The fixed lingual arches that are used for mandibular molar uprighting works in two dimensions, whereas the 3D lingual arch works in all the three dimensions. The 3D lingual arch was fabricated from a 0.028 “round S.S wire with parts consisting of an adaptor, activator, friction lock and extender. The friction lock was inserted into the vertical stubs welded on the molar bands of the lingually tipped molar. They provided greater stability and anchorage to the molars.
Up righting of the lingually tipped mandibular molars was attained within one month after insertion of the Wilson’s 3D lingual arch. Correction was attained in all three dimensions with a buccal crown torque and lingual root torque. Levelling and alignment of the anterior segment was also attained by this multipurpose modular appliance. The 3D lingual arch enabled the clinician to set up a more positive anchorage for a greater variety of treatment applications than earlier lingual arches. Quality treatment results were attained with less span of time and were cost effective.
In the present case series, cases of three patients with lingually rolled in mandibular molars, treated with a 3D lingual arch has been presented.
Case-1
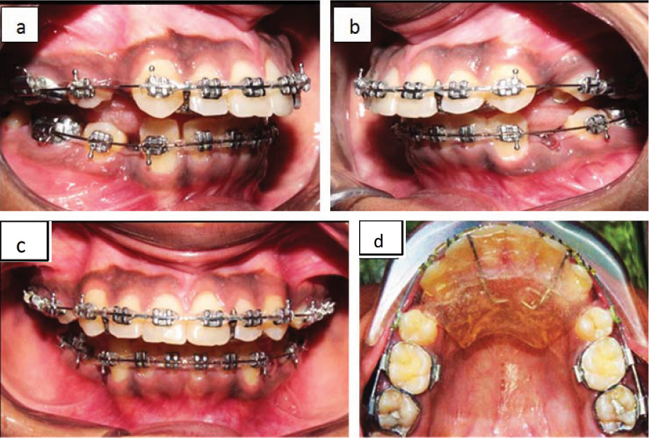
A 12-year-old female patient presented to the Department of Orthodontics with an end on molar relation on right side [Table/Fig-1a] and scissor bite on left side on a skeletal Class II jaw base. The intraoral examination showed a lingually tipped mandibular right second premolar and first molars bilaterally with lower anterior crowding [Table/Fig-1b], scissor bite on left side [Table/Fig-1c] and deep overbite [Table/Fig-1d]. Fixed orthodontic treatment with extraction of the second premolars from all four quadrants was planned for the patient. Since the patient was 12 years of age, a holding arch after extraction was planned. In order to get a 3D control and to correct the lingually tipped lower first molars, we planned for a Wilson and Wilson’s 3D lingual arch.
A 12-year-old female patient: a) with end on molar relation on right side; b) lingually tipped mandibular first molars bilaterally; c,d) posterior scissor bite on left side and deep bite.

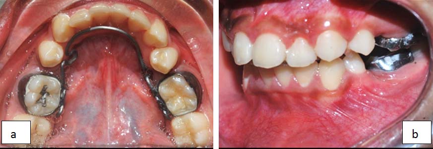
A Wilson’s 3D lingual arch was fabricated, activated and inserted into the lower arch, after the extraction of the second premolars, in order to upright the lingually tipped mandibular molar and also to correct the scissor bite on left side [Table/Fig-2].
Insertion of the 3D Lingual arch immediately after the extraction of the second premolars.

A holding arch with anterior bite plane was also given in the upper arch to attain clearance for the correction of scissor bite [Table/Fig-3].
Holding arch with anterior bite plane in the upper arch.

After one month of treatment, correction of the lingually tipped molar was noticed [Table/Fig-4a] along with the correction of the scissor bite [Table/Fig-4b]. Lower anterior crowding was also relieved and adequate alligment of the lower arch was noticed.
One month later: a) occlusal picture shows the correction of lingually tipped molars; (b) left lateral view showing the correction of scissor bite on left side.

