Use of Impella 2.5 in Patient with Multi-Vessel Percutaneous Coronary Intervention and Cardiogenic Shock
Rajkumar Doshi1, Rajiv Jauhar2, Perwaiz Meraj3
1 Research Fellow, Department of Cardiology, North Shore University Hospital, Manhasset, New York, USA.
2 Chief of Cardiology and Director of Cardiac Cath Lab, Department of Cardiology, North Shore University Hospital, Manhasset, New York, USA.
3 Director of Research and Associate Program Director of Cardiovascular Fellowship, Department of Cardiology, North Shore University Hospital, Manhasset, New York, USA.
NAME, ADDRESS, E-MAIL ID OF THE CORRESPONDING AUTHOR: Dr. Rajkumar Doshi, 300 Community Dr, Manhasset-11030, New York, USA.
E-mail: raj20490@gmail.com
Angiography, Mechanical circulatory device, Non-ST segment elevation myocardial infarction
An 84-year-old man presented to the emergency room with severe chest discomfort. His symptoms started one day prior to admission when he experienced dull, non-radiating chest pain unchanged with movement or breathing. His chest discomfort went hand in hand with shortness of breath, intermittent cough and sweating. His significant past medical history includes diabetes mellitus Type 2, hypertension, chronic kidney disease (baseline creatinine 1.8-1.9 mg/dL), and coronary artery disease treated with Percutaneous Coronary Intervention (PCI) (3 x drug eluting stents). Upon admission, his Heart Rate (HR) was 82/min, respiratory rate was 20/min and regular with a blood pressure of 111/70 mmHg. Fick’s cardiac output was 3.3 L/min and cardiac index was 1.6 L/ min/m2. At the time of his admission, electrocardiography (EKG) revealed poor R wave progression and lateral ST wave depressions [Table/Fig-1]. Chest Computerized Tomography (CT) scan revealed multifocal pneumonia with bilateral pleural effusion [Table/Fig-2]. Laboratory investigation revealed an elevated White Blood Cells (WBCs) of 11.1/mcL with predominantly neutrophils, haemoglobin of 10.9 gm% and an elevated platelet count of 418,000/mcL. Serum chemistry showed elevated levels of lactate at 4.1 mmol/l, blood urea nitrogen of 35 mg/dL, serum creatinine of 2.18 mg/dL, serum B-type natriuretic peptide of 3559 pg/ml, serum glucose of 218 mg/dL, CO2 of 19 mmHg and pH of 7.22. His creatine kinase-MB levels were appropriate at 155 IU/l but his serum troponin I levels were elevated at 0.31 ng/ml. Diagnosis of non-ST segment elevation myocardial infarction was made and patient was sent to catheterization lab. A diagnostic cardiac catheterization revealed ejection fraction of 20%. Left main coronary artery revealed 70% stenosis with TIMI Grade 3 flow. Also, it revealed diffuse 95% stenosis in the distal left anterior descending artery [Table/Fig-3] and 30% stenosis in left circumflex artery. About 80% stenosis presents at the site of a prior stent placement site in the distal left anterior descending artery with TIMI Grade 3 flow was found to be the likely culprit for the patient’s recent myocardial infarction. Since this case was a high risk PCI with poor left ventricle function, a decision was made to use Impella 2.5 (Abiomed, Inc.) [1] before the procedure. Selection of mechanical circulatory device was left at the operator’s discretion. Impella use prior to PCI improves outcomes [1,2]. After the procedure, left anterior descending artery had 1% residual stenosis with TIMI grade 3 flow [Table/Fig-4]. Post procedure, blood pressure was 126/80 mmHg, ejection fraction was estimated to be 35%-40% on transthoracic echocardiography. Following Impella implantation, cardiac output was 4.5 L/min and cardiac index was 2.2 L/min/m2. Impella was removed without any bleeding complication. On follow up this patients for upto 30 days he was well without any complications.
Electrocardiography revealed poor R wave progression and lateral ST wave depressions.

Chest computerized tomography scan revealed multifocal pneumonia with bilateral pleural effusion.

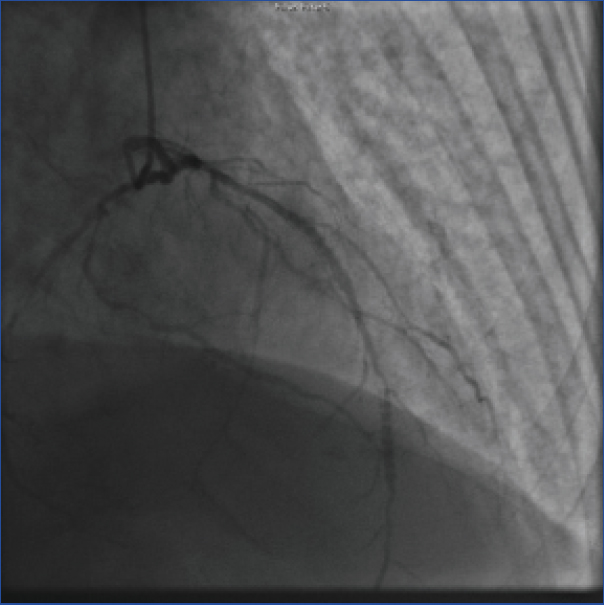
Angiography of coronary arteries showing narrowing of left anterior descending artery with 70% stenosis prior to the procedure.

Angiography of coronary arteries showing post procedure left anterior descending artery with 1% residual stenosis and Impella 2.5 in situ.

Conclusion
In conclusion, our case demonstrates a high risk PCI supported by Impella 2.5. Impella 2.5 can act as a bridge during such a procedure to ensure an effective haemodynamic support.
Learning Points:
As the number of patients with coronary artery and cardiogenic shock are increasing over the last decade, use of mechanical circulatory support devices has increased.
Impella is a percutaneous left ventricular assist device which can be used as a bridge to the PCI procedure.
In high risk PCI procedure with cardiogenic shock, Impella devices can be used to improve short term as well long term outcomes.
[1]. O’Neill WW, Schreiber T, Wohns DH, Rihal C, Naidu SS, Civitello AB, The current use of Impella 2.5 in acute myocardial infarction complicated by cardiogenic shock: results from the USpella RegistryJ Interv Cardiol 2014 27(1):01-11. [Google Scholar]
[2]. Meraj PM, Doshi R, Schreiber T, Maini B, O’Neill WW, Impella 2.5 initiated prior to unprotected left main PCI in acute myocardial infarction complicated by cardiogenic shock improves early survivalJ Interv Cardiol 2017 30(3):256-63. [Google Scholar]