRef] [PubMed]
[11]. Kim M, Park H, Lee J, Seo H, Dental management of paediatric hydrocephalusJ Korean Acad Paediatr Dent 2017 44(2):228-33.10.5933/JKAPD.2017.44.2.228 [Google Scholar] [CrossRef]
[12]. Acs G, Cozzi E, Antibiotic prophylaxis for patients with hydrocephalus shunts: A survey of paediatric dentistry and neurosurgery program directorsPaediatr Dent 1992 14:246-50. [Google Scholar]
[13]. Forsberg H, Quick-Nilsson I, Gustavson KH, Jagell S, Dental health and dental care in severely mentally retarded childrenSwed Dent J 1985 9:15-28. [Google Scholar]