Four months later after bonding the upper arch, the lower arch was bonded along with the 3D lingual arch [Table/Fig-5a]. A month later the 3D lingual arch was removed after the correction of molar uprighting [Table/Fig-5b].
a) Lower arch was bonded along with the 3D lingual arch; b) removed the 3D lingual arch after the correction of molar uprighting.

Case-2
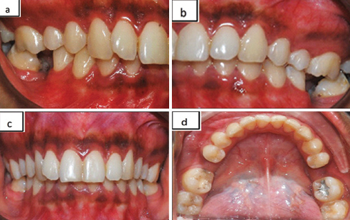
A 19-year-old female patient reported to the department with a mutilated malocclusion [Table/Fig-6a,b] and deep bite [Table/Fig-6c] on a skeletal Class II jaw base. Intraoral examination revealed missing lower first molars bilaterally which were extracted earlier due to caries and also mild lower anterior crowding [Table/Fig-6d]. In this case, we had planned to upright the lingually tipped second molars bilaterally and to mesialize the second molars to the position of the first molars as the third molars were present and this would avoid the prosthetic replacement of the missing molars.
Pre-treatment shows: a,b) mutilated malocclusion; c) deep bite; d) lingually tipped mandibular second molars bilaterally and missing first molars.

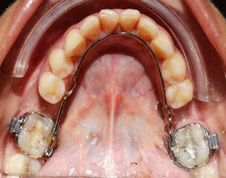
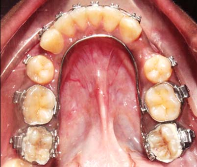
A Wilson’s 3D lingual arch was fabricated and inserted into the lower arch in order to upright the mandibular second molars [Table/Fig-7].
Insertion of 3D lingual arch.

A month later correction of the lingually tipped molars along with expansion was noticed [Table/Fig-8].
Correction of the lingually tipped second molars was seen and mild expansion of lower arch noticed.

Four months later after bonding the upper arch, the lower arch was bonded along with the 3D lingual arch and further allignment of the lower arch was observed [Table/Fig-9].
Complete correction of molar uprighting and mild allignment of lower anteriors due to expansion by the 3D lingual arch.

Case-3
A 15-year-old female patient reported to the department with an end on molar relation bilaterally [Table/Fig-10a] with proclined upper and lower anteriors on a skeletal Class II jaw base [Table/Fig-10b]. The intraoral examination showed lingually tipped mandibular second molars [Table/Fig-10c] with deep bite [Table/Fig-10d].
Pre treatment showing: a) end on molar relation bilaterally; b) proclined upper and lower anteriors; c) lingually tipped mandibular second molars; d) deep bite.

A fixed orthodontic treatment with extraction of first premolars on all four quadrants was planned . A Wilson’s 3D lingual arch was also planned to upright the lingually tipped mandibular second molars.
Treatment began with the upper arch bonding and an anterior bite plane was given inorder to get clearance for uprighting the mandibular molars, after reaching 16x22′ stainless steel in the upper arch [Table/Fig-11a-d].
(a,b) After delivery of the anterior bite plane in the upper arch; c,d) sufficient clearance attained to upright the mandibular molars.

After levelling and alligning the upper arch, lower arch bonding was done. Wilson’s 3D lingual arch was fabricated and inserted in the lower arch [Table/Fig-12].
Insertion of the Wilson’s 3D lingual arch to upright the second molars bilaterally.

One month later uprighting of the ligually tipped mandibular second molars was noticed [Table/Fig-13].
Uprighting of the lingually tipped mandibular molars noticed after a month.

Discussion
The 3D lingual arch is a modular multipurpose appliance which is interchangeable and adjustable for many varied functions. Among the unique features of the modular 3D lingual arch construction are the two that should be emphasized. First, the fit of the friction lock in the vertical sheaths provides not only a secure lock, but the possibility of every rotational and tip-torque treatment need. Second, the design of the five angled activator permits simple programmed activation at any angle for a predictable geometric vector of force delivery [1]. The main advantage of this appliance is that it requires no soldering, easy vertical insertion and removal for chairside adjustments, molar rotation, torque and angulation plus second molar control [2].
Fabrication: The 3D lingual arch is made of austenitic stainless steel wire (0.028′) which makes it interchangeable and adjustable for many varied functions. It consists of an adapter, activator, friction lock and an extender. The adapter allows predictable adaptation to the cingulum of the anteriors to avoid loss of control or tipping in anchorage. The activator permits multiple programmed movements for arch length adjustments. The twin vertical posts provide a friction lock for greater stability and anchorage to the molars and the extender is to be formed into many configurations for multiple treatment functions [3].
The biomechanics mainly involved is a clockwise moment in an occluso-gingival direction of the molar with a buccal crown torque and a lingual root torque. It also controls the clockwise and counter clockwise moment, thereby controlling the unwanted molar rotation. The two vertical stubs of the lingual arch, provides a three dimensional control as the name suggests.
There are various methods for uprighting lingually tilted molars include: alignment with light continuous arch wire or a rectangular NiTi arch wire or a loop or a spring bent into the main arch wire, a length of elastomeric chain to pull the tooth into the arch (through the bite elastics). All these mentioned methods tend to produce forces that extrude the tooth during uprighting and results in occlusal trauma [4].
In contrast, micro-implants placed in the alveolar buccal mucosa to the mandibular molars can provide both a buccaly directed force and an intrusive force. But when compared to the 3D lingual arch, the implant placement is a more invasive procedure and needs patient compliance [5].
The 3D lingual arch used here to upright the lingually rolled in molars has the ability to overcome the side effects of extrusion while applying an uprighting force. It also allows for a set-up of a more positive anchorage for a variety of treatment functions. The various other functions include mandibular anchorage for molar distalizing without headgear, holding arch, buccal molar expansion, unilateral molar expansion, molar control, buccal or lingual root torque, buccal or lingual crown tip, molar rotation moments, levelling, alignment, Nance holding arch and space maintainers [1,6,7]. In treatment of posterior scissor bite, conventional intermaxillary cross-elastics may produce adverse extrusive forces on both the upper and lower molars, along with a clockwise rotation of the mandible and need patient compliance. A modified lingual arch is a simple and effective alternative that does not depend on patient cooperation [8]. The comparison between the 3D lingual arch with other appliances is tabulated in [Table/Fig-14] [9,10].
Comparison of the 3D lingual arch with the other appliances that aid in molar uprighting [9,10].
| Appliances used for molar uprighting | Function of these appliances | Advantage of 3D lingual arch over these appliances |
|---|
| Temporary anchorage device | Anchorage, mesial or distal movement of buccal teeth, lingual or labial movement of anterior teeth, vertical intrusive movement of buccal or anterior teeth. | Uprigting without extrusion of molars, cost effective. |
| Fixed lingual arch | Reinforce anchorage, space maintainer, control of molars. | Buccal crown torque can be attained better. |
| Cross bite elastics | Correction of single tooth crossbites and axial inclination of tooth. | Bodily uprighting without vertical extrusion and no increase in lower anterior facial height. |
| Orthodontic arch wire | Buccal, labial, lingual or palatal crown torque, correction of rotations. | Buccal crown torque along with uprighting obtained in a short period of time. |
Easy vertical insertion (plug-in/plug-out), of the lingual arch, with a friction lock produces maximum anchorage and permits multiple auxiliary functions which is not possible with horizontal insertion. Twin vertical posts for positive molar control, torque and rotations that are geometrically predictable. The diamond loop design of the 3D activator has dynamic three-dimensional force mechanics and multidirectional movement possibilities with predictable forces. It has a lingual offset to avoid mucosal compression. There are five angles in the activator that can be adjusted slightly to give geometrically predictable force vectors. Force is dissipated 100%, resulting in a rapid controlled movement. The resilience of the activator produces the force [11-13].
Ucem TT et al., has used this 3D mandibular lingual arch along with 3D biometric distalizing arch to correct the Class II molar relationship using Class II elastics to prevent the lingual rolling of the mandibular molars [14].
The results showed that the 3D lingual arch is an effective appliance for uprighting the lingually tipped molars, preventing the molars from tipping and the mandibular incisors from tipping lingually, maintaining space during the eruption of the permanent teeth, preserving molar anchorage, preventing arch length decrease, obtaining in some patients an arch length increase. These effects could also resolve marginal crowding by controlling space use in the mandibular arch. But it also has few limitations which includes the difficulty of fabrication, more discomfort to the patients when compared to the fixed lingual arch, chances of fracture is more, it can cause irritation to the tongue and it requires the use of an anterior or a posterior bite plane. It is contraindicated in partially erupted molars, in cases with increased lower anterior facial height and in patients with open bite.
Conclusion
Most of the orthodontic clinicians are often faced with the challenge of uprighting the lingually rolled in mandibular first or second molars due to the difficulty in accomplishing a vector of moment that is adequate enough to upright the molars with intrusion. Most of the appliances that were introduced, to upright the lingually tipped molars, had the side effect of extrusion. This was overcome by the 3D lingual arch which has a control on the molars in all three dimensions. This appliance controls the buccolingual rotation of the molar in the transverse plane, prevents extrusion in the vertical plane and prevents the mesial movement of molars providing anchorage in the sagittal plane.
[1]. Wilson WL, Wilson RC, Modular 3D lingual appliances. Part 4. Lingual archJournal of Clinical Orthodontics: JCO 1984 18(2):124-28. [Google Scholar]
[2]. Wilson’s 3D. Synergistic solutions for progressive orthodontics. Rocky Mountain Orthodontics [Google Scholar]
[3]. William RC, William WL, Force Systems Mechanotherapy Manualwith 3D® Modular 1st Phase Fixed/Removable. Book 2Rocky Mountain Orthodontics [Google Scholar]
[4]. Geramy A, Ghadirian H, Comparison of methods used to correct a lingually tilted mandibular molar: 3-D analysis using the Finite Element Method (FEM)Australian Orthodontic Journal 2008 24(2):96 [Google Scholar]
[5]. Herman R, Cope JB, Miniscrew implants: IMTEC mini ortho implantsIn Seminars in Orthodontics 2005 11(1)WB Saunders:32-39. [Google Scholar]
[6]. Wilson WL, Wilson RC, Modular 3D lingual appliances. Part 5. Action appliancesJournal of Clinical Orthodontics: JCO 1984 18(3):190 [Google Scholar]
[7]. Wilson WL, Wilson RC, Modular 3D lingual appliances. Part 1. Quad helixJournal of Clinical Orthodontics: JCO 1983 17(11):761 [Google Scholar]
[8]. Dasari AK, Aileni KR, Rachala MR, Mallikarjun V, A modified lingual arch for correction of posterior crossbiteJournal of Clinical Orthodontics: JCO 2014 48(12):791 [Google Scholar]
[9]. Mizrahi E, Mizrahi B, Mini-screw implants (temporary anchorage devices): orthodontic and pre-prosthetic applicationsJournal of Orthodontics 2007 34(2):80-94. [Google Scholar]
[10]. Sharma HS, Orthodontic anchorage enhancement with lingual archMedical Journal Armed Forces India 2002 58(1):70-71. [Google Scholar]
[11]. Wilson 3D, Complete Guide to RM 3D First Phase Fixed/ Removable Modular OrthodonticsRocky Mountain Orthodontics [Google Scholar]
[12]. Wilson WL, Wilson RC, Modular 3D lingual appliances. Part 2. AdapterJournal of clinical orthodontics: JCO 1983 17(12):832 [Google Scholar]
[13]. Wilson WL, Wilson RC, Modular 3D lingual appliances. Part 3. Palatal arch and sectional archJournal of Clinical Orthodontics: JCO 1984 18(1):50-57. [Google Scholar]
[14]. Ucem TT, Yuksel S, Okay C, Gulsen A, Effects of a three-dimensional bimetric maxillary distalizing archEuropean Journal of Orthodontics 2000 22(3):293-98. [Google Scholar]